JavaScript is disabled in your browser. Please enable JavaScript to view this website.
AB316849

Anti-TIPE2 antibody [EPR27964-2] - BSA and Azide free

Be the first to review this product! Submit a review

|

(0 Publication)

Rabbit Recombinant Monoclonal TIPE2 antibody. Carrier free. Suitable for WB, IHC-P, IP, ICC/IF and reacts with Human samples.

View Alternative Names

Tumor necrosis factor alpha-induced protein 8-like protein 2, TIPE2, TNF alpha-induced protein 8-like protein 2, TNFAIP8-like protein 2, Inflammation factor protein 20, TNFAIP8L2

8 Images
Immunocytochemistry/ Immunofluorescence - Anti-TIPE2 antibody [EPR27964-2] - BSA and Azide free (AB316849)
  • ICC/IF

Supplier Data

Immunocytochemistry/ Immunofluorescence - Anti-TIPE2 antibody [EPR27964-2] - BSA and Azide free (AB316849)

This data was developed using ab316848, the same antibody clone in a different buffer formulation.

Immunofluorescent analysis of 100% methanol-fixed, 0.1% TritonX-100 permeabilized THP-1 (human monocytic leukemia monocyte) cells labelling TIPE2 with ab316848 at 1/50 (10.04 ug/ml) dilution, followed by ab150081 Goat Anti-Rabbit IgG H&L (Alexa Fluor® 488) preadsorbed antibody at 1/1000 (2 ug/ml) dilution (Green).

Confocal image showing cytoplasmic and nuclear staining in THP-1 cell line.
Negative control : HepG2 (PMID : 24274578).
Image was taken with a confocal microscope(Leica-Microsystems, TCS SP8).

ab195889 Anti-alpha Tubulin mouse monoclonal antibody - Microtubule Marker (Alexa Fluor® 594) was used to counterstain tubulin at 1/200 (2.5ug/ml) dilution (Magenta). The Nuclear counterstain was DAPI (Blue).

Secondary antibody only control : Secondary antibody is ab150081 Goat Anti-Rabbit IgG H&L (Alexa Fluor® 488) preadsorbed at 1/1000 (2 ug/ml) dilution.

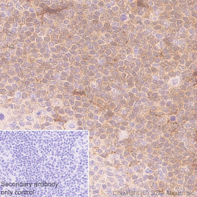
Immunohistochemistry (Formalin/PFA-fixed paraffin-embedded sections) - Anti-TIPE2 antibody [EPR27964-2] - BSA and Azide free (AB316849)
  • IHC-P

Supplier Data

Immunohistochemistry (Formalin/PFA-fixed paraffin-embedded sections) - Anti-TIPE2 antibody [EPR27964-2] - BSA and Azide free (AB316849)

This data was developed using ab316848, the same antibody clone in a different buffer formulation.

Immunohistochemical analysis of paraffin-embedded Human tonsil tissue labeling TIPE2 with ab316848 at 1/100 (5.02 ug/ml) dilution, followed by a ready to use LeicaDS9800 (Bond™ Polymer Refine Detection).

Positive staining on human tonsil.
The section was incubated with ab316848 for 30 mins at room temperature.
The immunostaining was performed on a Leica Biosystems BOND® RX instrument

Counterstained with Hematoxylin.

Secondary antibody only control : Secondary antibody is a ready to use LeicaDS9800 (Bond™ Polymer Refine Detection).

Heat mediated antigen retrieval was performed with Tris-EDTA buffer (pH 9.0, Epitope Retrieval Solution2) for 20 mins

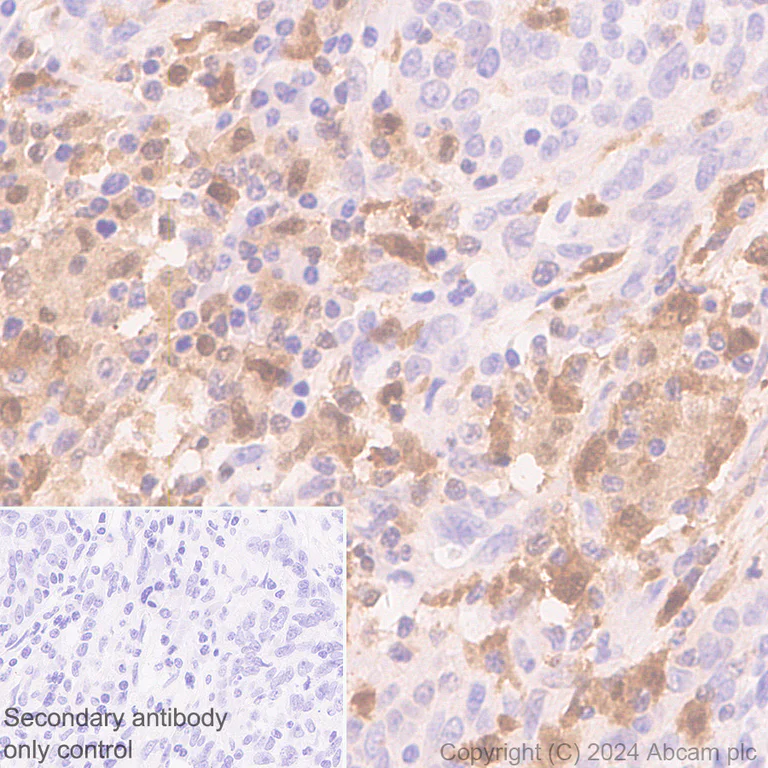
Immunohistochemistry (Formalin/PFA-fixed paraffin-embedded sections) - Anti-TIPE2 antibody [EPR27964-2] - BSA and Azide free (AB316849)
  • IHC-P

Supplier Data

Immunohistochemistry (Formalin/PFA-fixed paraffin-embedded sections) - Anti-TIPE2 antibody [EPR27964-2] - BSA and Azide free (AB316849)

This data was developed using ab316848, the same antibody clone in a different buffer formulation.

Immunohistochemical analysis of paraffin-embedded Human colon tissue labeling TIPE2 with ab316848 at 1/100 (5.02 ug/ml) dilution, followed by a ready to use LeicaDS9800 (Bond™ Polymer Refine Detection).

Positive staining on stromal cells of human colon.
The section was incubated with ab316848 for 30 mins at room temperature.
The immunostaining was performed on a Leica Biosystems BOND® RX instrument

Counterstained with Hematoxylin.

Secondary antibody only control : Secondary antibody is a ready to use LeicaDS9800 (Bond™ Polymer Refine Detection).

Heat mediated antigen retrieval was performed with Tris-EDTA buffer (pH 9.0, Epitope Retrieval Solution2) for 20 mins

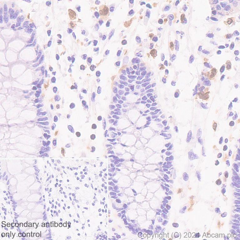
Immunohistochemistry (Formalin/PFA-fixed paraffin-embedded sections) - Anti-TIPE2 antibody [EPR27964-2] - BSA and Azide free (AB316849)
  • IHC-P

Supplier Data

Immunohistochemistry (Formalin/PFA-fixed paraffin-embedded sections) - Anti-TIPE2 antibody [EPR27964-2] - BSA and Azide free (AB316849)

This data was developed using ab316848, the same antibody clone in a different buffer formulation.

Immunohistochemical analysis of paraffin-embedded Human lung carcinoma tissue labeling TIPE2 with ab316848 at 1/100 (5.02 ug/ml) dilution, followed by a ready to use LeicaDS9800 (Bond™ Polymer Refine Detection).

Positive staining on human lung carcinoma (PMID : 25946186).
The section was incubated with ab316848 for 30 mins at room temperature.
The immunostaining was performed on a Leica Biosystems BOND® RX instrument

Counterstained with Hematoxylin.

Secondary antibody only control : Secondary antibody is a ready to use LeicaDS9800 (Bond™ Polymer Refine Detection).

Heat mediated antigen retrieval was performed with Tris-EDTA buffer (pH 9.0, Epitope Retrieval Solution2) for 20 mins

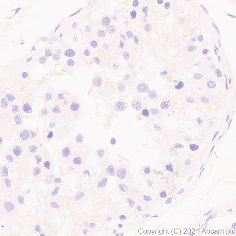
Immunohistochemistry (Formalin/PFA-fixed paraffin-embedded sections) - Anti-TIPE2 antibody [EPR27964-2] - BSA and Azide free (AB316849)
  • IHC-P

Supplier Data

Immunohistochemistry (Formalin/PFA-fixed paraffin-embedded sections) - Anti-TIPE2 antibody [EPR27964-2] - BSA and Azide free (AB316849)

This data was developed using ab316848, the same antibody clone in a different buffer formulation.

Immunohistochemical analysis of paraffin-embedded Human testis tissue labeling TIPE2 with ab316848 at 1/100 (5.02 ug/ml) dilution, followed by a ready to use LeicaDS9800 (Bond™ Polymer Refine Detection).

Low expression tissue : Nearly no staining on human testis.
The section was incubated with ab316848 for 30 mins at room temperature.
The immunostaining was performed on a Leica Biosystems BOND® RX instrument

Counterstained with Hematoxylin.

Secondary antibody only control : Secondary antibody is a ready to use LeicaDS9800 (Bond™ Polymer Refine Detection).

Heat mediated antigen retrieval was performed with Tris-EDTA buffer (pH 9.0, Epitope Retrieval Solution2) for 20 mins

Immunoprecipitation - Anti-TIPE2 antibody [EPR27964-2] - BSA and Azide free (AB316849)
  • IP

Supplier Data

Immunoprecipitation - Anti-TIPE2 antibody [EPR27964-2] - BSA and Azide free (AB316849)

This data was developed using ab316848, the same antibody clone in a different buffer formulation.

TIPE2 was immunoprecipitated from 0.35 mg THP-1 (human monocytic leukemia monocyte) whole cell lysate with ab316848 at 1/30 dilution (2ug in 0.35mg lysates). Western blot was performed on the immunoprecipitate using ab316848 at 1/1000 dilution. VeriBlot for IP secondary antibody(HRP)(ab131366) was used at 1/5000 dilution.

Lane 1 : THP-1 (human monocytic leukemia monocyte) whole cell lysate
Lane 2 : ab316848 IP in THP-1 (human monocytic leukemia monocyte) whole cell lysate
Lane 3 : Rabbit monoclonal IgG (ab172730) instead of ab316848 in THP-1 whole cell lysate

All lanes:

Immunoprecipitation - Anti-TIPE2 antibody [EPR27964-2] (<a href='/en-us/products/primary-antibodies/tipe2-antibody-epr27964-2-ab316848'>ab316848</a>) at 1/30 dilution

All lanes:

THP-1 (human monocytic leukemia monocyte) whole cell lysate

Secondary

All lanes:

Immunoprecipitation - VeriBlot for IP Detection Reagent (HRP) (<a href='/en-us/products/reagents/veriblot-for-ip-detection-reagent-hrp-ab131366'>ab131366</a>) at 1/5000 dilution

false

Exposure time: 180s

Western blot - Anti-TIPE2 antibody [EPR27964-2] - BSA and Azide free (AB316849)
  • WB

Supplier Data

Western blot - Anti-TIPE2 antibody [EPR27964-2] - BSA and Azide free (AB316849)

This data was developed using ab316848, the same antibody clone in a different buffer formulation.

Negative control : HepG2 (PMID : 24274578), 293T (PMID : 27696294).

In Western blot, Anti-GAPDH antibody [EPR16891] - Loading Control (ab181602) staining at 1/200000 dilution.

All lanes:

Western blot - Anti-TIPE2 antibody [EPR27964-2] (<a href='/en-us/products/primary-antibodies/tipe2-antibody-epr27964-2-ab316848'>ab316848</a>) at 1/1000 dilution

Lane 1:

THP-1 (human monocytic leukemia monocyte) whole cell lysate at 20 µg

Lane 2:

HepG2 (human hepatocellar carcinoma epithelial cell) whole cell lysate at 20 µg

Lane 3:

293T (human embryonic kidney epithelial cell) whole cell lysate at 20 µg

Secondary

All lanes:

Western blot - Goat Anti-Rabbit IgG H&L (HRP) (<a href='/en-us/products/secondary-antibodies/goat-rabbit-igg-h-l-hrp-ab97051'>ab97051</a>) at 1/100000 dilution

Observed band size: 18 kDa,36 kDa

true

Exposure time: 180s

Western blot - Anti-TIPE2 antibody [EPR27964-2] - BSA and Azide free (AB316849)
  • WB

Supplier Data

Western blot - Anti-TIPE2 antibody [EPR27964-2] - BSA and Azide free (AB316849)

This data was developed using ab316848, the same antibody clone in a different buffer formulation.

Low expression : testis (PMID : 30638932).

The identity of the bands between 25 kDa and 75 kDa are unknown.

In Western blot, Anti-GAPDH antibody [EPR16891] - Loading Control (ab181602) staining at 1/200000 dilution.

All lanes:

Western blot - Anti-TIPE2 antibody [EPR27964-2] (<a href='/en-us/products/primary-antibodies/tipe2-antibody-epr27964-2-ab316848'>ab316848</a>) at 1/1000 dilution

Lane 1:

Human spleen tissue lysate at 20 µg

Lane 2:

Human testis tissue lysate at 20 µg

Secondary

All lanes:

Goat Anti-Rabbit IgG (HRP) with minimal cross-reactivity with human IgG at 1/2000 dilution

Observed band size: 18 kDa

true

Exposure time: 103s

Key facts

Host species

Rabbit

Clonality

Monoclonal

Clone number

EPR27964-2

Isotype

IgG

Carrier free

Yes

Reacts with

Human

Applications

ICC/IF, IP, WB, IHC-P

applications

Immunogen

The exact immunogen used to generate this antibody is proprietary information.

Reactivity data

{ "title": "Reactivity Data", "filters": { "stats": ["", "Species", "Dilution Info", "Notes"], "tabs": { "all-applications": {"fullname" : "All Applications", "shortname": "All Applications"}, "WB" : {"fullname" : "Western blot", "shortname":"WB"}, "IHCP" : {"fullname" : "Immunohistochemistry (Formalin/PFA-fixed paraffin-embedded sections)", "shortname":"IHC-P"}, "IP" : {"fullname" : "Immunoprecipitation", "shortname":"IP"}, "ICCIF" : {"fullname" : "Immunocytochemistry/ Immunofluorescence", "shortname":"ICC/IF"}, "FlowCytIntra" : {"fullname" : "Flow Cytometry (Intracellular)", "shortname":"Flow Cyt (Intra)"} }, "product-promise": { "all": "all", "testedAndGuaranteed": "tested", "guaranteed": "expected", "predicted": "predicted", "notRecommended": "not-recommended" } }, "values": { "Human": { "WB-species-checked": "testedAndGuaranteed", "WB-species-dilution-info": "", "WB-species-notes": "<p></p>", "IHCP-species-checked": "testedAndGuaranteed", "IHCP-species-dilution-info": "", "IHCP-species-notes": "<p></p>", "IP-species-checked": "testedAndGuaranteed", "IP-species-dilution-info": "", "IP-species-notes": "<p></p>", "ICCIF-species-checked": "testedAndGuaranteed", "ICCIF-species-dilution-info": "", "ICCIF-species-notes": "<p></p>", "FlowCytIntra-species-checked": "notRecommended", "FlowCytIntra-species-dilution-info": "", "FlowCytIntra-species-notes": "<p></p>" }, "Mouse": { "WB-species-checked": "notRecommended", "WB-species-dilution-info": "", "WB-species-notes": "<p></p>", "IHCP-species-checked": "notRecommended", "IHCP-species-dilution-info": "", "IHCP-species-notes": "<p></p>", "IP-species-checked": "notRecommended", "IP-species-dilution-info": "", "IP-species-notes": "", "ICCIF-species-checked": "notRecommended", "ICCIF-species-dilution-info": "", "ICCIF-species-notes": "<p></p>", "FlowCytIntra-species-checked": "notRecommended", "FlowCytIntra-species-dilution-info": "", "FlowCytIntra-species-notes": "<p></p>" }, "Rat": { "WB-species-checked": "notRecommended", "WB-species-dilution-info": "", "WB-species-notes": "<p></p>", "IHCP-species-checked": "notRecommended", "IHCP-species-dilution-info": "", "IHCP-species-notes": "<p></p>", "IP-species-checked": "notRecommended", "IP-species-dilution-info": "", "IP-species-notes": "", "ICCIF-species-checked": "notRecommended", "ICCIF-species-dilution-info": "", "ICCIF-species-notes": "", "FlowCytIntra-species-checked": "notRecommended", "FlowCytIntra-species-dilution-info": "", "FlowCytIntra-species-notes": "" } } }

Product details

ab316849 is the carrirer-free version of ab316848.

Patented technology
Our RabMAb® technology is a patented hybridoma-based technology for making rabbit monoclonal antibodies. For details on our patents, please refer to RabMAb® patents.

What are the advantages of a recombinant monoclonal antibody?
This product is a recombinant monoclonal antibody, which offers several advantages including:

  • - High batch-to-batch consistency and reproducibility
  • - Improved sensitivity and specificity
  • - Long-term security of supply
  • - Animal-free batch production

For more information, read more on recombinant antibodies.

Conjugation ready
Our carrier-free antibodies are typically supplied in a PBS-only formulation, purified and free of BSA, sodium azide and glycerol. This conjugation-ready format is designed for use with fluorochromes, metal isotopes, oligonucleotides, and enzymes, which makes them ideal for antibody labelling, functional and cell-based assays, flow-based assays (e.g. mass cytometry) and Multiplex Imaging applications.

Use our conjugation kits for antibody conjugates that are ready-to-use in as little as 20 minutes with 1 minute hands-on-time and 100% antibody recovery: available for fluorescent dyes, HRP, biotin and gold.

Compatibility
This product is compatible with the Maxpar® Antibody Labeling Kit from Fluidigm, without the need for antibody preparation. Maxpar® is a trademark of Fluidigm Canada Inc.

Properties and storage information

Form
Liquid
Purification technique
Affinity purification Protein A
Storage buffer
pH: 7.2 - 7.4 Constituents: PBS
Shipped at conditions
Blue Ice
Appropriate short-term storage conditions
+4°C
Appropriate long-term storage conditions
+4°C

Supplementary information

This supplementary information is collated from multiple sources and compiled automatically.

TIPE2 also known as TNFAIP8L2 is a member of the TNFAIP8 family of proteins with a molecular mass of approximately 23 kDa. Mechanically TIPE2 acts as a regulator of cell death and survival processes playing a role in modulating immune responses. It is expressed in a variety of tissues but particularly abundant in immune-related cells such as macrophages and lymphocytes. The protein influences signaling pathways by interacting with other molecules in the cell affecting downstream responses.
Biological function summary

TIPE2 functions as a negative regulator of immune signaling pathways providing a check against excessive immune activation. It is a cytosolic protein that does not form part of a larger protein complex but can interact with membrane-associated signaling proteins. TIPE2 inhibits both NF-kB and MAPK signaling pathways which are important in mediating immune responses and inflammation. This regulatory function is essential for maintaining immune homeostasis and preventing inflammatory disorders.

Pathways

Research has highlighted that TIPE2 is integrated within immune signaling cascades particularly impacting the NF-kB and MAPK pathways. These pathways play pivotal roles in inflammation and immune system activation. TIPE2 acts to inhibit the activation of proteins like IKK and JNK which are key mediators within these pathways. By suppressing these pathways TIPE2 helps to balance immune responses and prevent overactivation that can lead to disease states.

TIPE2 has been associated with autoimmune diseases and cancer. Insufficient TIPE2 expression or function can lead to autoimmune disorders like rheumatoid arthritis where unchecked immune signaling causes tissue damage. Conversely overexpression might contribute to cancer progression by dampening anti-tumor immune responses. TIPE2’s interaction with TNFAIP8 family proteins has shown implications in tumor progression highlighting its dual role in modulating immune responses and potential for therapeutic targeting.

Product protocols

For this product, it's our understanding that no specific protocols are required. You can visit:

Target data

Acts as a negative regulator of innate and adaptive immunity by maintaining immune homeostasis (PubMed : 27043859). Plays a regulatory role in the Toll-like signaling pathway by determining the strength of LPS-induced signaling and gene expression (PubMed : 32188758). Inhibits TCR-mediated T-cell activation and negatively regulate T-cell function to prevent hyperresponsiveness (By similarity). Inhibits also autolysosome formation via negatively modulating MTOR activation by interacting with RAC1 and promoting the disassociation of the RAC1-MTOR complex (PubMed : 32460619). Plays an essential role in NK-cell biology by acting as a checkpoint and displaying an expression pattern correlating with NK-cell maturation process and by negatively regulating NK-cell maturation and antitumor immunity (By similarity). Mechanistically, suppresses IL-15-triggered mTOR activity in NK-cells (By similarity).
See full target information TNFAIP8L2

Product promise

We are committed to supporting your work with high-quality reagents, and we're here for you every step of the way. In the unlikely event that one of our products does not perform as expected, you're protected by our Product Promise.
For full details, please see our Terms & Conditions

Please note: All products are 'FOR RESEARCH USE ONLY. NOT FOR USE IN DIAGNOSTIC OR THERAPEUTIC PROCEDURES'.

For licensing inquiries, please contact partnerships@abcam.com