JavaScript is disabled in your browser. Please enable JavaScript to view this website.
AB191133

Anti-TJP2/ZO2 antibody - C-terminal

2

(3 Reviews)

|

(3 Publications)

Rabbit Polyclonal TJP2/ZO2 antibody. C-terminal. Suitable for IHC-P, WB, ICC and reacts with Mouse, Rat, Human samples. Cited in 3 publications. Immunogen corresponding to Synthetic Peptide within Mouse Tjp2 aa 1100 to C-terminus.

View Alternative Names

Zo2, Tjp2, Tight junction protein ZO-2, Tight junction protein 2, Zona occludens protein 2, Zonula occludens protein 2

4 Images
Immunohistochemistry (Formalin/PFA-fixed paraffin-embedded sections) - Anti-TJP2/ZO2 antibody - C-terminal (AB191133)
  • IHC-P

Supplier Data

Immunohistochemistry (Formalin/PFA-fixed paraffin-embedded sections) - Anti-TJP2/ZO2 antibody - C-terminal (AB191133)

TJP2 was detected in a paraffin-embedded section of mouse liver tissue. Heat mediated antigen retrieval was performed in EDTA buffer (pH 8.0, epitope retrieval solution). The tissue section was blocked with 10% goat serum. The tissue section was then incubated with 2 µg/ml ab191133 overnight at 4°C. Peroxidase Conjugated Goat Anti-rabbit IgG was used as secondary antibody and incubated for 30 minutes at 37°C. The tissue section was developed using HRP Conjugated Rabbit IgG Super Vision Assay Kit with DAB as the chromogen.

Immunocytochemistry - Anti-TJP2/ZO2 antibody - C-terminal (AB191133)
  • ICC

Supplier Data

Immunocytochemistry - Anti-TJP2/ZO2 antibody - C-terminal (AB191133)

TJP2 was detected in an immunocytochemical section of U2OS cells. Enzyme antigen retrieval was performed using IHC enzyme antigen retrieval reagent (AR0022) for 15 mins. The cells were blocked with 10% goat serum. And then incubated with 5 µg/mL ab191133 overnight at 4°C. DyLight®488 Conjugated Goat Anti-Rabbit IgG was used as secondary antibody at 1/500 dilution and incubated for 30 minutes at 37°C. The section was counterstained with DAPI.

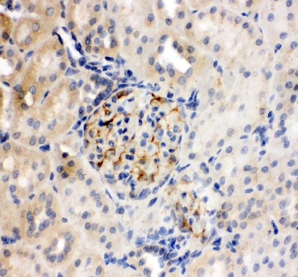
Immunohistochemistry (Formalin/PFA-fixed paraffin-embedded sections) - Anti-TJP2/ZO2 antibody - C-terminal (AB191133)
  • IHC-P

Supplier Data

Immunohistochemistry (Formalin/PFA-fixed paraffin-embedded sections) - Anti-TJP2/ZO2 antibody - C-terminal (AB191133)

TJP2 was detected in a paraffin-embedded section of rat kidney tissue. Heat mediated antigen retrieval was performed in EDTA buffer (pH 8.0, epitope retrieval solution). The tissue section was blocked with 10% goat serum. The tissue section was then incubated with 2 µg/ml ab191133 overnight at 4°C. Peroxidase Conjugated Goat Anti-rabbit IgG was used as secondary antibody and incubated for 30 minutes at 37°C. The tissue section was developed using HRP Conjugated Rabbit IgG Super Vision Assay Kit with DAB as the chromogen.

Western blot - Anti-TJP2/ZO2 antibody - C-terminal (AB191133)
  • WB

Supplier Data

Western blot - Anti-TJP2/ZO2 antibody - C-terminal (AB191133)

Electrophoresis was performed on a 5-20% SDS-PAGE gel at 70V (Stacking gel) / 90V (Resolving gel) for 2-3 hours. After electrophoresis, proteins were transferred to a nitrocellulose membrane at 150 mA for 50-90 minutes. Blocked the membrane with 5% non-fat milk/TBS for 1.5 hour at RT. The membrane was incubated with ab191133 at 0.5 µg/mL overnight at 4°C, then washed with TBS-0.1%Tween 3 times with 5 minutes each and probed with a goat anti-rabbit IgG-HRP secondary antibody at a dilution of 1/5000 for 1.5 hour at RT. The signal is developed using an Enhanced Chemiluminescent detection (ECL) kit with Tanon 5200 system. A specific band was detected for TJP2 at approximately 150 kDa. The expected band size for TJP2 is at 131 kDa.

All lanes:

Western blot - Anti-TJP2/ZO2 antibody - C-terminal (ab191133) at 0.5 µg/mL

Lane 1:

human RT4 whole cell lysates, at 30 µg

Lane 2:

human A431 whole cell lysates, at 30 µg

Lane 3:

human HepG2 whole cell lysates, at 30 µg

Lane 4:

human MCF-7 whole cell lysates, at 30 µg

Lane 5:

human U2OS whole cell lysates, at 30 µg

Lane 6:

human Hela whole cell lysates, at 30 µg

Lane 7:

human PC-3 whole cell lysates, at 30 µg

Lane 8:

rat RH35 whole cell lysates, at 30 µg

Lane 9:

rat HEPA1-6 whole cell lysates. at 30 µg

Secondary

All lanes:

goat anti-rabbit IgG-HRP at 1/5000 dilution

true

Key facts

Host species

Rabbit

Clonality

Polyclonal

Isotype

IgG

Carrier free

No

Reacts with

Mouse, Human, Rat

Applications

ICC, WB, IHC-P

applications

Immunogen

Synthetic Peptide within Mouse Tjp2 aa 1100 to C-terminus. The exact immunogen used to generate this antibody is proprietary information.

Q9Z0U1

Reactivity data

{ "title": "Reactivity Data", "filters": { "stats": ["", "Species", "Dilution Info", "Notes"], "tabs": { "all-applications": {"fullname" : "All Applications", "shortname": "All Applications"}, "IHCP" : {"fullname" : "Immunohistochemistry (Formalin/PFA-fixed paraffin-embedded sections)", "shortname":"IHC-P"}, "WB" : {"fullname" : "Western blot", "shortname":"WB"}, "ICC" : {"fullname" : "Immunocytochemistry", "shortname":"ICC"} }, "product-promise": { "all": "all", "testedAndGuaranteed": "tested", "guaranteed": "expected", "predicted": "predicted", "notRecommended": "not-recommended" } }, "values": { "Human": { "IHCP-species-checked": "guaranteed", "IHCP-species-dilution-info": "", "IHCP-species-notes": "", "WB-species-checked": "testedAndGuaranteed", "WB-species-dilution-info": "0.1-0.5 µg/mL", "WB-species-notes": "<p></p>", "ICC-species-checked": "testedAndGuaranteed", "ICC-species-dilution-info": "5 µg/mL", "ICC-species-notes": "<p></p>" }, "Mouse": { "IHCP-species-checked": "testedAndGuaranteed", "IHCP-species-dilution-info": "2-5 µg/mL", "IHCP-species-notes": "<p></p> Perform heat-mediated antigen retrieval with citrate buffer pH 6 before commencing with IHC staining protocol.", "WB-species-checked": "testedAndGuaranteed", "WB-species-dilution-info": "0.1-0.5 µg/mL", "WB-species-notes": "<p></p>", "ICC-species-checked": "guaranteed", "ICC-species-dilution-info": "", "ICC-species-notes": "" }, "Rat": { "IHCP-species-checked": "testedAndGuaranteed", "IHCP-species-dilution-info": "2-5 µg/mL", "IHCP-species-notes": "<p></p>", "WB-species-checked": "testedAndGuaranteed", "WB-species-dilution-info": "0.1-0.5 µg/mL", "WB-species-notes": "<p></p>", "ICC-species-checked": "guaranteed", "ICC-species-dilution-info": "", "ICC-species-notes": "" } } }

Properties and storage information

Form
Liquid
Purification technique
Affinity purification Immunogen
Storage buffer
Preservative: 0.31% Thimerosal (merthiolate), 0.06% Sodium azide Constituents: 30.75% BSA, 5.54% Sodium chloride, 1.23% Disodium hydrogenorthophosphate
Shipped at conditions
Blue Ice
Appropriate short-term storage duration
1-2 weeks
Appropriate short-term storage conditions
+4°C
Appropriate long-term storage conditions
-20°C
Aliquoting information
Upon delivery aliquot
Storage information
Avoid freeze / thaw cycle

Supplementary information

This supplementary information is collated from multiple sources and compiled automatically.

TJP2 also known as ZO-2 is a tight junction protein with an approximate molecular mass of 160 kDa. It belongs to the membrane-associated guanylate kinase homologue (MAGUK) family and is expressed in various epithelial and endothelial tissues. ZO-2 is located at the tight junctions where it interacts with other proteins to maintain cell-cell adhesion and contribute to the integrity of the cellular barrier. This protein contains multiple domains that facilitate interactions with membrane proteins actin cytoskeleton and nuclear components highlighting its multifunctional nature.
Biological function summary

TJP2/ZO-2 modulates the permeability and selectivity of the paracellular pathway by being a part of the tight junction complex. It acts as a scaffold protein connecting transmembrane proteins such as occludin and claudins with cytoplasmic signaling molecules. Through its interaction with the actin cytoskeleton ZO-2 maintains the structure and function of the tight junctions playing a critical role in establishing and regulating epithelial barrier function. Additionally it participates in the regulation of gene expression by shuttling between the cytoplasm and the nucleus.

Pathways

The ZO-2 protein is involved in both the epithelial transport and tight junction signaling pathways. Within the epithelial transport pathway ZO-2 coordinates with other tight junction components like ZO-1 to control the movement of ions and molecules. In tight junction signaling ZO-2 plays a role with proteins such as FAK and SRC in relaying signals that influence cell proliferation and differentiation. It connects to the Hippo pathway which regulates growth and apoptosis by interacting with YAP and TAZ proteins thereby influencing cellular homeostasis and tissue organization.

Mutations or altered expression of TJP2/ZO-2 are associated with liver-related conditions such as cholestasis and hypercholanemia. These conditions highlight the protein’s role in maintaining bile duct integrity and function. Moreover ZO-2 dysregulation can involve disorders related to epithelial barrier function like inflammatory bowel disease. There is an established connection to proteins like occludin and claudin which when impacted mirrors ZO-2's deficiencies pointing towards its involvement in proper epithelial barrier maintenance and response to pathophysiological changes.

Product protocols

For this product, it's our understanding that no specific protocols are required. You can visit:

Target data

Plays a role in tight junctions and adherens junctions (PubMed : 10026224). Acts as a positive regulator of RANKL-induced osteoclast differentiation, potentially via mediating downstream transcriptional activity (PubMed : 22437732).
See full target information Tjp2

Publications (3)

Recent publications for all applications. Explore the full list and refine your search

International journal of nanomedicine 16:6889-6904 PubMed34675513

2021

Hollow CeO with ROS-Scavenging Activity to Alleviate Colitis in Mice.

Applications

Unspecified application

Species

Unspecified reactive species

Jing Yang,Jinzhe Zhou,Yingying Zhao,Liangchen Zhu,Guanghong Luo,BuJun Ge

Neuroimmunomodulation 25:163-175 PubMed30415249

2018

A Rodent Model of Anxiety: The Effect of Perinatal Immune Challenges on Gastrointestinal Inflammation and Integrity.

Applications

Unspecified application

Species

Unspecified reactive species

Sharon L Hollins,Luke Brock,Rafael Barreto,Lauren Harms,Ariel Dunn,Pedro Garcia-Sobrinho,Jessica Bruce,Phillip W Dickson,Marjorie M Walker,Simon Keely,Deborah M Hodgson

American journal of translational research 10:827-836 PubMed29636872

2018

Qihuang decoction promotes the recovery of intestinal immune barrier dysfunction after gastrectomy in rats.

Applications

WB

Species

Rat

Hui Peng,Yi Shen,Qi Zhang,Juda Liu,Zhen Wang,Long Huang,Fuhai Zhou,Jian Yu,Mingyang Liu,Yiyang Yuan,Shushan Yu,Qingsheng Yu
View all publications

Product promise

We are committed to supporting your work with high-quality reagents, and we're here for you every step of the way. In the unlikely event that one of our products does not perform as expected, you're protected by our Product Promise.
For full details, please see our Terms & Conditions

Please note: All products are 'FOR RESEARCH USE ONLY. NOT FOR USE IN DIAGNOSTIC OR THERAPEUTIC PROCEDURES'.

For licensing inquiries, please contact partnerships@abcam.com