JavaScript is disabled in your browser. Please enable JavaScript to view this website.
AB284860

Anti-Titin antibody [EPR24455-21]

  • BOND RX™ Validated
  • 20ul selling size
  • RabMAb
  • Recombinant
  • What is this?

Be the first to review this product! Submit a review

|

(2 Publications)

Rabbit Recombinant Monoclonal TITIN antibody. Suitable for WB, IHC-Fr, IHC-P and reacts with Mouse, Rat, Human samples. Cited in 2 publications.

View Alternative Names

Titin, Connectin, Rhabdomyosarcoma antigen MU-RMS-40.14, TTN

9 Images
Immunohistochemistry (Frozen sections) - Anti-Titin antibody [EPR24455-21] (AB284860)
  • IHC-Fr

Lab

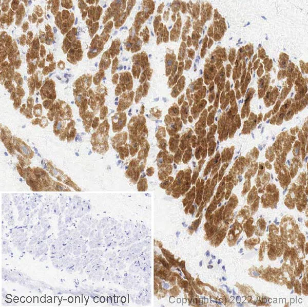
Immunohistochemistry (Frozen sections) - Anti-Titin antibody [EPR24455-21] (AB284860)

IHC image of Titin staining in a section of human normal frozen heart performed on a Leica Biosystems BOND® RX instrument using the standard protocol. The section was fixed in 10% paraformaldehyde (10 min) prior to staining. The section was incubated with ab284860, 0.5ugml, for 15 mins at room temperature and detected using an HRP conjugated compact polymer system. DAB was used as the chromogen. The section was then counterstained with haematoxylin and mounted with DPX. The inset secondary-only control image is taken from an identical assay without primary antibody. For other IHC staining systems (automated and non-automated) customers should optimize variable parameters such as antigen retrieval conditions, primary antibody concentration and antibody incubation times. *Tissue obtained from the Human Research Tissue Bank, supported by the NIHR Cambridge Biomedical Research Centre

Immunohistochemistry (Formalin/PFA-fixed paraffin-embedded sections) - Anti-Titin antibody [EPR24455-21] (AB284860)
  • IHC-P

Supplier Data

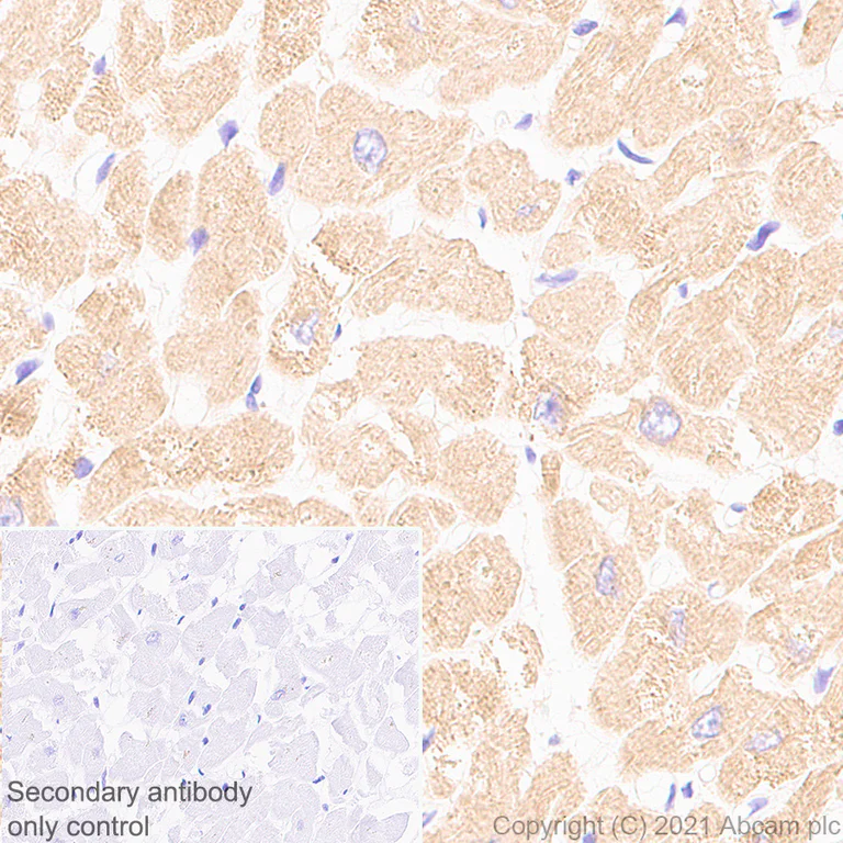
Immunohistochemistry (Formalin/PFA-fixed paraffin-embedded sections) - Anti-Titin antibody [EPR24455-21] (AB284860)

Immunohistochemical analysis of paraffin-embedded Human skeletal muscle tissue labelling Titin with ab284860 at 1/2000 (0.334 ug/ml) followed by a ready to use Rabbit specific IHC polymer detection kit HRP/DAB (ab209101). Positive staining on human skeletal muscle. The section was incubated with ab284860 for 10 mins at room temperature.The immunostaining was performed on a Leica Biosystems BOND® RX instrument Counterstained with Hematoxylin.

Secondary antibody only control : Secondary antibody is a ready to use Rabbit specific IHC polymer detection kit HRP/DAB (ab209101).

Heat mediated antigen retrieval with Tris-EDTA buffer (pH 9.0, epitope retrieval solution2) for 20 mins

Immunohistochemistry (Formalin/PFA-fixed paraffin-embedded sections) - Anti-Titin antibody [EPR24455-21] (AB284860)
  • IHC-P

Lab

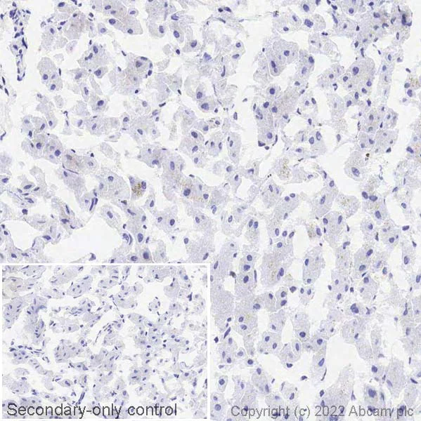
Immunohistochemistry (Formalin/PFA-fixed paraffin-embedded sections) - Anti-Titin antibody [EPR24455-21] (AB284860)

Immunohistochemical analysis of paraffin-embedded Human lung tissue labelling Titin with ab284860 at 1/2000 (0.334 ug/ml) followed by a ready to use Rabbit specific IHC polymer detection kit HRP/DAB (ab209101). Negative control : no staining on human lung. The section was incubated with ab284860 for 10 mins at room temperature.The immunostaining was performed on a Leica Biosystems BOND® RX instrument Counterstained with Hematoxylin.

Secondary antibody only control : Secondary antibody is a ready to use Rabbit specific IHC polymer detection kit HRP/DAB (ab209101).

Heat mediated antigen retrieval with Tris-EDTA buffer (pH 9.0, epitope retrieval solution2) for 20 mins

Immunohistochemistry (Formalin/PFA-fixed paraffin-embedded sections) - Anti-Titin antibody [EPR24455-21] (AB284860)
  • IHC-P

Lab

Immunohistochemistry (Formalin/PFA-fixed paraffin-embedded sections) - Anti-Titin antibody [EPR24455-21] (AB284860)

Immunohistochemical analysis of paraffin-embedded Human cardiac muscle tissue labelling Titin with ab284860 at 1/2000 (0.334 ug/ml) followed by a ready to use Rabbit specific IHC polymer detection kit HRP/DAB (ab209101). Positive staining on human cardiac muscle (PMID : 24725620). The section was incubated with ab284860 for 10 mins at room temperature.The immunostaining was performed on a Leica Biosystems BOND® RX instrument Counterstained with Hematoxylin.

Secondary antibody only control : Secondary antibody is a ready to use Rabbit specific IHC polymer detection kit HRP/DAB (ab209101).

Heat mediated antigen retrieval with Tris-EDTA buffer (pH 9.0, epitope retrieval solution2) for 20 mins

Immunohistochemistry (Frozen sections) - Anti-Titin antibody [EPR24455-21] (AB284860)
  • IHC-Fr

Lab

Immunohistochemistry (Frozen sections) - Anti-Titin antibody [EPR24455-21] (AB284860)

Negative control image : IHC image of Titin staining in a section of human normal frozen liver* performed on a Leica Biosystems BOND® RX instrument using the standard protocol. The section was fixed in 10% paraformaldehyde (10 min) prior to staining. The section was incubated with ab284860, 0.5ugml, for 15 mins at room temperature and detected using an HRP conjugated compact polymer system. DAB was used as the chromogen. The section was then counterstained with haematoxylin and mounted with DPX. The inset secondary-only control image is taken from an identical assay without primary antibody. *Tissue obtained from the Human Research Tissue Bank, supported by the NIHR Cambridge Biomedical Research Centre For other IHC staining systems (automated and non-automated) customers should optimize variable parameters such as antigen retrieval conditions, primary antibody concentration and antibody incubation times.

Immunohistochemistry (Formalin/PFA-fixed paraffin-embedded sections) - Anti-Titin antibody [EPR24455-21] (AB284860)
  • IHC-P

Supplier Data

Immunohistochemistry (Formalin/PFA-fixed paraffin-embedded sections) - Anti-Titin antibody [EPR24455-21] (AB284860)

Immunohistochemical analysis of paraffin-embedded Mouse cardiac muscle tissue labelling Titin with ab284860 at 1/4000 (0.167 ug/ml) followed by a ready to use Rabbit specific IHC polymer detection kit HRP/DAB (ab209101). Positive staining on mouse cardiac muscle (PMID : 15752755). The section was incubated with ab284860 for 10 mins at room temperature.The immunostaining was performed on a Leica Biosystems BOND® RX instrument Counterstained with Hematoxylin.

Secondary antibody only control : Secondary antibody is a ready to use Rabbit specific IHC polymer detection kit HRP/DAB (ab209101).

Heat mediated antigen retrieval with Tris-EDTA buffer (pH 9.0, epitope retrieval solution2) for 20 mins

Immunohistochemistry (Formalin/PFA-fixed paraffin-embedded sections) - Anti-Titin antibody [EPR24455-21] (AB284860)
  • IHC-P

Lab

Immunohistochemistry (Formalin/PFA-fixed paraffin-embedded sections) - Anti-Titin antibody [EPR24455-21] (AB284860)

Immunohistochemical analysis of paraffin-embedded Rat cardiac muscle tissue labelling Titin with ab284860 at 1/4000 (0.167 ug/ml) followed by a ready to use Rabbit specific IHC polymer detection kit HRP/DAB (ab209101). Positive staining on rat cardiac muscle. The section was incubated with ab284860 for 10 mins at room temperature.The immunostaining was performed on a Leica Biosystems BOND® RX instrument Counterstained with Hematoxylin.

Secondary antibody only control : Secondary antibody is a ready to use Rabbit specific IHC polymer detection kit HRP/DAB (ab209101).

Heat mediated antigen retrieval with Tris-EDTA buffer (pH 9.0, epitope retrieval solution2) for 20 mins

Western blot - Anti-Titin antibody [EPR24455-21] (AB284860)
  • WB

Lab

Western blot - Anti-Titin antibody [EPR24455-21] (AB284860)

Blocking and diluting buffer and concentration : 5% NFDM/TBSTNegative control : liver, lung (PMID : 15752755)

The multiples bands observed in the WB have been reported in literature (PMID : 25877298)

ab284860 recognizes TTN at a MW >>250 kDa. In skeletal muscle, ab284860 recognizes the complete TTN protein at >>250 kDa as well as the cleavage products of TTN generated by CAPN3, at 13 kDa, 15 kDa, 18 kDa and 45 kDa. In cardiac muscle, ab284860 recognizes the complete TTN protein at >>250 kDa as well as bands at 13 and 150 kDa.

This blot was developed using a higher sensitivity ECL substrate.

Exposure time : 48 seconds

All lanes:

Western blot - Anti-Titin antibody [EPR24455-21] (ab284860) at 1/1000 dilution

Lane 1:

Human heart tissue lysate

Lane 2:

Human skeletal muscle tissue lysate

Lane 3:

Human liver tissue lysate

Lane 4:

Human lu tissue lysate 20

Secondary

All lanes:

VeriBlot for IP secondary antibody(HRP)(<a href='/en-us/products/reagents/veriblot-for-ip-detection-reagent-hrp-ab131366'>ab131366</a>) at 1/5000 dilution

Predicted band size: 3816 kDa

false

Western blot - Anti-Titin antibody [EPR24455-21] (AB284860)
  • WB

Lab

Western blot - Anti-Titin antibody [EPR24455-21] (AB284860)

Blocking and diluting buffer and concentration : 5% NFDM/TBSTNegative control : lung (PMID : 15752755)

The multiples bands observed in the WB have been reported in literature (PMID : 25877298)

ab284860 recognizes TTN at a MW >>250 kDa. In skeletal muscle, ab284860 recognizes the complete TTN protein at >>250 kDa as well as the cleavage products of TTN generated by CAPN3, at 13 kDa, 15 kDa, 18 kDa and 45 kDa. In cardiac muscle, ab284860 recognizes the complete TTN protein at >>250 kDa as well as bands at 13 and 150 kDa.

This blot was developed using a higher sensitivity ECL substrate.

Exposure time : 3 minutes

All lanes:

Western blot - Anti-Titin antibody [EPR24455-21] (ab284860) at 1/1000 dilution

Lane 1:

Mouse heart tissue lysate

Lane 2:

Mouse skeletal muscle tissue lysate

Lane 3:

Mouse lu tissue lysate 20

Lane 4:

Rat heart tissue lysate

Lane 5:

Rat skeletal muscle tissue lysate

Lane 6:

Rat lu tissue lysate 20

Secondary

All lanes:

Goat Anti-Rabbit IgG, (H+L), Peroxidase conjugated (<a href='/en-us/products/secondary-antibodies/goat-rabbit-igg-h-l-hrp-ab97051'>ab97051</a>) at 1/100000 dilution

Predicted band size: 3816 kDa

false

  • Carrier free

    Anti-Titin antibody [EPR24455-21] - BSA and Azide free

Key facts

Host species

Rabbit

Clonality

Monoclonal

Clone number

EPR24455-21

Isotype

IgG

Carrier free

No

Reacts with

Mouse, Rat, Human

Applications

IHC-P, IHC-Fr, WB

applications

Immunogen

The exact immunogen used to generate this antibody is proprietary information.

Reactivity data

{ "title": "Reactivity Data", "filters": { "stats": ["", "Species", "Dilution Info", "Notes"], "tabs": { "all-applications": {"fullname" : "All Applications", "shortname": "All Applications"}, "WB" : {"fullname" : "Western blot", "shortname":"WB"}, "IHCFr" : {"fullname" : "Immunohistochemistry (Frozen sections)", "shortname":"IHC-Fr"}, "IHCP" : {"fullname" : "Immunohistochemistry (Formalin/PFA-fixed paraffin-embedded sections)", "shortname":"IHC-P"}, "ICCIF" : {"fullname" : "Immunocytochemistry/ Immunofluorescence", "shortname":"ICC/IF"}, "FlowCytIntra" : {"fullname" : "Flow Cytometry (Intracellular)", "shortname":"Flow Cyt (Intra)"}, "IP" : {"fullname" : "Immunoprecipitation", "shortname":"IP"} }, "product-promise": { "all": "all", "testedAndGuaranteed": "tested", "guaranteed": "expected", "predicted": "predicted", "notRecommended": "not-recommended" } }, "values": { "Human": { "WB-species-checked": "testedAndGuaranteed", "WB-species-dilution-info": "1/1000", "WB-species-notes": "<p></p>", "IHCFr-species-checked": "testedAndGuaranteed", "IHCFr-species-dilution-info": "0.5 µg/mL", "IHCFr-species-notes": "<p></p>", "IHCP-species-checked": "testedAndGuaranteed", "IHCP-species-dilution-info": "1/2000", "IHCP-species-notes": "<p></p>", "ICCIF-species-checked": "notRecommended", "ICCIF-species-dilution-info": "", "ICCIF-species-notes": "<p></p>", "FlowCytIntra-species-checked": "notRecommended", "FlowCytIntra-species-dilution-info": "", "FlowCytIntra-species-notes": "<p></p>", "IP-species-checked": "notRecommended", "IP-species-dilution-info": "", "IP-species-notes": "<p></p>" }, "Mouse": { "WB-species-checked": "testedAndGuaranteed", "WB-species-dilution-info": "1/1000", "WB-species-notes": "<p></p>", "IHCFr-species-checked": "notRecommended", "IHCFr-species-dilution-info": "0.5 µg/mL", "IHCFr-species-notes": "<p></p>", "IHCP-species-checked": "testedAndGuaranteed", "IHCP-species-dilution-info": "1/2000", "IHCP-species-notes": "<p></p>", "ICCIF-species-checked": "notRecommended", "ICCIF-species-dilution-info": "", "ICCIF-species-notes": "", "FlowCytIntra-species-checked": "notRecommended", "FlowCytIntra-species-dilution-info": "", "FlowCytIntra-species-notes": "", "IP-species-checked": "notRecommended", "IP-species-dilution-info": "", "IP-species-notes": "" }, "Rat": { "WB-species-checked": "testedAndGuaranteed", "WB-species-dilution-info": "1/1000", "WB-species-notes": "<p></p>", "IHCFr-species-checked": "notRecommended", "IHCFr-species-dilution-info": "0.5 µg/mL", "IHCFr-species-notes": "<p></p>", "IHCP-species-checked": "testedAndGuaranteed", "IHCP-species-dilution-info": "1/2000", "IHCP-species-notes": "<p></p>", "ICCIF-species-checked": "notRecommended", "ICCIF-species-dilution-info": "", "ICCIF-species-notes": "", "FlowCytIntra-species-checked": "notRecommended", "FlowCytIntra-species-dilution-info": "", "FlowCytIntra-species-notes": "", "IP-species-checked": "notRecommended", "IP-species-dilution-info": "", "IP-species-notes": "" } } }

Product details

Patented technology
Our RabMAb® technology is a patented hybridoma-based technology for making rabbit monoclonal antibodies. For details on our patents, please refer to RabMAb® patents.

What are the advantages of a recombinant monoclonal antibody?
This product is a recombinant monoclonal antibody, which offers several advantages including:

  • - High batch-to-batch consistency and reproducibility
  • - Improved sensitivity and specificity
  • - Long-term security of supply
  • - Animal-free batch production

For more information, read more on recombinant antibodies.

Properties and storage information

Form
Liquid
Purification technique
Affinity purification Protein A
Storage buffer
pH: 7.2 - 7.4 Preservative: 0.01% Sodium azide Constituents: PBS, 40% Glycerol (glycerin, glycerine), 0.05% BSA
Shipped at conditions
Blue Ice
Appropriate short-term storage duration
1-2 weeks
Appropriate short-term storage conditions
+4°C
Appropriate long-term storage conditions
-20°C
Aliquoting information
Upon delivery aliquot

Supplementary information

This supplementary information is collated from multiple sources and compiled automatically.

Titin also known by its full name connectin is a giant protein that plays an essential mechanical role in muscle contraction. It is the largest known protein with a molecular mass of approximately 3800 kDa. Titin is expressed mainly in cardiac and skeletal muscle tissues where it functions as a molecular spring. It provides structural support and stability to the sarcomere which is the basic contractile unit of muscle tissues.
Biological function summary

This protein titin contributes significantly to the elasticity and extensibility of the muscle. Titin is an integral part of the thick filament in muscle fibers and interacts directly with actin and myosin linking them together. It belongs to the muscle protein complex forming the backbone around which other proteins assemble. Titin allows muscles to maintain passive tension and recoil after stretching contributing to muscle elasticity during contraction.

Pathways

Several important functions depend on the intricate arrangement of titin within the sarcomere structure. Titin is involved in the regulatory pathways of muscle assembly and integrity. An important pathway includes the mechanical signaling pathway where titin acts alongside proteins like myosin-binding protein C. Titin also contributes to muscle protein turnover by interacting with ubiquitin-proteasome pathway components though it primarily serves as a scaffold for other molecules within these complex pathways.

Mutations in the titin gene associate with a range of debilitating conditions especially cardiomyopathy and muscular dystrophy. In particular dilated cardiomyopathy often results from titin mutations affecting the heart muscle's function. Proteins like myosin can become dysregulated when titin function is compromised further contributing to the disorder's pathology. Investigating these connections helps reveal how alterations in titin impact muscle-related diseases.

Product protocols

For this product, it's our understanding that no specific protocols are required. You can visit:

Target data

Key component in the assembly and functioning of vertebrate striated muscles. By providing connections at the level of individual microfilaments, it contributes to the fine balance of forces between the two halves of the sarcomere. The size and extensibility of the cross-links are the main determinants of sarcomere extensibility properties of muscle. In non-muscle cells, seems to play a role in chromosome condensation and chromosome segregation during mitosis. Might link the lamina network to chromatin or nuclear actin, or both during interphase.
See full target information TTN

Publications (2)

Recent publications for all applications. Explore the full list and refine your search

Clinical and translational medicine 15:e70123 PubMed39748197

2025

Titin gene mutations enhance radiotherapy efficacy via modulation of tumour immune microenvironment in rectum adenocarcinoma.

Applications

Unspecified application

Species

Unspecified reactive species

Hengchang Liu,Jialiang Liu,Xu Guan,Zhixun Zhao,Pu Cheng,Haipeng Chen,Zheng Jiang,Xishan Wang

PloS one 19:e0311670 PubMed39365793

2024

Integrated multi-omics approach revealed TTNtv c.13254T>G causing dilated cardiomyopathy in mice.

Applications

Unspecified application

Species

Unspecified reactive species

Dan Yu,Liang Tao,Laichun Song,Kaisheng Lai,Hui Jiang,Zhe Liu,Hongyan Xiao
View all publications

Product promise

We are committed to supporting your work with high-quality reagents, and we're here for you every step of the way. In the unlikely event that one of our products does not perform as expected, you're protected by our Product Promise.
For full details, please see our Terms & Conditions

Please note: All products are 'FOR RESEARCH USE ONLY. NOT FOR USE IN DIAGNOSTIC OR THERAPEUTIC PROCEDURES'.

For licensing inquiries, please contact partnerships@abcam.com