JavaScript is disabled in your browser. Please enable JavaScript to view this website.
AB227069

Anti-Tissue Plasminogen Activator antibody

Be the first to review this product! Submit a review

|

(4 Publications)

Rabbit Polyclonal Tissue Plasminogen Activator antibody. Suitable for WB, IHC-P and reacts with Mouse, Rat, Human samples. Cited in 4 publications. Immunogen corresponding to Recombinant Fragment Protein within Human PLAT.

View Alternative Names

Tissue-type plasminogen activator, t-PA, t-plasminogen activator, tPA, PLAT

6 Images
Immunohistochemistry (Formalin/PFA-fixed paraffin-embedded sections) - Anti-Tissue Plasminogen Activator antibody (AB227069)
  • IHC-P

Supplier Data

Immunohistochemistry (Formalin/PFA-fixed paraffin-embedded sections) - Anti-Tissue Plasminogen Activator antibody (AB227069)

Paraffin-embedded human colon carcinoma tissue stained for TPA Tissue Plasminogen Activator using ab227069 at 1/250 dilution in immunohistochemical analysis.

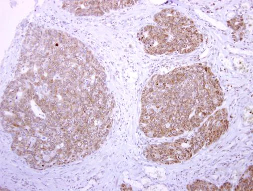
Immunohistochemistry (Formalin/PFA-fixed paraffin-embedded sections) - Anti-Tissue Plasminogen Activator antibody (AB227069)
  • IHC-P

Supplier Data

Immunohistochemistry (Formalin/PFA-fixed paraffin-embedded sections) - Anti-Tissue Plasminogen Activator antibody (AB227069)

Paraffin-embedded human hepatoma tissue stained for TPA Tissue Plasminogen Activator using ab227069 at 1/500 dilution in immunohistochemical analysis.

Western blot - Anti-Tissue Plasminogen Activator antibody (AB227069)
  • WB

Supplier Data

Western blot - Anti-Tissue Plasminogen Activator antibody (AB227069)

7.5% SDS PAGE gel.

All lanes:

Western blot - Anti-Tissue Plasminogen Activator antibody (ab227069) at 1/1000 dilution

All lanes:

HEK-293T (human epithelial cell line from embryonic kidney transformed with large T antigen) whole cell lysate at 30 µg

Secondary

All lanes:

HRP-conjugated anti-rabbit IgG

Predicted band size: 63 kDa

false

Western blot - Anti-Tissue Plasminogen Activator antibody (AB227069)
  • WB

Supplier Data

Western blot - Anti-Tissue Plasminogen Activator antibody (AB227069)

7.5% SDS-PAGE gel.

All lanes:

Western blot - Anti-Tissue Plasminogen Activator antibody (ab227069) at 1/2000 dilution

All lanes:

Human plasma at 30 µg

Predicted band size: 63 kDa

false

Western blot - Anti-Tissue Plasminogen Activator antibody (AB227069)
  • WB

Supplier Data

Western blot - Anti-Tissue Plasminogen Activator antibody (AB227069)

7.5% SDS-PAGE gel.

All lanes:

Western blot - Anti-Tissue Plasminogen Activator antibody (ab227069) at 1/1000 dilution

All lanes:

PC-12 (rat adrenal gland pheochromocytoma cell line) whole cell lysate at 30 µg

Secondary

All lanes:

HRP-conjugated anti-rabbit IgG

Predicted band size: 63 kDa

false

Western blot - Anti-Tissue Plasminogen Activator antibody (AB227069)
  • WB

Supplier Data

Western blot - Anti-Tissue Plasminogen Activator antibody (AB227069)

7.5% SDS-PAGE gel.

All lanes:

Western blot - Anti-Tissue Plasminogen Activator antibody (ab227069) at 1/1000 dilution

All lanes:

Neuro 2a (mouse neuroblastoma cell line) whole cell lysate at 30 µg

Secondary

All lanes:

HRP-conjugated anti-rabbit IgG

Predicted band size: 63 kDa

false

Key facts

Host species

Rabbit

Clonality

Polyclonal

Isotype

IgG

Carrier free

No

Reacts with

Mouse, Rat, Human

Applications

IHC-P, WB

applications

Immunogen

Recombinant Fragment Protein within Human PLAT. The exact immunogen used to generate this antibody is proprietary information.

P00750

Reactivity data

{ "title": "Reactivity Data", "filters": { "stats": ["", "Species", "Dilution Info", "Notes"], "tabs": { "all-applications": {"fullname" : "All Applications", "shortname": "All Applications"}, "WB" : {"fullname" : "Western blot", "shortname":"WB"}, "IHCP" : {"fullname" : "Immunohistochemistry (Formalin/PFA-fixed paraffin-embedded sections)", "shortname":"IHC-P"} }, "product-promise": { "all": "all", "testedAndGuaranteed": "tested", "guaranteed": "expected", "predicted": "predicted", "notRecommended": "not-recommended" } }, "values": { "Human": { "WB-species-checked": "testedAndGuaranteed", "WB-species-dilution-info": "1/500 - 1/3000", "WB-species-notes": "<p></p>", "IHCP-species-checked": "testedAndGuaranteed", "IHCP-species-dilution-info": "1/100 - 1/1000", "IHCP-species-notes": "<p></p>" }, "Mouse": { "WB-species-checked": "testedAndGuaranteed", "WB-species-dilution-info": "1/500 - 1/3000", "WB-species-notes": "<p></p>", "IHCP-species-checked": "guaranteed", "IHCP-species-dilution-info": "", "IHCP-species-notes": "" }, "Rat": { "WB-species-checked": "testedAndGuaranteed", "WB-species-dilution-info": "1/500 - 1/3000", "WB-species-notes": "<p></p>", "IHCP-species-checked": "guaranteed", "IHCP-species-dilution-info": "", "IHCP-species-notes": "" } } }

Properties and storage information

Form
Liquid
Purification technique
Affinity purification Immunogen
Storage buffer
pH: 7 Preservative: 0.025% Proclin 300 Constituents: PBS, 20% Glycerol (glycerin, glycerine), 1% BSA
Shipped at conditions
Blue Ice
Appropriate short-term storage duration
1-2 weeks
Appropriate short-term storage conditions
+4°C
Appropriate long-term storage conditions
-20°C
Aliquoting information
Upon delivery aliquot
Storage information
Avoid freeze / thaw cycle

Supplementary information

This supplementary information is collated from multiple sources and compiled automatically.

Tissue Plasminogen Activator (tPA) also known as a plasminogen activator acts mechanically to convert plasminogen to plasmin a serine protease. This reaction occurs at the surface of a fibrin clot leading to clot degradation a process known as fibrinolysis. tPA has a molecular mass of approximately 70 kDa. It is mainly expressed in vascular endothelial cells and is released into the bloodstream in response to stimuli such as circulatory stasis or endothelial damage.
Biological function summary

TPA plays a critical role in thrombolysis by breaking down blood clots into their soluble components. It regulates plasminogen function by cleaving this zymogen to yield the active protease plasmin. This function makes tPA integral in maintaining hemostasis and it does not form a part of a larger protein complex. The activity and the regulation of tPA are important for preventing pathologic clotting which can lead to cardiovascular complications.

Pathways

TPA is central to the fibrinolytic pathway. This pathway facilitates the conversion of plasminogen to plasmin enabling clot resolution. In addition tPA interacts with other proteins such as urokinase plasminogen activator (uPA) and inhibitors like plasminogen activator inhibitor-1 (PAI-1). The balance between tPA and its inhibitors is important for the regulation of fibrinolytic activity impacting hemostatic and thrombotic events.

TPA connects closely with conditions like stroke and myocardial infarction due to its thrombolytic properties. In ischemic stroke excessive or insufficient tPA activity can disrupt normal blood flow leading to tissue damage. Additionally in myocardial infarction tPA's role in breaking down clots proves important for restoring coronary blood flow. It is also linked with proteins like fibrinogen as they serve as substrates in the clot degradation process and with PAI-1 which modulates its activity and influences disease progression.

Product protocols

For this product, it's our understanding that no specific protocols are required. You can visit:

Target data

Converts the abundant, but inactive, zymogen plasminogen to plasmin by hydrolyzing a single Arg-Val bond in plasminogen. By controlling plasmin-mediated proteolysis, it plays an important role in tissue remodeling and degradation, in cell migration and many other physiopathological events. During oocyte activation, plays a role in cortical granule reaction in the zona reaction, which contributes to the block to polyspermy (By similarity).
See full target information PLAT

Publications (4)

Recent publications for all applications. Explore the full list and refine your search

Molecular oncology 18:91-112 PubMed37753740

2023

ALDH1A3 promotes invasion and metastasis in triple-negative breast cancer by regulating the plasminogen activation pathway.

Applications

Unspecified application

Species

Unspecified reactive species

Alamelu G Bharadwaj,Meghan E McLean,Margaret L Dahn,Hannah F Cahill,Marie-Claire D Wasson,Raj Pranap Arun,Olivia L Walker,Brianne M Cruickshank,Wasundara Fernando,Jaganathan Venkatesh,Penelope J Barnes,Gillian Bethune,Gregory Knapp,Lucy K Helyer,Carman A Giacomantonio,David M Waisman,Paola Marcato

The Journal of biological chemistry 298:102146 PubMed35716777

2022

Activity-based protein profiling reveals active serine proteases that drive malignancy of human ovarian clear cell carcinoma.

Applications

Unspecified application

Species

Unspecified reactive species

Christine Mehner,Alexandra Hockla,Mathew Coban,Benjamin Madden,Rosendo Estrada,Derek C Radisky,Evette S Radisky

International journal of molecular medicine 46:849-858 PubMed32626946

2020

Preliminary research on the effects and mechanisms of umbilical cord‑derived mesenchymal stem cells in streptozotocin‑induced diabetic retinopathy.

Applications

Unspecified application

Species

Unspecified reactive species

Ken Zhao,Jie Liu,Gang Dong,Huan Xia,Pingan Wang,Xuan Xiao,Zhen Chen

Proceedings of the National Academy of Sciences of 113:11318-11323 PubMed27647894

2016

Striosome-dendron bouquets highlight a unique striatonigral circuit targeting dopamine-containing neurons.

Applications

Unspecified application

Species

Unspecified reactive species

Jill R Crittenden,Paul W Tillberg,Michael H Riad,Yasuyuki Shima,Charles R Gerfen,Jeffrey Curry,David E Housman,Sacha B Nelson,Edward S Boyden,Ann M Graybiel
View all publications

Product promise

We are committed to supporting your work with high-quality reagents, and we're here for you every step of the way. In the unlikely event that one of our products does not perform as expected, you're protected by our Product Promise.
For full details, please see our Terms & Conditions

Please note: All products are 'FOR RESEARCH USE ONLY. NOT FOR USE IN DIAGNOSTIC OR THERAPEUTIC PROCEDURES'.

For licensing inquiries, please contact partnerships@abcam.com