JavaScript is disabled in your browser. Please enable JavaScript to view this website.
AB53631

Anti-TLR10 antibody

Be the first to review this product! Submit a review

|

(3 Publications)

Goat Polyclonal TLR10 antibody. Suitable for IHC-P and reacts with Human samples. Cited in 3 publications. Immunogen corresponding to Synthetic Peptide within Human TLR10 aa 50-150.

View Alternative Names

CD290, UNQ315/PRO358, TLR10, Toll-like receptor 10

2 Images
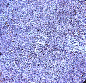
Immunohistochemistry (Formalin/PFA-fixed paraffin-embedded sections) - Anti-TLR10 antibody (AB53631)
  • IHC-P

Unknown

Immunohistochemistry (Formalin/PFA-fixed paraffin-embedded sections) - Anti-TLR10 antibody (AB53631)

ab53631 at 1/250 dilution staining TLR10 in human tonsil by Immunohistochemistry, Paraffin embedded tissue.

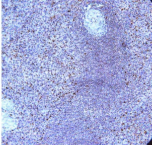
Immunohistochemistry (Formalin/PFA-fixed paraffin-embedded sections) - Anti-TLR10 antibody (AB53631)
  • IHC-P

Unknown

Immunohistochemistry (Formalin/PFA-fixed paraffin-embedded sections) - Anti-TLR10 antibody (AB53631)

ab53631 at 1/250 dilution staining TLR10 in human spleen by Immunohistochemistry, Paraffin embedded tissue.

Key facts

Host species

Goat

Clonality

Polyclonal

Isotype

IgG

Carrier free

No

Reacts with

Human

Applications

IHC-P

applications

Immunogen

Synthetic Peptide within Human TLR10 aa 50-150. The exact immunogen used to generate this antibody is proprietary information.

Q9BXR5

Reactivity data

{ "title": "Reactivity Data", "filters": { "stats": ["", "Species", "Dilution Info", "Notes"], "tabs": { "all-applications": {"fullname" : "All Applications", "shortname": "All Applications"}, "IHCP" : {"fullname" : "Immunohistochemistry (Formalin/PFA-fixed paraffin-embedded sections)", "shortname":"IHC-P"} }, "product-promise": { "all": "all", "testedAndGuaranteed": "tested", "guaranteed": "expected", "predicted": "predicted", "notRecommended": "not-recommended" } }, "values": { "Human": { "IHCP-species-checked": "testedAndGuaranteed", "IHCP-species-dilution-info": "1/250", "IHCP-species-notes": "<p></p>" } } }

Properties and storage information

Form
Liquid
Purification technique
Affinity purification Immunogen
Storage buffer
pH: 7.2 Preservative: 0.1% Sodium azide Constituents: PBS, 0.812% Sodium chloride, 0.21% Tripotassium orthophosphate, 0.1% BSA
Shipped at conditions
Blue Ice
Appropriate short-term storage conditions
-20°C
Appropriate long-term storage conditions
-20°C
Aliquoting information
Upon delivery aliquot
Storage information
Avoid freeze / thaw cycle

Supplementary information

This supplementary information is collated from multiple sources and compiled automatically.

TLR10 also known as Toll-like receptor 10 is part of the Toll-like receptor family and its molecular weight is approximately 90 kDa. TLR10 is expressed in various tissues more particularly in immune cells such as B cells monocytes and dendritic cells. It plays a mechanical role in recognizing pathogen-associated molecular patterns which is important for the activation of innate immune responses.
Biological function summary

TLR10 is involved in mediating immune system responses against pathogens. While it has shown similarities with other toll-like receptors its exact ligands and signaling pathways are still under investigation. TLR10 may exist as part of a receptor complex which helps in transmitting signals from pathogens to activate appropriate immune responses. This receptor's involvement suggests it has an important role in innate immunity and inflammation regulation.

Pathways

Several scientific studies have indicated that TLR10 participates in the innate immune signaling pathways. It potentially interacts with components of the TLR signaling pathway similar to other members of the TLR family like TLR2 and TLR4. Through the MyD88-dependent signaling pathway TLR10 may activate transcription factors such as NF-kB which leads to the production of pro-inflammatory cytokines. These interactions suggest TLR10 is important for modulating immune responses.

Researchers have linked TLR10 to inflammatory conditions and immune system disorders. Current research shows that altered expression or function of TLR10 could relate to autoimmune diseases like rheumatoid arthritis through its influence on immune cell activation. Additionally TLR10 has connections to certain cancers as inflammation pathways can also contribute to cancer development. TLR10 in conjunction with other Toll-like receptors may influence disease progression and offers potential as a therapeutic target.

Product protocols

For this product, it's our understanding that no specific protocols are required. You can visit:

Target data

Participates in the innate immune response to microbial agents. Acts via MYD88 and TRAF6, leading to NF-kappa-B activation, cytokine secretion and the inflammatory response (By similarity).
See full target information TLR10

Publications (3)

Recent publications for all applications. Explore the full list and refine your search

Journal of innate immunity 14:629-642 PubMed35613551

2022

Regulation of TLR10 Expression and Its Role in Chemotaxis of Human Neutrophils.

Applications

Unspecified application

Species

Unspecified reactive species

Yadu Balachandran,Sarah Caldwell,Gurpreet Kaur Aulakh,Baljit Singh

Microbial ecology 72:730-9 PubMed27488594

2016

Listeria monocytogenes Inhibits Serotonin Transporter in Human Intestinal Caco-2 Cells.

Applications

Unspecified application

Species

Unspecified reactive species

E Latorre,A Pradilla,B Chueca,R Pagán,E Layunta,A I Alcalde,J E Mesonero

Scandinavian journal of gastroenterology 47:1334-43 PubMed22943429

2012

Isolation and characterization of human primary enterocytes from small intestine using a novel method.

Applications

Flow Cyt

Species

Human

Priti Chougule,Gustaf Herlenius,Nidia Maritza Hernandez,Pradeep B Patil,Bo Xu,Suchitra Sumitran-Holgersson
View all publications

Product promise

We are committed to supporting your work with high-quality reagents, and we're here for you every step of the way. In the unlikely event that one of our products does not perform as expected, you're protected by our Product Promise.
For full details, please see our Terms & Conditions

Please note: All products are 'FOR RESEARCH USE ONLY. NOT FOR USE IN DIAGNOSTIC OR THERAPEUTIC PROCEDURES'.

For licensing inquiries, please contact partnerships@abcam.com