JavaScript is disabled in your browser. Please enable JavaScript to view this website.
AB254010

Anti-Tissue Factor antibody [EPR22548-232] - BSA and Azide free

  • BOND RX™ Validated
  • RabMAb
  • Recombinant
  • KO Validated
  • What is this?

Be the first to review this product! Submit a review

|

(2 Publications)

Rabbit Recombinant Monoclonal Tissue Factor antibody. Carrier free. Suitable for IP, Flow Cyt, WB, ICC/IF, IHC-P and reacts with Human samples. Cited in 2 publications.

View Alternative Names

CD142, Tissue factor, TF, Coagulation factor III, Thromboplastin, F3

6 Images
Immunocytochemistry/ Immunofluorescence - Anti-Tissue Factor antibody [EPR22548-232] - BSA and Azide free (AB254010)
  • ICC/IF

Unknown

Immunocytochemistry/ Immunofluorescence - Anti-Tissue Factor antibody [EPR22548-232] - BSA and Azide free (AB254010)

Immunofluorescent analysis of 4% paraformaldehyde-fixed, 0.1% Triton X-100 permeabilizedA431 (human epidermoid carcinoma epithelial cell) and MCF7 () cells labeling Tissue Factor with ab228968 at 1/100 dilution, followed by Goat Anti-Rabbit IgG H&L (Alexa Fluor® 488) (ab150077) secondary antibody at 1/1000 dilution (green). Confocal image showing membranous staining in A431 cell line. Low expression : MCF7 PMID : 24137414, 28938620. The nuclear stain is DAPI (blue).
Counterstained with ab195889 Anti-alpha Tubulin antibody [DM1A] - Microtubule Marker (Alexa Fluor® 594) at a 1/200 dilution (red).
The negative control is the secondary antibody only.

This data was developed using the same antibody clone in a different buffer formulation containing PBS, BSA, glycerol, and sodium azide (ab228968).

Immunohistochemistry (Formalin/PFA-fixed paraffin-embedded sections) - Anti-Tissue Factor antibody [EPR22548-232] - BSA and Azide free (AB254010)
  • IHC-P

Unknown

Immunohistochemistry (Formalin/PFA-fixed paraffin-embedded sections) - Anti-Tissue Factor antibody [EPR22548-232] - BSA and Azide free (AB254010)

Immunohistochemical analysis of paraffin-embedded human kidney tissue labeling Tissue Factor with ab228968 at 1/500 dilution, followed by ready to use Rabbit specific IHC polymer detection kit HRP/DAB (ab209101). Positive staining in human renal glomerulus (PMID : 7684196). The section was incubated with ab228968 for 30 mins at RT. The immunostaining was performed on a Leica Biosystems BOND® RX instrument. Counterstained with hematoxylin.

Secondary antibody only control : Used PBS instead of primary antibody, secondary antibody is ready to use Rabbit specific IHC polymer detection kit HRP/DAB (ab209101).
Perform heat mediated antigen retrieval with Tris-EDTA buffer (pH 9.0, epitope retrieval solution 2) for 20mins.

This data was developed using the same antibody clone in a different buffer formulation containing PBS, BSA, glycerol, and sodium azide (ab228968).

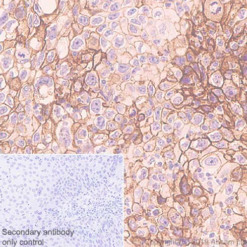
Immunohistochemistry (Formalin/PFA-fixed paraffin-embedded sections) - Anti-Tissue Factor antibody [EPR22548-232] - BSA and Azide free (AB254010)
  • IHC-P

Unknown

Immunohistochemistry (Formalin/PFA-fixed paraffin-embedded sections) - Anti-Tissue Factor antibody [EPR22548-232] - BSA and Azide free (AB254010)

Immunohistochemical analysis of paraffin-embedded human cervix carcinoma tissue labeling Tissue Factor with ab228968 at 1/500 dilution, followed by ready to use Rabbit specific IHC polymer detection kit HRP/DAB (ab209101). Membranous and weak cytoplasmic staining on tumor cells of human cervix carcinoma (PMID : 26383146). The section was incubated with ab228968 for 30 mins at RT. The immunostaining was performed on a Leica Biosystems BOND® RX instrument. Counterstained with hematoxylin.

Secondary antibody only control : Used PBS instead of primary antibody, secondary antibody is ready to use Rabbit specific IHC polymer detection kit HRP/DAB (ab209101).

Perform heat mediated antigen retrieval with Tris-EDTA buffer (pH 9.0, epitope retrieval solution 2) for 20mins.

Flow Cytometry - Anti-Tissue Factor antibody [EPR22548-232] - BSA and Azide free (AB254010)
  • Flow Cyt

Unknown

Flow Cytometry - Anti-Tissue Factor antibody [EPR22548-232] - BSA and Azide free (AB254010)

Flow cytometric analysis of MCF7 (human breast adenocarcinoma epithelial cell, Left) / A431 (human epidermoid carcinoma epithelial cell, Right) labeling Tissue Factor with ab228968 at 1/500 (red) compared with a Rabbit monoclonal IgG (ab172730) (black) and an unlabeled control (cells without incubation with primary antibody and secondary antibody) (blue). Goat anti rabbit IgG (Alexa Fluor® 488, ab150077), at 1/2000 dilution was used as the secondary antibody.

Low expression : MCF7 (PMID : 24137414, PMID : 28938620).

Gated on viable cells.

This data was developed using the same antibody clone in a different buffer formulation containing PBS, BSA, glycerol, and sodium azide (ab228968).

Immunoprecipitation - Anti-Tissue Factor antibody [EPR22548-232] - BSA and Azide free (AB254010)
  • IP

Unknown

Immunoprecipitation - Anti-Tissue Factor antibody [EPR22548-232] - BSA and Azide free (AB254010)

Tissue Factor was immunoprecipitated from 0.35 mg A431 (human epidermoid carcinoma epithelial cell) whole cell lysate with ab228968 at 1/30 dilution. Western blot was performed from the immunoprecipitate using ab228968 at 1/1000 dilution. VeriBlot for IP Detection Reagent (HRP) (ab131366), was used for detection at 1/5000 dilution.

Lane 1 : A431 whole cell lysate 10 μg (Input).
Lane 2 : ab228968 IP in A431 whole cell lysate.
Lane 3 : Rabbit monoclonal IgG (ab172730) instead of ab228968 in A431 whole cell lysate.

Blocking/Dilution buffer : 5% NFDM/TBST.
Exposure time : 30 seconds.

This data was developed using the same antibody clone in a different buffer formulation containing PBS, BSA, glycerol, and sodium azide (ab228968).

All lanes:

Immunoprecipitation - Anti-Tissue Factor antibody [EPR22548-232] (<a href='/en-us/products/primary-antibodies/tissue-factor-antibody-epr22548-232-ab228968'>ab228968</a>)

Predicted band size: 33 kDa

Observed band size: 47 kDa

false

Western blot - Anti-Tissue Factor antibody [EPR22548-232] - BSA and Azide free (AB254010)
  • WB

Unknown

Western blot - Anti-Tissue Factor antibody [EPR22548-232] - BSA and Azide free (AB254010)

ab228968 was shown to specifically react with Tissue Factor in wild-type HAP1 cells as signal was lost in Tissue Factor knockout cells. Wild-type and Tissue Factor knockout samples were subjected to SDS-PAGE. ab228968 and ab181602 (Rabbit anti-GAPDH loading control) were incubated 1 hour at room temperature at 1/1000 dilution and 1/200,000 dilution respectively. Blots were developed with Goat Anti-Rabbit IgG, (H+L), Peroxidase conjugated (ab97051) secondary antibody at 1/100,000 dilution for 1 hour at room temperature before imaging. The blot was developed on a BIO-RAD® ChemiDoc™ MP instrument using the ECL technique.

The molecular weight observed is consistent with what has been described in the literature (PMID : 28938620).

Low expression : MCF-7 (PMID : 24137414, 28938620).

Exposure times : Lanes 1-2 : 70 secs; Lanes 3-6 : 3.25 secs.

Blocking/Dilution buffer : 5% NFDM/TBST.

This data was developed using the same antibody clone in a different buffer formulation containing PBS, BSA, glycerol, and sodium azide (ab228968).

All lanes:

Western blot - Anti-Tissue Factor antibody [EPR22548-232] (<a href='/en-us/products/primary-antibodies/tissue-factor-antibody-epr22548-232-ab228968'>ab228968</a>) at 1/1000 dilution

Lane 1:

Wild-type HAP1 whole cell lysate at 60 µg

Lane 2:

Tissue Factor knockout HAP1 whole cell lysate at 60 µg

Lane 3:

A431 (human epidermoid carcinoma epithelial cell), whole cell lysate at 20 µg

Lane 4:

MDA-MB-231 (human breast adenocarcinoma epithelial cell), whole cell lysate at 20 µg

Lane 5:

MCF7 (human breast adenocarcinoma epithelial cell), whole cell lysate at 20 µg

Lane 6:

BxPC-3 (human pancreas adenocarcinoma epithelial cell), whole cell lysate at 20 µg

Secondary

All lanes:

Western blot - Goat Anti-Rabbit IgG H&L (HRP) (<a href='/en-us/products/secondary-antibodies/goat-rabbit-igg-h-l-hrp-ab97051'>ab97051</a>) at 1/100000 dilution

Predicted band size: 33 kDa

Observed band size: 47 kDa

false

Key facts

Host species

Rabbit

Clonality

Monoclonal

Clone number

EPR22548-232

Isotype

IgG

Carrier free

Yes

Reacts with

Human

Applications

Flow Cyt, ICC/IF, IP, IHC-P, WB

applications

Immunogen

The exact immunogen used to generate this antibody is proprietary information.

Reactivity data

{ "title": "Reactivity Data", "filters": { "stats": ["", "Species", "Dilution Info", "Notes"], "tabs": { "all-applications": {"fullname" : "All Applications", "shortname": "All Applications"}, "IP" : {"fullname" : "Immunoprecipitation", "shortname":"IP"}, "FlowCyt" : {"fullname" : "Flow Cytometry", "shortname":"Flow Cyt"}, "WB" : {"fullname" : "Western blot", "shortname":"WB"}, "ICCIF" : {"fullname" : "Immunocytochemistry/ Immunofluorescence", "shortname":"ICC/IF"}, "IHCP" : {"fullname" : "Immunohistochemistry (Formalin/PFA-fixed paraffin-embedded sections)", "shortname":"IHC-P"} }, "product-promise": { "all": "all", "testedAndGuaranteed": "tested", "guaranteed": "expected", "predicted": "predicted", "notRecommended": "not-recommended" } }, "values": { "Human": { "IP-species-checked": "testedAndGuaranteed", "IP-species-dilution-info": "", "IP-species-notes": "<p></p>", "FlowCyt-species-checked": "testedAndGuaranteed", "FlowCyt-species-dilution-info": "", "FlowCyt-species-notes": "<p></p>", "WB-species-checked": "testedAndGuaranteed", "WB-species-dilution-info": "1/1000", "WB-species-notes": "<p></p>", "ICCIF-species-checked": "testedAndGuaranteed", "ICCIF-species-dilution-info": "", "ICCIF-species-notes": "<p></p>", "IHCP-species-checked": "testedAndGuaranteed", "IHCP-species-dilution-info": "", "IHCP-species-notes": "<p></p>" } } }

Product details

ab254010 is the carrier-free version of ab228968.

Patented technology
Our RabMAb® technology is a patented hybridoma-based technology for making rabbit monoclonal antibodies. For details on our patents, please refer to RabMAb® patents.

What are the advantages of a recombinant monoclonal antibody?
This product is a recombinant monoclonal antibody, which offers several advantages including:

  • - High batch-to-batch consistency and reproducibility
  • - Improved sensitivity and specificity
  • - Long-term security of supply
  • - Animal-free batch production

For more information, read more on recombinant antibodies.

Conjugation ready
Our carrier-free antibodies are typically supplied in a PBS-only formulation, purified and free of BSA, sodium azide and glycerol. This conjugation-ready format is designed for use with fluorochromes, metal isotopes, oligonucleotides, and enzymes, which makes them ideal for antibody labelling, functional and cell-based assays, flow-based assays (e.g. mass cytometry) and Multiplex Imaging applications.

Use our conjugation kits for antibody conjugates that are ready-to-use in as little as 20 minutes with 1 minute hands-on-time and 100% antibody recovery: available for fluorescent dyes, HRP, biotin and gold.

Compatibility
This product is compatible with the Maxpar® Antibody Labeling Kit from Fluidigm, without the need for antibody preparation. Maxpar® is a trademark of Fluidigm Canada Inc.

Properties and storage information

Form
Liquid
Purification technique
Affinity purification Protein A
Storage buffer
pH: 7.2 - 7.4 Constituents: PBS
Shipped at conditions
Blue Ice
Appropriate short-term storage conditions
+4°C
Appropriate long-term storage conditions
+4°C
Storage information
Do Not Freeze

Supplementary information

This supplementary information is collated from multiple sources and compiled automatically.

Tissue Factor also known as coagulation factor III or CD142 is an important player in the blood coagulation process. This protein with a molecular mass of approximately 47 kDa is a transmembrane glycoprotein. It is expressed widely in various tissues including the lungs heart and brain and plays an important role in initiating the coagulation cascade when exposed to blood. In endothelial cells tissue factor is generally not present unless these cells are in a state of disturbance supporting its role as a primary defense mechanism against vascular injury.
Biological function summary

Tissue factor acts as a cofactor for factor VIIa forming a complex that rapidly catalyzes the activation of factor X to factor Xa. This catalytic action ultimately leads to fibrin formation which is essential for clotting. Tissue Factor (TF) is part of the extrinsic pathway of the coagulation cascade and is fundamental in the generation of a hemostatic response to tissue injury. By regulating thrombin generation through its interaction with other coagulation factors tissue factor plays an important role in maintaining hemostatic balance.

Pathways

Tissue factor is integral in the extrinsic pathway of coagulation which works closely with the intrinsic pathway to ensure effective hemostasis. It complexes with factor VIIa and triggers downstream effects involving proteins like factor X and thrombin. Tissue factor forms a bridge between cellular injury responses and the blood coagulation system linking these two significant physiological processes. The interaction with these proteins highlights its central role in hemostatic pathways and highlights its significance in the coagulation network.

Tissue factor is associated with conditions like thrombosis and cardiovascular diseases where its expression can become dysregulated. Abnormal activation of tissue factor contributes directly to the pathological clot formation seen in thrombosis. It is also implicated in cancer-related coagulopathy where it can facilitate tumor-associated thrombosis by interacting with cancer cell surfaces. Additionally in such diseases the interplay between tissue factor and thrombin becomes important as it affects disease progression and the severity of clot-related complications.

Product protocols

For this product, it's our understanding that no specific protocols are required. You can visit:

Target data

Initiates blood coagulation by forming a complex with circulating factor VII or VIIa. The [TF : VIIa] complex activates factors IX or X by specific limited proteolysis. TF plays a role in normal hemostasis by initiating the cell-surface assembly and propagation of the coagulation protease cascade.
See full target information F3

Publications (2)

Recent publications for all applications. Explore the full list and refine your search

Advanced science (Weinheim, Baden-Wurttemberg, Germany) 12:e2410288 PubMed39840532

2025

Peptide-Drug Conjugate for Therapeutic Reprogramming of Tumor-Associated Macrophages in Breast Cancer.

Applications

Unspecified application

Species

Unspecified reactive species

Anni Lepland,Elisa Peranzoni,Uku Haljasorg,Eliana K Asciutto,Maria Crespí-Amer,Lorenzo Modesti,Kalle Kilk,Manuel Lombardia,Gerardo Acosta,Miriam Royo,Pärt Peterson,Ilaria Marigo,Tambet Teesalu,Pablo Scodeller

Journal of thrombosis and haemostasis : JTH 20:260-261 PubMed34954879

2021

Effect of heparanase inhibitor on tissue factor overexpression in platelets and endothelial cells induced by anti-β2-GPI antibodies: Comment from Mackman et al.

Applications

Unspecified application

Species

Unspecified reactive species

Nigel Mackman,Sierra J Archibald,Yohei Hisada
View all publications

Product promise

We are committed to supporting your work with high-quality reagents, and we're here for you every step of the way. In the unlikely event that one of our products does not perform as expected, you're protected by our Product Promise.
For full details, please see our Terms & Conditions

Please note: All products are 'FOR RESEARCH USE ONLY. NOT FOR USE IN DIAGNOSTIC OR THERAPEUTIC PROCEDURES'.

For licensing inquiries, please contact partnerships@abcam.com