JavaScript is disabled in your browser. Please enable JavaScript to view this website.
AB284862

Anti-Titin antibody [EPR24455-21] - BSA and Azide free

Be the first to review this product! Submit a review

|

(0 Publication)

Rabbit Recombinant Monoclonal TITIN antibody. Carrier free. Suitable for WB, IHC-P, IHC-Fr and reacts with Mouse, Rat, Human samples.

View Alternative Names

Titin, Connectin, Rhabdomyosarcoma antigen MU-RMS-40.14, TTN

9 Images
Immunohistochemistry (Formalin/PFA-fixed paraffin-embedded sections) - Anti-Titin antibody [EPR24455-21] - BSA and Azide free (AB284862)
  • IHC-P

Supplier Data

Immunohistochemistry (Formalin/PFA-fixed paraffin-embedded sections) - Anti-Titin antibody [EPR24455-21] - BSA and Azide free (AB284862)

This data was developed using ab284860, the same antibody clone in a different buffer formulation.

Immunohistochemical analysis of paraffin-embedded Human skeletal muscle tissue labelling Titin with ab284860 at 1/2000 (0.334 ug/ml) followed by a ready to use Rabbit specific IHC polymer detection kit HRP/DAB (ab209101). Positive staining on human skeletal muscle. The section was incubated with ab284860 for 10 mins at room temperature.The immunostaining was performed on a Leica Biosystems BOND® RX instrument Counterstained with Hematoxylin.

Secondary antibody only control : Secondary antibody is a ready to use Rabbit specific IHC polymer detection kit HRP/DAB (ab209101).

Heat mediated antigen retrieval with Tris-EDTA buffer (pH 9.0, epitope retrieval solution2) for 20 mins

Immunohistochemistry (Formalin/PFA-fixed paraffin-embedded sections) - Anti-Titin antibody [EPR24455-21] - BSA and Azide free (AB284862)
  • IHC-P

Lab

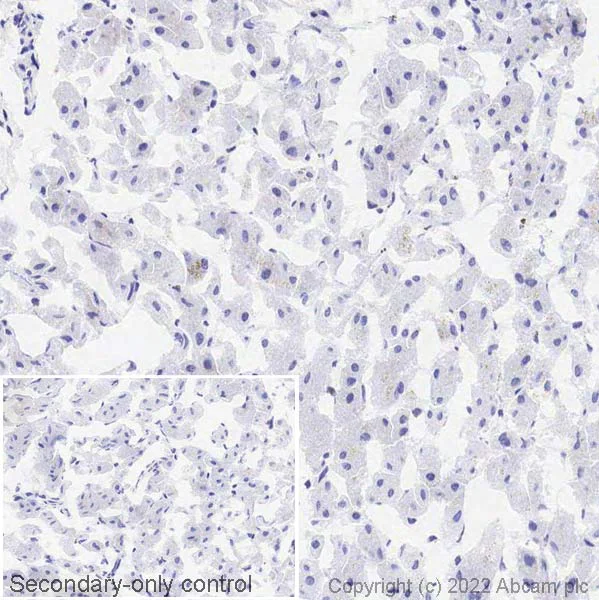
Immunohistochemistry (Formalin/PFA-fixed paraffin-embedded sections) - Anti-Titin antibody [EPR24455-21] - BSA and Azide free (AB284862)

This data was developed using ab284860, the same antibody clone in a different buffer formulation.

Immunohistochemical analysis of paraffin-embedded Human lung tissue labelling Titin with ab284860 at 1/2000 (0.334 ug/ml) followed by a ready to use Rabbit specific IHC polymer detection kit HRP/DAB (ab209101). Negative control : no staining on human lung. The section was incubated with ab284860 for 10 mins at room temperature.The immunostaining was performed on a Leica Biosystems BOND® RX instrument Counterstained with Hematoxylin.

Secondary antibody only control : Secondary antibody is a ready to use Rabbit specific IHC polymer detection kit HRP/DAB (ab209101).

Heat mediated antigen retrieval with Tris-EDTA buffer (pH 9.0, epitope retrieval solution2) for 20 mins

Immunohistochemistry (Formalin/PFA-fixed paraffin-embedded sections) - Anti-Titin antibody [EPR24455-21] - BSA and Azide free (AB284862)
  • IHC-P

Lab

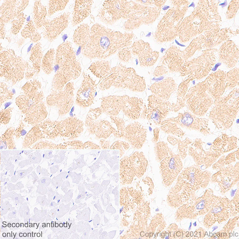
Immunohistochemistry (Formalin/PFA-fixed paraffin-embedded sections) - Anti-Titin antibody [EPR24455-21] - BSA and Azide free (AB284862)

This data was developed using ab284860, the same antibody clone in a different buffer formulation.

Immunohistochemical analysis of paraffin-embedded Human cardiac muscle tissue labelling Titin with ab284860 at 1/2000 (0.334 ug/ml) followed by a ready to use Rabbit specific IHC polymer detection kit HRP/DAB (ab209101). Positive staining on human cardiac muscle (PMID : 24725620). The section was incubated with ab284860 for 10 mins at room temperature.The immunostaining was performed on a Leica Biosystems BOND® RX instrument Counterstained with Hematoxylin.

Secondary antibody only control : Secondary antibody is a ready to use Rabbit specific IHC polymer detection kit HRP/DAB (ab209101).

Heat mediated antigen retrieval with Tris-EDTA buffer (pH 9.0, epitope retrieval solution2) for 20 mins

Immunohistochemistry (Frozen sections) - Anti-Titin antibody [EPR24455-21] - BSA and Azide free (AB284862)
  • IHC-Fr

Lab

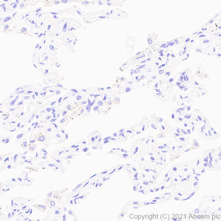
Immunohistochemistry (Frozen sections) - Anti-Titin antibody [EPR24455-21] - BSA and Azide free (AB284862)

Negative control image : IHC image of Titin staining in a section of human normal frozen liver* performed on a Leica Biosystems BOND® RX instrument using the standard protocol. The section was fixed in 10% paraformaldehyde (10 min) prior to staining. The section was incubated with ab284860, 0.5ugml, for 15 mins at room temperature and detected using an HRP conjugated compact polymer system. DAB was used as the chromogen. The section was then counterstained with haematoxylin and mounted with DPX. The inset secondary-only control image is taken from an identical assay without primary antibody. *Tissue obtained from the Human Research Tissue Bank, supported by the NIHR Cambridge Biomedical Research Centre For other IHC staining systems (automated and non-automated) customers should optimize variable parameters such as antigen retrieval conditions, primary antibody concentration and antibody incubation times. This data was developed using ab284860, the same antibody clone in a different buffer formulation.

Immunohistochemistry (Frozen sections) - Anti-Titin antibody [EPR24455-21] - BSA and Azide free (AB284862)
  • IHC-Fr

Lab

Immunohistochemistry (Frozen sections) - Anti-Titin antibody [EPR24455-21] - BSA and Azide free (AB284862)

IHC image of Titin staining in a section of human normal frozen heart performed on a Leica Biosystems BOND® RX instrument using the standard protocol. The section was fixed in 10% paraformaldehyde (10 min) prior to staining. The section was incubated with ab284860, 0.5ugml, for 15 mins at room temperature and detected using an HRP conjugated compact polymer system. DAB was used as the chromogen. The section was then counterstained with haematoxylin and mounted with DPX. The inset secondary-only control image is taken from an identical assay without primary antibody. For other IHC staining systems (automated and non-automated) customers should optimize variable parameters such as antigen retrieval conditions, primary antibody concentration and antibody incubation times. *Tissue obtained from the Human Research Tissue Bank, supported by the NIHR Cambridge Biomedical Research Centre This data was developed using ab284860, the same antibody clone in a different buffer formulation.

Immunohistochemistry (Formalin/PFA-fixed paraffin-embedded sections) - Anti-Titin antibody [EPR24455-21] - BSA and Azide free (AB284862)
  • IHC-P

Lab

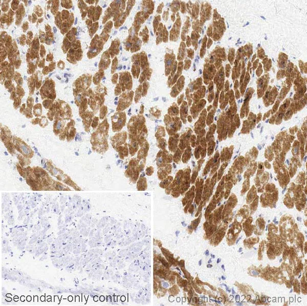
Immunohistochemistry (Formalin/PFA-fixed paraffin-embedded sections) - Anti-Titin antibody [EPR24455-21] - BSA and Azide free (AB284862)

This data was developed using ab284860, the same antibody clone in a different buffer formulation.

Immunohistochemical analysis of paraffin-embedded Rat cardiac muscle tissue labelling Titin with ab284860 at 1/4000 (0.167 ug/ml) followed by a ready to use Rabbit specific IHC polymer detection kit HRP/DAB (ab209101). Positive staining on rat cardiac muscle. The section was incubated with ab284860 for 10 mins at room temperature.The immunostaining was performed on a Leica Biosystems BOND® RX instrument Counterstained with Hematoxylin.

Secondary antibody only control : Secondary antibody is a ready to use Rabbit specific IHC polymer detection kit HRP/DAB (ab209101).

Heat mediated antigen retrieval with Tris-EDTA buffer (pH 9.0, epitope retrieval solution2) for 20 mins

Immunohistochemistry (Formalin/PFA-fixed paraffin-embedded sections) - Anti-Titin antibody [EPR24455-21] - BSA and Azide free (AB284862)
  • IHC-P

Supplier Data

Immunohistochemistry (Formalin/PFA-fixed paraffin-embedded sections) - Anti-Titin antibody [EPR24455-21] - BSA and Azide free (AB284862)

This data was developed using ab284860, the same antibody clone in a different buffer formulation.

Immunohistochemical analysis of paraffin-embedded Mouse cardiac muscle tissue labelling Titin with ab284860 at 1/4000 (0.167 ug/ml) followed by a ready to use Rabbit specific IHC polymer detection kit HRP/DAB (ab209101). Positive staining on mouse cardiac muscle (PMID : 15752755). The section was incubated with ab284860 for 10 mins at room temperature.The immunostaining was performed on a Leica Biosystems BOND® RX instrument Counterstained with Hematoxylin.

Secondary antibody only control : Secondary antibody is a ready to use Rabbit specific IHC polymer detection kit HRP/DAB (ab209101).

Heat mediated antigen retrieval with Tris-EDTA buffer (pH 9.0, epitope retrieval solution2) for 20 mins

Western blot - Anti-Titin antibody [EPR24455-21] - BSA and Azide free (AB284862)
  • WB

Lab

Western blot - Anti-Titin antibody [EPR24455-21] - BSA and Azide free (AB284862)

This data was developed using ab284860, the same antibody clone in a different buffer formulation.

Blocking and diluting buffer and concentration : Negative control : liver, lung (PMID : 15752755)

The multiples bands observed in the WB have been reported in literature (PMID : 25877298)

ab284860 recognizes TTN at a MW >>250 kDa. In skeletal muscle, ab284860 recognizes the complete TTN protein at >>250 kDa as well as the cleavage products of TTN generated by CAPN3, at 13 kDa, 15 kDa, 18 kDa and 45 kDa. In cardiac muscle, ab284860 recognizes the complete TTN protein at >>250 kDa as well as bands at 13 and 150 kDa.

This blot was developed using a higher sensitivity ECL substrate.

48 seconds

Exposure time :

All lanes:

Western blot - Anti-Titin antibody [EPR24455-21] (<a href='/en-us/products/primary-antibodies/titin-antibody-epr24455-21-ab284860'>ab284860</a>) at 1/1000 dilution

Lane 1:

Human heart tissue lysate

Lane 2:

Human skeletal muscle tissue lysate

Lane 3:

Human liver tissue lysate

Lane 4:

Human lu tissue lysate 20

Secondary

All lanes:

VeriBlot for IP secondary antibody(HRP)(<a href='/en-us/products/reagents/veriblot-for-ip-detection-reagent-hrp-ab131366'>ab131366</a>) at 1/5000 dilution

Predicted band size: 3816 kDa

false

Western blot - Anti-Titin antibody [EPR24455-21] - BSA and Azide free (AB284862)
  • WB

Lab

Western blot - Anti-Titin antibody [EPR24455-21] - BSA and Azide free (AB284862)

This data was developed using ab284860, the same antibody clone in a different buffer formulation.

Blocking and diluting buffer and concentration : Negative control : lung (PMID : 15752755)

The multiples bands observed in the WB have been reported in literature (PMID : 25877298)

ab284860 recognizes TTN at a MW >>250 kDa. In skeletal muscle, ab284860 recognizes the complete TTN protein at >>250 kDa as well as the cleavage products of TTN generated by CAPN3, at 13 kDa, 15 kDa, 18 kDa and 45 kDa. In cardiac muscle, ab284860 recognizes the complete TTN protein at >>250 kDa as well as bands at 13 and 150 kDa.

This blot was developed using a higher sensitivity ECL substrate.

3 minutes

Exposure time :

All lanes:

Western blot - Anti-Titin antibody [EPR24455-21] (<a href='/en-us/products/primary-antibodies/titin-antibody-epr24455-21-ab284860'>ab284860</a>) at 1/1000 dilution

Lane 1:

Mouse heart tissue lysate

Lane 2:

Mouse skeletal muscle tissue lysate

Lane 3:

Mouse lu tissue lysate 20

Lane 4:

Rat heart tissue lysate

Lane 5:

Rat skeletal muscle tissue lysate

Lane 6:

Rat lu tissue lysate 20

Secondary

All lanes:

Goat Anti-Rabbit IgG, (H+L), Peroxidase conjugated (<a href='/en-us/products/secondary-antibodies/goat-rabbit-igg-h-l-hrp-ab97051'>ab97051</a>) at 1/100000 dilution

Predicted band size: 3816 kDa

false

Key facts

Host species

Rabbit

Clonality

Monoclonal

Clone number

EPR24455-21

Isotype

IgG

Carrier free

Yes

Reacts with

Rat, Human, Mouse

Applications

IHC-P, IHC-Fr, WB

applications

Immunogen

The exact immunogen used to generate this antibody is proprietary information.

Reactivity data

{ "title": "Reactivity Data", "filters": { "stats": ["", "Species", "Dilution Info", "Notes"], "tabs": { "all-applications": {"fullname" : "All Applications", "shortname": "All Applications"}, "WB" : {"fullname" : "Western blot", "shortname":"WB"}, "IHCP" : {"fullname" : "Immunohistochemistry (Formalin/PFA-fixed paraffin-embedded sections)", "shortname":"IHC-P"}, "ICCIF" : {"fullname" : "Immunocytochemistry/ Immunofluorescence", "shortname":"ICC/IF"}, "FlowCytIntra" : {"fullname" : "Flow Cytometry (Intracellular)", "shortname":"Flow Cyt (Intra)"}, "IP" : {"fullname" : "Immunoprecipitation", "shortname":"IP"}, "IHCFr" : {"fullname" : "Immunohistochemistry (Frozen sections)", "shortname":"IHC-Fr"} }, "product-promise": { "all": "all", "testedAndGuaranteed": "tested", "guaranteed": "expected", "predicted": "predicted", "notRecommended": "not-recommended" } }, "values": { "Human": { "WB-species-checked": "testedAndGuaranteed", "WB-species-dilution-info": "", "WB-species-notes": "<p></p> Perform heat-mediated antigen retrieval with Tris/EDTA buffer pH 9.0 before commencing with IHC staining protocol.", "IHCP-species-checked": "testedAndGuaranteed", "IHCP-species-dilution-info": "", "IHCP-species-notes": "<p></p> Perform heat-mediated antigen retrieval with Tris/EDTA buffer pH 9.0 before commencing with IHC staining protocol.", "ICCIF-species-checked": "notRecommended", "ICCIF-species-dilution-info": "", "ICCIF-species-notes": "<p></p>", "FlowCytIntra-species-checked": "notRecommended", "FlowCytIntra-species-dilution-info": "", "FlowCytIntra-species-notes": "<p></p>", "IP-species-checked": "notRecommended", "IP-species-dilution-info": "", "IP-species-notes": "<p></p>", "IHCFr-species-checked": "testedAndGuaranteed", "IHCFr-species-dilution-info": "", "IHCFr-species-notes": "<p></p>" }, "Mouse": { "WB-species-checked": "testedAndGuaranteed", "WB-species-dilution-info": "", "WB-species-notes": "<p></p> Perform heat-mediated antigen retrieval with Tris/EDTA buffer pH 9.0 before commencing with IHC staining protocol.", "IHCP-species-checked": "testedAndGuaranteed", "IHCP-species-dilution-info": "", "IHCP-species-notes": "<p></p> Perform heat-mediated antigen retrieval with Tris/EDTA buffer pH 9.0 before commencing with IHC staining protocol.", "ICCIF-species-checked": "notRecommended", "ICCIF-species-dilution-info": "", "ICCIF-species-notes": "", "FlowCytIntra-species-checked": "notRecommended", "FlowCytIntra-species-dilution-info": "", "FlowCytIntra-species-notes": "", "IP-species-checked": "notRecommended", "IP-species-dilution-info": "", "IP-species-notes": "", "IHCFr-species-checked": "notRecommended", "IHCFr-species-dilution-info": "", "IHCFr-species-notes": "<p></p>" }, "Rat": { "WB-species-checked": "testedAndGuaranteed", "WB-species-dilution-info": "", "WB-species-notes": "<p></p> Perform heat-mediated antigen retrieval with Tris/EDTA buffer pH 9.0 before commencing with IHC staining protocol.", "IHCP-species-checked": "testedAndGuaranteed", "IHCP-species-dilution-info": "", "IHCP-species-notes": "<p></p> Perform heat-mediated antigen retrieval with Tris/EDTA buffer pH 9.0 before commencing with IHC staining protocol.", "ICCIF-species-checked": "notRecommended", "ICCIF-species-dilution-info": "", "ICCIF-species-notes": "", "FlowCytIntra-species-checked": "notRecommended", "FlowCytIntra-species-dilution-info": "", "FlowCytIntra-species-notes": "", "IP-species-checked": "notRecommended", "IP-species-dilution-info": "", "IP-species-notes": "", "IHCFr-species-checked": "notRecommended", "IHCFr-species-dilution-info": "", "IHCFr-species-notes": "<p></p>" } } }

Product details

ab284862 is the carrier-free version of ab284860.

Patented technology
Our RabMAb® technology is a patented hybridoma-based technology for making rabbit monoclonal antibodies. For details on our patents, please refer to RabMAb® patents.

What are the advantages of a recombinant monoclonal antibody?
This product is a recombinant monoclonal antibody, which offers several advantages including:

  • - High batch-to-batch consistency and reproducibility
  • - Improved sensitivity and specificity
  • - Long-term security of supply
  • - Animal-free batch production

For more information, read more on recombinant antibodies.

Conjugation ready
Our carrier-free antibodies are typically supplied in a PBS-only formulation, purified and free of BSA, sodium azide and glycerol. This conjugation-ready format is designed for use with fluorochromes, metal isotopes, oligonucleotides, and enzymes, which makes them ideal for antibody labelling, functional and cell-based assays, flow-based assays (e.g. mass cytometry) and Multiplex Imaging applications.

Use our conjugation kits for antibody conjugates that are ready-to-use in as little as 20 minutes with 1 minute hands-on-time and 100% antibody recovery: available for fluorescent dyes, HRP, biotin and gold.

Compatibility
This product is compatible with the Maxpar® Antibody Labeling Kit from Fluidigm, without the need for antibody preparation. Maxpar® is a trademark of Fluidigm Canada Inc.

Properties and storage information

Form
Liquid
Purification technique
Affinity purification Protein A
Storage buffer
pH: 7.2 - 7.4 Constituents: 100% PBS
Shipped at conditions
Blue Ice
Appropriate short-term storage conditions
+4°C
Appropriate long-term storage conditions
+4°C

Supplementary information

This supplementary information is collated from multiple sources and compiled automatically.

Titin also known by its full name connectin is a giant protein that plays an essential mechanical role in muscle contraction. It is the largest known protein with a molecular mass of approximately 3800 kDa. Titin is expressed mainly in cardiac and skeletal muscle tissues where it functions as a molecular spring. It provides structural support and stability to the sarcomere which is the basic contractile unit of muscle tissues.
Biological function summary

This protein titin contributes significantly to the elasticity and extensibility of the muscle. Titin is an integral part of the thick filament in muscle fibers and interacts directly with actin and myosin linking them together. It belongs to the muscle protein complex forming the backbone around which other proteins assemble. Titin allows muscles to maintain passive tension and recoil after stretching contributing to muscle elasticity during contraction.

Pathways

Several important functions depend on the intricate arrangement of titin within the sarcomere structure. Titin is involved in the regulatory pathways of muscle assembly and integrity. An important pathway includes the mechanical signaling pathway where titin acts alongside proteins like myosin-binding protein C. Titin also contributes to muscle protein turnover by interacting with ubiquitin-proteasome pathway components though it primarily serves as a scaffold for other molecules within these complex pathways.

Mutations in the titin gene associate with a range of debilitating conditions especially cardiomyopathy and muscular dystrophy. In particular dilated cardiomyopathy often results from titin mutations affecting the heart muscle's function. Proteins like myosin can become dysregulated when titin function is compromised further contributing to the disorder's pathology. Investigating these connections helps reveal how alterations in titin impact muscle-related diseases.

Product protocols

For this product, it's our understanding that no specific protocols are required. You can visit:

Target data

Key component in the assembly and functioning of vertebrate striated muscles. By providing connections at the level of individual microfilaments, it contributes to the fine balance of forces between the two halves of the sarcomere. The size and extensibility of the cross-links are the main determinants of sarcomere extensibility properties of muscle. In non-muscle cells, seems to play a role in chromosome condensation and chromosome segregation during mitosis. Might link the lamina network to chromatin or nuclear actin, or both during interphase.
See full target information TTN

Product promise

We are committed to supporting your work with high-quality reagents, and we're here for you every step of the way. In the unlikely event that one of our products does not perform as expected, you're protected by our Product Promise.
For full details, please see our Terms & Conditions

Please note: All products are 'FOR RESEARCH USE ONLY. NOT FOR USE IN DIAGNOSTIC OR THERAPEUTIC PROCEDURES'.

For licensing inquiries, please contact partnerships@abcam.com