JavaScript is disabled in your browser. Please enable JavaScript to view this website.
AB51500

Anti-TIP49A antibody [2943C1a]

5

(3 Reviews)

|

(16 Publications)

Mouse Monoclonal TIP49A antibody. Suitable for IHC-P, Flow Cyt, WB, ICC/IF and reacts with Human, Mouse samples. Cited in 16 publications. Immunogen corresponding to Recombinant Fragment Protein within Human RUVBL1.

View Alternative Names

INO80H, NMP238, TIP49, TIP49A, RUVBL1, RuvB-like 1, 49 kDa TATA box-binding protein-interacting protein, 54 kDa erythrocyte cytosolic protein, INO80 complex subunit H, Nuclear matrix protein 238, Pontin 52, TIP49a, TIP60-associated protein 54-alpha, 49 kDa TBP-interacting protein, ECP-54, NMP 238, TAP54-alpha

5 Images
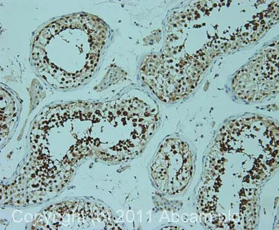
Immunohistochemistry (Formalin/PFA-fixed paraffin-embedded sections) - Anti-TIP49A antibody [2943C1a] (AB51500)
  • IHC-P

Unknown

Immunohistochemistry (Formalin/PFA-fixed paraffin-embedded sections) - Anti-TIP49A antibody [2943C1a] (AB51500)

IHC image of ab51500 staining in human normal testis formalin fixed paraffin embedded tissue section, performed on a Leica BondTM system using the standard protocol F. The section was pre-treated using heat mediated antigen retrieval with sodium citrate buffer (pH6, epitope retrieval solution 1) for 20 mins. The section was then incubated with ab51500, 5µg/ml, for 15 mins at room temperature and detected using an HRP conjugated compact polymer system. DAB was used as the chromogen. The section was then counterstained with haematoxylin and mounted with DPX.

For other IHC staining systems (automated and non-automated) customers should optimize variable parameters such as antigen retrieval conditions, primary antibody concentration and antibody incubation times.

Western blot - Anti-TIP49A antibody [2943C1a] (AB51500)
  • WB

AbReview28290****

Western blot - Anti-TIP49A antibody [2943C1a] (AB51500)

Excellent antibody. Detects a single species of the predicted mobility in a range of common rat cell lines.

All lanes:

Western blot - Anti-TIP49A antibody [2943C1a] (ab51500) at 1/100 dilution

Lane 1:

Whole cell lysate prepared from 9L cells at 20 µg

Lane 2:

Whole cell lysate prepared from PC-12 (Rat adrenal gland pheochromocytoma) cells at 20 µg

Lane 3:

Whole cell lysate prepared from RIE-1 cells at 20 µg

Secondary

All lanes:

HRP conjugated goat anti-mouse polyclonal at 1/5000 dilution

Predicted band size: 50 kDa

Observed band size: 57 kDa

true

Exposure time: 4min

Image courtesy of an anonymous Abreview.

Western blot - Anti-TIP49A antibody [2943C1a] (AB51500)
  • WB

AbReview19329****

Western blot - Anti-TIP49A antibody [2943C1a] (AB51500)

Blocking Step : 3% BSA for 1 hour at 21°C

All lanes:

Western blot - Anti-TIP49A antibody [2943C1a] (ab51500) at 1 µg/mL

Lanes 1 - 2:

HeLa cell lysate + control siRNA sequence at 20 µg

Lane 3:

HeLa cell lysate suppressed by siRNA (1) sequence to pontin at 20 µg

Lane 4:

HeLa cell lysate suppressed by siRNA (2) sequence to pontin at 20 µg

Lane 5:

Cell lysate of 293T cells at 20 µg

Lane 6:

Cell lysate of HeLa cells at 20 µg

Lane 7:

Cell lysate of U251 cells at 20 µg

Lane 8:

Cell lysate of Jurkat cells at 20 µg

Lane 9:

Cell lysate of U2OS cells at 20 µg

Secondary

All lanes:

An HRP-conjugated Goat anti-mouse IgG polyclonal at 1/5000 dilution

Predicted band size: 50 kDa

Observed band size: 57 kDa

true

Exposure time: 2min

This image is courtesy of an anonymous Abreview

Flow Cytometry - Anti-TIP49A antibody [2943C1a] (AB51500)
  • Flow Cyt

Unknown

Flow Cytometry - Anti-TIP49A antibody [2943C1a] (AB51500)

Flow cytometry using ab51500 at 0.5ug using HeLa cells. Secondary used was an AlexaFluor® 488 conjugated Goat Anti-mouse IgG (0.25 µg). White peak shows an isotype control, while the red peak shows ab51500.

Western blot - Anti-TIP49A antibody [2943C1a] (AB51500)
  • WB

Unknown

Western blot - Anti-TIP49A antibody [2943C1a] (AB51500)

All lanes:

Western blot - Anti-TIP49A antibody [2943C1a] (ab51500) at 1/100 dilution

All lanes:

HT-1080 whole cell lysate at 50 µg

Secondary

All lanes:

Anti Mouse IgG at 1/2500 dilution

Predicted band size: 50 kDa

Observed band size: 50 kDa

false

Key facts

Host species

Mouse

Clonality

Monoclonal

Clone number

2943C1a

Isotype

IgG2b

Carrier free

No

Reacts with

Human, Mouse

Applications

Flow Cyt, WB, ICC/IF, IHC-P

applications

Immunogen

Recombinant Fragment Protein within Human RUVBL1. The exact immunogen used to generate this antibody is proprietary information.

Q9Y265

Reactivity data

{ "title": "Reactivity Data", "filters": { "stats": ["", "Species", "Dilution Info", "Notes"], "tabs": { "all-applications": {"fullname" : "All Applications", "shortname": "All Applications"}, "IHCP" : {"fullname" : "Immunohistochemistry (Formalin/PFA-fixed paraffin-embedded sections)", "shortname":"IHC-P"}, "FlowCyt" : {"fullname" : "Flow Cytometry", "shortname":"Flow Cyt"}, "WB" : {"fullname" : "Western blot", "shortname":"WB"}, "ICCIF" : {"fullname" : "Immunocytochemistry/ Immunofluorescence", "shortname":"ICC/IF"} }, "product-promise": { "all": "all", "testedAndGuaranteed": "tested", "guaranteed": "expected", "predicted": "predicted", "notRecommended": "not-recommended" } }, "values": { "Human": { "IHCP-species-checked": "testedAndGuaranteed", "IHCP-species-dilution-info": "5 µg/mL", "IHCP-species-notes": "<p></p> Perform heat-mediated antigen retrieval with citrate buffer pH 6 before commencing with IHC staining protocol.", "FlowCyt-species-checked": "testedAndGuaranteed", "FlowCyt-species-dilution-info": "0.5 µg/mL", "FlowCyt-species-notes": "<p><a href='/en-us/products/primary-antibodies/mouse-igg2b-kappa-monoclonal-7e10g10-isotype-control-ab170192'>ab170192</a> - Mouse monoclonal IgG2b, is suitable for use as an isotype control with this antibody.</p>", "WB-species-checked": "testedAndGuaranteed", "WB-species-dilution-info": "1/100", "WB-species-notes": "<p></p>", "ICCIF-species-checked": "guaranteed", "ICCIF-species-dilution-info": "", "ICCIF-species-notes": "<p></p>" }, "Mouse": { "IHCP-species-checked": "predicted", "IHCP-species-dilution-info": "", "IHCP-species-notes": "", "FlowCyt-species-checked": "predicted", "FlowCyt-species-dilution-info": "", "FlowCyt-species-notes": "", "WB-species-checked": "predicted", "WB-species-dilution-info": "", "WB-species-notes": "", "ICCIF-species-checked": "guaranteed", "ICCIF-species-dilution-info": "", "ICCIF-species-notes": "<p></p>" } } }

Properties and storage information

Form
Liquid
Purification technique
Affinity purification Protein G
Purification notes
ab51500 purified using protein G column chromatography from culture supernatant of hybridoma cultured in a medium containing bovine IgG-depleted (approximately 95%) fetal bovine serum.
Storage buffer
pH: 7.4 Preservative: 0.05% Sodium azide Constituents: PBS, 1.05% Potassium chloride, 1% BSA, 0.1312% Sodium phosphate
Shipped at conditions
Blue Ice
Appropriate short-term storage duration
1-2 weeks
Appropriate short-term storage conditions
+4°C
Appropriate long-term storage conditions
-20°C
Aliquoting information
Upon delivery aliquot
Storage information
Avoid freeze / thaw cycle

Supplementary information

This supplementary information is collated from multiple sources and compiled automatically.

TIP49A also known as RUVBL1 or Pontin is a 54 kDa protein that plays a mechanical role in various cellular processes. TIP49A functions as an ATPase with a part in the regulation of the chromatin structure and remodeling. It is expressed in the nucleus and cytoplasm of many cell types indicating its broad involvement in cellular activities. Being highly evolutionarily conserved TIP49A shows a strong degree of structural conservation which hints at its essential roles maintained across species.
Biological function summary

TIP49A contributes to the assembly and function of multiprotein complexes. It works closely as part of the INO80 and TIP60 chromatin remodeling complexes which are important for transcription regulation and DNA repair. Through these associations TIP49A is key in controlling access to DNA impacting gene expression and stability of chromosomes. Its role in mediating interactions between different protein partners underlines its importance in maintaining cellular homeostasis and response to DNA damage.

Pathways

TIP49A participates in essential cellular processes like transcriptional regulation and DNA repair. In the context of transcription regulation TIP49A operates alongside MYC a well-known oncogene to influence gene expression linked to cell proliferation. It also plays a significant role in the homologous recombination repair pathway interacting with proteins like RAD51 to ensure proper repair of DNA double-strand breaks. These pathways demonstrate the integral function of TIP49A in preserving genomic integrity and normal cell cycle progression.

TIP49A has links to cancer progression and neurodegenerative diseases. Overexpression of TIP49A is observed in various cancers including breast and colorectal cancer where it correlates with tumor growth and poor prognosis. It interacts with c-Myc a protein with significant oncogenic potential to drive aberrant cell proliferation. In neurodegenerative conditions such as Alzheimer's disease TIP49A's connection to chromatin remodeling dysregulation is of interest although research is still ongoing to fully elucidate this relationship.

Product protocols

For this product, it's our understanding that no specific protocols are required. You can visit:

Target data

Possesses single-stranded DNA-stimulated ATPase and ATP-dependent DNA helicase (3' to 5') activity; hexamerization is thought to be critical for ATP hydrolysis and adjacent subunits in the ring-like structure contribute to the ATPase activity (PubMed : 17157868, PubMed : 33205750). Component of the NuA4 histone acetyltransferase complex which is involved in transcriptional activation of select genes principally by acetylation of nucleosomal histones H4 and H2A (PubMed : 14966270). This modification may both alter nucleosome-DNA interactions and promote interaction of the modified histones with other proteins which positively regulate transcription (PubMed : 14966270). This complex may be required for the activation of transcriptional programs associated with oncogene and proto-oncogene mediated growth induction, tumor suppressor mediated growth arrest and replicative senescence, apoptosis, and DNA repair (PubMed : 14966270). The NuA4 complex ATPase and helicase activities seem to be, at least in part, contributed by the association of RUVBL1 and RUVBL2 with EP400. NuA4 may also play a direct role in DNA repair when recruited to sites of DNA damage (PubMed : 14966270). Component of a SWR1-like complex that specifically mediates the removal of histone H2A.Z/H2AZ1 from the nucleosome (PubMed : 24463511). Proposed core component of the chromatin remodeling INO80 complex which exhibits DNA- and nucleosome-activated ATPase activity and catalyzes ATP-dependent nucleosome sliding (PubMed : 16230350, PubMed : 21303910). Plays an essential role in oncogenic transformation by MYC and also modulates transcriptional activation by the LEF1/TCF1-CTNNB1 complex (PubMed : 10882073, PubMed : 16014379). Essential for cell proliferation (PubMed : 14506706). May be able to bind plasminogen at cell surface and enhance plasminogen activation (PubMed : 11027681).
See full target information RUVBL1

Publications (16)

Recent publications for all applications. Explore the full list and refine your search

Journal of experimental & clinical cancer research : CR 42:301 PubMed37957685

2023

MBD4 loss results in global reactivation of promoters and retroelements with low methylated CpG density.

Applications

Unspecified application

Species

Unspecified reactive species

Christophe Papin,Abdulkhaleg Ibrahim,Jamal S M Sabir,Stéphanie Le Gras,Isabelle Stoll,Raed S Albiheyri,Ali T Zari,Ahmed Bahieldin,Alfonso Bellacosa,Christian Bronner,Ali Hamiche

Cell death discovery 9:132 PubMed37076452

2023

RUVBL1-modulated chromatin remodeling alters the transcriptional activity of oncogenic CTNNB1 in uveal melanoma.

Applications

Unspecified application

Species

Unspecified reactive species

Chao Zhang,Shuai Wu

Journal of clinical laboratory analysis 37:e24825 PubMed36592991

2023

EIF3D promotes resistance to 5-fluorouracil in colorectal cancer through upregulating RUVBL1.

Applications

Unspecified application

Species

Unspecified reactive species

Chaobin Li,Kemei Lu,Chenggang Yang,Wenfeng Du,Zhengkai Liang

Journal of molecular biology 433:166928 PubMed33713676

2021

Pontin Functions as A Transcriptional Co-activator for Retinoic Acid-induced HOX Gene Expression.

Applications

Unspecified application

Species

Unspecified reactive species

Dan Tang,Zhao Zhang,Emily Zboril,Michael D Wetzel,Xinping Xu,Wei Zhang,Lizhen Chen,Zhijie Liu

Nature structural & molecular biology 27:696-705 PubMed32572255

2020

Epigenetic priming by Dppa2 and 4 in pluripotency facilitates multi-lineage commitment.

Applications

Unspecified application

Species

Unspecified reactive species

Mélanie A Eckersley-Maslin,Aled Parry,Marloes Blotenburg,Christel Krueger,Yoko Ito,Valar Nila Roamio Franklin,Masashi Narita,Clive S D'Santos,Wolf Reik

Nucleic acids research 48:3014-3028 PubMed31980815

2020

Cooperation of the NEIL3 and Fanconi anemia/BRCA pathways in interstrand crosslink repair.

Applications

Unspecified application

Species

Unspecified reactive species

Niu Li,Jian Wang,Susan S Wallace,Jing Chen,Jia Zhou,Alan D D'Andrea

Nucleic acids research 47:5368-5380 PubMed30931479

2019

N-terminal residues of human dyskerin are required for interactions with telomerase RNA that prevent RNA degradation.

Applications

Unspecified application

Species

Unspecified reactive species

Deanna E MacNeil,Patrick Lambert-Lanteigne,Chantal Autexier

BioMed research international 2018:6135016 PubMed29862278

2018

Pontin Acts as a Potential Biomarker for Poor Clinical Outcome and Promotes Tumor Invasion in Hilar Cholangiocarcinoma.

Applications

Unspecified application

Species

Unspecified reactive species

Qi Sun,Fanni Li,Songyang Yu,Xiang Zhang,Feiyu Shi,Junjun She

G3 (Bethesda, Md.) 8:1095-1102 PubMed29432129

2018

Identification of Two Distinct Classes of the Human INO80 Complex Genome-Wide.

Applications

Unspecified application

Species

Unspecified reactive species

John S Runge,Jesse R Raab,Terry Magnuson

Proceedings of the National Academy of Sciences of 114:7077-7082 PubMed28630300

2017

G9a drives hypoxia-mediated gene repression for breast cancer cell survival and tumorigenesis.

Applications

Unspecified application

Species

Unspecified reactive species

Francesco Casciello,Fares Al-Ejeh,Greg Kelly,Donal J Brennan,Shin Foong Ngiow,Arabella Young,Thomas Stoll,Karolina Windloch,Michelle M Hill,Mark J Smyth,Frank Gannon,Jason S Lee
View all publications

Product promise

We are committed to supporting your work with high-quality reagents, and we're here for you every step of the way. In the unlikely event that one of our products does not perform as expected, you're protected by our Product Promise.
For full details, please see our Terms & Conditions

Please note: All products are 'FOR RESEARCH USE ONLY. NOT FOR USE IN DIAGNOSTIC OR THERAPEUTIC PROCEDURES'.

For licensing inquiries, please contact partnerships@abcam.com