JavaScript is disabled in your browser. Please enable JavaScript to view this website.
AB242432

Anti-Tissue Factor antibody [EPR20369] - BSA and Azide free

Be the first to review this product! Submit a review

|

(1 Publication)

Rabbit Recombinant Monoclonal Tissue Factor antibody. Carrier free. Suitable for WB, IHC-P and reacts with Human samples. Cited in 1 publication.

View Alternative Names

CD142, Tissue factor, TF, Coagulation factor III, Thromboplastin, F3

4 Images
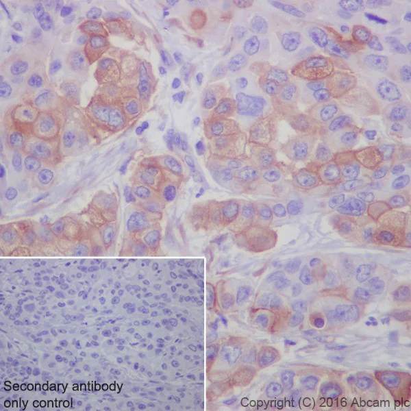
Immunohistochemistry (Formalin/PFA-fixed paraffin-embedded sections) - Anti-Tissue Factor antibody [EPR20369] - BSA and Azide free (AB242432)
  • IHC-P

Supplier Data

Immunohistochemistry (Formalin/PFA-fixed paraffin-embedded sections) - Anti-Tissue Factor antibody [EPR20369] - BSA and Azide free (AB242432)

Immunohistochemical analysis of paraffin-embedded human pancreas cancer tissue labeling Tissue Factor with ab211016 at 1/50 dilution, followed by Rabbit specific IHC polymer detection kit HRP/DAB (ab209101) Ready to use.

Membranous and cytoplasmic staining on tumor cells of human pancreas cancer is observed [PMID : 7648165].

Counter stained with Hematoxylin.

Secondary antibody only control : Used PBS instead of primary antibody, secondary antibody is Rabbit specific IHC polymer detection kit HRP/DAB (ab209101) Ready to use.

This data was developed using the same antibody clone in a different buffer formulation containing PBS, BSA, glycerol, and sodium azide (ab211016).

Perform heat mediated antigen retrieval with Tris/EDTA buffer pH 9.0 before commencing with IHC staining protocol.

Immunohistochemistry (Formalin/PFA-fixed paraffin-embedded sections) - Anti-Tissue Factor antibody [EPR20369] - BSA and Azide free (AB242432)
  • IHC-P

Supplier Data

Immunohistochemistry (Formalin/PFA-fixed paraffin-embedded sections) - Anti-Tissue Factor antibody [EPR20369] - BSA and Azide free (AB242432)

Immunohistochemical analysis of paraffin-embedded human placenta tissue labeling Tissue Factor with ab211016 at 1/50 dilution, followed by Rabbit specific IHC polymer detection kit HRP/DAB (ab209101) Ready to use.

Cytoplasmic staining on human placenta is observed [PMID : 2237820].

Counter stained with Hematoxylin.

Secondary antibody only control : Used PBS instead of primary antibody, secondary antibody is Rabbit specific IHC polymer detection kit HRP/DAB (ab209101) Ready to use.

This data was developed using the same antibody clone in a different buffer formulation containing PBS, BSA, glycerol, and sodium azide (ab211016).

Perform heat mediated antigen retrieval with Tris/EDTA buffer pH 9.0 before commencing with IHC staining protocol.

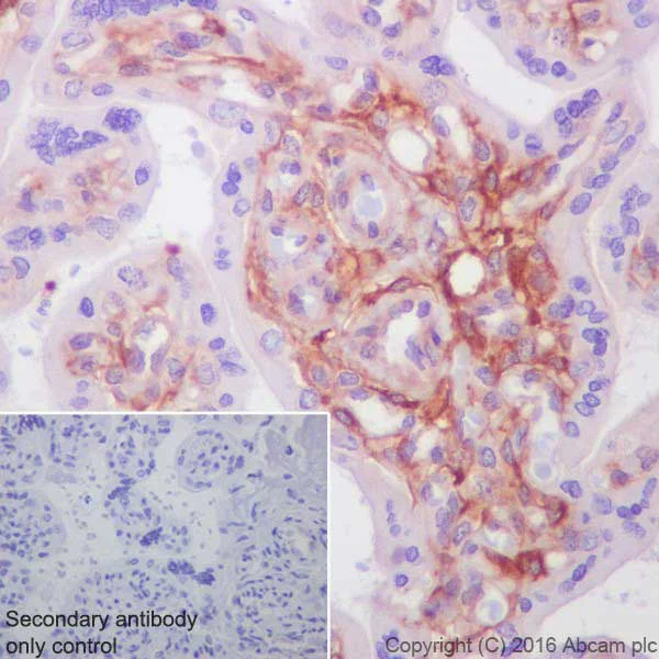
Immunohistochemistry (Formalin/PFA-fixed paraffin-embedded sections) - Anti-Tissue Factor antibody [EPR20369] - BSA and Azide free (AB242432)
  • IHC-P

Supplier Data

Immunohistochemistry (Formalin/PFA-fixed paraffin-embedded sections) - Anti-Tissue Factor antibody [EPR20369] - BSA and Azide free (AB242432)

Immunohistochemical analysis of paraffin-embedded human kidney tissue labeling Tissue Factor with ab211016 at 1/50 dilution, followed by Rabbit specific IHC polymer detection kit HRP/DAB (ab209101) Ready to use.

Cytoplasmic staining on human kidney glomerulus is observed [PMID : 2237820].

Counter stained with Hematoxylin.

Secondary antibody only control : Used PBS instead of primary antibody, secondary antibody is Rabbit specific IHC polymer detection kit HRP/DAB (ab209101) Ready to use.

This data was developed using the same antibody clone in a different buffer formulation containing PBS, BSA, glycerol, and sodium azide (ab211016)

Perform heat mediated antigen retrieval with Tris/EDTA buffer pH 9.0 before commencing with IHC staining protocol.

Western blot - Anti-Tissue Factor antibody [EPR20369] - BSA and Azide free (AB242432)
  • WB

Lab

Western blot - Anti-Tissue Factor antibody [EPR20369] - BSA and Azide free (AB242432)

Lanes 1 - 2 : Merged signal (red and green). Green - ab211016 observed at 49 kDa. Red - loading control, ab18058, observed at 130 kDa.

ab211016 was shown to recognize Tissue Factor in wild-type HAP1 cells as signal was lost at the expected MW in Tissue Factor knockout cells. Additional cross-reactive bands were observed in the wild-type and knockout cells. Wild-type and F3 (Tissue Factor) knockout samples were subjected to SDS-PAGE. ab211016 and ab18058 (Mouse anti-Vinculin loading control) were incubated overnight at 4°C at 1/1000 dilution and 1/20000 dilution respectively. Blots were developed with Goat anti-Rabbit IgG H&L (IRDye® 800CW) preabsorbed ab216773 and Goat anti-Mouse IgG H&L (IRDye® 680RD) preabsorbed ab216776 secondary antibodies at 1/20000 dilution for 1 hour at room temperature before imaging.

This data was developed using the same antibody clone in a different buffer formulation containing PBS, BSA, glycerol, and sodium azide (ab211016).

All lanes:

Western blot - Anti-Tissue Factor antibody [EPR20369] (<a href='/en-us/products/primary-antibodies/tissue-factor-antibody-epr20369-ab211016'>ab211016</a>) at 1/1000 dilution

Lane 1:

Wild-type HAP1 whole cell lysate at 40 µg

Lane 2:

Tissue Factor knockout HAP1 whole cell lysate at 40 µg

Predicted band size: 33 kDa,97 kDa

Observed band size: 39 kDa,97 kDa

false

Key facts

Host species

Rabbit

Clonality

Monoclonal

Clone number

EPR20369

Isotype

IgG

Carrier free

Yes

Reacts with

Human

Applications

WB, IHC-P

applications

Immunogen

The exact immunogen used to generate this antibody is proprietary information.

Reactivity data

{ "title": "Reactivity Data", "filters": { "stats": ["", "Species", "Dilution Info", "Notes"], "tabs": { "all-applications": {"fullname" : "All Applications", "shortname": "All Applications"}, "WB" : {"fullname" : "Western blot", "shortname":"WB"}, "IHCP" : {"fullname" : "Immunohistochemistry (Formalin/PFA-fixed paraffin-embedded sections)", "shortname":"IHC-P"} }, "product-promise": { "all": "all", "testedAndGuaranteed": "tested", "guaranteed": "expected", "predicted": "predicted", "notRecommended": "not-recommended" } }, "values": { "Human": { "WB-species-checked": "testedAndGuaranteed", "WB-species-dilution-info": "", "WB-species-notes": "<p></p>", "IHCP-species-checked": "testedAndGuaranteed", "IHCP-species-dilution-info": "", "IHCP-species-notes": "<p></p>" } } }

Product details

ab242432 is the carrier-free version of ab211016.

Patented technology
Our RabMAb® technology is a patented hybridoma-based technology for making rabbit monoclonal antibodies. For details on our patents, please refer to RabMAb® patents.

What are the advantages of a recombinant monoclonal antibody?
This product is a recombinant monoclonal antibody, which offers several advantages including:

  • - High batch-to-batch consistency and reproducibility
  • - Improved sensitivity and specificity
  • - Long-term security of supply
  • - Animal-free batch production

For more information, read more on recombinant antibodies.

Conjugation ready
Our carrier-free antibodies are typically supplied in a PBS-only formulation, purified and free of BSA, sodium azide and glycerol. This conjugation-ready format is designed for use with fluorochromes, metal isotopes, oligonucleotides, and enzymes, which makes them ideal for antibody labelling, functional and cell-based assays, flow-based assays (e.g. mass cytometry) and Multiplex Imaging applications.

Use our conjugation kits for antibody conjugates that are ready-to-use in as little as 20 minutes with 1 minute hands-on-time and 100% antibody recovery: available for fluorescent dyes, HRP, biotin and gold.

Compatibility
This product is compatible with the Maxpar® Antibody Labeling Kit from Fluidigm, without the need for antibody preparation. Maxpar® is a trademark of Fluidigm Canada Inc.

Properties and storage information

Form
Liquid
Purification technique
Affinity purification Protein A
Storage buffer
pH: 7.2 - 7.4 Constituents: PBS
Shipped at conditions
Blue Ice
Appropriate short-term storage conditions
+4°C
Appropriate long-term storage conditions
+4°C
Storage information
Do Not Freeze

Supplementary information

This supplementary information is collated from multiple sources and compiled automatically.

Tissue Factor also known as coagulation factor III or CD142 is an important player in the blood coagulation process. This protein with a molecular mass of approximately 47 kDa is a transmembrane glycoprotein. It is expressed widely in various tissues including the lungs heart and brain and plays an important role in initiating the coagulation cascade when exposed to blood. In endothelial cells tissue factor is generally not present unless these cells are in a state of disturbance supporting its role as a primary defense mechanism against vascular injury.
Biological function summary

Tissue factor acts as a cofactor for factor VIIa forming a complex that rapidly catalyzes the activation of factor X to factor Xa. This catalytic action ultimately leads to fibrin formation which is essential for clotting. Tissue Factor (TF) is part of the extrinsic pathway of the coagulation cascade and is fundamental in the generation of a hemostatic response to tissue injury. By regulating thrombin generation through its interaction with other coagulation factors tissue factor plays an important role in maintaining hemostatic balance.

Pathways

Tissue factor is integral in the extrinsic pathway of coagulation which works closely with the intrinsic pathway to ensure effective hemostasis. It complexes with factor VIIa and triggers downstream effects involving proteins like factor X and thrombin. Tissue factor forms a bridge between cellular injury responses and the blood coagulation system linking these two significant physiological processes. The interaction with these proteins highlights its central role in hemostatic pathways and highlights its significance in the coagulation network.

Tissue factor is associated with conditions like thrombosis and cardiovascular diseases where its expression can become dysregulated. Abnormal activation of tissue factor contributes directly to the pathological clot formation seen in thrombosis. It is also implicated in cancer-related coagulopathy where it can facilitate tumor-associated thrombosis by interacting with cancer cell surfaces. Additionally in such diseases the interplay between tissue factor and thrombin becomes important as it affects disease progression and the severity of clot-related complications.

Product protocols

For this product, it's our understanding that no specific protocols are required. You can visit:

Target data

Initiates blood coagulation by forming a complex with circulating factor VII or VIIa. The [TF : VIIa] complex activates factors IX or X by specific limited proteolysis. TF plays a role in normal hemostasis by initiating the cell-surface assembly and propagation of the coagulation protease cascade.
See full target information F3

Publications (1)

Recent publications for all applications. Explore the full list and refine your search

Journal of thrombosis and haemostasis : JTH 20:260-261 PubMed34954879

2021

Effect of heparanase inhibitor on tissue factor overexpression in platelets and endothelial cells induced by anti-β2-GPI antibodies: Comment from Mackman et al.

Applications

Unspecified application

Species

Unspecified reactive species

Nigel Mackman,Sierra J Archibald,Yohei Hisada
View all publications

Product promise

We are committed to supporting your work with high-quality reagents, and we're here for you every step of the way. In the unlikely event that one of our products does not perform as expected, you're protected by our Product Promise.
For full details, please see our Terms & Conditions

Please note: All products are 'FOR RESEARCH USE ONLY. NOT FOR USE IN DIAGNOSTIC OR THERAPEUTIC PROCEDURES'.

For licensing inquiries, please contact partnerships@abcam.com