JavaScript is disabled in your browser. Please enable JavaScript to view this website.
AB240963

Anti-TLE 1 antibody [EPR9386(2)] - BSA and Azide free

Be the first to review this product! Submit a review

|

(1 Publication)

Knockout Tested Rabbit Recombinant Monoclonal TLE 1 antibody. Carrier free. Suitable for IHC-P, WB, ICC/IF and reacts with Human samples. Cited in 1 publication.

View Alternative Names

Transducin-like enhancer protein 1, E(Sp1) homolog, Enhancer of split groucho-like protein 1, ESG1, TLE1

8 Images
Immunocytochemistry/ Immunofluorescence - Anti-TLE 1 antibody [EPR9386(2)] - BSA and Azide free (AB240963)
  • ICC/IF

Supplier Data

Immunocytochemistry/ Immunofluorescence - Anti-TLE 1 antibody [EPR9386(2)] - BSA and Azide free (AB240963)

This data was developed using the same antibody clone in a different buffer formulation (ab183742) Immunofluorescence analysis of 4% paraformaldehyde-fixed, 0.1% TritonX-100 permeabilised wildtype HEK293T cells and TLE1 knockout HEK293T cells (ab265059) with ab183742 (green) at 1/50 dilution. Alexa Fluor® 488 Goat Anti-Rabbit IgG H&L (ab150081) was used as a secondary antibody, presabsorbed at 1/1000 dilution. Alexa Fluor® 594 Anti-alpha Tubulin mouse monoclonal antibody (ab195889) used as microtubule marker counterstain (red). Nuclei were counterstained with DAPI (blue). Confocal image showing nuclear staining in wildtype HEK293T cells and showing no staining in TLE1 knockout HEK293T cells. Image was taken with a confocal microscope(Leica-Microsystems, TCS SP8).

Immunohistochemistry (Formalin/PFA-fixed paraffin-embedded sections) - Anti-TLE 1 antibody [EPR9386(2)] - BSA and Azide free (AB240963)
  • IHC-P

Supplier Data

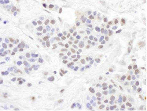
Immunohistochemistry (Formalin/PFA-fixed paraffin-embedded sections) - Anti-TLE 1 antibody [EPR9386(2)] - BSA and Azide free (AB240963)

Immunohistochemical analysis of Human schwannoma, staining TLE 1 with ab183742 at 1/250 dilution. Detected using HRP Polymer for Rabbit IgG and counter-stained using hematoxylin.

This data was developed using the same antibody clone in a different buffer formulation containing PBS, BSA, glycerol, and sodium azide (ab183742)

Perform heat mediated antigen retrieval with citrate buffer pH 6 before commencing with IHC staining protocol.

Immunohistochemistry (Formalin/PFA-fixed paraffin-embedded sections) - Anti-TLE 1 antibody [EPR9386(2)] - BSA and Azide free (AB240963)
  • IHC-P

Supplier Data

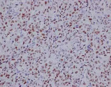
Immunohistochemistry (Formalin/PFA-fixed paraffin-embedded sections) - Anti-TLE 1 antibody [EPR9386(2)] - BSA and Azide free (AB240963)

Immunohistochemical analysis of Human synovial sarcoma, staining TLE 1 with ab183742 at 1/250 dilution. Detected using HRP Polymer for Rabbit IgG and counter-stained using hematoxylin.

This data was developed using the same antibody clone in a different buffer formulation containing PBS, BSA, glycerol, and sodium azide (ab183742)

Perform heat mediated antigen retrieval with citrate buffer pH 6 before commencing with IHC staining protocol.

Immunohistochemistry (Formalin/PFA-fixed paraffin-embedded sections) - Anti-TLE 1 antibody [EPR9386(2)] - BSA and Azide free (AB240963)
  • IHC-P

Supplier Data

Immunohistochemistry (Formalin/PFA-fixed paraffin-embedded sections) - Anti-TLE 1 antibody [EPR9386(2)] - BSA and Azide free (AB240963)

This data was developed using the same antibody clone in a different buffer formulation (ab183742) Immunofluorescence analysis of 4% paraformaldehyde-fixed, 0.1% TritonX-100 permeabilised wildtype HEK293T cells and TLE1 knockout HEK293T cells (ab265059) with ab183742 (green) at 1/50 dilution. Alexa Fluor® 488 Goat Anti-Rabbit IgG H&L (ab150081) was used as a secondary antibody, presabsorbed at 1/1000 dilution. Alexa Fluor® 594 Anti-alpha Tubulin mouse monoclonal antibody (ab195889) used as microtubule marker counterstain (red). Nuclei were counterstained with DAPI (blue). Confocal image showing nuclear staining in wildtype HEK293T cells and showing no staining in TLE1 knockout HEK293T cells. Image was taken with a confocal microscope(Leica-Microsystems, TCS SP8).

Immunocytochemistry/ Immunofluorescence - Anti-TLE 1 antibody [EPR9386(2)] - BSA and Azide free (AB240963)
  • ICC/IF

Supplier Data

Immunocytochemistry/ Immunofluorescence - Anti-TLE 1 antibody [EPR9386(2)] - BSA and Azide free (AB240963)

Immunofluorescence analysis of paraformaldehyde-fixed HepG2 cells, staining TLE 1 (green) with ab183742 at 1/100 dilution. Alexa Fluor®488-conjugated goat anti rabbit IgG was used as a secondary antibody at 1/200 dilution. Nuclei were counterstained with DAPI (blue).

This data was developed using the same antibody clone in a different buffer formulation containing PBS, BSA, glycerol, and sodium azide (ab183742)

Western blot - Anti-TLE 1 antibody [EPR9386(2)] - BSA and Azide free (AB240963)
  • WB

Lab

Western blot - Anti-TLE 1 antibody [EPR9386(2)] - BSA and Azide free (AB240963)

This data was developed using the same antibody clone in a different buffer formulation (ab183742).

Lanes 1-3 : Merged signal (red and green). Green - ab183742 observed at 83 kDa. Red - loading control, ab8245 observed at 37 kDa.

ab183742 Anti-TLE 1 antibody [EPR9386(2)] was shown to specifically react with TLE 1 in wild-type HEK293T cells. Loss of signal was observed when knockout cell line ab265059 (knockout cell lysate ab257240) was used. Wild-type and TLE 1 knockout samples were subjected to SDS-PAGE. ab183742 and Anti-GAPDH antibody [6C5] - Loading Control (ab8245) were incubated overnight at 4°C at 1 in 1000 dilution and 1 in 20000 dilution respectively. Blots were developed with Goat anti-Rabbit IgG H&L (IRDye® 800CW) preadsorbed (ab216773) and Goat anti-Mouse IgG H&L (IRDye® 680RD) preadsorbed (ab216776) secondary antibodies at 1 in 10000 dilution for 1 hour at room temperature before imaging.

All lanes:

Western blot - Anti-TLE 1 antibody [EPR9386(2)] (<a href='/en-us/products/primary-antibodies/tle-1-antibody-epr93862-ab183742'>ab183742</a>) at 1/1000 dilution

Lane 1:

Wild-type HEK-293T cell lysate at 20 µg

Lane 2:

TLE1 knockout HEK-293T cell lysate at 20 µg

Lane 3:

HepG2 cell lysate at 20 µg

Predicted band size: 83 kDa

Observed band size: 83 kDa

false

Western blot - Anti-TLE 1 antibody [EPR9386(2)] - BSA and Azide free (AB240963)
  • WB

Lab

Western blot - Anti-TLE 1 antibody [EPR9386(2)] - BSA and Azide free (AB240963)

This data was developed using the same antibody clone in a different buffer formulation (ab183742).

Lanes 1-3 : Merged signal (red and green). Green - ab183742 observed at 83 kDa. Red - loading control, ab8245 observed at 37 kDa.

ab183742 Anti-TLE 1 antibody [EPR9386(2)] was shown to specifically react with TLE 1 in wild-type HeLa cells. Loss of signal was observed when knockout cell line ab264901 (knockout cell lysate ab257241) was used. Wild-type and TLE 1 knockout samples were subjected to SDS-PAGE. ab183742 and Anti-GAPDH antibody [EPR16891] - Loading Control (ab8245) were incubated overnight at 4°C at 1 in 500 dilution and 1 in 20000 dilution respectively. Blots were developed with Goat anti-Rabbit IgG H&L (IRDye®800CW) preadsorbed (ab216773) and Goat anti-Mouse IgG H&L (IRDye®680RD) preadsorbed (ab216776) secondary antibodies at 1 in 10000 dilution for 1 hour at room temperature before imaging.

All lanes:

Western blot - Anti-TLE 1 antibody [EPR9386(2)] (<a href='/en-us/products/primary-antibodies/tle-1-antibody-epr93862-ab183742'>ab183742</a>) at 1/1000 dilution

Lane 1:

Wild-type HeLa cell lysate at 20 µg

Lane 2:

TLE1 knockout HeLa cell lysate at 20 µg

Lane 2:

Western blot - Human TLE1 knockout HeLa cell line (<a href='/en-us/products/cell-lines/human-tle1-knockout-hela-cell-line-ab264901'>ab264901</a>)

Lane 3:

293T cell lysate at 20 µg

Predicted band size: 83 kDa

Observed band size: 83 kDa

false

Western blot - Anti-TLE 1 antibody [EPR9386(2)] - BSA and Azide free (AB240963)
  • WB

Lab

Western blot - Anti-TLE 1 antibody [EPR9386(2)] - BSA and Azide free (AB240963)

This data was developed using the same antibody clone in a different buffer formulation (ab183742).

Lanes 1 - 4 : Merged signal (red and green). Green - ab183742 observed at 83 kDa. Red - loading control, ab8245 (Mouse anti-GAPDH antibody [6C5]) observed at 37 kDa.

ab183742 was shown to react with TLE 1 in western blot. The band observed in the CRISPR/Cas9 edited lysate lane below 83 kDa is likely to represent a truncated form. This has not been investigated further. Membranes were blocked in 3 % milk in TBS-T (0.1 % Tween®) before incubation with ab183742 and ab8245 (Mouse anti-GAPDH antibody [6C5]) overnight at 4°C at a 1 in 1000 dilution and a 1 in 20000 dilution respectively. Blots were incubated with Goat anti-Rabbit IgG H&L (IRDye® 800CW) preabsorbed (ab216773) and Goat anti-Mouse IgG H&L (IRDye® 680RD) preabsorbed (ab216776) secondary antibodies at 1 in 20000 dilution for 1 h at room temperature before imaging.

All lanes:

Western blot - Anti-TLE 1 antibody [EPR9386(2)] (<a href='/en-us/products/primary-antibodies/tle-1-antibody-epr93862-ab183742'>ab183742</a>) at 1/1000 dilution

Lane 1:

Wild-type MCF7 cell lysate at 20 µg

Lane 2:

TLE1 CRISPR/Cas9 edited MCF7 cell lysate at 20 µg

Lane 2:

Western blot - Human TLE1 knockout MCF7 cell line (<a href='/en-us/products/cell-lines/human-tle1-knockout-mcf7-cell-line-ab269498'>ab269498</a>)

Lane 3:

SH-SY5Y cell lysate at 20 µg

Lane 4:

HepG2 cell lysate at 20 µg

Predicted band size: 83 kDa

Observed band size: 83 kDa

false

Key facts

Host species

Rabbit

Clonality

Monoclonal

Clone number

EPR9386(2)

Isotype

IgG

Carrier free

Yes

Reacts with

Human

Applications

IHC-P, WB, ICC/IF

applications

Immunogen

The exact immunogen used to generate this antibody is proprietary information.

Reactivity data

{ "title": "Reactivity Data", "filters": { "stats": ["", "Species", "Dilution Info", "Notes"], "tabs": { "all-applications": {"fullname" : "All Applications", "shortname": "All Applications"}, "IHCP" : {"fullname" : "Immunohistochemistry (Formalin/PFA-fixed paraffin-embedded sections)", "shortname":"IHC-P"}, "WB" : {"fullname" : "Western blot", "shortname":"WB"}, "ICCIF" : {"fullname" : "Immunocytochemistry/ Immunofluorescence", "shortname":"ICC/IF"} }, "product-promise": { "all": "all", "testedAndGuaranteed": "tested", "guaranteed": "expected", "predicted": "predicted", "notRecommended": "not-recommended" } }, "values": { "Human": { "IHCP-species-checked": "testedAndGuaranteed", "IHCP-species-dilution-info": "", "IHCP-species-notes": "<p></p>", "WB-species-checked": "testedAndGuaranteed", "WB-species-dilution-info": "", "WB-species-notes": "<p></p>", "ICCIF-species-checked": "testedAndGuaranteed", "ICCIF-species-dilution-info": "", "ICCIF-species-notes": "<p></p>" }, "Mouse": { "IHCP-species-checked": "predicted", "IHCP-species-dilution-info": "", "IHCP-species-notes": "", "WB-species-checked": "predicted", "WB-species-dilution-info": "", "WB-species-notes": "", "ICCIF-species-checked": "predicted", "ICCIF-species-dilution-info": "", "ICCIF-species-notes": "" }, "Rat": { "IHCP-species-checked": "predicted", "IHCP-species-dilution-info": "", "IHCP-species-notes": "", "WB-species-checked": "predicted", "WB-species-dilution-info": "", "WB-species-notes": "", "ICCIF-species-checked": "predicted", "ICCIF-species-dilution-info": "", "ICCIF-species-notes": "" } } }

Product details

ab240963 is the carrier-free version of ab183742.

Patented technology
Our RabMAb® technology is a patented hybridoma-based technology for making rabbit monoclonal antibodies. For details on our patents, please refer to RabMAb® patents.

What are the advantages of a recombinant monoclonal antibody?
This product is a recombinant monoclonal antibody, which offers several advantages including:

  • - High batch-to-batch consistency and reproducibility
  • - Improved sensitivity and specificity
  • - Long-term security of supply
  • - Animal-free batch production

For more information, read more on recombinant antibodies.

Conjugation ready
Our carrier-free antibodies are typically supplied in a PBS-only formulation, purified and free of BSA, sodium azide and glycerol. This conjugation-ready format is designed for use with fluorochromes, metal isotopes, oligonucleotides, and enzymes, which makes them ideal for antibody labelling, functional and cell-based assays, flow-based assays (e.g. mass cytometry) and Multiplex Imaging applications.

Use our conjugation kits for antibody conjugates that are ready-to-use in as little as 20 minutes with 1 minute hands-on-time and 100% antibody recovery: available for fluorescent dyes, HRP, biotin and gold.

Compatibility
This product is compatible with the Maxpar® Antibody Labeling Kit from Fluidigm, without the need for antibody preparation. Maxpar® is a trademark of Fluidigm Canada Inc.

Properties and storage information

Form
Liquid
Purification technique
Affinity purification Protein A
Storage buffer
pH: 7.2 - 7.4 Constituents: PBS
Shipped at conditions
Blue Ice
Appropriate short-term storage conditions
+4°C
Appropriate long-term storage conditions
+4°C
Storage information
Do Not Freeze

Supplementary information

This supplementary information is collated from multiple sources and compiled automatically.

Transducin-Like Enhancer of Split 1 also known as TLE1 is a transcriptional corepressor well-known for its involvement in Notch and Wnt signaling pathways. TLE1 has a molecular mass of approximately 77 kDa. This protein is expressed in various tissues including the brain heart and lung highlighting its involvement in multiple biological systems. Researchers recognize its importance in modulating gene expression through interactions with different transcription factors.
Biological function summary

The TLE1 protein plays a role in embryonic development by regulating the transcription of genes critical for cell differentiation. TLE1 forms part of a complex with other proteins to exert its corepressive function effectively. Through these interactions TLE1 is involved in differentiation processes in cells such as MCF-7 a breast cancer cell line influencing cellular behavior and function.

Pathways

TLE1 influences the Notch and Wnt signaling pathways essential for cell fate determination and proliferation. Its interaction with key proteins like β-catenin and Notch receptor proteins connects it to these pathways modulating the transcription of target genes. TLE1's role in these pathways is important for maintaining balanced cellular processes and preventing abnormal cell growth.

TLE1 is linked to various forms of cancer including synovial sarcoma and breast cancer. Its overexpression has been observed in these cancers often in conjunction with other proteins like BCL2 supporting cell survival and resisting apoptosis. TLE1's involvement in these diseases makes it a target for therapeutic strategies aimed at modulating its activity to inhibit tumor progression.

Product protocols

For this product, it's our understanding that no specific protocols are required. You can visit:

Target data

Transcriptional corepressor that binds to a number of transcription factors. Inhibits NF-kappa-B-regulated gene expression. Inhibits the transcriptional activation mediated by FOXA2, and by CTNNB1 and TCF family members in Wnt signaling. Enhances FOXG1/BF-1- and HES1-mediated transcriptional repression (By similarity). The effects of full-length TLE family members may be modulated by association with dominant-negative AES. Unusual function as coactivator for ESRRG.
See full target information Transducin-like enhancer protein 1

Publications (1)

Recent publications for all applications. Explore the full list and refine your search

Molecular medicine reports 21:2209-2219 PubMed32186759

2020

PDGFD induces ibrutinib resistance of diffuse large B‑cell lymphoma through activation of EGFR.

Applications

Unspecified application

Species

Unspecified reactive species

Jia Jin,Leiping Wang,Zhonghua Tao,Jian Zhang,Fangfang Lv,Junning Cao,Xichun Hu
View all publications

Product promise

We are committed to supporting your work with high-quality reagents, and we're here for you every step of the way. In the unlikely event that one of our products does not perform as expected, you're protected by our Product Promise.
For full details, please see our Terms & Conditions

Please note: All products are 'FOR RESEARCH USE ONLY. NOT FOR USE IN DIAGNOSTIC OR THERAPEUTIC PROCEDURES'.

For licensing inquiries, please contact partnerships@abcam.com