JavaScript is disabled in your browser. Please enable JavaScript to view this website.
AB234300

Anti-TL1A antibody [rVEGI/1283]

Be the first to review this product! Submit a review

|

(1 Publication)

Mouse Recombinant Monoclonal TL1A antibody. Suitable for IHC-P and reacts with Human samples. Cited in 1 publication. Immunogen corresponding to Recombinant Full Length Protein corresponding to Human TNFSF15.

View Alternative Names

TL1, VEGI, TNFSF15, Tumor necrosis factor ligand superfamily member 15, TNF ligand-related molecule 1, Vascular endothelial cell growth inhibitor

1 Images
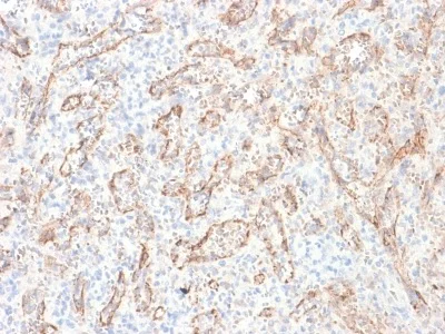
Immunohistochemistry (Formalin/PFA-fixed paraffin-embedded sections) - Anti-TL1A antibody [rVEGI/1283] (AB234300)
  • IHC-P

Supplier Data

Immunohistochemistry (Formalin/PFA-fixed paraffin-embedded sections) - Anti-TL1A antibody [rVEGI/1283] (AB234300)

Formalin-fixed, paraffin-embedded human spleen tissue stained for TL1A using ab234300 at 2 μg/ml in immunohistochemical analysis.

  • Carrier free

    Anti-TL1A antibody [rVEGI/1283] - BSA and Azide free

Key facts

Host species

Mouse

Clonality

Monoclonal

Clone number

rVEGI/1283

Isotype

IgG1

Light chain type

kappa

Carrier free

No

Reacts with

Human

Applications

IHC-P

applications

Immunogen

Recombinant Full Length Protein corresponding to Human TNFSF15.

O95150

Reactivity data

{ "title": "Reactivity Data", "filters": { "stats": ["", "Species", "Dilution Info", "Notes"], "tabs": { "all-applications": {"fullname" : "All Applications", "shortname": "All Applications"}, "IHCP" : {"fullname" : "Immunohistochemistry (Formalin/PFA-fixed paraffin-embedded sections)", "shortname":"IHC-P"} }, "product-promise": { "all": "all", "testedAndGuaranteed": "tested", "guaranteed": "expected", "predicted": "predicted", "notRecommended": "not-recommended" } }, "values": { "Human": { "IHCP-species-checked": "testedAndGuaranteed", "IHCP-species-dilution-info": "1-2 µg/mL", "IHCP-species-notes": "<p>Primary incubation for 30 minutes at room temperature.</p> Perform heat-mediated antigen retrieval with Tris/EDTA buffer pH 9.0 before commencing with IHC staining protocol." } } }

Properties and storage information

Form
Liquid
Purification technique
Affinity purification Protein A/G
Purification notes
Purified from Bioreactor Concentrate by Protein A/G.
Storage buffer
pH: 7.2 - 7.4 Preservative: 0.05% Sodium azide Constituents: PBS, 0.05% BSA
Shipped at conditions
Blue Ice
Appropriate short-term storage duration
1-2 weeks
Appropriate short-term storage conditions
+4°C
Appropriate long-term storage conditions
-20°C
Aliquoting information
Upon delivery aliquot
Storage information
Avoid freeze / thaw cycle

Supplementary information

This supplementary information is collated from multiple sources and compiled automatically.

The protein TL1A also known as TNF-like ligand 1A is part of the tumor necrosis factor (TNF) superfamily. It is a cytokine with a molecular weight of approximately 23 kDa. Cells such as endothelial cells monocytes and fibroblasts express TL1A. TL1A predominantly acts as ligand for death receptor 3 (DR3) also called TNFRSF25 and is involved in immune response regulation. This protein can be found mainly in tissues involved in immune surveillance like lymph nodes and the gastrointestinal tract.
Biological function summary

TL1A interacts to induce T cell proliferation and cytokine production. It forms a complex with DR3 to activate downstream signaling pathways. These activities enhance adaptive immunity by stimulating T helper cells. Furthermore TL1A influences the production of inflammatory cytokines like interleukin-2 (IL-2) and tumor necrosis factor-alpha (TNF-α). Through its interaction with DR3 TL1A modulates important immune responses.

Pathways

TL1A features in the TNF receptor-mediated signaling and the NF-kB signaling pathway. In these pathways it links to proteins such as RIPK1 and TRAF2. The signaling through DR3 influences cell survival differentiation and apoptosis. These pathways are important in maintaining the balance between immune activation and tolerance. By interacting with various signaling molecules TL1A orchestrates complex immune functions that ensure adequate immune responses and prevent autoimmunity.

Researchers connect TL1A with conditions like inflammatory bowel disease (IBD) and rheumatoid arthritis (RA). These conditions involve chronic inflammation and immune dysregulation where TL1A plays a role. In IBD elevated TL1A levels drive inflammation in the intestines. In RA TL1A potentially interacts with fibroblast-like synoviocytes contributing to joint inflammation and damage. Its relation to DR3 further implicates TL1A in these autoimmune disorders making it a target for therapeutic interventions aiming to mitigate immune-mediated damage.

Product protocols

For this product, it's our understanding that no specific protocols are required. You can visit:

Target data

Receptor for TNFRSF25 and TNFRSF6B. Mediates activation of NF-kappa-B. Inhibits vascular endothelial growth and angiogenesis (in vitro). Promotes activation of caspases and apoptosis.
See full target information TNFSF15

Publications (1)

Recent publications for all applications. Explore the full list and refine your search

International journal of molecular sciences 26: PubMed40565011

2025

Bioprinted Four-Cell-Type Lung Model for Viral Infection Studies Under Air-Liquid Interface Conditions.

Applications

Unspecified application

Species

Unspecified reactive species

Johanna Berg,Julian Heinze,Daniela Niemeyer,Josefin Hellgren,Himjyot Jaiswal,Anna Löwa,Andreas Hocke,Itedale Namro,Christian Drosten,Jens Kurreck,Beatrice Tolksdorf
View all publications

Product promise

We are committed to supporting your work with high-quality reagents, and we're here for you every step of the way. In the unlikely event that one of our products does not perform as expected, you're protected by our Product Promise.
For full details, please see our Terms & Conditions

Please note: All products are 'FOR RESEARCH USE ONLY. NOT FOR USE IN DIAGNOSTIC OR THERAPEUTIC PROCEDURES'.

For licensing inquiries, please contact partnerships@abcam.com