JavaScript is disabled in your browser. Please enable JavaScript to view this website.
AB183742

Anti-TLE 1 antibody [EPR9386(2)]

  • BOND RX™ Validated
  • RabMAb
  • Recombinant
  • KO Validated
  • What is this?

5

(1 Review)

|

(9 Publications)

Anti-TLE 1 antibody [EPR9386(2)] (ab183742) is a rabbit monoclonal antibody detecting TLE 1 in Western Blot, IHC-P, ICC/IF. Suitable for Human.

- KO validated for confirmed specificity
- Biophysical QC for unrivalled batch-batch consistency

View Alternative Names

Transducin-like enhancer protein 1, E(Sp1) homolog, Enhancer of split groucho-like protein 1, ESG1, TLE1

13 Images
Immunocytochemistry/ Immunofluorescence - Anti-TLE 1 antibody [EPR9386(2)] (AB183742)
  • ICC/IF

Supplier Data

Immunocytochemistry/ Immunofluorescence - Anti-TLE 1 antibody [EPR9386(2)] (AB183742)

Immunofluorescence analysis of 4% paraformaldehyde-fixed, 0.1% TritonX-100 permeabilised wildtype HEK293T cells and TLE1 knockout HEK293T cells (ab265059) with ab183742 (green) at 1/50 dilution. Alexa Fluor® 488 Goat Anti-Rabbit IgG H&L (ab150081) was used as a secondary antibody, presabsorbed at 1/1000 dilution. Alexa Fluor® 594 Anti-alpha Tubulin mouse monoclonal antibody (ab195889) used as microtubule marker counterstain (red). Nuclei were counterstained with DAPI (blue). Confocal image showing nuclear staining in wildtype HEK293T cells and showing no staining in TLE1 knockout HEK293T cells. Image was taken with a confocal microscope(Leica-Microsystems, TCS SP8).

Immunocytochemistry/ Immunofluorescence - Anti-TLE 1 antibody [EPR9386(2)] (AB183742)
  • ICC/IF

Supplier Data

Immunocytochemistry/ Immunofluorescence - Anti-TLE 1 antibody [EPR9386(2)] (AB183742)

Immunofluorescence analysis of paraformaldehyde-fixed HepG2 cells staining TLE 1 (green) with ab183742 at 1/100 dilution. Alexa Fluor®488-conjugated goat anti rabbit IgG was used as a secondary antibody at 1/200 dilution. Nuclei were counterstained with DAPI (blue).

Immunocytochemistry/ Immunofluorescence - Anti-TLE 1 antibody [EPR9386(2)] (AB183742)
  • ICC/IF

Unknown

Immunocytochemistry/ Immunofluorescence - Anti-TLE 1 antibody [EPR9386(2)] (AB183742)

ab183742 staining TLE1 in wild-type MCF7 cells (top panel) and TLE1 knockout MCF7 cells (bottom panel). The cells were fixed with 4% paraformaldehyde (10 min), permeabilized with 0.1% Triton X-100 for 5 minutes and then blocked with 1% BSA/10% normal goat serum/0.3M glycine in 0.1% PBS-Tween for 1h. The cells were then incubated with ab183742 at 1/500 dilution and ab7291 (Mouse monoclonal to alpha Tubulin) at 1/1000 dilution overnight at 4°C, followed by a further incubation at room temperature for 1h with a goat secondary antibody to rabbit IgG (Alexa Fluor® 488) (ab150081) at 2 μg/ml (shown in green) and a goat secondary antibody to mouse IgG (Alexa Fluor® 594) (ab150120) at 2 μg/ml (shown in red). Nuclear DNA was labelled in blue with DAPI.
Image was taken with a high-content analysis system (Perkin Elmer, Operetta CLS™).

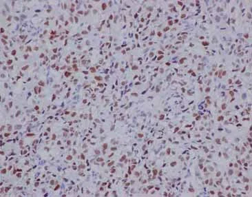
Immunohistochemistry (Formalin/PFA-fixed paraffin-embedded sections) - Anti-TLE 1 antibody [EPR9386(2)] (AB183742)
  • IHC-P

Supplier Data

Immunohistochemistry (Formalin/PFA-fixed paraffin-embedded sections) - Anti-TLE 1 antibody [EPR9386(2)] (AB183742)

Immunohistochemical analysis of Human schwannoma, staining TLE 1 with ab183742 at 1/250 dilution. Detected using HRP Polymer for Rabbit IgG and counter-stained using hematoxylin.

Perform heat mediated antigen retrieval with citrate buffer pH 6 before commencing with IHC staining protocol.

Immunohistochemistry (Formalin/PFA-fixed paraffin-embedded sections) - Anti-TLE 1 antibody [EPR9386(2)] (AB183742)
  • IHC-P

Supplier Data

Immunohistochemistry (Formalin/PFA-fixed paraffin-embedded sections) - Anti-TLE 1 antibody [EPR9386(2)] (AB183742)

Immunohistochemical analysis of Human synovial sarcoma, staining TLE 1 with ab183742 at 1/250 dilution. Detected using HRP Polymer for Rabbit IgG and counter-stained using hematoxylin.

Perform heat mediated antigen retrieval with citrate buffer pH 6 before commencing with IHC staining protocol.

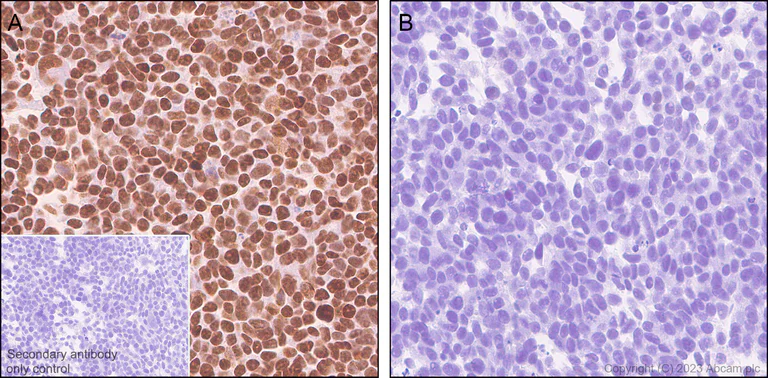
Immunohistochemistry (Formalin/PFA-fixed paraffin-embedded sections) - Anti-TLE 1 antibody [EPR9386(2)] (AB183742)
  • IHC-P

Supplier Data

Immunohistochemistry (Formalin/PFA-fixed paraffin-embedded sections) - Anti-TLE 1 antibody [EPR9386(2)] (AB183742)

Immunohistochemical analysis of paraffin-embedded fixed (A) Parental HEK293 (Human embryonic kidney epithelial cell) cell pellet (B) TLE1 knockout HEK293 (ab265059) cell pellet, staining TLE 1 with ab183742 at 1/250 dilution for 30 mins at room temperature. LeicaDS9800 (Bond™ Polymer Refine Detection) used as secondary antibody. Counter-stained using hematoxylin. Positive staining on Wild-type HEK293T cell pellet and no staining on TLE1 knockout HEK293 cell pellet.  The immunostaining was performed on a Leica Biosystems BOND® RX instrument. Heat mediated antigen retrieval was performed with Citrate buffer (pH 6.0, Epitope Retrieval Solution 1) for 20 mins.

Western blot - Anti-TLE 1 antibody [EPR9386(2)] (AB183742)
  • WB

Lab

Western blot - Anti-TLE 1 antibody [EPR9386(2)] (AB183742)

Lanes 1-3 : Merged signal (red and green). Green - ab183742 observed at 83 kDa. Red - loading control, ab8245 observed at 37 kDa.

ab183742 Anti-TLE 1 antibody [EPR9386(2)] was shown to specifically react with TLE 1 in wild-type HEK293T cells. Loss of signal was observed when knockout cell line ab265059 (knockout cell lysate ab257240) was used. Wild-type and TLE 1 knockout samples were subjected to SDS-PAGE. ab183742 and Anti-GAPDH antibody [6C5] - Loading Control (ab8245) were incubated overnight at 4°C at 1 in 1000 dilution and 1 in 20000 dilution respectively. Blots were developed with Goat anti-Rabbit IgG H&L (IRDye® 800CW) preadsorbed (ab216773) and Goat anti-Mouse IgG H&L (IRDye® 680RD) preadsorbed (ab216776) secondary antibodies at 1 in 10000 dilution for 1 hour at room temperature before imaging.

All lanes:

Western blot - Anti-TLE 1 antibody [EPR9386(2)] (ab183742) at 1/1000 dilution

Lane 1:

Wild-type HEK-293T cell lysate at 20 µg

Lane 2:

TLE1 knockout HEK-293T cell lysate at 20 µg

Lane 3:

HepG2 cell lysate at 20 µg

Predicted band size: 83 kDa

Observed band size: 83 kDa

false

Western blot - Anti-TLE 1 antibody [EPR9386(2)] (AB183742)
  • WB

Supplier Data

Western blot - Anti-TLE 1 antibody [EPR9386(2)] (AB183742)

All lanes:

Western blot - Anti-TLE 1 antibody [EPR9386(2)] (ab183742) at 1/1000 dilution

Lane 1:

SH-SY5Y cell lysate at 20 µg

Lane 2:

HepG2 cell lysate at 20 µg

Lane 3:

Jurkat cell lysate at 20 µg

Lane 4:

HeLa cell lysate at 20 µg

Secondary

All lanes:

Goat Anti-Rabbit IgG, (H+L), Peroxidase conjugated at 1/1000 dilution

Predicted band size: 83 kDa

Observed band size: 83 kDa

false

Western blot - Anti-TLE 1 antibody [EPR9386(2)] (AB183742)
  • WB

Lab

Western blot - Anti-TLE 1 antibody [EPR9386(2)] (AB183742)

Lanes 1 - 4 : Merged signal (red and green). Green - ab183742 observed at 83 kDa. Red - loading control, ab8245 (Mouse anti-GAPDH antibody [6C5]) observed at 37 kDa.

ab183742 was shown to react with TLE 1 in western blot. The band observed in the CRISPR/Cas9 edited lysate lane below 83 kDa is likely to represent a truncated form. This has not been investigated further. Membranes were blocked in 3 % milk in TBS-T (0.1 % Tween®) before incubation with ab183742 and ab8245 (Mouse anti-GAPDH antibody [6C5]) overnight at 4°C at a 1 in 1000 dilution and a 1 in 20000 dilution respectively. Blots were incubated with Goat anti-Rabbit IgG H&L (IRDye® 800CW) preabsorbed (ab216773) and Goat anti-Mouse IgG H&L (IRDye® 680RD) preabsorbed (ab216776) secondary antibodies at 1 in 20000 dilution for 1 h at room temperature before imaging.

All lanes:

Western blot - Anti-TLE 1 antibody [EPR9386(2)] (ab183742) at 1/1000 dilution

Lane 1:

Wild-type MCF7 cell lysate at 20 µg

Lane 2:

TLE1 CRISPR/Cas9 edited MCF7 cell lysate at 20 µg

Lane 2:

Western blot - Human TLE1 knockout MCF7 cell line (<a href='/en-us/products/cell-lines/human-tle1-knockout-mcf7-cell-line-ab269498'>ab269498</a>)

Lane 3:

SH-SY5Y cell lysate at 20 µg

Lane 4:

HepG2 cell lysate at 20 µg

Predicted band size: 83 kDa

Observed band size: 83 kDa

false

Western blot - Anti-TLE 1 antibody [EPR9386(2)] (AB183742)
  • WB

Unknown

Western blot - Anti-TLE 1 antibody [EPR9386(2)] (AB183742)

Lanes 1-3 : Merged signal (red and green). Green - ab183742 observed at 83 kDa. Red - loading control, ab8245 observed at 37 kDa.

ab183742 Anti-TLE 1 antibody [EPR9386(2)] was shown to specifically react with TLE 1 in wild-type HEK293T cells. Loss of signal was observed when knockout cell line ab265059 (knockout cell lysate ab257240) was used. Wild-type and TLE 1 knockout samples were subjected to SDS-PAGE. ab183742 and Anti-GAPDH antibody [6C5] - Loading Control (ab8245) were incubated overnight at 4°C at 1 in 1000 dilution and 1 in 20000 dilution respectively. Blots were developed with Goat anti-Rabbit IgG H&L (IRDye® 800CW) preadsorbed (ab216773) and Goat anti-Mouse IgG H&L (IRDye® 680RD) preadsorbed (ab216776) secondary antibodies at 1 in 10000 dilution for 1 hour at room temperature before imaging.

All lanes:

Western blot - Anti-TLE 1 antibody [EPR9386(2)] (ab183742) at 1/1000 dilution

Lane 1:

Wild-type HEK293T cell lysate at 20 µg

Lane 2:

Western blot - Human TLE1 knockout HEK-293T cell line (<a href='/en-us/products/cell-lines/human-tle1-knockout-hek-293t-cell-line-ab265059'>ab265059</a>) at 20 µg

Lane 2:

TLE1 knockout HEK293T cell lysate at 20 µg

Lane 3:

HepG2 cell lysate at 20 µg

Predicted band size: 83 kDa

Observed band size: 83 kDa

false

Western blot - Anti-TLE 1 antibody [EPR9386(2)] (AB183742)
  • WB

Lab

Western blot - Anti-TLE 1 antibody [EPR9386(2)] (AB183742)

Lanes 1-3 : Merged signal (red and green). Green - ab183742 observed at 83 kDa. Red - loading control, ab8245 observed at 37 kDa.

ab183742 Anti-TLE 1 antibody [EPR9386(2)] was shown to specifically react with TLE 1 in wild-type HeLa cells. Loss of signal was observed when knockout cell line ab264901 (knockout cell lysate ab257241) was used. Wild-type and TLE 1 knockout samples were subjected to SDS-PAGE. ab183742 and Anti-GAPDH antibody [EPR16891] - Loading Control (ab8245) were incubated overnight at 4°C at 1 in 500 dilution and 1 in 20000 dilution respectively. Blots were developed with Goat anti-Rabbit IgG H&L (IRDye®800CW) preadsorbed (ab216773) and Goat anti-Mouse IgG H&L (IRDye®680RD) preadsorbed (ab216776) secondary antibodies at 1 in 10000 dilution for 1 hour at room temperature before imaging.

All lanes:

Western blot - Anti-TLE 1 antibody [EPR9386(2)] (ab183742) at 1/1000 dilution

Lane 1:

Wild-type HeLa cell lysate at 20 µg

Lane 2:

TLE1 knockout HeLa cell lysate at 20 µg

Lane 3:

293T cell lysate at 20 µg

Predicted band size: 83 kDa

Observed band size: 83 kDa

false

Western blot - Anti-TLE 1 antibody [EPR9386(2)] (AB183742)
  • WB

Lab

Western blot - Anti-TLE 1 antibody [EPR9386(2)] (AB183742)

Lanes 1-3 : Merged signal (red and green). Green - ab183742 observed at 83 kDa. Red - loading control, ab8245 observed at 37 kDa.

ab183742 Anti-TLE 1 antibody [EPR9386(2)] was shown to specifically react with TLE 1 in wild-type HeLa cells. Loss of signal was observed when knockout cell line ab264901 (knockout cell lysate ab257241) was used. Wild-type and TLE 1 knockout samples were subjected to SDS-PAGE. ab183742 and Anti-GAPDH antibody [EPR16891] - Loading Control (ab8245) were incubated overnight at 4°C at 1 in 500 dilution and 1 in 20000 dilution respectively. Blots were developed with Goat anti-Rabbit IgG H&L (IRDye®800CW) preadsorbed (ab216773) and Goat anti-Mouse IgG H&L (IRDye®680RD) preadsorbed (ab216776) secondary antibodies at 1 in 10000 dilution for 1 hour at room temperature before imaging.

All lanes:

Western blot - Anti-TLE 1 antibody [EPR9386(2)] (ab183742) at 1/1000 dilution

Lane 1:

Wild-type HeLa cell lysate at 20 µg

Lane 2:

TLE1 knockout HeLa cell lysate at 20 µg

Lane 2:

Western blot - Human TLE1 knockout HeLa cell line (<a href='/en-us/products/cell-lines/human-tle1-knockout-hela-cell-line-ab264901'>ab264901</a>)

Lane 3:

293T cell lysate at 20 µg

Predicted band size: 83 kDa

Observed band size: 83 kDa

false

Western blot - Anti-TLE 1 antibody [EPR9386(2)] (AB183742)
  • WB

Lab

Western blot - Anti-TLE 1 antibody [EPR9386(2)] (AB183742)

Lanes 1 - 4 : Merged signal (red and green). Green - ab183742 observed at 83 kDa. Red - loading control, ab8245 (Mouse anti-GAPDH antibody [6C5]) observed at 37 kDa.

ab183742 was shown to react with TLE 1 in western blot. The band observed in the knockout cell line ab269498 (knockout cell lysate ab269660) lane below 83 kDa is likely to represent a truncated form. This has not been investigated further. Membranes were blocked in 3 % milk in TBS-T (0.1 % Tween®) before incubation with ab183742 and ab8245 (Mouse anti-GAPDH antibody [6C5]) overnight at 4°C at a 1 in 1000 dilution and a 1 in 20000 dilution respectively. Blots were incubated with Goat anti-Rabbit IgG H&L (IRDye® 800CW) preabsorbed (ab216773) and Goat anti-Mouse IgG H&L (IRDye® 680RD) preabsorbed (ab216776) secondary antibodies at 1 in 20000 dilution for 1 h at room temperature before imaging.

All lanes:

Western blot - Anti-TLE 1 antibody [EPR9386(2)] (ab183742) at 1/1000 dilution

Lane 1:

Wild-type MCF7 (Human breast adenocarcinoma cell line) whole cell lysate at 20 µg

Lane 2:

TLE1 knockout MCF7 (Human breast adenocarcinoma cell line) whole cell lysate at 20 µg

Lane 3:

SH-SY5Y (Human neuroblastoma cell line from bone marrow) whole cell lysate at 20 µg

Lane 4:

Hep G2 (Human liver hepatocellular carcinoma cell line) whole cell lysate at 20 µg

Predicted band size: 83 kDa

Observed band size: 83 kDa

false

Key facts

Host species

Rabbit

Clonality

Monoclonal

Clone number

EPR9386(2)

Isotype

IgG

Carrier free

No

Reacts with

Human

Applications

IHC-P, ICC/IF, WB

applications

Immunogen

The exact immunogen used to generate this antibody is proprietary information.

Reactivity data

{ "title": "Reactivity Data", "filters": { "stats": ["", "Species", "Dilution Info", "Notes"], "tabs": { "all-applications": {"fullname" : "All Applications", "shortname": "All Applications"}, "IHCP" : {"fullname" : "Immunohistochemistry (Formalin/PFA-fixed paraffin-embedded sections)", "shortname":"IHC-P"}, "ICCIF" : {"fullname" : "Immunocytochemistry/ Immunofluorescence", "shortname":"ICC/IF"}, "WB" : {"fullname" : "Western blot", "shortname":"WB"} }, "product-promise": { "all": "all", "testedAndGuaranteed": "tested", "guaranteed": "expected", "predicted": "predicted", "notRecommended": "not-recommended" } }, "values": { "Human": { "IHCP-species-checked": "testedAndGuaranteed", "IHCP-species-dilution-info": "1/100 - 1/250", "IHCP-species-notes": "<p></p> Perform heat-mediated antigen retrieval with citrate buffer pH 6 before commencing with IHC staining protocol.", "ICCIF-species-checked": "testedAndGuaranteed", "ICCIF-species-dilution-info": "1/100", "ICCIF-species-notes": "<p></p>", "WB-species-checked": "testedAndGuaranteed", "WB-species-dilution-info": "1/1000 - 1/2000", "WB-species-notes": "<p></p>" }, "Mouse": { "IHCP-species-checked": "predicted", "IHCP-species-dilution-info": "", "IHCP-species-notes": "", "ICCIF-species-checked": "predicted", "ICCIF-species-dilution-info": "", "ICCIF-species-notes": "", "WB-species-checked": "predicted", "WB-species-dilution-info": "", "WB-species-notes": "" }, "Rat": { "IHCP-species-checked": "predicted", "IHCP-species-dilution-info": "", "IHCP-species-notes": "", "ICCIF-species-checked": "predicted", "ICCIF-species-dilution-info": "", "ICCIF-species-notes": "", "WB-species-checked": "predicted", "WB-species-dilution-info": "", "WB-species-notes": "" } } }

Product details

What is this antibody validated in?
Anti-TLE 1 antibody [EPR9386(2)] (ab183742) is a rabbit recombinant monoclonal antibody and is validated for use in Western Blot (WB), Immunohistochemistry (IHC-P), Immunocytochemistry/immunofluorescence (ICC/IF) in Human samples.

What is the molecular weight of TLE 1?
Anti-TLE 1 [EPR9386(2)] (ab183742) specifically detects a band for TLE 1 (UniProt: Q04724) at a molecular weight of 83kDa.

Trial sizes available!
Test your antibody or perform pre-screening before committing to a larger quantity. Sold in 10µl. Discover our selection of trial-size antibodies.

Specificity confirmed
The specificity of Anti-TLE 1 antibody [EPR9386(2)] (ab183742) has been confirmed by Western blot testing in TLE 1 Knockout HEK293T cell line, ab264901.

Other related products
We have a range of other formats of antibody clone [EPR9386(2)] also available for your convenience: ab183742, Alexa Fluor® 488 - ab198523, Alexa Fluor® 647 - ab198525, Carrier free - ab240963, ab300011

Patented technology
Our RabMAb® technology is a patented hybridoma-based technology for making rabbit monoclonal antibodies. For details on our patents, please refer to RabMAb® patents.

What are the advantages of a recombinant monoclonal antibody?
This product is a recombinant monoclonal antibody, which offers several advantages including:

  • - High batch-to-batch consistency and reproducibility
  • - Improved sensitivity and specificity
  • - Long-term security of supply
  • - Animal-free batch production

For more information, read more on recombinant antibodies.

Properties and storage information

Form
Liquid
Purification technique
Affinity purification Protein A
Storage buffer
pH: 7.2 Preservative: 0.01% Sodium azide Constituents: PBS, 40% Glycerol (glycerin, glycerine), 0.05% BSA
Shipped at conditions
Blue Ice
Appropriate short-term storage duration
1-2 weeks
Appropriate short-term storage conditions
+4°C
Appropriate long-term storage conditions
-20°C
Aliquoting information
Upon delivery aliquot
Storage information
Avoid freeze / thaw cycle

Supplementary information

This supplementary information is collated from multiple sources and compiled automatically.

Transducin-Like Enhancer of Split 1 also known as TLE1 is a transcriptional corepressor well-known for its involvement in Notch and Wnt signaling pathways. TLE1 has a molecular mass of approximately 77 kDa. This protein is expressed in various tissues including the brain heart and lung highlighting its involvement in multiple biological systems. Researchers recognize its importance in modulating gene expression through interactions with different transcription factors.
Biological function summary

The TLE1 protein plays a role in embryonic development by regulating the transcription of genes critical for cell differentiation. TLE1 forms part of a complex with other proteins to exert its corepressive function effectively. Through these interactions TLE1 is involved in differentiation processes in cells such as MCF-7 a breast cancer cell line influencing cellular behavior and function.

Pathways

TLE1 influences the Notch and Wnt signaling pathways essential for cell fate determination and proliferation. Its interaction with key proteins like Β-catenin and Notch receptor proteins connects it to these pathways modulating the transcription of target genes. TLE1's role in these pathways is important for maintaining balanced cellular processes and preventing abnormal cell growth.

TLE1 is linked to various forms of cancer including synovial sarcoma and breast cancer. Its overexpression has been observed in these cancers often in conjunction with other proteins like BCL2 supporting cell survival and resisting apoptosis. TLE1's involvement in these diseases makes it a target for therapeutic strategies aimed at modulating its activity to inhibit tumor progression.

Product protocols

For this product, it's our understanding that no specific protocols are required. You can visit:

Target data

Transcriptional corepressor that binds to a number of transcription factors. Inhibits NF-kappa-B-regulated gene expression. Inhibits the transcriptional activation mediated by FOXA2, and by CTNNB1 and TCF family members in Wnt signaling. Enhances FOXG1/BF-1- and HES1-mediated transcriptional repression (By similarity). The effects of full-length TLE family members may be modulated by association with dominant-negative AES. Unusual function as coactivator for ESRRG.
See full target information Transducin-like enhancer protein 1

Publications (9)

Recent publications for all applications. Explore the full list and refine your search

Blood advances 7:4107-4111 PubMed37289547

2023

Mutual antagonism between glucocorticoid and canonical Wnt signaling pathways in B-cell acute lymphoblastic leukemia.

Applications

Unspecified application

Species

Unspecified reactive species

Brennan P Bergeron,Kelly R Barnett,Kashi Raj Bhattarai,Robert J Mobley,Baranda S Hansen,Anthony Brown,Kiran Kodali,Anthony A High,Sima Jeha,Ching-Hon Pui,Junmin Peng,Shondra M Pruett-Miller,Daniel Savic

Communications biology 5:1145 PubMed36307522

2022

Dysregulated transforming growth factor-beta mediates early bone marrow dysfunction in diabetes.

Applications

Unspecified application

Species

Unspecified reactive species

Jina J Y Kum,Christopher J Howlett,Zia A Khan

Leukemia 36:2374-2383 PubMed36028659

2022

Epigenomic profiling of glucocorticoid responses identifies cis-regulatory disruptions impacting steroid resistance in childhood acute lymphoblastic leukemia.

Applications

Unspecified application

Species

Unspecified reactive species

Brennan P Bergeron,Jonathan D Diedrich,Yang Zhang,Kelly R Barnett,Qian Dong,Daniel C Ferguson,Robert J Autry,Wenjian Yang,Baranda S Hansen,Colton Smith,Kristine R Crews,Yiping Fan,Ching-Hon Pui,Shondra M Pruett-Miller,Mary V Relling,Jun J Yang,Chunliang Li,William E Evans,Daniel Savic

Biomedicines 10: PubMed35453612

2022

Enhanced Antitumor Efficacy of PhAc-ALGP-Dox, an Enzyme-Activated Doxorubicin Prodrug, in a Panel of THOP1-Expressing Patient-Derived Xenografts of Soft Tissue Sarcoma.

Applications

Unspecified application

Species

Unspecified reactive species

Britt Van Renterghem,Agnieszka Wozniak,Ludovica Tarantola,Andrea Casazza,Jasmien Wellens,Madita Nysen,Ulla Vanleeuw,Che-Jui Lee,Geert Reyns,Raf Sciot,Nele Kindt,Patrick Schöffski

Oncology reports 44:2031-2044 PubMed33000257

2020

lncRNA RASSF8‑AS1 suppresses the progression of laryngeal squamous cell carcinoma via targeting the miR‑664b‑3p/TLE1 axis.

Applications

Unspecified application

Species

Unspecified reactive species

Tao Liu,Wenxia Meng,Huan Cao,Weiwei Chi,Lei Zhao,Weina Cui,Huan Yin,Baoshan Wang

Frontiers in oncology 10:576 PubMed32432037

2020

Transducin-Like Enhancer of Split-1 Inhibits Malignant Behaviors and Predicts a Better Prognosis in Pancreatic Ductal Adenocarcinoma.

Applications

Unspecified application

Species

Unspecified reactive species

Yizhi Wang,Da Yuan,Li Zhou,Zhiyong Liang,Weixun Zhou,Jun Lu,Bolun Jiang,Lei You,Junchao Guo,Yu-Pei Zhao

Human pathology 85:162-167 PubMed30468801

2018

HuC/D expression in small round cell tumors and neuroendocrine tumors: a useful tool for distinguishing neuroblastoma from childhood small round cell tumors.

Applications

Unspecified application

Species

Unspecified reactive species

Junkichi Takemoto,Masaaki Kuda,Kenichi Kohashi,Yuichi Yamada,Yutaka Koga,Izumi Kinoshita,Ryota Souzaki,Tomoaki Taguchi,Yoshinao Oda

Cancer immunology research 5:118-126 PubMed28039162

2017

Infiltration of CD8 T Cells and Expression of PD-1 and PD-L1 in Synovial Sarcoma.

Applications

Unspecified application

Species

Unspecified reactive species

Theodore S Nowicki,Ryan Akiyama,Rong Rong Huang,I Peter Shintaku,Xiaoyan Wang,Paul C Tumeh,Arun Singh,Bartosz Chmielowski,Christopher Denny,Noah Federman,Antoni Ribas

Breast cancer research : BCR 18:4 PubMed26738740

2016

ELF5 isoform expression is tissue-specific and significantly altered in cancer.

Applications

WB

Species

Unspecified reactive species

Catherine L Piggin,Daniel L Roden,David Gallego-Ortega,Heather J Lee,Samantha R Oakes,Christopher J Ormandy
View all publications

Product promise

We are committed to supporting your work with high-quality reagents, and we're here for you every step of the way. In the unlikely event that one of our products does not perform as expected, you're protected by our Product Promise.
For full details, please see our Terms & Conditions

Please note: All products are 'FOR RESEARCH USE ONLY. NOT FOR USE IN DIAGNOSTIC OR THERAPEUTIC PROCEDURES'.

For licensing inquiries, please contact partnerships@abcam.com