JavaScript is disabled in your browser. Please enable JavaScript to view this website.
AB243291

Anti-TLR2 antibody [EPR20302-119] - BSA and Azide free

  • BOND RX™ Validated
  • RabMAb
  • Recombinant
  • KO Validated
  • What is this?

Be the first to review this product! Submit a review

|

(0 Publication)

Rabbit Recombinant Monoclonal TLR2 antibody. Carrier free. Suitable for WB, ICC/IF, IHC-P and reacts with Mouse samples.

View Alternative Names

CD282, Toll-like receptor 2, Tlr2

6 Images
Immunohistochemistry (Formalin/PFA-fixed paraffin-embedded sections) - Anti-TLR2 antibody [EPR20302-119] - BSA and Azide free (AB243291)
  • IHC-P

Unknown

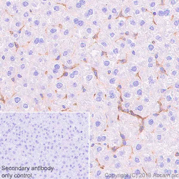
Immunohistochemistry (Formalin/PFA-fixed paraffin-embedded sections) - Anti-TLR2 antibody [EPR20302-119] - BSA and Azide free (AB243291)

Immunohistochemical analysis of paraffin-embedded mouse liver tissue labeling TLR2 with ab209216 at 1/250 dilution, followed by Goat Anti-Rabbit IgG H&L (HRP) Ready to use. Cytoplasmic staining on Kuffer cells of mouse liver (PMID : 21966468). Counter stained with hematoxylin.

Secondary antibody only control : Used PBS instead of primary antibody, secondary antibody is Goat Anti-Rabbit IgG H&L (HRP) Ready to use.

The immunostaining staining was performed on a Leica Biosystems BOND® RX instrument. The section was incubated with ab209216 for 10 minutes at 37℃.

This data was developed using the same antibody clone in a different buffer formulation containing PBS, BSA, glycerol, and sodium azide (ab209216).

Perform heat mediated antigen retrieval with Tris/EDTA buffer pH 9.0 before commencing with IHC staining protocol.

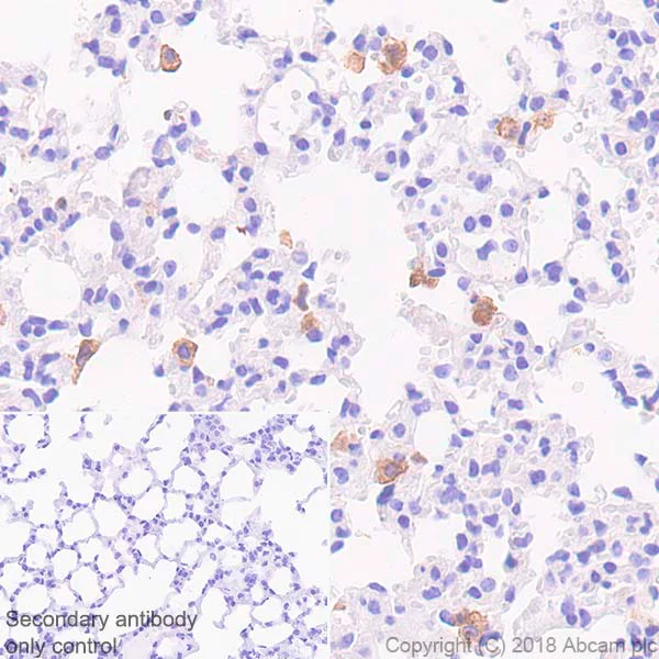
Immunohistochemistry (Formalin/PFA-fixed paraffin-embedded sections) - Anti-TLR2 antibody [EPR20302-119] - BSA and Azide free (AB243291)
  • IHC-P

Unknown

Immunohistochemistry (Formalin/PFA-fixed paraffin-embedded sections) - Anti-TLR2 antibody [EPR20302-119] - BSA and Azide free (AB243291)

Immunohistochemical analysis of paraffin-embedded mouse lung tissue labeling TLR2 with ab209216 at 1/250 dilution, followed by Goat Anti-Rabbit IgG H&L (HRP) Ready to use. Cytoplasmic staining on macrophages of mouse lung (PMID : 24371556). Counter stained with hematoxylin.

Secondary antibody only control : Used PBS instead of primary antibody, secondary antibody is Goat Anti-Rabbit IgG H&L (HRP) Ready to use.

The immunostaining staining was performed on a Leica Biosystems BOND® RX instrument. The section was incubated with ab209216 for 10 minutes at 37℃.

This data was developed using the same antibody clone in a different buffer formulation containing PBS, BSA, glycerol, and sodium azide (ab209216).

Perform heat mediated antigen retrieval with Tris/EDTA buffer pH 9.0 before commencing with IHC staining protocol.

Immunocytochemistry/ Immunofluorescence - Anti-TLR2 antibody [EPR20302-119] - BSA and Azide free (AB243291)
  • ICC/IF

Unknown

Immunocytochemistry/ Immunofluorescence - Anti-TLR2 antibody [EPR20302-119] - BSA and Azide free (AB243291)

Immunofluorescent analysis of 100% methanol-fixed RAW 264.7 (mouse macrophage cell line transformed with Abelson murine leukemia virus) cells labeling TLR2 with ab209216 at 1/100 dilution, followed by Goat Anti-Rabbit IgG H&L (Alexa Fluor® 488) (ab150077) secondary antibody at 1/1000 dilution (green). Confocal image showing membranous staining in RAW 264.7 cells.

The nuclear counter stain is DAPI (blue). Tubulin is detected with Anti-alpha Tubulin antibody [DM1A] - Microtubule Marker (Alexa Fluor® 594) (ab195889) at 1/200 dilution (red).

Secondary antibody only control : Used PBS instead of primary antibody followed by anti-Rabbit IgG H&L (Alexa Fluor® 488) (ab150077) secondary antibody at 1/1000 dilution.

Fixation with 4% PFA is not recommended as no staining was obtained.

This data was developed using the same antibody clone in a different buffer formulation containing PBS, BSA, glycerol, and sodium azide (ab209216).

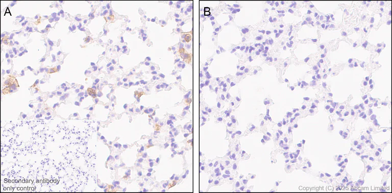
Immunohistochemistry (Formalin/PFA-fixed paraffin-embedded sections) - Anti-TLR2 antibody [EPR20302-119] - BSA and Azide free (AB243291)
  • IHC-P

Lab

Immunohistochemistry (Formalin/PFA-fixed paraffin-embedded sections) - Anti-TLR2 antibody [EPR20302-119] - BSA and Azide free (AB243291)

This data was developed using ab209216, the same antibody clone in a different buffer formulation.

Immunohistochemical analysis of paraffin-embedded (A) Lung tissue from wild-type C57BL/6J mice and (B) Lung tissue from Tlr2 knockout mice tissue labeling TLR2 with ab209216 at 1/500 dilution.

Positive staining on (A) Lung tissue from wild-type C57BL/6J mice, no staining on (B) Lung tissue from Tlr2 knockout mice.

The primary antibody was incubated for 10 mins at room temperature.

The immunostaining was performed on a Leica Biosystems BOND® RX instrument.

Counterstained with Hematoxylin.

Heat mediated antigen retrieval was performed with Tris-EDTA buffer (pH 9.0, Epitope Retrieval Solution2) for 20 mins.

The tissue samples were kindly provided by GemPharmatech. C57BL/6JGpt wildtype mice and Tlr2-KO homozygous mice (Strain ID : T006733).

Immunohistochemistry (Formalin/PFA-fixed paraffin-embedded sections) - Anti-TLR2 antibody [EPR20302-119] - BSA and Azide free (AB243291)
  • IHC-P

Lab

Immunohistochemistry (Formalin/PFA-fixed paraffin-embedded sections) - Anti-TLR2 antibody [EPR20302-119] - BSA and Azide free (AB243291)

This data was developed using ab209216, the same antibody clone in a different buffer formulation.

Immunohistochemical analysis of paraffin-embedded (A) Liver tissue from wild-type C57BL/6J mice and (B) Liver tissue from Tlr2 knockout mice tissue labeling TLR2 with ab209216 at 1/500 dilution, followed by a ready to use LeicaDS9800 (Bond Polymer Refine Detection).

Positive staining on (A) Liver tissue from wild-type C57BL/6J mice, no staining on (B) Liver tissue from Tlr2 knockout mice.

The primary antibody was incubated for 10 mins at room temperature.

The immunostaining was performed on a Leica Biosystems BOND® RX instrument.

Counterstained with Hematoxylin.

Secondary antibody only control : Secondary antibody is a ready to use LeicaDS9800 (Bond Polymer Refine Detection).

Heat mediated antigen retrieval was performed with Tris-EDTA buffer (pH 9.0, Epitope Retrieval Solution2) for 20 mins.

The tissue samples were kindly provided by GemPharmatech. C57BL/6JGpt wildtype mice and Tlr2-KO homozygous mice (Strain ID : T006733).

Western blot - Anti-TLR2 antibody [EPR20302-119] - BSA and Azide free (AB243291)
  • WB

Lab

Western blot - Anti-TLR2 antibody [EPR20302-119] - BSA and Azide free (AB243291)

This data was developed using ab209216, the same antibody clone in a different buffer formulation.

Blocking and diluting buffer and concentration : 5% NFDM/TBST.

In Western blot, Anti-GAPDH antibody [EPR16891] - Loading Control (ab181602) staining at 1/200000 dilution.

The identity of the lower MW bands at approximately 37 kDa (in lane 5-8) are unknown.

The tissue samples were kindly provided by GemPharmatech. C57BL/6JGpt wildtype mice and Tlr2-KO homozygous mice (Strain ID : T006733).

All lanes:

Western blot - Anti-TLR2 antibody [EPR20302-119] (<a href='/en-us/products/primary-antibodies/tlr2-antibody-epr20302-119-ab209216'>ab209216</a>) at 1/1000 dilution

Lane 1:

Wild-type mouse lung tissue lysate (male) at 20 µg

Lane 2:

Wild-type mouse lung tissue lysate (female) at 20 µg

Lane 3:

Tlr2 knockout mouse lung tissue lysate (male) at 20 µg

Lane 4:

Tlr2 knockout mouse lung tissue lysate (female) at 20 µg

Lane 5:

Wild-type mouse liver tissue lysate (male) at 20 µg

Lane 6:

Wild-type mouse liver tissue lysate (female) at 20 µg

Lane 7:

Tlr2 knockout mouse liver tissue lysate (male) at 20 µg

Lane 8:

Tlr2 knockout mouse liver tissue lysate (female) at 20 µg

Secondary

All lanes:

Western blot - Goat Anti-Rabbit IgG H&L (HRP) (<a href='/en-us/products/secondary-antibodies/goat-rabbit-igg-h-l-hrp-ab97051'>ab97051</a>) at 1/20000 dilution

Observed band size: 89 kDa

false

Exposure time: 180s

Key facts

Host species

Rabbit

Clonality

Monoclonal

Clone number

EPR20302-119

Isotype

IgG

Carrier free

Yes

Reacts with

Mouse

Applications

ICC/IF, WB, IHC-P

applications

Immunogen

The exact immunogen used to generate this antibody is proprietary information.

Reactivity data

{ "title": "Reactivity Data", "filters": { "stats": ["", "Species", "Dilution Info", "Notes"], "tabs": { "all-applications": {"fullname" : "All Applications", "shortname": "All Applications"}, "FlowCyt" : {"fullname" : "Flow Cytometry", "shortname":"Flow Cyt"}, "WB" : {"fullname" : "Western blot", "shortname":"WB"}, "ICCIF" : {"fullname" : "Immunocytochemistry/ Immunofluorescence", "shortname":"ICC/IF"}, "IHCP" : {"fullname" : "Immunohistochemistry (Formalin/PFA-fixed paraffin-embedded sections)", "shortname":"IHC-P"} }, "product-promise": { "all": "all", "testedAndGuaranteed": "tested", "guaranteed": "expected", "predicted": "predicted", "notRecommended": "not-recommended" } }, "values": { "Mouse": { "FlowCyt-species-checked": "notRecommended", "FlowCyt-species-dilution-info": "", "FlowCyt-species-notes": "<p></p>", "WB-species-checked": "testedAndGuaranteed", "WB-species-dilution-info": "", "WB-species-notes": "<p></p>", "ICCIF-species-checked": "testedAndGuaranteed", "ICCIF-species-dilution-info": "", "ICCIF-species-notes": "<p>Fixation with 4% PFA is not recommended as no staining was obtained.</p>", "IHCP-species-checked": "testedAndGuaranteed", "IHCP-species-dilution-info": "", "IHCP-species-notes": "<p></p>" } } }

Product details

ab243291 is the carrier-free version of ab209216.

Patented technology
Our RabMAb® technology is a patented hybridoma-based technology for making rabbit monoclonal antibodies. For details on our patents, please refer to RabMAb® patents.

What are the advantages of a recombinant monoclonal antibody?
This product is a recombinant monoclonal antibody, which offers several advantages including:

  • - High batch-to-batch consistency and reproducibility
  • - Improved sensitivity and specificity
  • - Long-term security of supply
  • - Animal-free batch production

For more information, read more on recombinant antibodies.

Conjugation ready
Our carrier-free antibodies are typically supplied in a PBS-only formulation, purified and free of BSA, sodium azide and glycerol. This conjugation-ready format is designed for use with fluorochromes, metal isotopes, oligonucleotides, and enzymes, which makes them ideal for antibody labelling, functional and cell-based assays, flow-based assays (e.g. mass cytometry) and Multiplex Imaging applications.

Use our conjugation kits for antibody conjugates that are ready-to-use in as little as 20 minutes with 1 minute hands-on-time and 100% antibody recovery: available for fluorescent dyes, HRP, biotin and gold.

Compatibility
This product is compatible with the Maxpar® Antibody Labeling Kit from Fluidigm, without the need for antibody preparation. Maxpar® is a trademark of Fluidigm Canada Inc.

Properties and storage information

Form
Liquid
Purification technique
Affinity purification Protein A
Storage buffer
pH: 7.2 - 7.4 Constituents: PBS
Shipped at conditions
Blue Ice
Appropriate short-term storage conditions
+4°C
Appropriate long-term storage conditions
+4°C
Storage information
Do Not Freeze

Supplementary information

This supplementary information is collated from multiple sources and compiled automatically.

Toll-like receptor 2 (TLR2) also called CD282 is a protein that detects molecules from bacteria and fungi. It has a mass of about 90 kDa. TLR2 is expressed on the surface of immune cells such as monocytes macrophages and neutrophils. This receptor recognizes pathogen-associated molecular patterns (PAMPs) and activates the immune response.
Biological function summary

TLR2 initiates signaling pathways that lead to the production of cytokines and chemokines helping to control infection. It forms dimers with other TLRs like TLR1 or TLR6 to expand its recognition range of microbial components. TLR2's activity is important for balancing pathogen recognition and avoiding overactive immune response. On macrophages TLR2 activation enhances their phagocytic ability.

Pathways

TLR2 plays roles in innate immune signaling pathways and inflammation pathways. It contributes significantly to the NF-kB and MAPK pathways which regulate inflammation and immune response. TLR2 often cooperates with proteins like MyD88 and TRAF6 in these pathways leading to downstream activation of transcription factors and production of pro-inflammatory molecules.

TLR2 is associated with inflammatory and infectious diseases including sepsis and tuberculosis. During tuberculosis interactions between TLR2 and its ligands trigger immune responses that are important for bacterial control. Additionally TLR2’s overactivation links to sepsis by causing excessive inflammation. Researchers study TLR2 for potential therapeutic targeting in these diseases assessing how modulation can improve outcomes or reduce detrimental inflammation.

Product protocols

For this product, it's our understanding that no specific protocols are required. You can visit:

Target data

Cooperates with LY96 to mediate the innate immune response to bacterial lipoproteins and other microbial cell wall components. Cooperates with TLR1 or TLR6 to mediate the innate immune response to bacterial lipoproteins or lipopeptides. Acts via MYD88 and TRAF6, leading to NF-kappa-B activation, cytokine secretion and the inflammatory response (By similarity) (PubMed : 15690042). May also promote apoptosis in response to lipoproteins (By similarity). Forms activation clusters composed of several receptors depending on the ligand, these clusters trigger signaling from the cell surface and subsequently are targeted to the Golgi in a lipid-raft dependent pathway. Forms the cluster TLR2 : TLR6 : CD14 : CD36 in response to diacylated lipopeptides and TLR2 : TLR1 : CD14 in response to triacylated lipopeptides (By similarity). Recognizes M.tuberculosis major T-antigen EsxA (ESAT-6) which inhibits downstream MYD88-dependent signaling (PubMed : 17486091). Acts as the major receptor for M.tuberculosis lipoproteins LprA, LprG, LpqH and PhoS1 (pstS1), in conjunction with TLR1 and for some but not all lipoproteins CD14 and/or CD36. The lipoproteins act as agonists to modulate antigen presenting cell functions in response to the pathogen (PubMed : 19362712). Recombinant MPT83 from M.tuberculosis stimulates secretion of cytokines (TNF-alpha, IL-6 and IL-12p40) by mouse macrophage cell lines in a TLR2-dependent fashion, which leads to increased host innate immunity responses against the bacterium (PubMed : 22174456). Lung macrophages which express low levels of TLR2 respond poorly to stimulation by M.tuberculosis LpqH (PubMed : 19362712). Required for normal uptake of M.tuberculosis, a process that is inhibited by M.tuberculosis LppM (PubMed : 27220037). Interacts with TICAM2 (By similarity).. (Microbial infection) Mediates activation of bone marrow-derived dendritic cells and macrophages, and production of pro-inflammatory cytokines, such as IL12 (IL12B/IL12A), triggered by Toxoplasma gondii micronemal protein 4 (MIC4) and micronemal protein 1 (MIC1).
See full target information Tlr2

Product promise

We are committed to supporting your work with high-quality reagents, and we're here for you every step of the way. In the unlikely event that one of our products does not perform as expected, you're protected by our Product Promise.
For full details, please see our Terms & Conditions

Please note: All products are 'FOR RESEARCH USE ONLY. NOT FOR USE IN DIAGNOSTIC OR THERAPEUTIC PROCEDURES'.

For licensing inquiries, please contact partnerships@abcam.com