JavaScript is disabled in your browser. Please enable JavaScript to view this website.
AB316005

Anti-TIP49A antibody [EPR28169-31] - BSA and Azide free

Be the first to review this product! Submit a review

|

(0 Publication)

Rabbit Recombinant Monoclonal TIP49A antibody. Carrier free. Suitable for WB, IHC-P, IP, ICC/IF, Flow Cyt (Intra) and reacts with Recombinant fragment - Human, Human, Mouse, Rat samples.

View Alternative Names

INO80H, NMP238, TIP49, TIP49A, RUVBL1, RuvB-like 1, 49 kDa TATA box-binding protein-interacting protein, 54 kDa erythrocyte cytosolic protein, INO80 complex subunit H, Nuclear matrix protein 238, Pontin 52, TIP49a, TIP60-associated protein 54-alpha, 49 kDa TBP-interacting protein, ECP-54, NMP 238, TAP54-alpha

15 Images
Flow Cytometry (Intracellular) - Anti-TIP49A antibody [EPR28169-31] - BSA and Azide free (AB316005)
  • Flow Cyt (Intra)

Supplier Data

Flow Cytometry (Intracellular) - Anti-TIP49A antibody [EPR28169-31] - BSA and Azide free (AB316005)

This data was developed using ab316004, the same antibody clone in a different buffer formulation.

Flow cytometric analysis of 4% paraformaldehyde fixed 90% methanol permeabilized HeLa (human cervical adenocarcinoma epithelial cell) cells labelling TIP49A with ab316004 at 1/500 dilution (0.1 ug)/Red compared with a Rabbit monoclonal IgG (ab172730) (Black) isotype control and an unlabelled control (cells without incubation with primary antibody and secondary antibody) (Blue).

Goat Anti-Rabbit IgG (Alexa Fluor® 488, ab150081) at 1/5000 dilution was used as the secondary antibody.

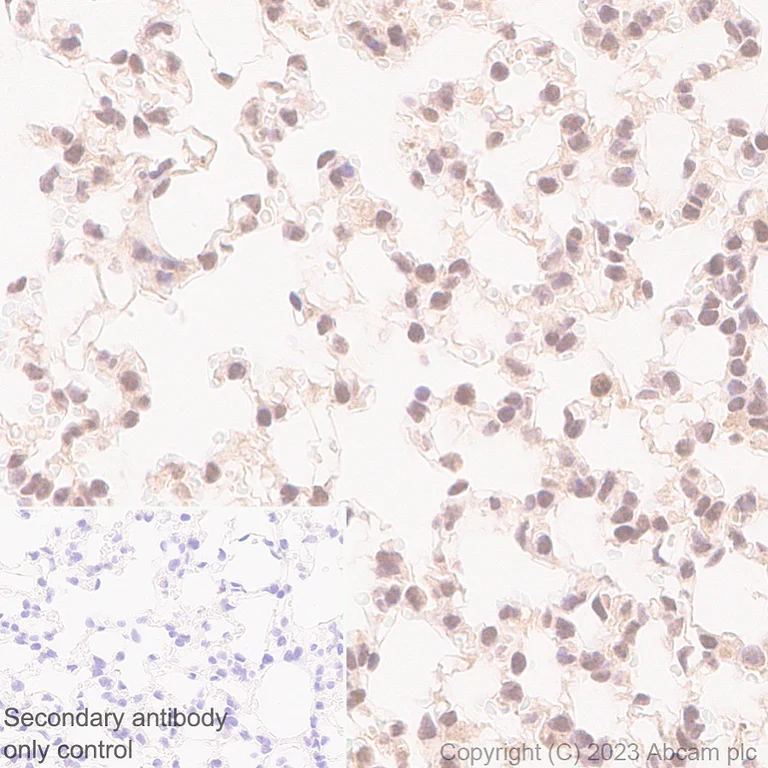
Immunohistochemistry (Formalin/PFA-fixed paraffin-embedded sections) - Anti-TIP49A antibody [EPR28169-31] - BSA and Azide free (AB316005)
  • IHC-P

Supplier Data

Immunohistochemistry (Formalin/PFA-fixed paraffin-embedded sections) - Anti-TIP49A antibody [EPR28169-31] - BSA and Azide free (AB316005)

This data was developed using ab316004, the same antibody clone in a different buffer formulation.

Immunohistochemical analysis of paraffin-embedded Human lung tissue labeling TIP49A with ab316004 at 1/10000 (0.049 ug/ml) dilution, followed by a ready to use LeicaDS9800 (Bond™ Polymer Refine Detection).

Positive staining on human lung.
The section was incubated with ab316004 for 10 mins at room temperature.
The immunostaining was performed on a Leica Biosystems BOND® RX instrument
Incubate slides with 3% Hydrogen Peroxide for 10 mins at room temperature after secondary antibody incubation to reduce the background

Counterstained with Hematoxylin.

Secondary antibody only control : Secondary antibody is a ready to use LeicaDS9800 (Bond™ Polymer Refine Detection).

Heat mediated antigen retrieval was performed with Tris-EDTA buffer (pH 9.0, Epitope Retrieval Solution2) for 20 mins

Immunohistochemistry (Formalin/PFA-fixed paraffin-embedded sections) - Anti-TIP49A antibody [EPR28169-31] - BSA and Azide free (AB316005)
  • IHC-P

Supplier Data

Immunohistochemistry (Formalin/PFA-fixed paraffin-embedded sections) - Anti-TIP49A antibody [EPR28169-31] - BSA and Azide free (AB316005)

This data was developed using ab316004, the same antibody clone in a different buffer formulation.

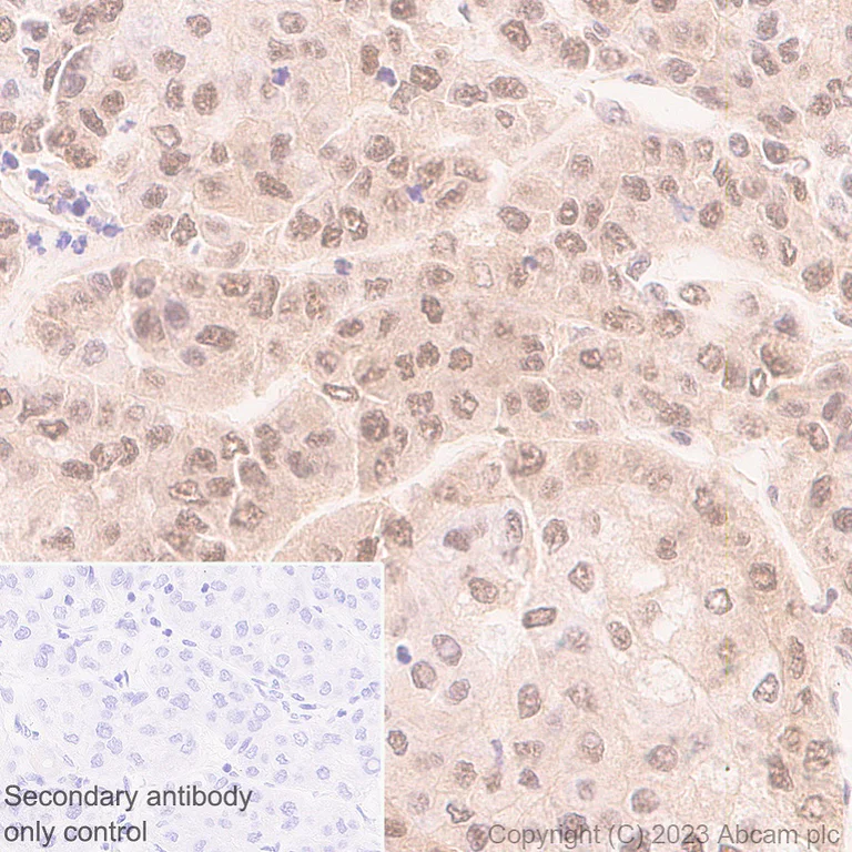
Immunohistochemical analysis of paraffin-embedded Human hepatocellular carcinoma tissue labeling TIP49A with ab316004 at 1/10000 (0.049 ug/ml) dilution, followed by a ready to use LeicaDS9800 (Bond™ Polymer Refine Detection).

Positive staining on human hepatocellular carcinoma (PMID : 19877184).
The section was incubated with ab316004 for 10 mins at room temperature.
The immunostaining was performed on a Leica Biosystems BOND® RX instrument
Incubate slides with 3% Hydrogen Peroxide for 10 mins at room temperature after secondary antibody incubation to reduce the background

Counterstained with Hematoxylin.

Secondary antibody only control : Secondary antibody is a ready to use LeicaDS9800 (Bond™ Polymer Refine Detection).

Heat mediated antigen retrieval was performed with Tris-EDTA buffer (pH 9.0, Epitope Retrieval Solution2) for 20 mins

Immunocytochemistry/ Immunofluorescence - Anti-TIP49A antibody [EPR28169-31] - BSA and Azide free (AB316005)
  • ICC/IF

Supplier Data

Immunocytochemistry/ Immunofluorescence - Anti-TIP49A antibody [EPR28169-31] - BSA and Azide free (AB316005)

This data was developed using ab316004, the same antibody clone in a different buffer formulation.

Immunofluorescent analysis of 4% Paraformaldehyde-fixed, 0.1% TritonX-100 permeabilized HeLa (human cervical adenocarcinoma epithelial cell) cells labelling TIP49A with ab316004 at 1/50 (9.86 ug/ml) dilution, followed by ab150081 Goat Anti-Rabbit IgG H&L (Alexa Fluor® 488) preadsorbed antibody at 1/1000 (2 ug/ml) dilution (Green).

Confocal image showing nuclear and weak cytoplasmic staining in HeLa cell line.
Image was taken with a confocal microscope(Leica-Microsystems, TCS SP8).

ab195889 Anti-alpha Tubulin mouse monoclonal antibody - Microtubule Marker (Alexa Fluor® 594) was used to counterstain tubulin at 1/200 (2.5ug/ml) dilution (Red). The Nuclear counterstain was DAPI (Blue).

Secondary antibody only control : Secondary antibody is ab150081 Goat Anti-Rabbit IgG H&L (Alexa Fluor® 488) preadsorbed at 1/1000 (2 ug/ml) dilution.

Immunohistochemistry (Formalin/PFA-fixed paraffin-embedded sections) - Anti-TIP49A antibody [EPR28169-31] - BSA and Azide free (AB316005)
  • IHC-P

Supplier Data

Immunohistochemistry (Formalin/PFA-fixed paraffin-embedded sections) - Anti-TIP49A antibody [EPR28169-31] - BSA and Azide free (AB316005)

This data was developed using ab316004, the same antibody clone in a different buffer formulation.

Immunohistochemical analysis of paraffin-embedded Human skeletal muscle tissue labeling TIP49A with ab316004 at 1/10000 (0.049 ug/ml) dilution, followed by a ready to use LeicaDS9800 (Bond™ Polymer Refine Detection).

Low expression tissue : No staining on human skeletal muscle.
The section was incubated with ab316004 for 10 mins at room temperature.
The immunostaining was performed on a Leica Biosystems BOND® RX instrument
Incubate slides with 3% Hydrogen Peroxide for 10 mins at room temperature after secondary antibody incubation to reduce the background

Counterstained with Hematoxylin.

Secondary antibody only control : Secondary antibody is a ready to use LeicaDS9800 (Bond™ Polymer Refine Detection).

Heat mediated antigen retrieval was performed with Tris-EDTA buffer (pH 9.0, Epitope Retrieval Solution2) for 20 mins

Immunoprecipitation - Anti-TIP49A antibody [EPR28169-31] - BSA and Azide free (AB316005)
  • IP

Supplier Data

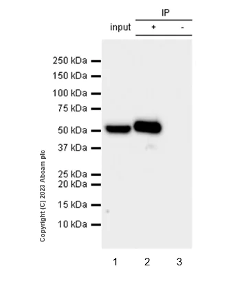
Immunoprecipitation - Anti-TIP49A antibody [EPR28169-31] - BSA and Azide free (AB316005)

This data was developed using ab316004, the same antibody clone in a different buffer formulation.

TIP49A was immunoprecipitated from 0.35 mg HeLa (human cervical adenocarcinoma epithelial cell) whole cell lysate with ab316004 at 1/30 dilution (2ug in 0.35mg lysates). Western blot was performed on the immunoprecipitate using ab316004 at 1/1000 dilution. VeriBlot for IP secondary antibody(HRP)(ab131366) was used at 1/5000 dilution.

Lane 1 : HeLa (human cervical adenocarcinoma epithelial cell) whole cell lysate
Lane 2 : ab316004 IP in HeLa (human cervical adenocarcinoma epithelial cell) whole cell lysate
Lane 3 : Rabbit monoclonal IgG (ab172730) instead of ab316004 in HeLa whole cell lysate

All lanes:

Immunoprecipitation - Anti-TIP49A antibody [EPR28169-31] (<a href='/en-us/products/primary-antibodies/tip49a-antibody-epr28169-31-ab316004'>ab316004</a>) at 1/30 dilution

All lanes:

HeLa (human cervical adenocarcinoma epithelial cell) whole cell lysate with 5% NFDM/TBST

Secondary

All lanes:

Immunoprecipitation - VeriBlot for IP Detection Reagent (HRP) (<a href='/en-us/products/reagents/veriblot-for-ip-detection-reagent-hrp-ab131366'>ab131366</a>) at 1/5000 dilution

false

Exposure time: 24s

Immunohistochemistry (Formalin/PFA-fixed paraffin-embedded sections) - Anti-TIP49A antibody [EPR28169-31] - BSA and Azide free (AB316005)
  • IHC-P

Supplier Data

Immunohistochemistry (Formalin/PFA-fixed paraffin-embedded sections) - Anti-TIP49A antibody [EPR28169-31] - BSA and Azide free (AB316005)

This data was developed using ab316004, the same antibody clone in a different buffer formulation.

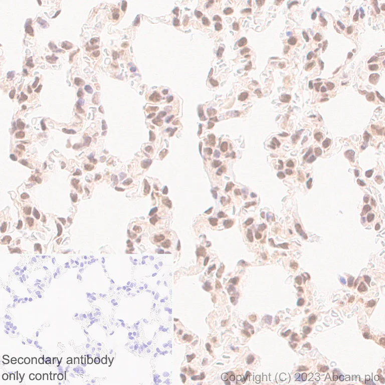
Immunohistochemical analysis of paraffin-embedded Mouse lung tissue labeling TIP49A with ab316004 at 1/10000 (0.049 ug/ml) dilution, followed by a ready to use LeicaDS9800 (Bond™ Polymer Refine Detection).

Positive staining on mouse lung.
The section was incubated with ab316004 for 10 mins at room temperature.
The immunostaining was performed on a Leica Biosystems BOND® RX instrument
Incubate slides with 3% Hydrogen Peroxide for 10 mins at room temperature after secondary antibody incubation to reduce the background

Counterstained with Hematoxylin.

Secondary antibody only control : Secondary antibody is a ready to use LeicaDS9800 (Bond™ Polymer Refine Detection).

Heat mediated antigen retrieval was performed with Tris-EDTA buffer (pH 9.0, Epitope Retrieval Solution2) for 20 mins

Immunohistochemistry (Formalin/PFA-fixed paraffin-embedded sections) - Anti-TIP49A antibody [EPR28169-31] - BSA and Azide free (AB316005)
  • IHC-P

Supplier Data

Immunohistochemistry (Formalin/PFA-fixed paraffin-embedded sections) - Anti-TIP49A antibody [EPR28169-31] - BSA and Azide free (AB316005)

This data was developed using ab316004, the same antibody clone in a different buffer formulation.

Immunohistochemical analysis of paraffin-embedded Rat lung tissue labeling TIP49A with ab316004 at 1/10000 (0.049 ug/ml) dilution, followed by a ready to use LeicaDS9800 (Bond™ Polymer Refine Detection).

Positive staining on rat lung.
The section was incubated with ab316004 for 10 mins at room temperature.
The immunostaining was performed on a Leica Biosystems BOND® RX instrument
Incubate slides with 3% Hydrogen Peroxide for 10 mins at room temperature after secondary antibody incubation to reduce the background

Counterstained with Hematoxylin.

Secondary antibody only control : Secondary antibody is a ready to use LeicaDS9800 (Bond™ Polymer Refine Detection).

Heat mediated antigen retrieval was performed with Tris-EDTA buffer (pH 9.0, Epitope Retrieval Solution2) for 20 mins

Immunohistochemistry (Formalin/PFA-fixed paraffin-embedded sections) - Anti-TIP49A antibody [EPR28169-31] - BSA and Azide free (AB316005)
  • IHC-P

Supplier Data

Immunohistochemistry (Formalin/PFA-fixed paraffin-embedded sections) - Anti-TIP49A antibody [EPR28169-31] - BSA and Azide free (AB316005)

This data was developed using ab316004, the same antibody clone in a different buffer formulation.

Immunohistochemical analysis of paraffin-embedded Rat skeletal muscle tissue labeling TIP49A with ab316004 at 1/10000 (0.049 ug/ml) dilution, followed by a ready to use LeicaDS9800 (Bond™ Polymer Refine Detection).

Low expression tissue : Weak staining on rat skeletal muscle.
The section was incubated with ab316004 for 10 mins at room temperature.
The immunostaining was performed on a Leica Biosystems BOND® RX instrument
Incubate slides with 3% Hydrogen Peroxide for 10 mins at room temperature after secondary antibody incubation to reduce the background

Counterstained with Hematoxylin.

Secondary antibody only control : Secondary antibody is a ready to use LeicaDS9800 (Bond™ Polymer Refine Detection).

Heat mediated antigen retrieval was performed with Tris-EDTA buffer (pH 9.0, Epitope Retrieval Solution2) for 20 mins

Immunohistochemistry (Formalin/PFA-fixed paraffin-embedded sections) - Anti-TIP49A antibody [EPR28169-31] - BSA and Azide free (AB316005)
  • IHC-P

Supplier Data

Immunohistochemistry (Formalin/PFA-fixed paraffin-embedded sections) - Anti-TIP49A antibody [EPR28169-31] - BSA and Azide free (AB316005)

This data was developed using ab316004, the same antibody clone in a different buffer formulation.

Immunohistochemical analysis of paraffin-embedded Mouse skeletal muscle tissue labeling TIP49A with ab316004 at 1/10000 (0.049 ug/ml) dilution, followed by a ready to use LeicaDS9800 (Bond™ Polymer Refine Detection).

Low expression tissue : Weak staining on mouse skeletal muscle.
The section was incubated with ab316004 for 10 mins at room temperature.
The immunostaining was performed on a Leica Biosystems BOND® RX instrument
Incubate slides with 3% Hydrogen Peroxide for 10 mins at room temperature after secondary antibody incubation to reduce the background

Counterstained with Hematoxylin.

Secondary antibody only control : Secondary antibody is a ready to use LeicaDS9800 (Bond™ Polymer Refine Detection).

Heat mediated antigen retrieval was performed with Tris-EDTA buffer (pH 9.0, Epitope Retrieval Solution2) for 20 mins

Immunohistochemistry (Formalin/PFA-fixed paraffin-embedded sections) - Anti-TIP49A antibody [EPR28169-31] - BSA and Azide free (AB316005)
  • IHC-P

Supplier Data

Immunohistochemistry (Formalin/PFA-fixed paraffin-embedded sections) - Anti-TIP49A antibody [EPR28169-31] - BSA and Azide free (AB316005)

This data was developed using ab316004, the same antibody clone in a different buffer formulation.

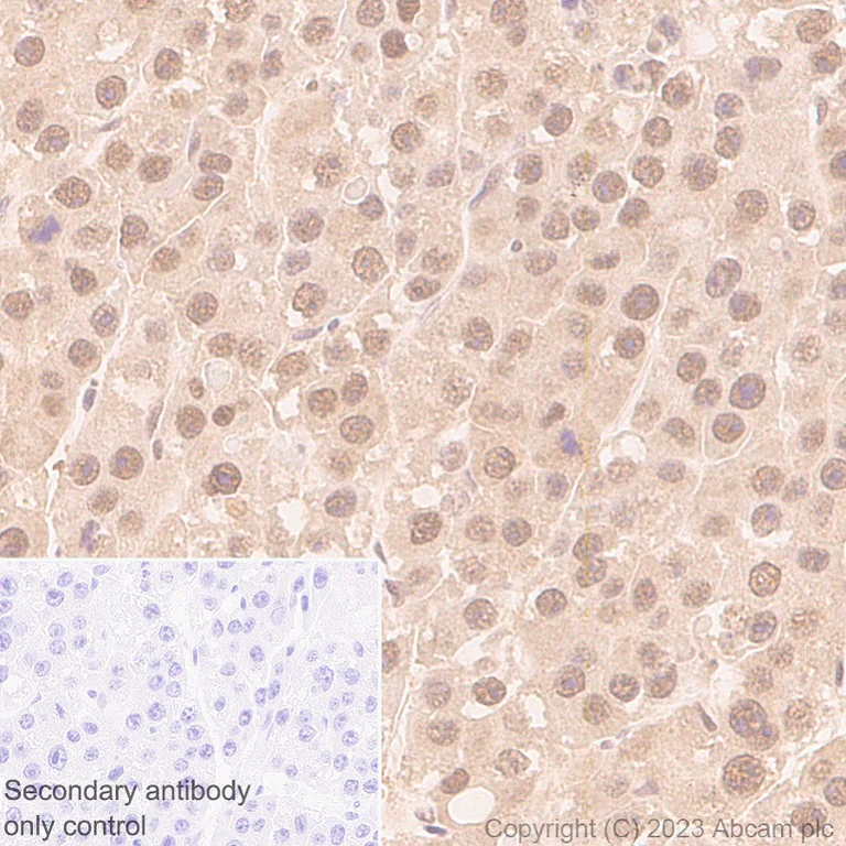
Immunohistochemical analysis of paraffin-embedded Mouse liver tumor tissue labeling TIP49A with ab316004 at 1/10000 (0.049 ug/ml) dilution, followed by a ready to use LeicaDS9800 (Bond™ Polymer Refine Detection).

Positive staining on mouse liver tumor.
The section was incubated with ab316004 for 10 mins at room temperature.
The immunostaining was performed on a Leica Biosystems BOND® RX instrument
Incubate slides with 3% Hydrogen Peroxide for 10 mins at room temperature after secondary antibody incubation to reduce the background

Counterstained with Hematoxylin.

Secondary antibody only control : Secondary antibody is a ready to use LeicaDS9800 (Bond™ Polymer Refine Detection).

Heat mediated antigen retrieval was performed with Tris-EDTA buffer (pH 9.0, Epitope Retrieval Solution2) for 20 mins

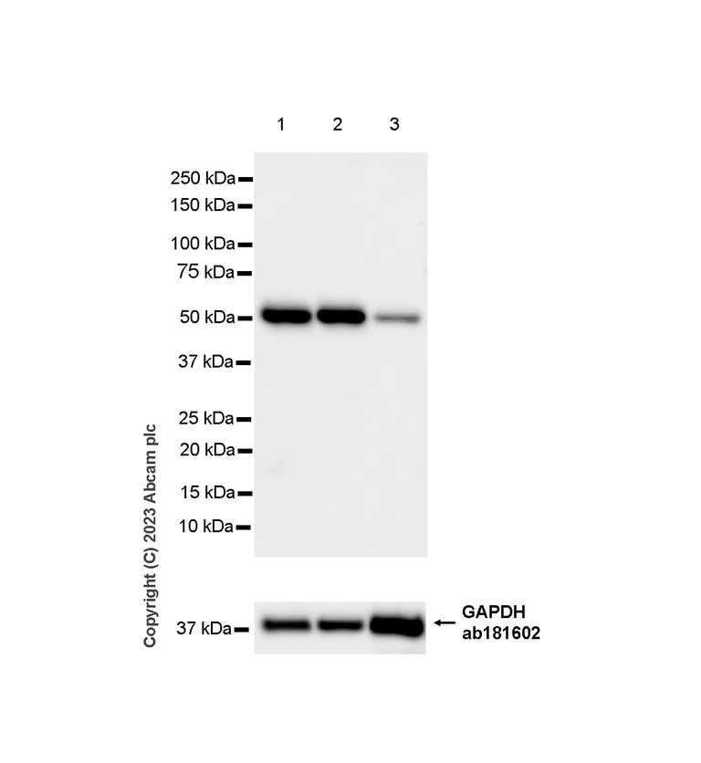
Western blot - Anti-TIP49A antibody [EPR28169-31] - BSA and Azide free (AB316005)
  • WB

Supplier Data

Western blot - Anti-TIP49A antibody [EPR28169-31] - BSA and Azide free (AB316005)

This data was developed using ab316004, the same antibody clone in a different buffer formulation.

In Western blot, Anti-GAPDH antibody [EPR16891] - Loading Control (ab181602) staining at 1/200000 dilution.

All lanes:

Western blot - Anti-TIP49A antibody [EPR28169-31] (<a href='/en-us/products/primary-antibodies/tip49a-antibody-epr28169-31-ab316004'>ab316004</a>) at 1/1000 dilution

Lane 1:

HeLa (human cervical adenocarcinoma epithelial cell) whole cell lysate at 20 µg with 5% NFDM/TBST

Lane 2:

MCF7 (human breast adenocarcinoma epithelial cell) whole cell lysate at 20 µg with 5% NFDM/TBST

Lane 3:

A549 (human lung carcinoma epithelial cell) whole cell lysate at 20 µg with 5% NFDM/TBST

Lane 4:

NIH/3T3 (mouse embryonic fibroblast) whole cell lysate at 20 µg with 5% NFDM/TBST

Lane 5:

C6 (rat glial tumor glial cell) whole cell lysate at 20 µg with 5% NFDM/TBST

Secondary

All lanes:

Western blot - Goat Anti-Rabbit IgG H&L (HRP) (<a href='/en-us/products/secondary-antibodies/goat-rabbit-igg-h-l-hrp-ab97051'>ab97051</a>) at 1/100000 dilution

Observed band size: 50 kDa,36 kDa

false

Exposure time: 15s

Western blot - Anti-TIP49A antibody [EPR28169-31] - BSA and Azide free (AB316005)
  • WB

Supplier Data

Western blot - Anti-TIP49A antibody [EPR28169-31] - BSA and Azide free (AB316005)

This data was developed using ab316004, the same antibody clone in a different buffer formulation.

Low expression : human skeletal muscle.

In Western blot, Anti-GAPDH antibody [EPR16891] - Loading Control (ab181602) staining at 1/200000 dilution.

All lanes:

Western blot - Anti-TIP49A antibody [EPR28169-31] (<a href='/en-us/products/primary-antibodies/tip49a-antibody-epr28169-31-ab316004'>ab316004</a>) at 1/1000 dilution

Lane 1:

Human lung tissue lysate at 20 µg with 5% NFDM/TBST

Lane 2:

Human testis tissue lysate at 20 µg with 5% NFDM/TBST

Lane 3:

Human skeletal muscle tissue lysate at 20 µg with 5% NFDM/TBST

Secondary

All lanes:

Goat Anti-Rabbit IgG (HRP) with minimal cross-reactivity with human IgG (Merck DC03L) at 1/2000 dilution

Observed band size: 50 kDa,36 kDa

false

Exposure time: 15s

Western blot - Anti-TIP49A antibody [EPR28169-31] - BSA and Azide free (AB316005)
  • WB

Supplier Data

Western blot - Anti-TIP49A antibody [EPR28169-31] - BSA and Azide free (AB316005)

This data was developed using ab316004, the same antibody clone in a different buffer formulation.

Low expression : skeletal muscle, heart (PMID : 10428817; PMID : 10336418).

In Western blot, Anti-GAPDH antibody [EPR16891] - Loading Control (ab181602) staining at 1/200000 dilution.

All lanes:

Western blot - Anti-TIP49A antibody [EPR28169-31] (<a href='/en-us/products/primary-antibodies/tip49a-antibody-epr28169-31-ab316004'>ab316004</a>) at 1/1000 dilution

Lane 1:

Mouse lung tissue lysate at 20 µg with 5% NFDM/TBST

Lane 2:

Mouse testis tissue lysate at 20 µg with 5% NFDM/TBST

Lane 3:

Mouse skeletal muscle tissue lysate at 20 µg with 5% NFDM/TBST

Lane 4:

Mouse heart tissue lysate at 20 µg with 5% NFDM/TBST

Lane 5:

Rat lung tissue lysate at 20 µg with 5% NFDM/TBST

Lane 6:

Rat testis tissue lysate at 20 µg with 5% NFDM/TBST

Lane 7:

Rat skeletal muscle tissue lysate at 20 µg with 5% NFDM/TBST

Lane 8:

Rat heart tissue lysate at 20 µg with 5% NFDM/TBST

Secondary

All lanes:

Western blot - Goat Anti-Rabbit IgG H&L (HRP) (<a href='/en-us/products/secondary-antibodies/goat-rabbit-igg-h-l-hrp-ab97051'>ab97051</a>) at 1/100000 dilution

Observed band size: 50 kDa,36 kDa

false

Exposure time: 37s

Western blot - Anti-TIP49A antibody [EPR28169-31] - BSA and Azide free (AB316005)
  • WB

Supplier Data

Western blot - Anti-TIP49A antibody [EPR28169-31] - BSA and Azide free (AB316005)

This data was developed using ab316004, the same antibody clone in a different buffer formulation.

This antibody does not cross-react with human RUVBL2.

All the recombinant proteins were made in-house.

In Western blot, Anti-6X His tag® antibody [EPR20547] - ChIP Grade (ab213204) staining at 1/5000 dilution.

All lanes:

Western blot - Anti-TIP49A antibody [EPR28169-31] (<a href='/en-us/products/primary-antibodies/tip49a-antibody-epr28169-31-ab316004'>ab316004</a>) at 1/1000 dilution

Lane 1:

His-tagged human RUVBL1 recombinant protein fragment at 20 ng with 5% NFDM/TBST

Lane 2:

His-tagged human RUVBL2 recombinant protein fragment at 20 ng with 5% NFDM/TBST

Secondary

All lanes:

Western blot - Goat Anti-Rabbit IgG H&L (HRP) (<a href='/en-us/products/secondary-antibodies/goat-rabbit-igg-h-l-hrp-ab97051'>ab97051</a>) at 1/100000 dilution

Observed band size: 50 kDa

false

Exposure time: 3s

Key facts

Host species

Rabbit

Clonality

Monoclonal

Clone number

EPR28169-31

Isotype

IgG

Carrier free

Yes

Reacts with

Human, Mouse, Rat

Applications

WB, IHC-P, ICC/IF, IP, Flow Cyt (Intra)

applications

Immunogen

The exact immunogen used to generate this antibody is proprietary information.

Reactivity data

{ "title": "Reactivity Data", "filters": { "stats": ["", "Species", "Dilution Info", "Notes"], "tabs": { "all-applications": {"fullname" : "All Applications", "shortname": "All Applications"}, "WB" : {"fullname" : "Western blot", "shortname":"WB"}, "IHCP" : {"fullname" : "Immunohistochemistry (Formalin/PFA-fixed paraffin-embedded sections)", "shortname":"IHC-P"}, "IP" : {"fullname" : "Immunoprecipitation", "shortname":"IP"}, "ICCIF" : {"fullname" : "Immunocytochemistry/ Immunofluorescence", "shortname":"ICC/IF"}, "FlowCytIntra" : {"fullname" : "Flow Cytometry (Intracellular)", "shortname":"Flow Cyt (Intra)"}, "ChIPseq" : {"fullname" : "ChIP-sequencing", "shortname":"ChIP-seq"} }, "product-promise": { "all": "all", "testedAndGuaranteed": "tested", "guaranteed": "expected", "predicted": "predicted", "notRecommended": "not-recommended" } }, "values": { "Human": { "WB-species-checked": "testedAndGuaranteed", "WB-species-dilution-info": "", "WB-species-notes": "<p></p>", "IHCP-species-checked": "testedAndGuaranteed", "IHCP-species-dilution-info": "", "IHCP-species-notes": "<p></p>", "IP-species-checked": "testedAndGuaranteed", "IP-species-dilution-info": "", "IP-species-notes": "<p></p>", "ICCIF-species-checked": "testedAndGuaranteed", "ICCIF-species-dilution-info": "", "ICCIF-species-notes": "<p></p>", "FlowCytIntra-species-checked": "testedAndGuaranteed", "FlowCytIntra-species-dilution-info": "", "FlowCytIntra-species-notes": "<p></p>", "ChIPseq-species-checked": "notRecommended", "ChIPseq-species-dilution-info": "", "ChIPseq-species-notes": "<p></p>" }, "Mouse": { "WB-species-checked": "testedAndGuaranteed", "WB-species-dilution-info": "", "WB-species-notes": "<p></p>", "IHCP-species-checked": "testedAndGuaranteed", "IHCP-species-dilution-info": "", "IHCP-species-notes": "<p></p>", "IP-species-checked": "guaranteed", "IP-species-dilution-info": "", "IP-species-notes": "", "ICCIF-species-checked": "guaranteed", "ICCIF-species-dilution-info": "", "ICCIF-species-notes": "", "FlowCytIntra-species-checked": "guaranteed", "FlowCytIntra-species-dilution-info": "", "FlowCytIntra-species-notes": "", "ChIPseq-species-checked": "notRecommended", "ChIPseq-species-dilution-info": "", "ChIPseq-species-notes": "" }, "Rat": { "WB-species-checked": "testedAndGuaranteed", "WB-species-dilution-info": "", "WB-species-notes": "<p></p>", "IHCP-species-checked": "testedAndGuaranteed", "IHCP-species-dilution-info": "", "IHCP-species-notes": "<p></p>", "IP-species-checked": "guaranteed", "IP-species-dilution-info": "", "IP-species-notes": "", "ICCIF-species-checked": "guaranteed", "ICCIF-species-dilution-info": "", "ICCIF-species-notes": "", "FlowCytIntra-species-checked": "guaranteed", "FlowCytIntra-species-dilution-info": "", "FlowCytIntra-species-notes": "", "ChIPseq-species-checked": "notRecommended", "ChIPseq-species-dilution-info": "", "ChIPseq-species-notes": "" }, "Recombinant fragment - Human": { "WB-species-checked": "testedAndGuaranteed", "WB-species-dilution-info": "", "WB-species-notes": "<p></p>", "IHCP-species-checked": "notRecommended", "IHCP-species-dilution-info": "", "IHCP-species-notes": "", "IP-species-checked": "notRecommended", "IP-species-dilution-info": "", "IP-species-notes": "", "ICCIF-species-checked": "notRecommended", "ICCIF-species-dilution-info": "", "ICCIF-species-notes": "", "FlowCytIntra-species-checked": "notRecommended", "FlowCytIntra-species-dilution-info": "", "FlowCytIntra-species-notes": "", "ChIPseq-species-checked": "notRecommended", "ChIPseq-species-dilution-info": "", "ChIPseq-species-notes": "" } } }

Product details

ab316005 is the carrier-free version of ab316004.

Patented technology
Our RabMAb® technology is a patented hybridoma-based technology for making rabbit monoclonal antibodies. For details on our patents, please refer to RabMAb® patents.

What are the advantages of a recombinant monoclonal antibody?
This product is a recombinant monoclonal antibody, which offers several advantages including:

  • - High batch-to-batch consistency and reproducibility
  • - Improved sensitivity and specificity
  • - Long-term security of supply
  • - Animal-free batch production

For more information, read more on recombinant antibodies.

Conjugation ready
Our carrier-free antibodies are typically supplied in a PBS-only formulation, purified and free of BSA, sodium azide and glycerol. This conjugation-ready format is designed for use with fluorochromes, metal isotopes, oligonucleotides, and enzymes, which makes them ideal for antibody labelling, functional and cell-based assays, flow-based assays (e.g. mass cytometry) and Multiplex Imaging applications.

Use our conjugation kits for antibody conjugates that are ready-to-use in as little as 20 minutes with 1 minute hands-on-time and 100% antibody recovery: available for fluorescent dyes, HRP, biotin and gold.

Compatibility
This product is compatible with the Maxpar® Antibody Labeling Kit from Fluidigm, without the need for antibody preparation. Maxpar® is a trademark of Fluidigm Canada Inc.

Properties and storage information

Form
Liquid
Purification technique
Affinity purification Protein A
Storage buffer
pH: 7.2 - 7.4 Constituents: PBS
Shipped at conditions
Blue Ice
Appropriate short-term storage conditions
+4°C
Appropriate long-term storage conditions
+4°C

Supplementary information

This supplementary information is collated from multiple sources and compiled automatically.

TIP49A also known as RUVBL1 or Pontin is a 54 kDa protein that plays a mechanical role in various cellular processes. TIP49A functions as an ATPase with a part in the regulation of the chromatin structure and remodeling. It is expressed in the nucleus and cytoplasm of many cell types indicating its broad involvement in cellular activities. Being highly evolutionarily conserved TIP49A shows a strong degree of structural conservation which hints at its essential roles maintained across species.
Biological function summary

TIP49A contributes to the assembly and function of multiprotein complexes. It works closely as part of the INO80 and TIP60 chromatin remodeling complexes which are important for transcription regulation and DNA repair. Through these associations TIP49A is key in controlling access to DNA impacting gene expression and stability of chromosomes. Its role in mediating interactions between different protein partners underlines its importance in maintaining cellular homeostasis and response to DNA damage.

Pathways

TIP49A participates in essential cellular processes like transcriptional regulation and DNA repair. In the context of transcription regulation TIP49A operates alongside MYC a well-known oncogene to influence gene expression linked to cell proliferation. It also plays a significant role in the homologous recombination repair pathway interacting with proteins like RAD51 to ensure proper repair of DNA double-strand breaks. These pathways demonstrate the integral function of TIP49A in preserving genomic integrity and normal cell cycle progression.

TIP49A has links to cancer progression and neurodegenerative diseases. Overexpression of TIP49A is observed in various cancers including breast and colorectal cancer where it correlates with tumor growth and poor prognosis. It interacts with c-Myc a protein with significant oncogenic potential to drive aberrant cell proliferation. In neurodegenerative conditions such as Alzheimer's disease TIP49A's connection to chromatin remodeling dysregulation is of interest although research is still ongoing to fully elucidate this relationship.

Product protocols

For this product, it's our understanding that no specific protocols are required. You can visit:

Target data

Possesses single-stranded DNA-stimulated ATPase and ATP-dependent DNA helicase (3' to 5') activity; hexamerization is thought to be critical for ATP hydrolysis and adjacent subunits in the ring-like structure contribute to the ATPase activity (PubMed : 17157868, PubMed : 33205750). Component of the NuA4 histone acetyltransferase complex which is involved in transcriptional activation of select genes principally by acetylation of nucleosomal histones H4 and H2A (PubMed : 14966270). This modification may both alter nucleosome-DNA interactions and promote interaction of the modified histones with other proteins which positively regulate transcription (PubMed : 14966270). This complex may be required for the activation of transcriptional programs associated with oncogene and proto-oncogene mediated growth induction, tumor suppressor mediated growth arrest and replicative senescence, apoptosis, and DNA repair (PubMed : 14966270). The NuA4 complex ATPase and helicase activities seem to be, at least in part, contributed by the association of RUVBL1 and RUVBL2 with EP400. NuA4 may also play a direct role in DNA repair when recruited to sites of DNA damage (PubMed : 14966270). Component of a SWR1-like complex that specifically mediates the removal of histone H2A.Z/H2AZ1 from the nucleosome (PubMed : 24463511). Proposed core component of the chromatin remodeling INO80 complex which exhibits DNA- and nucleosome-activated ATPase activity and catalyzes ATP-dependent nucleosome sliding (PubMed : 16230350, PubMed : 21303910). Plays an essential role in oncogenic transformation by MYC and also modulates transcriptional activation by the LEF1/TCF1-CTNNB1 complex (PubMed : 10882073, PubMed : 16014379). Essential for cell proliferation (PubMed : 14506706). May be able to bind plasminogen at cell surface and enhance plasminogen activation (PubMed : 11027681).
See full target information RUVBL1

Product promise

We are committed to supporting your work with high-quality reagents, and we're here for you every step of the way. In the unlikely event that one of our products does not perform as expected, you're protected by our Product Promise.
For full details, please see our Terms & Conditions

Please note: All products are 'FOR RESEARCH USE ONLY. NOT FOR USE IN DIAGNOSTIC OR THERAPEUTIC PROCEDURES'.

For licensing inquiries, please contact partnerships@abcam.com