JavaScript is disabled in your browser. Please enable JavaScript to view this website.
AB125183

Anti-TLE 1 antibody

Be the first to review this product! Submit a review

|

(1 Publication)

Rabbit Polyclonal TLE 1 antibody. Suitable for IHC-P, IP, WB and reacts with Human samples. Cited in 1 publication. Immunogen corresponding to Synthetic Peptide within Human Transducin-like enhancer protein 1 aa 150-250.

View Alternative Names

Transducin-like enhancer protein 1, E(Sp1) homolog, Enhancer of split groucho-like protein 1, ESG1, TLE1

3 Images
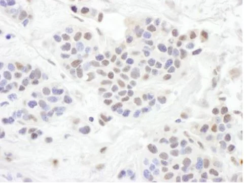
Immunohistochemistry (Formalin/PFA-fixed paraffin-embedded sections) - Anti-TLE 1 antibody (AB125183)
  • IHC-P

Supplier Data

Immunohistochemistry (Formalin/PFA-fixed paraffin-embedded sections) - Anti-TLE 1 antibody (AB125183)

Paraffin embedded human breast carcinoma tissue stained for TLE 1 using ab125183 at 1/1000 dilution in immunohistochemical analysis.

Immunoprecipitation - Anti-TLE 1 antibody (AB125183)
  • IP

Unknown

Immunoprecipitation - Anti-TLE 1 antibody (AB125183)

ab125183, at 6 µg/mg lysate, detecting TLE 1 in 293T cell lysate by Immunoprecipitation.
For the subsequent Western blot, ab125183 was used at 0.4 µg/ml (1 mg of immunoprecipitate, 20% loaded in the lane).
The blot was developed using the ECL technique, with an exposure time of 30 seconds.

All lanes:

Immunoprecipitation - Anti-TLE 1 antibody (ab125183)

Predicted band size: 83 kDa

false

Western blot - Anti-TLE 1 antibody (AB125183)
  • WB

Unknown

Western blot - Anti-TLE 1 antibody (AB125183)

All lanes:

Western blot - Anti-TLE 1 antibody (ab125183) at 0.1 µg/mL

Lane 1:

293T whole cell lysate at 50 µg

Lane 2:

293T whole cell lysate at 15 µg

Lane 3:

Jurkat whole cell lysate at 50 µg

Lane 4:

HeLa whole cell lysate at 50 µg

Predicted band size: 83 kDa

true

Exposure time: 3min

Key facts

Host species

Rabbit

Clonality

Polyclonal

Isotype

IgG

Carrier free

No

Reacts with

Human

Applications

IP, WB, IHC-P

applications

Immunogen

Synthetic Peptide within Human Transducin-like enhancer protein 1 aa 150-250. The exact immunogen used to generate this antibody is proprietary information.

Q04724

Reactivity data

{ "title": "Reactivity Data", "filters": { "stats": ["", "Species", "Dilution Info", "Notes"], "tabs": { "all-applications": {"fullname" : "All Applications", "shortname": "All Applications"}, "IHCP" : {"fullname" : "Immunohistochemistry (Formalin/PFA-fixed paraffin-embedded sections)", "shortname":"IHC-P"}, "IP" : {"fullname" : "Immunoprecipitation", "shortname":"IP"}, "WB" : {"fullname" : "Western blot", "shortname":"WB"} }, "product-promise": { "all": "all", "testedAndGuaranteed": "tested", "guaranteed": "expected", "predicted": "predicted", "notRecommended": "not-recommended" } }, "values": { "Human": { "IHCP-species-checked": "testedAndGuaranteed", "IHCP-species-dilution-info": "1/500 - 1/2000", "IHCP-species-notes": "<p></p>", "IP-species-checked": "testedAndGuaranteed", "IP-species-dilution-info": "2-10 µg/mg of lysate", "IP-species-notes": "<p></p>", "WB-species-checked": "testedAndGuaranteed", "WB-species-dilution-info": "1/2000 - 1/10000", "WB-species-notes": "<p></p>" }, "Mouse": { "IHCP-species-checked": "predicted", "IHCP-species-dilution-info": "", "IHCP-species-notes": "", "IP-species-checked": "predicted", "IP-species-dilution-info": "", "IP-species-notes": "", "WB-species-checked": "predicted", "WB-species-dilution-info": "", "WB-species-notes": "" }, "Rat": { "IHCP-species-checked": "predicted", "IHCP-species-dilution-info": "", "IHCP-species-notes": "", "IP-species-checked": "predicted", "IP-species-dilution-info": "", "IP-species-notes": "", "WB-species-checked": "predicted", "WB-species-dilution-info": "", "WB-species-notes": "" }, "Chimpanzee": { "IHCP-species-checked": "predicted", "IHCP-species-dilution-info": "", "IHCP-species-notes": "", "IP-species-checked": "predicted", "IP-species-dilution-info": "", "IP-species-notes": "", "WB-species-checked": "predicted", "WB-species-dilution-info": "", "WB-species-notes": "" }, "Cow": { "IHCP-species-checked": "predicted", "IHCP-species-dilution-info": "", "IHCP-species-notes": "", "IP-species-checked": "predicted", "IP-species-dilution-info": "", "IP-species-notes": "", "WB-species-checked": "predicted", "WB-species-dilution-info": "", "WB-species-notes": "" }, "Elephant": { "IHCP-species-checked": "predicted", "IHCP-species-dilution-info": "", "IHCP-species-notes": "", "IP-species-checked": "predicted", "IP-species-dilution-info": "", "IP-species-notes": "", "WB-species-checked": "predicted", "WB-species-dilution-info": "", "WB-species-notes": "" }, "Ferret": { "IHCP-species-checked": "predicted", "IHCP-species-dilution-info": "", "IHCP-species-notes": "", "IP-species-checked": "predicted", "IP-species-dilution-info": "", "IP-species-notes": "", "WB-species-checked": "predicted", "WB-species-dilution-info": "", "WB-species-notes": "" }, "Gorilla": { "IHCP-species-checked": "predicted", "IHCP-species-dilution-info": "", "IHCP-species-notes": "", "IP-species-checked": "predicted", "IP-species-dilution-info": "", "IP-species-notes": "", "WB-species-checked": "predicted", "WB-species-dilution-info": "", "WB-species-notes": "" }, "Guinea pig": { "IHCP-species-checked": "predicted", "IHCP-species-dilution-info": "", "IHCP-species-notes": "", "IP-species-checked": "predicted", "IP-species-dilution-info": "", "IP-species-notes": "", "WB-species-checked": "predicted", "WB-species-dilution-info": "", "WB-species-notes": "" }, "Horse": { "IHCP-species-checked": "predicted", "IHCP-species-dilution-info": "", "IHCP-species-notes": "", "IP-species-checked": "predicted", "IP-species-dilution-info": "", "IP-species-notes": "", "WB-species-checked": "predicted", "WB-species-dilution-info": "", "WB-species-notes": "" }, "Orangutan": { "IHCP-species-checked": "predicted", "IHCP-species-dilution-info": "", "IHCP-species-notes": "", "IP-species-checked": "predicted", "IP-species-dilution-info": "", "IP-species-notes": "", "WB-species-checked": "predicted", "WB-species-dilution-info": "", "WB-species-notes": "" }, "Pig": { "IHCP-species-checked": "predicted", "IHCP-species-dilution-info": "", "IHCP-species-notes": "", "IP-species-checked": "predicted", "IP-species-dilution-info": "", "IP-species-notes": "", "WB-species-checked": "predicted", "WB-species-dilution-info": "", "WB-species-notes": "" }, "Rhesus monkey": { "IHCP-species-checked": "predicted", "IHCP-species-dilution-info": "", "IHCP-species-notes": "", "IP-species-checked": "predicted", "IP-species-dilution-info": "", "IP-species-notes": "", "WB-species-checked": "predicted", "WB-species-dilution-info": "", "WB-species-notes": "" } } }

Properties and storage information

Form
Liquid
Purification technique
Affinity purification Immunogen
Storage buffer
pH: 7 - 8 Preservative: 0.09% Sodium azide Constituents: 99% Tris citrate/phosphate
Shipped at conditions
Blue Ice
Appropriate short-term storage conditions
+4°C
Appropriate long-term storage conditions
+4°C
Aliquoting information
Upon delivery aliquot
Storage information
Avoid freeze / thaw cycle

Supplementary information

This supplementary information is collated from multiple sources and compiled automatically.

Transducin-Like Enhancer of Split 1 also known as TLE1 is a transcriptional corepressor well-known for its involvement in Notch and Wnt signaling pathways. TLE1 has a molecular mass of approximately 77 kDa. This protein is expressed in various tissues including the brain heart and lung highlighting its involvement in multiple biological systems. Researchers recognize its importance in modulating gene expression through interactions with different transcription factors.
Biological function summary

The TLE1 protein plays a role in embryonic development by regulating the transcription of genes critical for cell differentiation. TLE1 forms part of a complex with other proteins to exert its corepressive function effectively. Through these interactions TLE1 is involved in differentiation processes in cells such as MCF-7 a breast cancer cell line influencing cellular behavior and function.

Pathways

TLE1 influences the Notch and Wnt signaling pathways essential for cell fate determination and proliferation. Its interaction with key proteins like β-catenin and Notch receptor proteins connects it to these pathways modulating the transcription of target genes. TLE1's role in these pathways is important for maintaining balanced cellular processes and preventing abnormal cell growth.

TLE1 is linked to various forms of cancer including synovial sarcoma and breast cancer. Its overexpression has been observed in these cancers often in conjunction with other proteins like BCL2 supporting cell survival and resisting apoptosis. TLE1's involvement in these diseases makes it a target for therapeutic strategies aimed at modulating its activity to inhibit tumor progression.

Product protocols

For this product, it's our understanding that no specific protocols are required. You can visit:

Target data

Transcriptional corepressor that binds to a number of transcription factors. Inhibits NF-kappa-B-regulated gene expression. Inhibits the transcriptional activation mediated by FOXA2, and by CTNNB1 and TCF family members in Wnt signaling. Enhances FOXG1/BF-1- and HES1-mediated transcriptional repression (By similarity). The effects of full-length TLE family members may be modulated by association with dominant-negative AES. Unusual function as coactivator for ESRRG.
See full target information Transducin-like enhancer protein 1

Publications (1)

Recent publications for all applications. Explore the full list and refine your search

Oncotarget 7:34384-94 PubMed27120803

2016

Identification of cytotoxic agents disrupting synovial sarcoma oncoprotein interactions by proximity ligation assay.

Applications

Unspecified application

Species

Unspecified reactive species

Aimée N Laporte,Jennifer X Ji,Limin Ma,Torsten O Nielsen,Bertha A Brodin
View all publications

Product promise

We are committed to supporting your work with high-quality reagents, and we're here for you every step of the way. In the unlikely event that one of our products does not perform as expected, you're protected by our Product Promise.
For full details, please see our Terms & Conditions

Please note: All products are 'FOR RESEARCH USE ONLY. NOT FOR USE IN DIAGNOSTIC OR THERAPEUTIC PROCEDURES'.

For licensing inquiries, please contact partnerships@abcam.com