JavaScript is disabled in your browser. Please enable JavaScript to view this website.
AB185508

Anti-TLE3/ESG antibody

4

(1 Review)

|

(1 Publication)

Rabbit Polyclonal TLE3/ESG antibody. Suitable for IHC-P, WB, ICC/IF and reacts with Human samples. Cited in 1 publication. Immunogen corresponding to Recombinant Fragment Protein within Human TLE3 aa 150-250.

View Alternative Names

KIAA1547, TLE3, Transducin-like enhancer protein 3, Enhancer of split groucho-like protein 3, ESG3

3 Images
Immunocytochemistry/ Immunofluorescence - Anti-TLE3/ESG antibody (AB185508)
  • ICC/IF

Supplier Data

Immunocytochemistry/ Immunofluorescence - Anti-TLE3/ESG antibody (AB185508)

Immunofluorescent analysis of HeLa cells labelling TLE3/ESG with ab185508. Antibody staining is shown in green.

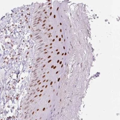
Immunohistochemistry (Formalin/PFA-fixed paraffin-embedded sections) - Anti-TLE3/ESG antibody (AB185508)
  • IHC-P

Supplier Data

Immunohistochemistry (Formalin/PFA-fixed paraffin-embedded sections) - Anti-TLE3/ESG antibody (AB185508)

Immunohistochemical analysis of paraffin-embedded Human vulva/anal skin tissue, labeling TLE3/ESG using ab185508 at a 1/500 dilution.

Western blot - Anti-TLE3/ESG antibody (AB185508)
  • WB

Supplier Data

Western blot - Anti-TLE3/ESG antibody (AB185508)

All lanes:

Western blot - Anti-TLE3/ESG antibody (ab185508)

All lanes:

HeLa nuclear extract

Predicted band size: 83 kDa

false

Key facts

Host species

Rabbit

Clonality

Polyclonal

Isotype

IgG

Carrier free

No

Reacts with

Human

Applications

ICC/IF, WB, IHC-P

applications

Immunogen

Recombinant Fragment Protein within Human TLE3 aa 150-250. The exact immunogen used to generate this antibody is proprietary information.

Q04726

Reactivity data

{ "title": "Reactivity Data", "filters": { "stats": ["", "Species", "Dilution Info", "Notes"], "tabs": { "all-applications": {"fullname" : "All Applications", "shortname": "All Applications"}, "IHCP" : {"fullname" : "Immunohistochemistry (Formalin/PFA-fixed paraffin-embedded sections)", "shortname":"IHC-P"}, "WB" : {"fullname" : "Western blot", "shortname":"WB"}, "ICCIF" : {"fullname" : "Immunocytochemistry/ Immunofluorescence", "shortname":"ICC/IF"} }, "product-promise": { "all": "all", "testedAndGuaranteed": "tested", "guaranteed": "expected", "predicted": "predicted", "notRecommended": "not-recommended" } }, "values": { "Human": { "IHCP-species-checked": "testedAndGuaranteed", "IHCP-species-dilution-info": "1/500 - 1/1000", "IHCP-species-notes": "<p></p> Perform heat-mediated antigen retrieval with citrate buffer pH 6 before commencing with IHC staining protocol.", "WB-species-checked": "testedAndGuaranteed", "WB-species-dilution-info": "0.04-0.4 µg/mL", "WB-species-notes": "<p></p>", "ICCIF-species-checked": "testedAndGuaranteed", "ICCIF-species-dilution-info": "0.25-2 µg/mL", "ICCIF-species-notes": "<p></p>" }, "Mouse": { "IHCP-species-checked": "predicted", "IHCP-species-dilution-info": "", "IHCP-species-notes": "", "WB-species-checked": "predicted", "WB-species-dilution-info": "", "WB-species-notes": "", "ICCIF-species-checked": "predicted", "ICCIF-species-dilution-info": "", "ICCIF-species-notes": "" }, "Rat": { "IHCP-species-checked": "predicted", "IHCP-species-dilution-info": "", "IHCP-species-notes": "", "WB-species-checked": "predicted", "WB-species-dilution-info": "", "WB-species-notes": "", "ICCIF-species-checked": "predicted", "ICCIF-species-dilution-info": "", "ICCIF-species-notes": "" } } }

Properties and storage information

Form
Liquid
Purification technique
Affinity purification Immunogen
Storage buffer
pH: 7.2 Preservative: 0.02% Sodium azide Constituents: 59% PBS, 40% Glycerol (glycerin, glycerine)
Shipped at conditions
Blue Ice
Appropriate short-term storage duration
1-2 weeks
Appropriate short-term storage conditions
+4°C
Appropriate long-term storage conditions
-20°C
Aliquoting information
Upon delivery aliquot
Storage information
Avoid freeze / thaw cycle

Supplementary information

This supplementary information is collated from multiple sources and compiled automatically.

TLE3 also known as ESG is a transcriptional corepressor with a molecular mass of around 80 kDa. It belongs to the transducin-like enhancer of split (TLE) family which interacts with DNA-binding proteins to modulate gene transcription. TLE3 is expressed mainly in the nucleus of cells and has notable expression in various tissues including the brain skeletal muscle and adipose tissues. Its mechanical role involves binding to nuclear receptors and influencing the transcriptional repression process by preventing the assembly of transcriptional activators on target genes.
Biological function summary

TLE3 serves as a critical modulator of differentiation pathways. It often functions as part of a broader repressor complex working closely with Groucho-related proteins. These complexes exert influence over cell lineage commitment and differentiation particularly in the context of adipogenesis and muscle development. TLE3 helps direct stem cell fate by repressing pro-differentiation signals maintaining cells in a less differentiated state until specific developmental cues trigger further differentiation.

Pathways

The function of TLE3 intersects with Wnt and Notch signaling pathways both essential for cellular growth and differentiation processes. TLE3 associates with proteins like TCF/LEF during Wnt signaling to suppress target gene activation therefore regulating cellular proliferation and differentiation. In the Notch pathway TLE3 interacts with the CSL transcription factor contributing to the repression of Notch-responsive genes which play a part in the maintenance of stem cell populations and tissue homeostasis.

TLE3 shows a connection with cancer and metabolic syndromes. In cancer aberrant expression of TLE3 can lead to disrupted cell differentiation promoting oncogenesis. For example its interaction with TCF/LEF proteins in the Wnt pathway can affect tumor suppressor gene expression. In metabolic disorders TLE3 impacts adipogenesis contributing to obesity-linked insulin resistance. Dysregulation in these pathways linked to proteins like PPARγ highlights TLE3's role in disease pathophysiology and potential as a therapeutic target.

Product protocols

For this product, it's our understanding that no specific protocols are required. You can visit:

Target data

Transcriptional corepressor that binds to a number of transcription factors (PubMed : 28689657). Inhibits the transcriptional activation mediated by CTNNB1 and TCF family members in Wnt signaling (PubMed : 28689657). The effects of full-length TLE family members may be modulated by association with dominant-negative AES (By similarity).
See full target information TLE3

Publications (1)

Recent publications for all applications. Explore the full list and refine your search

The Journal of cell biology 219: PubMed32232464

2020

Tex19.1 inhibits the N-end rule pathway and maintains acetylated SMC3 cohesin and sister chromatid cohesion in oocytes.

Applications

Unspecified application

Species

Unspecified reactive species

Judith Reichmann,Karen Dobie,Lisa M Lister,James H Crichton,Diana Best,Marie MacLennan,David Read,Eleanor S Raymond,Chao-Chun Hung,Shelagh Boyle,Katsuhiko Shirahige,Howard J Cooke,Mary Herbert,Ian R Adams
View all publications

Product promise

We are committed to supporting your work with high-quality reagents, and we're here for you every step of the way. In the unlikely event that one of our products does not perform as expected, you're protected by our Product Promise.
For full details, please see our Terms & Conditions

Please note: All products are 'FOR RESEARCH USE ONLY. NOT FOR USE IN DIAGNOSTIC OR THERAPEUTIC PROCEDURES'.

For licensing inquiries, please contact partnerships@abcam.com