JavaScript is disabled in your browser. Please enable JavaScript to view this website.
AB209216

Anti-TLR2 antibody [EPR20302-119]

  • BOND RX™ Validated
  • RabMAb
  • Recombinant
  • KO Validated
  • 20ul selling size
  • What is this?

0

(1 Review)

|

(28 Publications)

Anti-TLR2 antibody [EPR20302-119] (ab209216) is a rabbit monoclonal antibody detecting TLR2 in Western Blot, IHC-P, ICC/IF. Suitable for Mouse.

- Biophysical QC for unrivalled batch-batch consistency

View Alternative Names

CD282, Toll-like receptor 2, Tlr2

7 Images
Immunocytochemistry/ Immunofluorescence - Anti-TLR2 antibody [EPR20302-119] (AB209216)
  • ICC/IF

Unknown

Immunocytochemistry/ Immunofluorescence - Anti-TLR2 antibody [EPR20302-119] (AB209216)

Immunofluorescent analysis of 100% methanol-fixed RAW 264.7 (mouse macrophage cell line transformed with Abelson murine leukemia virus) cells labeling TLR2 with ab209216 at 1/100 dilution, followed by Goat Anti-Rabbit IgG H&L (Alexa Fluor® 488) (ab150077) secondary antibody at 1/1000 dilution (green). Confocal image showing membranous staining in RAW 264.7 cells.

The nuclear counter stain is DAPI (blue). Tubulin is detected with Anti-alpha Tubulin antibody [DM1A] - Microtubule Marker (Alexa Fluor® 594) (ab195889) at 1/200 dilution (red).

Secondary antibody only control : Used PBS instead of primary antibody followed by anti-Rabbit IgG H&L (Alexa Fluor® 488) (ab150077) secondary antibody at 1/1000 dilution.

Fixation with 4% PFA is not recommended as no staining was obtained.

Immunohistochemistry (Formalin/PFA-fixed paraffin-embedded sections) - Anti-TLR2 antibody [EPR20302-119] (AB209216)
  • IHC-P

Unknown

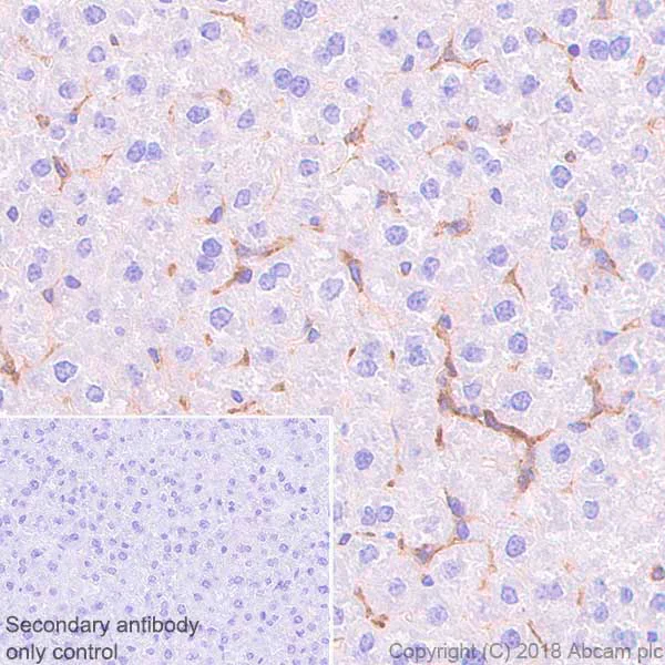
Immunohistochemistry (Formalin/PFA-fixed paraffin-embedded sections) - Anti-TLR2 antibody [EPR20302-119] (AB209216)

Immunohistochemical analysis of paraffin-embedded mouse liver tissue labeling TLR2 with ab209216 at 1/250 dilution, followed by Goat Anti-Rabbit IgG H&L (HRP) Ready to use. Cytoplasmic staining on Kuffer cells of mouse liver (PMID : 21966468). Counter stained with hematoxylin.

Secondary antibody only control : Used PBS instead of primary antibody, secondary antibody is Goat Anti-Rabbit IgG H&L (HRP) Ready to use.

The immunostaining staining was performed on a Leica Biosystems BOND® RX instrument. The section was incubated with ab209216 for 10 minutes at 37℃.

Perform heat mediated antigen retrieval with Tris/EDTA buffer pH 9.0 before commencing with IHC staining protocol.

Immunohistochemistry (Formalin/PFA-fixed paraffin-embedded sections) - Anti-TLR2 antibody [EPR20302-119] (AB209216)
  • IHC-P

Unknown

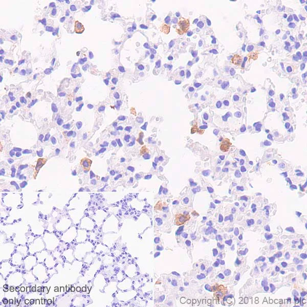
Immunohistochemistry (Formalin/PFA-fixed paraffin-embedded sections) - Anti-TLR2 antibody [EPR20302-119] (AB209216)

Immunohistochemical analysis of paraffin-embedded mouse lung tissue labeling TLR2 with ab209216 at 1/250 dilution, followed by Goat Anti-Rabbit IgG H&L (HRP) Ready to use. Cytoplasmic staining on macrophages of mouse lung (PMID : 24371556). Counter stained with hematoxylin.

Secondary antibody only control : Used PBS instead of primary antibody, secondary antibody is Goat Anti-Rabbit IgG H&L (HRP) Ready to use.

The immunostaining staining was performed on a Leica Biosystems BOND® RX instrument. The section was incubated with ab209216 for 10 minutes at 37℃.

Perform heat mediated antigen retrieval with Tris/EDTA buffer pH 9.0 before commencing with IHC staining protocol.

Immunohistochemistry (Formalin/PFA-fixed paraffin-embedded sections) - Anti-TLR2 antibody [EPR20302-119] (AB209216)
  • IHC-P

Lab

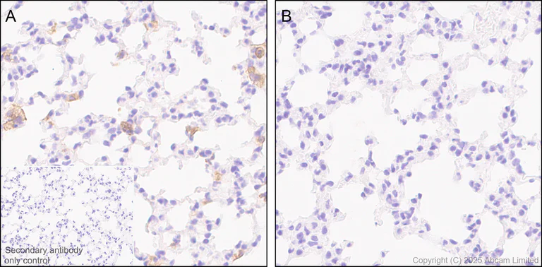
Immunohistochemistry (Formalin/PFA-fixed paraffin-embedded sections) - Anti-TLR2 antibody [EPR20302-119] (AB209216)

Immunohistochemical analysis of paraffin-embedded (A) Lung tissue from wild-type C57BL/6J mice and (B) Lung tissue from Tlr2 knockout mice tissue labeling TLR2 with ab209216 at 1/500 dilution.

Positive staining on (A) Lung tissue from wild-type C57BL/6J mice, no staining on (B) Lung tissue from Tlr2 knockout mice.

The primary antibody was incubated for 10 mins at room temperature.

The immunostaining was performed on a Leica Biosystems BOND® RX instrument.

Counterstained with Hematoxylin.

Heat mediated antigen retrieval was performed with Tris-EDTA buffer (pH 9.0, Epitope Retrieval Solution2) for 20 mins.

The tissue samples were kindly provided by GemPharmatech. C57BL/6JGpt wildtype mice and Tlr2-KO homozygous mice (Strain ID : T006733).

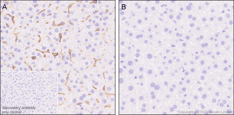
Immunohistochemistry (Formalin/PFA-fixed paraffin-embedded sections) - Anti-TLR2 antibody [EPR20302-119] (AB209216)
  • IHC-P

Lab

Immunohistochemistry (Formalin/PFA-fixed paraffin-embedded sections) - Anti-TLR2 antibody [EPR20302-119] (AB209216)

Immunohistochemical analysis of paraffin-embedded (A) Liver tissue from wild-type C57BL/6J mice and (B) Liver tissue from Tlr2 knockout mice tissue labeling TLR2 with ab209216 at 1/500 dilution, followed by a ready to use LeicaDS9800 (Bond Polymer Refine Detection).

Positive staining on (A) Liver tissue from wild-type C57BL/6J mice, no staining on (B) Liver tissue from Tlr2 knockout mice.

The primary antibody was incubated for 10 mins at room temperature.

The immunostaining was performed on a Leica Biosystems BOND® RX instrument.

Counterstained with Hematoxylin.

Secondary antibody only control : Secondary antibody is a ready to use LeicaDS9800 (Bond Polymer Refine Detection).

Heat mediated antigen retrieval was performed with Tris-EDTA buffer (pH 9.0, Epitope Retrieval Solution2) for 20 mins.

The tissue samples were kindly provided by GemPharmatech. C57BL/6JGpt wildtype mice and Tlr2-KO homozygous mice (Strain ID : T006733).

Western blot - Anti-TLR2 antibody [EPR20302-119] (AB209216)
  • WB

Unknown

Western blot - Anti-TLR2 antibody [EPR20302-119] (AB209216)

Blocking and dilution buffer : 5% NFDM/TBST.

All lanes:

Western blot - Anti-TLR2 antibody [EPR20302-119] (ab209216) at 1/1000 dilution

All lanes:

RAW 264.7 (mouse macrophage cell line transformed with Abelson murine leukemia virus) whole cell lysate at 20 µg

Secondary

All lanes:

Western blot - Goat Anti-Rabbit IgG H&L (HRP) (<a href='/en-us/products/secondary-antibodies/goat-rabbit-igg-h-l-hrp-ab97051'>ab97051</a>) at 1/100000 dilution

Predicted band size: 89 kDa

Observed band size: 89 kDa

false

Exposure time: 26s

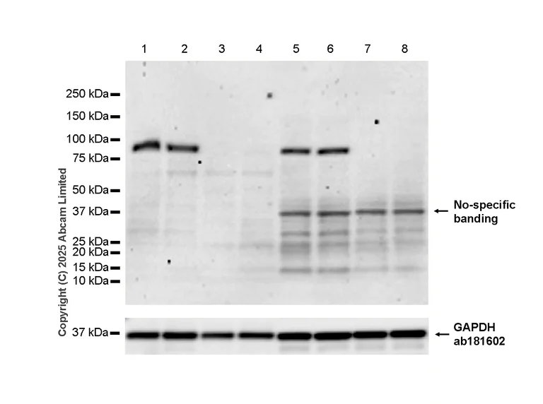
Western blot - Anti-TLR2 antibody [EPR20302-119] (AB209216)
  • WB

Lab

Western blot - Anti-TLR2 antibody [EPR20302-119] (AB209216)

Blocking and diluting buffer and concentration : 5% NFDM/TBST.

In Western blot, Anti-GAPDH antibody [EPR16891] - Loading Control (ab181602) staining at 1/200000 dilution.

The identity of the lower MW bands at approximately 37 kDa (in lane 5-8) are unknown.

The tissue samples were kindly provided by GemPharmatech. C57BL/6JGpt wildtype mice and Tlr2-KO homozygous mice (Strain ID : T006733).

All lanes:

Western blot - Anti-TLR2 antibody [EPR20302-119] (ab209216) at 1/1000 dilution

Lane 1:

Wild-type mouse lung tissue lysate (male) at 20 µg

Lane 2:

Wild-type mouse lung tissue lysate (female) at 20 µg

Lane 3:

Tlr2 knockout mouse lung tissue lysate (male) at 20 µg

Lane 4:

Tlr2 knockout mouse lung tissue lysate (female) at 20 µg

Lane 5:

Wild-type mouse liver tissue lysate (male) at 20 µg

Lane 6:

Wild-type mouse liver tissue lysate (female) at 20 µg

Lane 7:

Tlr2 knockout mouse liver tissue lysate (male) at 20 µg

Lane 8:

Tlr2 knockout mouse liver tissue lysate (female) at 20 µg

Secondary

All lanes:

Western blot - Goat Anti-Rabbit IgG H&L (HRP) (<a href='/en-us/products/secondary-antibodies/goat-rabbit-igg-h-l-hrp-ab97051'>ab97051</a>) at 1/20000 dilution

Observed band size: 89 kDa

false

Exposure time: 180s

  • Carrier free

    Anti-TLR2 antibody [EPR20302-119] - BSA and Azide free

  • Carrier free

    Anti-TLR2 antibody [EPR20302-119] - BSA and Azide free (Detector)

Key facts

Host species

Rabbit

Clonality

Monoclonal

Clone number

EPR20302-119

Isotype

IgG

Carrier free

No

Reacts with

Mouse

Applications

WB, ICC/IF, IHC-P

applications

Immunogen

The exact immunogen used to generate this antibody is proprietary information.

Reactivity data

{ "title": "Reactivity Data", "filters": { "stats": ["", "Species", "Dilution Info", "Notes"], "tabs": { "all-applications": {"fullname" : "All Applications", "shortname": "All Applications"}, "FlowCyt" : {"fullname" : "Flow Cytometry", "shortname":"Flow Cyt"}, "WB" : {"fullname" : "Western blot", "shortname":"WB"}, "ICCIF" : {"fullname" : "Immunocytochemistry/ Immunofluorescence", "shortname":"ICC/IF"}, "IHCP" : {"fullname" : "Immunohistochemistry (Formalin/PFA-fixed paraffin-embedded sections)", "shortname":"IHC-P"} }, "product-promise": { "all": "all", "testedAndGuaranteed": "tested", "guaranteed": "expected", "predicted": "predicted", "notRecommended": "not-recommended" } }, "values": { "Mouse": { "FlowCyt-species-checked": "notRecommended", "FlowCyt-species-dilution-info": "", "FlowCyt-species-notes": "<p></p>", "WB-species-checked": "testedAndGuaranteed", "WB-species-dilution-info": "1/1000", "WB-species-notes": "<p></p>", "ICCIF-species-checked": "testedAndGuaranteed", "ICCIF-species-dilution-info": "1/100", "ICCIF-species-notes": "<p>Fixation with 4% PFA is not recommended as no staining was obtained.</p>", "IHCP-species-checked": "testedAndGuaranteed", "IHCP-species-dilution-info": "1/250 - 1/500", "IHCP-species-notes": "<p></p> Perform heat-mediated antigen retrieval with Tris/EDTA buffer pH 9.0 before commencing with IHC staining protocol." } } }

Product details

What is this antibody validated in?
Anti-TLR2 antibody [EPR20302-119] (ab209216) is a rabbit recombinant monoclonal antibody and is validated for use in Western Blot (WB), Immunohistochemistry (IHC-P), Immunocytochemistry/immunofluorescence (ICC/IF) in Mouse samples.

What is the molecular weight of TLR2?
Anti-TLR2 [EPR20302-119] (ab209216) specifically detects a band for TLR2 (UniProt: Q9QUN7) at a molecular weight of 89kDa.

Trusted by the scientific community
Anti-TLR2 [EPR20302-119] (ab209216) was first used in a scientific publication in 2018 and has been cited over 10 times in peer-reviewed journals.

Trial sizes available!
Test your antibody or perform pre-screening before committing to a larger quantity. Sold in 10µl. Discover our selection of trial-size antibodies.

Other related products
We have a range of other formats of antibody clone [EPR20302-119] also available for your convenience: ab209216, Carrier free - ab243291, Carrier free - ab244937

Patented technology
Our RabMAb® technology is a patented hybridoma-based technology for making rabbit monoclonal antibodies. For details on our patents, please refer to RabMAb® patents.

What are the advantages of a recombinant monoclonal antibody?
This product is a recombinant monoclonal antibody, which offers several advantages including:

  • - High batch-to-batch consistency and reproducibility
  • - Improved sensitivity and specificity
  • - Long-term security of supply
  • - Animal-free batch production

For more information, read more on recombinant antibodies.

Properties and storage information

Form
Liquid
Purification technique
Affinity purification Protein A
Storage buffer
pH: 7.2 - 7.4 Preservative: 0.01% Sodium azide Constituents: PBS, 40% Glycerol (glycerin, glycerine), 0.05% BSA
Shipped at conditions
Blue Ice
Appropriate short-term storage duration
1-2 weeks
Appropriate short-term storage conditions
+4°C
Appropriate long-term storage conditions
-20°C
Aliquoting information
Upon delivery aliquot
Storage information
Avoid freeze / thaw cycle

Supplementary information

This supplementary information is collated from multiple sources and compiled automatically.

Toll-like receptor 2 (TLR2) also called CD282 is a protein that detects molecules from bacteria and fungi. It has a mass of about 90 kDa. TLR2 is expressed on the surface of immune cells such as monocytes macrophages and neutrophils. This receptor recognizes pathogen-associated molecular patterns (PAMPs) and activates the immune response.
Biological function summary

TLR2 initiates signaling pathways that lead to the production of cytokines and chemokines helping to control infection. It forms dimers with other TLRs like TLR1 or TLR6 to expand its recognition range of microbial components. TLR2's activity is important for balancing pathogen recognition and avoiding overactive immune response. On macrophages TLR2 activation enhances their phagocytic ability.

Pathways

TLR2 plays roles in innate immune signaling pathways and inflammation pathways. It contributes significantly to the NF-kB and MAPK pathways which regulate inflammation and immune response. TLR2 often cooperates with proteins like MyD88 and TRAF6 in these pathways leading to downstream activation of transcription factors and production of pro-inflammatory molecules.

TLR2 is associated with inflammatory and infectious diseases including sepsis and tuberculosis. During tuberculosis interactions between TLR2 and its ligands trigger immune responses that are important for bacterial control. Additionally TLR2's overactivation links to sepsis by causing excessive inflammation. Researchers study TLR2 for potential therapeutic targeting in these diseases assessing how modulation can improve outcomes or reduce detrimental inflammation.

Product protocols

For this product, it's our understanding that no specific protocols are required. You can visit:

Target data

Cooperates with LY96 to mediate the innate immune response to bacterial lipoproteins and other microbial cell wall components. Cooperates with TLR1 or TLR6 to mediate the innate immune response to bacterial lipoproteins or lipopeptides. Acts via MYD88 and TRAF6, leading to NF-kappa-B activation, cytokine secretion and the inflammatory response (By similarity) (PubMed : 15690042). May also promote apoptosis in response to lipoproteins (By similarity). Forms activation clusters composed of several receptors depending on the ligand, these clusters trigger signaling from the cell surface and subsequently are targeted to the Golgi in a lipid-raft dependent pathway. Forms the cluster TLR2 : TLR6 : CD14 : CD36 in response to diacylated lipopeptides and TLR2 : TLR1 : CD14 in response to triacylated lipopeptides (By similarity). Recognizes M.tuberculosis major T-antigen EsxA (ESAT-6) which inhibits downstream MYD88-dependent signaling (PubMed : 17486091). Acts as the major receptor for M.tuberculosis lipoproteins LprA, LprG, LpqH and PhoS1 (pstS1), in conjunction with TLR1 and for some but not all lipoproteins CD14 and/or CD36. The lipoproteins act as agonists to modulate antigen presenting cell functions in response to the pathogen (PubMed : 19362712). Recombinant MPT83 from M.tuberculosis stimulates secretion of cytokines (TNF-alpha, IL-6 and IL-12p40) by mouse macrophage cell lines in a TLR2-dependent fashion, which leads to increased host innate immunity responses against the bacterium (PubMed : 22174456). Lung macrophages which express low levels of TLR2 respond poorly to stimulation by M.tuberculosis LpqH (PubMed : 19362712). Required for normal uptake of M.tuberculosis, a process that is inhibited by M.tuberculosis LppM (PubMed : 27220037). Interacts with TICAM2 (By similarity).. (Microbial infection) Mediates activation of bone marrow-derived dendritic cells and macrophages, and production of pro-inflammatory cytokines, such as IL12 (IL12B/IL12A), triggered by Toxoplasma gondii micronemal protein 4 (MIC4) and micronemal protein 1 (MIC1).
See full target information Tlr2

Publications (28)

Recent publications for all applications. Explore the full list and refine your search

ACS omega 10:36994-37003 PubMed40893218

2025

Potential Antiphotoaging Effect of Human Cathelicidin LL-37 Fragments and KR-12 Analogs on UVB-Induced HaCaT Cells and UVA-Induced HDF Cells.

Applications

Unspecified application

Species

Unspecified reactive species

Menggeng Li,Jing Wang,Peng Shu,Xueqing Chen,Yizhen Yan,Jiangming Zhong,Nan Zhao,Ling Liang,Zhao Liu

Research (Washington, D.C.) 8:0759 PubMed40607322

2025

Neonatal-Inspired Reprogramming of Microglial Pan-Programmed Cell Death Enhances Regeneration in Adult Spinal Cord Injury.

Applications

Unspecified application

Species

Unspecified reactive species

Beibei Yu,Yongfeng Zhang,Yujie Yang,Shijie Yang,Haining Wu,Xue Gao,Yiming Hao,Shengyou Li,Bing Xia,Jintao Liu,Lingli Guo,Borui Xue,Mingze Qin,Huangtao Chen,Jianzhong Li,Shouping Gong,Teng Ma,Jinghui Huang

Cell reports. Medicine 6:102052 PubMed40239632

2025

Catalytic neural stem cell exosomes for multi-stage targeting and synergistical therapy of retinal ischemia-reperfusion injury.

Applications

Unspecified application

Species

Unspecified reactive species

Weiqiang Yang,Xiaojun Wang,Diwei Zheng,Jing Feng,Wenjun Kong,Yue Li,Guanghui Ma,Wei Wei,Yong Tao

Nature protocols 20:2560-2585 PubMed40210746

2025

NIR-II aggregation-induced emission nanoparticles camouflaged with preactivated macrophage membranes for phototheranostics of pulmonary tuberculosis.

Applications

Unspecified application

Species

Unspecified reactive species

Dingyuan Yan,Xue Li,Huanhuan Wang,Bin Li,Wei Wang,Yuhui Liao,Ben Zhong Tang,Dong Wang

Cell death & disease 16:185 PubMed40108127

2025

NAT10 mediates TLR2 to promote podocyte senescence in adriamycin-induced nephropathy.

Applications

Unspecified application

Species

Unspecified reactive species

Mingyang Hu,Linxiao Lv,Yuqi Lei,Min Chen,Sijie Zhou,Zhangsuo Liu

Brain sciences 15: PubMed40002461

2025

Minocycline Ameliorates -Induced Neuroinflammation and Anxiety-like Behaviors by Regulating the TLR2 and STAT3 Pathways in Microglia.

Applications

Unspecified application

Species

Unspecified reactive species

Jiao Zou,Junwei Gao,Weilong Shang,Xiaotang Fan

Frontiers in immunology 15:1468969 PubMed39835120

2025

Therapeutic effects of platelet-derived extracellular vesicles on viral myocarditis correlate with biomolecular content.

Applications

Unspecified application

Species

Unspecified reactive species

Danielle J Beetler,Presley Giresi,Damian N Di Florio,Jessica J Fliess,Elizabeth J McCabe,Molly M Watkins,Vivian Xu,Matthew E Auda,Katelyn A Bruno,Emily R Whelan,Stephen P C Kocsis,Brandy H Edenfield,Sierra A Walker,Logan P Macomb,Kevin C Keegan,Angita Jain,Andrea C Morales-Lara,Isha Chekuri,Anneliese R Hill,Houssam Farres,Joy Wolfram,Atta Behfar,Paul G Stalboerger,Andre Terzic,Leslie T Cooper,DeLisa Fairweather

Journal of innate immunity 17:78-94 PubMed39773569

2025

5-Methoxytryptophan Protects against Toll-Like Receptor 2-Mediated Renal Tissue Inflammation and Fibrosis in a Murine Unilateral Ureteral Obstruction Model.

Applications

Unspecified application

Species

Unspecified reactive species

Jing-Yiing Wu,Guan-Lin Lee,Yu-Fan Chueh,Cheng-Chin Kuo,Yu-Juei Hsu,Kenneth K Wu

Journal of nanobiotechnology 22:781 PubMed39702152

2024

Bacteria-activated macrophage membrane coated ROS-responsive nanoparticle for targeted delivery of antibiotics to infected wounds.

Applications

Unspecified application

Species

Unspecified reactive species

Ying Luo,Xiaoli Jia,Xiaozhuo Wu,Ling Diao,Yawei Zhao,Xing Liu,Yi Peng,Wen Zhong,Malcolm Xing,Guozhong Lyu

iScience 27:111027 PubMed39435149

2024

TLR2/NF-κB signaling in macrophage/microglia mediated COVID-pain induced by SARS-CoV-2 envelope protein.

Applications

Unspecified application

Species

Unspecified reactive species

Huan Cui,Fengrun Sun,Ning Yu,Yan Cao,Xue Wang,Di Zhang,Zhen Chen,Naili Wang,Bo Yuan,Penghao Liu,Wanru Duan,Wenying Qiu,Xiangsha Yin,Chao Ma
View all publications

Product promise

We are committed to supporting your work with high-quality reagents, and we're here for you every step of the way. In the unlikely event that one of our products does not perform as expected, you're protected by our Product Promise.
For full details, please see our Terms & Conditions

Please note: All products are 'FOR RESEARCH USE ONLY. NOT FOR USE IN DIAGNOSTIC OR THERAPEUTIC PROCEDURES'.

For licensing inquiries, please contact partnerships@abcam.com