JavaScript is disabled in your browser. Please enable JavaScript to view this website.
AB307447

Anti-Titin antibody [EPR26167-75] - BSA and Azide free

  • BOND RX™ Validated
  • Recombinant
  • Advanced Validation
  • RabMAb
  • What is this?

Be the first to review this product! Submit a review

|

(1 Publication)

Rabbit Recombinant Monoclonal TITIN antibody. Carrier free. Suitable for mIHC, ICC/IF, IHC-Fr, IHC-P and reacts with Mouse, Human, Rat samples. Cited in 1 publication.

View Alternative Names

Titin, Connectin, Rhabdomyosarcoma antigen MU-RMS-40.14, TTN

13 Images
Immunohistochemistry (Formalin/PFA-fixed paraffin-embedded sections) - Anti-Titin antibody [EPR26167-75] - BSA and Azide free (AB307447)
  • IHC-P

Supplier Data

Immunohistochemistry (Formalin/PFA-fixed paraffin-embedded sections) - Anti-Titin antibody [EPR26167-75] - BSA and Azide free (AB307447)

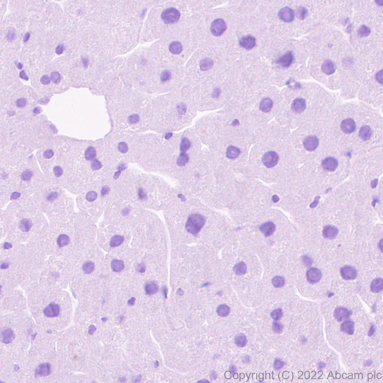
This data was developed using ab307446, the same antibody clone in a different buffer formulation. Immunohistochemical analysis of paraffin-embedded Human liver tissue labeling Titin with ab307446 at 1/1000 (0.475 ug/ml) followed by a ready to use Goat Anti-Rabbit IgG H&L (HRP polymer). Negative control : No staining on human liver.The section was incubated with ab307446 at 4ЎгC overnight. Counterstained with Hematoxylin. Secondary antibody only control : Secondary antibody is a ready to use Goat Anti-Rabbit IgG H&L (HRP polymer). Heat mediated antigen retrieval was performed with Tris-EDTA buffer (pH 9.0, Epitope Retrieval Solution2) for 20 mins

Multiplex immunohistochemistry - Anti-Titin antibody [EPR26167-75] - BSA and Azide free (AB307447)
  • mIHC

Supplier Data

Multiplex immunohistochemistry - Anti-Titin antibody [EPR26167-75] - BSA and Azide free (AB307447)

Fluorescence multiplex immunohistochemical analysis of the human cardiac muscle (Formalin/PFA-fixed paraffin-embedded sections). Panel A : merged staining of anti-delta Sarcoglycan (ab137101, red; Opal™690), anti-Titin (ab307446, green; Opal™520) and anti-Natriuretic peptides A (ab209232, magenta; Opal™570) on human cardiac muscle. Panel B : anti-Titin displayed nucleus and cytoplasm expression. Panel C : anti-Natriuretic peptides A displayed granular cytoplasmic expression. Panel D : anti-delta Sarcoglycan displayed membrane expression. Opal Polymer HRP Ms + Rb was used as a secondary antibody. The section was incubated in three rounds of staining : in the order of ab137101 at 1/1000 (1.043 μg/ml) dilution, ab307446 at 1/500 (0.95 μg/ml) dilution, and ab209232 at 1/3000 (0.241 μg/ml) dilution for 30 mins at room temperature. Each round was followed by a separate fluorescent tyramide signal amplification system. DAPI (blue) was used as a nuclear counter stain. The immunostaining was performed on a Leica Biosystems BOND® RX instrument with an Opal™ 4-color kit. Image acquisition was performed with Leica SP8 confocal microscope. Heat mediated antigen retrieval with Tris-EDTA buffer (pH 9.0, epitope retrieval solution2) for 20 mins. This data was developed using ab307446, the same antibody clone in a different buffer formulation.

Immunohistochemistry (Formalin/PFA-fixed paraffin-embedded sections) - Anti-Titin antibody [EPR26167-75] - BSA and Azide free (AB307447)
  • IHC-P

Supplier Data

Immunohistochemistry (Formalin/PFA-fixed paraffin-embedded sections) - Anti-Titin antibody [EPR26167-75] - BSA and Azide free (AB307447)

This data was developed using ab307446, the same antibody clone in a different buffer formulation. Immunohistochemical analysis of paraffin-embedded Human cardiac muscle tissue labeling Titin with ab307446 at 1/1000 (0.475 ug/ml) followed by a ready to use Goat Anti-Rabbit IgG H&L (HRP polymer). Positive staining on human cardiac muscle.The section was incubated with ab307446 at 4ЎгC overnight. Counterstained with Hematoxylin. Secondary antibody only control : Secondary antibody is a ready to use Goat Anti-Rabbit IgG H&L (HRP polymer). Heat mediated antigen retrieval was performed with Tris-EDTA buffer (pH 9.0, Epitope Retrieval Solution2) for 20 mins

Immunocytochemistry/ Immunofluorescence - Anti-Titin antibody [EPR26167-75] - BSA and Azide free (AB307447)
  • ICC/IF

Supplier Data

Immunocytochemistry/ Immunofluorescence - Anti-Titin antibody [EPR26167-75] - BSA and Azide free (AB307447)

This data was developed using ab307446, the same antibody clone in a different buffer formulation. Immunofluorescent analysis of 4% Paraformaldehyde-fixed, 0.1% TritonX-100 permeABilized C2C12 (mouse myoblast) cells lABelling Titin with ab307446 at 1/500 (0.95 ug/ml) dilution, followed by ab150081 Goat Anti-RABbit IgG H&L (Alexa Fluor? 488) preadsorbed antibody at 1/1000 2 ug/ml dilution (Green). Confocal image showing cytoplasmic and membranous staining in differentiated C2C12 cells and no staining in undifferentiated C2C12 cells.Image was taken with a confocal microscope(Leica-Microsystems, TCS SP8). is observed. ab195889 Anti-alpha Tubulin mouse monoclonal antibody - Microtubule Marker (Alexa Fluor? 594) was used to counterstain tubulin at 1/200 2.5 ug/ml dilution (Red). The Nuclear counterstain was DAPI (Blue). Secondary antibody only control : Secondary antibody is ab150081 Goat Anti-RABbit IgG H&L (Alexa Fluor? 488) preadsorbed at 1/1000 2 ug/ml dilution.

Immunohistochemistry (Formalin/PFA-fixed paraffin-embedded sections) - Anti-Titin antibody [EPR26167-75] - BSA and Azide free (AB307447)
  • IHC-P

Supplier Data

Immunohistochemistry (Formalin/PFA-fixed paraffin-embedded sections) - Anti-Titin antibody [EPR26167-75] - BSA and Azide free (AB307447)

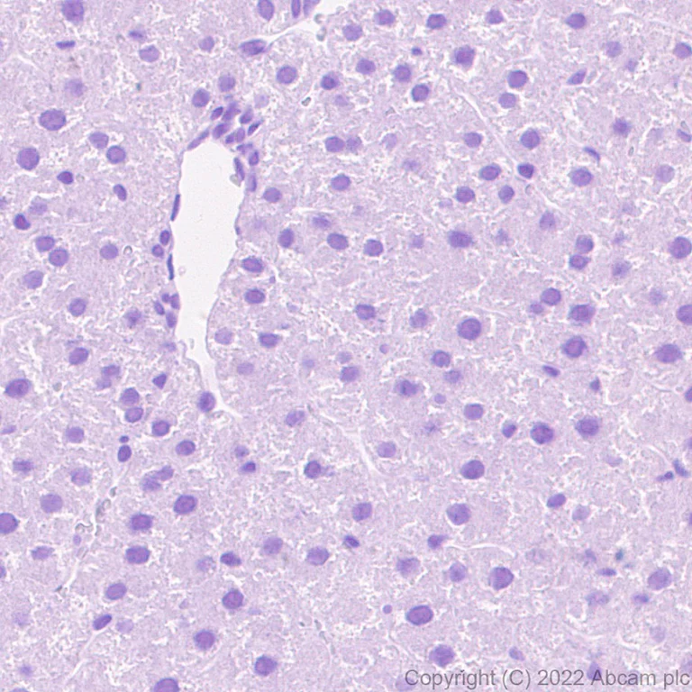
This data was developed using ab307446, the same antibody clone in a different buffer formulation. Immunohistochemical analysis of paraffin-embedded Rat liver tissue labeling Titin with ab307446 at 1/1000 (0.475 ug/ml) followed by a ready to use Goat Anti-Rabbit IgG H&L (HRP polymer). Negative control : No staining on rat liver.The section was incubated with ab307446 at 4ЎгC overnight. Counterstained with Hematoxylin. Secondary antibody only control : Secondary antibody is a ready to use Goat Anti-Rabbit IgG H&L (HRP polymer). Heat mediated antigen retrieval was performed with Tris-EDTA buffer (pH 9.0, Epitope Retrieval Solution2) for 20 mins

Immunohistochemistry (Frozen sections) - Anti-Titin antibody [EPR26167-75] - BSA and Azide free (AB307447)
  • IHC-Fr

Supplier Data

Immunohistochemistry (Frozen sections) - Anti-Titin antibody [EPR26167-75] - BSA and Azide free (AB307447)

This data was developed using ab307446, the same antibody clone in a different buffer formulation. Immunohistochemical analysis of 4% PFA-fixed, 0.2% Triton X-100 permeABilized frozen Mouse liver (fresh) tissue lABeling Titin with ab307446 at 1/100 (4.75 ug/ml) dilution followed by ab150081 Goat Anti-RABbit IgG H&L (Alexa Fluor? 488) preadsorbed at 1/1000 2 ug/mL dilution (Green). Negative control : confocal image showing no staining on mouse liver (PMID : 15752755). The nuclear counterstain was DAPI (Blue). The section was incubated with ab307446 for 60 mins at room temperature. The section was then mounted using Fluoromount?.The immunostaining was performed on a Leica Biosystems BOND? RX instrument. Image was taken with a confocal microscope (Leica-Microsystems, TCS SP8). is observed. The nuclear counterstain was DAPI (Blue). Secondary antibody control : Secondary antibody is ab150081 Goat Anti-RABbit IgG H&L (Alexa Fluor? 488) preadsorbedat 1/1000 2 ug/mL dilution.

Immunohistochemistry (Frozen sections) - Anti-Titin antibody [EPR26167-75] - BSA and Azide free (AB307447)
  • IHC-Fr

Supplier Data

Immunohistochemistry (Frozen sections) - Anti-Titin antibody [EPR26167-75] - BSA and Azide free (AB307447)

This data was developed using ab307446, the same antibody clone in a different buffer formulation. Immunohistochemical analysis of 4% PFA-fixed, 0.2% Triton X-100 permeABilized frozen Mouse cardiac muscle (fresh) tissue lABeling Titin with ab307446 at 1/100 (4.75 ug/ml) dilution followed by ab150081 Goat Anti-RABbit IgG H&L (Alexa Fluor? 488) preadsorbed at 1/1000 2 ug/mL dilution (Green). Confocal image showing positive staining on mouse cardiac muscle. The nuclear counterstain was DAPI (Blue). The section was incubated with ab307446 for 60 mins at room temperature. The section was then mounted using Fluoromount?.The immunostaining was performed on a Leica Biosystems BOND? RX instrument. Image was taken with a confocal microscope (Leica-Microsystems, TCS SP8). is observed. The nuclear counterstain was DAPI (Blue). Secondary antibody control : Secondary antibody is ab150081 Goat Anti-RABbit IgG H&L (Alexa Fluor? 488) preadsorbedat 1/1000 2 ug/mL dilution.

Immunohistochemistry (Frozen sections) - Anti-Titin antibody [EPR26167-75] - BSA and Azide free (AB307447)
  • IHC-Fr

Supplier Data

Immunohistochemistry (Frozen sections) - Anti-Titin antibody [EPR26167-75] - BSA and Azide free (AB307447)

Immunohistochemical analysis of 4% PFA-fixed, 0.2% Triton X-100 permeabilized frozen rat cardiac muscle (fresh) tissue labeling Titin with ab307446 at 1/100 dilution (4.75 µg/ml) followed by ab150081 Goat Anti-Rabbit IgG H&L (Alexa Fluor® 488) preadsorbed at 1/1000 dilution (2 µg/mL) (Green). Confocal image showing positive staining on rat cardiac muscle. The nuclear counterstain was DAPI (Blue). The section was incubated with ab307446 for 60 mins at room temperature. The section was then mounted using Fluoromount®. The immunostaining was performed on a Leica Biosystems BOND® RX instrument. Image was taken with a confocal microscope (Leica-Microsystems, TCS SP8). Secondary antibody control : Secondary antibody is ab150081 Goat Anti-Rabbit IgG H&L (Alexa Fluor® 488) preadsorbed at 1/1000 dilution (2 µg/mL).

Immunohistochemistry (Frozen sections) - Anti-Titin antibody [EPR26167-75] - BSA and Azide free (AB307447)
  • IHC-Fr

Supplier Data

Immunohistochemistry (Frozen sections) - Anti-Titin antibody [EPR26167-75] - BSA and Azide free (AB307447)

Immunohistochemical analysis of 4% PFA-fixed, 0.2% Triton X-100 permeabilized frozen rat liver (fresh) tissue labeling Titin with ab307446 at 1/100 dilution (4.75 µg/ml) followed by ab150081 Goat Anti-Rabbit IgG H&L (Alexa Fluor® 488) preadsorbed at 1/1000 dilution (2 µg/mL) (Green). Negative control : confocal image showing no staining on rat liver (PMID : 15752755).  The nuclear counterstain was DAPI (Blue). The section was incubated with ab307446 for 60 mins at room temperature. The section was then mounted using Fluoromount®. The immunostaining was performed on a Leica Biosystems BOND® RX instrument. Image was taken with a confocal microscope (Leica-Microsystems, TCS SP8). Secondary antibody control : Secondary antibody is ab150081 Goat Anti-Rabbit IgG H&L (Alexa Fluor® 488) preadsorbed at 1/1000 dilution (2 µg/mL).

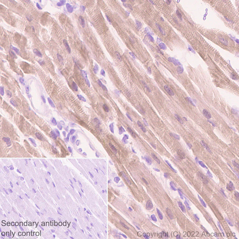
Immunohistochemistry (Formalin/PFA-fixed paraffin-embedded sections) - Anti-Titin antibody [EPR26167-75] - BSA and Azide free (AB307447)
  • IHC-P

Supplier Data

Immunohistochemistry (Formalin/PFA-fixed paraffin-embedded sections) - Anti-Titin antibody [EPR26167-75] - BSA and Azide free (AB307447)

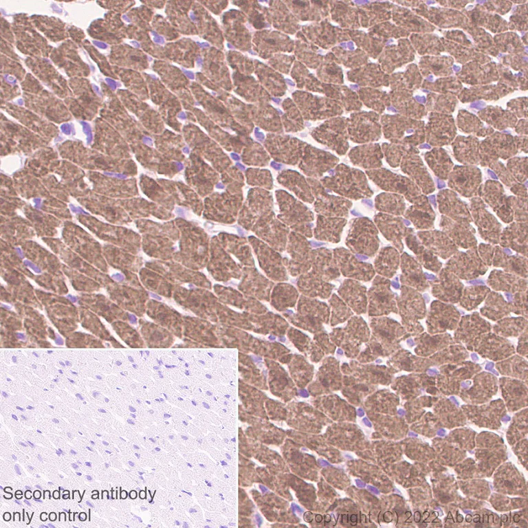
This data was developed using ab307446, the same antibody clone in a different buffer formulation. Immunohistochemical analysis of paraffin-embedded Mouse cardiac muscle tissue labeling Titin with ab307446 at 1/1000 (0.475 ug/ml) followed by a ready to use Goat Anti-Rabbit IgG H&L (HRP polymer). Positive staining on mouse cardiac muscle (PMID : 31757849).The section was incubated with ab307446 at 4ЎгC overnight. Counterstained with Hematoxylin. Secondary antibody only control : Secondary antibody is a ready to use Goat Anti-Rabbit IgG H&L (HRP polymer). Heat mediated antigen retrieval was performed with Tris-EDTA buffer (pH 9.0, Epitope Retrieval Solution2) for 20 mins

Multiplex immunohistochemistry - Anti-Titin antibody [EPR26167-75] - BSA and Azide free (AB307447)
  • mIHC

Lab

Multiplex immunohistochemistry - Anti-Titin antibody [EPR26167-75] - BSA and Azide free (AB307447)

This data was developed using ab307446, the same antibody clone in a different buffer formulation.

Multiplex immunohistochemistry analysis of formalin/PFA-fixed paraffin-embedded Mouse cardiac muscle tissue staining Titin with ab307446 at a 1/1000 ( 0.475 µg/ml) dilution, CTNNA3 with ab184916 at 1/2000 ( 0.942 µg/ml) dilution and Dystrophin with ab218198 at 1/5000 ( 0.110 µg/ml) dilution.

Panel A : merged staining of anti-Titin (gray; Opal™570), anti-CTNNA3 (green; Opal™520) and anti-Dystrophin (magenta; Opal™690) on mouse cardiac muscle.
Panel B : anti-Titin staining nucleus and cytoplasm in mouse cardiac muscle.
Panel C : anti-CTNNA3 staining intercalated discs in mouse cardiac muscle.
Panel D : anti-Dystrophin staining membrane in mouse cardiac muscle.

Nuclear DNA was labeled with DAPI (shown in blue).

The section was incubated in three rounds of staining : in the order of ab307446, ab184916 and ab218198 for 30 mins at room temperature. Each round was followed by a separate fluorescent tyramide signal amplification system.

The immunostaining was performed on a Leica Biosystems BOND° RX instrument with an Opal™ 4-color kit. Image acquisition was performed with Leica SP8 confocal microscope.

Heat mediated antigen retrieval with Tris-EDTA buffer (pH 9.0 epitope retrieval solution2) for 20 mins.

Immunohistochemistry (Formalin/PFA-fixed paraffin-embedded sections) - Anti-Titin antibody [EPR26167-75] - BSA and Azide free (AB307447)
  • IHC-P

Supplier Data

Immunohistochemistry (Formalin/PFA-fixed paraffin-embedded sections) - Anti-Titin antibody [EPR26167-75] - BSA and Azide free (AB307447)

This data was developed using ab307446, the same antibody clone in a different buffer formulation. Immunohistochemical analysis of paraffin-embedded Rat cardiac muscle tissue labeling Titin with ab307446 at 1/1000 (0.475 ug/ml) followed by a ready to use Goat Anti-Rabbit IgG H&L (HRP polymer). Positive staining on rat cardiac muscle.The section was incubated with ab307446 at 4ЎгC overnight. Counterstained with Hematoxylin. Secondary antibody only control : Secondary antibody is a ready to use Goat Anti-Rabbit IgG H&L (HRP polymer). Heat mediated antigen retrieval was performed with Tris-EDTA buffer (pH 9.0, Epitope Retrieval Solution2) for 20 mins

Immunohistochemistry (Formalin/PFA-fixed paraffin-embedded sections) - Anti-Titin antibody [EPR26167-75] - BSA and Azide free (AB307447)
  • IHC-P

Supplier Data

Immunohistochemistry (Formalin/PFA-fixed paraffin-embedded sections) - Anti-Titin antibody [EPR26167-75] - BSA and Azide free (AB307447)

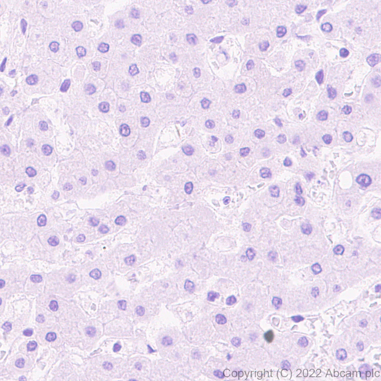
This data was developed using ab307446, the same antibody clone in a different buffer formulation. Immunohistochemical analysis of paraffin-embedded Mouse liver tissue labeling Titin with ab307446 at 1/1000 (0.475 ug/ml) followed by a ready to use Goat Anti-Rabbit IgG H&L (HRP polymer). Negative control : No staining on mouse liver (PMID : 15752755).The section was incubated with ab307446 at 4ЎгC overnight. Counterstained with Hematoxylin. Secondary antibody only control : Secondary antibody is a ready to use Goat Anti-Rabbit IgG H&L (HRP polymer). Heat mediated antigen retrieval was performed with Tris-EDTA buffer (pH 9.0, Epitope Retrieval Solution2) for 20 mins

Key facts

Host species

Rabbit

Clonality

Monoclonal

Clone number

EPR26167-75

Isotype

IgG

Carrier free

Yes

Reacts with

Mouse, Rat, Human

Applications

ICC/IF, mIHC, IHC-Fr, IHC-P

applications

Immunogen

The exact immunogen used to generate this antibody is proprietary information.

Reactivity data

{ "title": "Reactivity Data", "filters": { "stats": ["", "Species", "Dilution Info", "Notes"], "tabs": { "all-applications": {"fullname" : "All Applications", "shortname": "All Applications"}, "mIHC" : {"fullname" : "Multiplex immunohistochemistry", "shortname":"mIHC"}, "IP" : {"fullname" : "Immunoprecipitation", "shortname":"IP"}, "ICCIF" : {"fullname" : "Immunocytochemistry/ Immunofluorescence", "shortname":"ICC/IF"}, "IHCFr" : {"fullname" : "Immunohistochemistry (Frozen sections)", "shortname":"IHC-Fr"}, "IHCP" : {"fullname" : "Immunohistochemistry (Formalin/PFA-fixed paraffin-embedded sections)", "shortname":"IHC-P"}, "WB" : {"fullname" : "Western blot", "shortname":"WB"} }, "product-promise": { "all": "all", "testedAndGuaranteed": "tested", "guaranteed": "expected", "predicted": "predicted", "notRecommended": "not-recommended" } }, "values": { "Human": { "mIHC-species-checked": "testedAndGuaranteed", "mIHC-species-dilution-info": "", "mIHC-species-notes": "<p></p>", "IP-species-checked": "notRecommended", "IP-species-dilution-info": "", "IP-species-notes": "<p></p>", "ICCIF-species-checked": "guaranteed", "ICCIF-species-dilution-info": "", "ICCIF-species-notes": "", "IHCFr-species-checked": "guaranteed", "IHCFr-species-dilution-info": "", "IHCFr-species-notes": "<p></p>", "IHCP-species-checked": "testedAndGuaranteed", "IHCP-species-dilution-info": "", "IHCP-species-notes": "<p></p>", "WB-species-checked": "notRecommended", "WB-species-dilution-info": "", "WB-species-notes": "<p></p>" }, "Mouse": { "mIHC-species-checked": "testedAndGuaranteed", "mIHC-species-dilution-info": "", "mIHC-species-notes": "<p></p>", "IP-species-checked": "notRecommended", "IP-species-dilution-info": "", "IP-species-notes": "<p></p>", "ICCIF-species-checked": "testedAndGuaranteed", "ICCIF-species-dilution-info": "", "ICCIF-species-notes": "<p></p>", "IHCFr-species-checked": "testedAndGuaranteed", "IHCFr-species-dilution-info": "", "IHCFr-species-notes": "<p></p>", "IHCP-species-checked": "testedAndGuaranteed", "IHCP-species-dilution-info": "", "IHCP-species-notes": "<p></p>", "WB-species-checked": "notRecommended", "WB-species-dilution-info": "", "WB-species-notes": "<p></p>" }, "Rat": { "mIHC-species-checked": "guaranteed", "mIHC-species-dilution-info": "", "mIHC-species-notes": "", "IP-species-checked": "notRecommended", "IP-species-dilution-info": "", "IP-species-notes": "<p></p>", "ICCIF-species-checked": "guaranteed", "ICCIF-species-dilution-info": "", "ICCIF-species-notes": "", "IHCFr-species-checked": "testedAndGuaranteed", "IHCFr-species-dilution-info": "", "IHCFr-species-notes": "<p></p>", "IHCP-species-checked": "testedAndGuaranteed", "IHCP-species-dilution-info": "", "IHCP-species-notes": "<p></p>", "WB-species-checked": "notRecommended", "WB-species-dilution-info": "", "WB-species-notes": "<p></p>" } } }

Product details

Patented technology
Our RabMAb® technology is a patented hybridoma-based technology for making rabbit monoclonal antibodies. For details on our patents, please refer to RabMAb® patents.

What are the advantages of a recombinant monoclonal antibody?
This product is a recombinant monoclonal antibody, which offers several advantages including:

  • - High batch-to-batch consistency and reproducibility
  • - Improved sensitivity and specificity
  • - Long-term security of supply
  • - Animal-free batch production

For more information, read more on recombinant antibodies.

Conjugation ready
Our carrier-free antibodies are typically supplied in a PBS-only formulation, purified and free of BSA, sodium azide and glycerol. This conjugation-ready format is designed for use with fluorochromes, metal isotopes, oligonucleotides, and enzymes, which makes them ideal for antibody labelling, functional and cell-based assays, flow-based assays (e.g. mass cytometry) and Multiplex Imaging applications.

Use our conjugation kits for antibody conjugates that are ready-to-use in as little as 20 minutes with 1 minute hands-on-time and 100% antibody recovery: available for fluorescent dyes, HRP, biotin and gold.

Compatibility
This product is compatible with the Maxpar® Antibody Labeling Kit from Fluidigm, without the need for antibody preparation. Maxpar® is a trademark of Fluidigm Canada Inc.

Properties and storage information

Form
Liquid
Purification technique
Affinity purification Protein A
Storage buffer
pH: 7.2 - 7.4 Constituents: PBS
Shipped at conditions
Blue Ice
Appropriate short-term storage conditions
+4°C
Appropriate long-term storage conditions
+4°C

Supplementary information

This supplementary information is collated from multiple sources and compiled automatically.

Titin also known by its full name connectin is a giant protein that plays an essential mechanical role in muscle contraction. It is the largest known protein with a molecular mass of approximately 3800 kDa. Titin is expressed mainly in cardiac and skeletal muscle tissues where it functions as a molecular spring. It provides structural support and stability to the sarcomere which is the basic contractile unit of muscle tissues.
Biological function summary

This protein titin contributes significantly to the elasticity and extensibility of the muscle. Titin is an integral part of the thick filament in muscle fibers and interacts directly with actin and myosin linking them together. It belongs to the muscle protein complex forming the backbone around which other proteins assemble. Titin allows muscles to maintain passive tension and recoil after stretching contributing to muscle elasticity during contraction.

Pathways

Several important functions depend on the intricate arrangement of titin within the sarcomere structure. Titin is involved in the regulatory pathways of muscle assembly and integrity. An important pathway includes the mechanical signaling pathway where titin acts alongside proteins like myosin-binding protein C. Titin also contributes to muscle protein turnover by interacting with ubiquitin-proteasome pathway components though it primarily serves as a scaffold for other molecules within these complex pathways.

Mutations in the titin gene associate with a range of debilitating conditions especially cardiomyopathy and muscular dystrophy. In particular dilated cardiomyopathy often results from titin mutations affecting the heart muscle's function. Proteins like myosin can become dysregulated when titin function is compromised further contributing to the disorder's pathology. Investigating these connections helps reveal how alterations in titin impact muscle-related diseases.

Product protocols

For this product, it's our understanding that no specific protocols are required. You can visit:

Target data

Key component in the assembly and functioning of vertebrate striated muscles. By providing connections at the level of individual microfilaments, it contributes to the fine balance of forces between the two halves of the sarcomere. The size and extensibility of the cross-links are the main determinants of sarcomere extensibility properties of muscle. In non-muscle cells, seems to play a role in chromosome condensation and chromosome segregation during mitosis. Might link the lamina network to chromatin or nuclear actin, or both during interphase.
See full target information TTN

Publications (1)

Recent publications for all applications. Explore the full list and refine your search

Journal of the American Heart Association 12:e028287 PubMed38014657

2023

Single-Cell Atlas of Neonatal Mouse Hearts Reveals an Unexpected Cardiomyocyte.

Applications

Unspecified application

Species

Unspecified reactive species

Junwei Shen,Linlin Ma,Jing Hu,Yanfei Li
View all publications

Product promise

We are committed to supporting your work with high-quality reagents, and we're here for you every step of the way. In the unlikely event that one of our products does not perform as expected, you're protected by our Product Promise.
For full details, please see our Terms & Conditions

Please note: All products are 'FOR RESEARCH USE ONLY. NOT FOR USE IN DIAGNOSTIC OR THERAPEUTIC PROCEDURES'.

For licensing inquiries, please contact partnerships@abcam.com