JavaScript is disabled in your browser. Please enable JavaScript to view this website.
AB319145

Anti-TIRAP antibody [EPR27962-49] - BSA and Azide free

Be the first to review this product! Submit a review

|

(0 Publication)

Rabbit Recombinant Monoclonal TIRAP antibody. Carrier free. Suitable for WB and reacts with Human samples.

View Alternative Names

MAL, TIRAP, Toll/interleukin-1 receptor domain-containing adapter protein, TIR domain-containing adapter protein, Adaptor protein Wyatt, MyD88 adapter-like protein, MyD88-2

2 Images
Western blot - Anti-TIRAP antibody [EPR27962-49] - BSA and Azide free (AB319145)
  • WB

Supplier Data

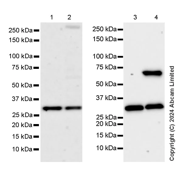
Western blot - Anti-TIRAP antibody [EPR27962-49] - BSA and Azide free (AB319145)

This data was developed using ab319144, the same antibody clone in a different buffer formulation.

Blocking and diluting buffer and concentration : 5% NFDM/TBST.

The expression of TIRAP is upregulated in response to PMA treatment (PMID : 35612375).

The identity of the higher MW band at approximately 60 kDa (in lane 3) is unknown.

In Western blot, Anti-Vinculin antibody [EPR8185] (ab129002) staining at 1/10000 dilution.

All lanes:

Western blot - Anti-TIRAP antibody [EPR27962-49] (<a href='/en-us/products/primary-antibodies/tirap-antibody-epr27962-49-ab319144'>ab319144</a>) at 1/1000 dilution

Lane 1:

HeLa (human cervical adenocarcinoma epithelial cell) transfected with scrambled siRNA control whole cell lysate at 20 µg

Lane 2:

HeLa transfected with siRNA specifically targeting TIRAP whole cell lysate at 20 µg

Lane 3:

Untreated THP-1 (human monocytic leukemia monocyte) whole cell lysate at 20 µg

Lane 4:

THP-1 treated with 100ng/ml Phorbol-12-myristate-13-acetate (PMA) for 72 hours whole cell lysate at 20 µg

Secondary

All lanes:

Western blot - Goat Anti-Rabbit IgG H&L (HRP) (<a href='/en-us/products/secondary-antibodies/goat-rabbit-igg-h-l-hrp-ab97051'>ab97051</a>) at 1/20000 dilution

Observed band size: 30 kDa,124 kDa

false

Exposure time: 81s

Western blot - Anti-TIRAP antibody [EPR27962-49] - BSA and Azide free (AB319145)
  • WB

Supplier Data

Western blot - Anti-TIRAP antibody [EPR27962-49] - BSA and Azide free (AB319145)

This data was developed using ab319144, the same antibody clone in a different buffer formulation.

Blocking and diluting buffer and concentration : 5% NFDM/TBST.

Lanes 1-2 are applied with Goat Anti-Rabbit IgG, (H+L), Peroxidase conjugated (ab97051) at 1/20000 and lanes 3-4 are applied with Goat Anti-Rabbit IgG (HRP) with minimal cross-reactivity with human IgG at 1/2000.

The identity of the higher MW band at approximately 60 kDa (in lane 4) is unknown.

Exposure time : Lanes 1-2 : 180 seconds; Lane 3-4 : 37 seconds

All lanes:

Western blot - Anti-TIRAP antibody [EPR27962-49] (<a href='/en-us/products/primary-antibodies/tirap-antibody-epr27962-49-ab319144'>ab319144</a>) at 1/1000 dilution

Lane 1:

HepG2 (human hepatocellular carcinoma epithelial cell) whole cell lysate at 20 µg

Lane 2:

293T (human embryonic kidney epithelial cell) whole cell lysate at 20 µg

Lane 3:

Human spleen tissue lysate at 20 µg

Lane 4:

Human Midbrain tissue lysate at 20 µg

Secondary

Lanes 1 - 2:

Western blot - Goat Anti-Rabbit IgG H&L (HRP) (<a href='/en-us/products/secondary-antibodies/goat-rabbit-igg-h-l-hrp-ab97051'>ab97051</a>) at 1/20000 dilution

Lanes 3 - 4:

Goat Anti-Rabbit IgG (HRP) with minimal cross-reactivity with human IgG at 1/2000 dilution

Observed band size: 30 kDa

false

Key facts

Host species

Rabbit

Clonality

Monoclonal

Clone number

EPR27962-49

Isotype

IgG

Carrier free

Yes

Reacts with

Human

Applications

WB

applications

Immunogen

The exact immunogen used to generate this antibody is proprietary information.

Reactivity data

{ "title": "Reactivity Data", "filters": { "stats": ["", "Species", "Dilution Info", "Notes"], "tabs": { "all-applications": {"fullname" : "All Applications", "shortname": "All Applications"}, "WB" : {"fullname" : "Western blot", "shortname":"WB"}, "IHCP" : {"fullname" : "Immunohistochemistry (Formalin/PFA-fixed paraffin-embedded sections)", "shortname":"IHC-P"}, "ICCIF" : {"fullname" : "Immunocytochemistry/ Immunofluorescence", "shortname":"ICC/IF"} }, "product-promise": { "all": "all", "testedAndGuaranteed": "tested", "guaranteed": "expected", "predicted": "predicted", "notRecommended": "not-recommended" } }, "values": { "Human": { "WB-species-checked": "testedAndGuaranteed", "WB-species-dilution-info": "", "WB-species-notes": "<p></p>", "IHCP-species-checked": "notRecommended", "IHCP-species-dilution-info": "", "IHCP-species-notes": "<p></p>", "ICCIF-species-checked": "notRecommended", "ICCIF-species-dilution-info": "", "ICCIF-species-notes": "<p></p>" }, "Mouse": { "WB-species-checked": "notRecommended", "WB-species-dilution-info": "", "WB-species-notes": "<p></p>", "IHCP-species-checked": "notRecommended", "IHCP-species-dilution-info": "", "IHCP-species-notes": "<p></p>", "ICCIF-species-checked": "notRecommended", "ICCIF-species-dilution-info": "", "ICCIF-species-notes": "<p></p>" }, "Rat": { "WB-species-checked": "notRecommended", "WB-species-dilution-info": "", "WB-species-notes": "<p></p>", "IHCP-species-checked": "notRecommended", "IHCP-species-dilution-info": "", "IHCP-species-notes": "<p></p>", "ICCIF-species-checked": "notRecommended", "ICCIF-species-dilution-info": "", "ICCIF-species-notes": "" } } }

Product details

ab319145 is the carrier-free version of ab319144.

Patented technology
Our RabMAb® technology is a patented hybridoma-based technology for making rabbit monoclonal antibodies. For details on our patents, please refer to RabMAb® patents.

What are the advantages of a recombinant monoclonal antibody?
This product is a recombinant monoclonal antibody, which offers several advantages including:

  • - High batch-to-batch consistency and reproducibility
  • - Improved sensitivity and specificity
  • - Long-term security of supply
  • - Animal-free batch production

For more information, read more on recombinant antibodies.

Conjugation ready
Our carrier-free antibodies are typically supplied in a PBS-only formulation, purified and free of BSA, sodium azide and glycerol. This conjugation-ready format is designed for use with fluorochromes, metal isotopes, oligonucleotides, and enzymes, which makes them ideal for antibody labelling, functional and cell-based assays, flow-based assays (e.g. mass cytometry) and Multiplex Imaging applications.

Use our conjugation kits for antibody conjugates that are ready-to-use in as little as 20 minutes with 1 minute hands-on-time and 100% antibody recovery: available for fluorescent dyes, HRP, biotin and gold.

Compatibility
This product is compatible with the Maxpar® Antibody Labeling Kit from Fluidigm, without the need for antibody preparation. Maxpar® is a trademark of Fluidigm Canada Inc.

Properties and storage information

Form
Liquid
Purification technique
Affinity purification Protein A
Storage buffer
pH: 7.2 - 7.4 Constituents: PBS
Shipped at conditions
Blue Ice
Appropriate short-term storage conditions
+4°C
Appropriate long-term storage conditions
+4°C

Supplementary information

This supplementary information is collated from multiple sources and compiled automatically.

TIRAP also known as Mal is an adapter protein integral to the Toll-like receptor (TLR) signaling pathway. It has a molecular mass of approximately 24 kDa. TIRAP resides mostly in the cytoplasm and gets recruited to the plasma membrane where it assists in signal transduction. It plays a significant role in bridging TLRs such as TLR2 and TLR4 with downstream signaling elements like MyD88. This protein mediates the recruitment of other signaling proteins after TLR activation therefore facilitating the innate immune response.
Biological function summary

TIRAP is part of the innate immune system and contributes to the immune response against pathogens. It forms part of a signaling complex that leads to the activation of NF-kB and MAP kinase pathways resulting in the production of inflammatory cytokines. The protein works by directly interacting with phosphatidylinositol 45-bisphosphate at the plasma membrane through its phosphoinositide-binding motif. This interaction ensures that TIRAP is correctly positioned to relay signals for immune activation.

Pathways

TIRAP functions in the MyD88-dependent signaling pathway which is significant for initiating inflammatory responses. TIRAP and MyD88 work in tandem to propagate signals from activated TLRs. This relationship not only aids in inflammation but also in the differentiation of immune cells. TIRAP is also related to other proteins like IRAK1 in these pathways which further transduces signals leading to downstream activation of transcription factors relevant for immune responses.

TIRAP plays a part in conditions like systemic lupus erythematosus and septic shock. Mutations in the TIRAP gene can alter the signaling cascade leading to aberrant immune responses associated with these diseases. In this context TIRAP interacts with TLR4 and any dysfunction in the interaction may contribute to the excessive inflammation seen in septic shock. Understanding TIRAP's role in these diseases provides insight into targeted therapeutic strategies.

Product protocols

For this product, it's our understanding that no specific protocols are required. You can visit:

Target data

Adapter involved in TLR2, TLR4 and RAGE signaling pathways in the innate immune response. Acts via IRAK2 and TRAF-6, leading to the activation of NF-kappa-B, MAPK1, MAPK3 and JNK, and resulting in cytokine secretion and the inflammatory response. Positively regulates the production of TNF-alpha (TNF) and interleukin-6 (IL6).
See full target information TIRAP

Product promise

We are committed to supporting your work with high-quality reagents, and we're here for you every step of the way. In the unlikely event that one of our products does not perform as expected, you're protected by our Product Promise.
For full details, please see our Terms & Conditions

Please note: All products are 'FOR RESEARCH USE ONLY. NOT FOR USE IN DIAGNOSTIC OR THERAPEUTIC PROCEDURES'.

For licensing inquiries, please contact partnerships@abcam.com