JavaScript is disabled in your browser. Please enable JavaScript to view this website.
AB209217

Anti-TLR2 antibody [EPR20303]

Be the first to review this product! Submit a review

|

(41 Publications)

Rabbit Recombinant Monoclonal TLR2 antibody. Suitable for IP, WB and reacts with Mouse, Rat samples. Cited in 41 publications.

View Alternative Names

CD282, Toll-like receptor 2, Tlr2

3 Images
Immunoprecipitation - Anti-TLR2 antibody [EPR20303] (AB209217)
  • IP

Supplier Data

Immunoprecipitation - Anti-TLR2 antibody [EPR20303] (AB209217)

TLR2 was immunoprecipitated from 0.35 mg of RAW 264.7 (Mouse macrophage cell line transformed with Abelson murine leukemia virus) whole cell lysate, treated with 1 μg/ml LPS for 6 hours, with ab209217 at 1/30 dilution.

Western blot was performed from the immunoprecipitate using ab209217 at 1/500 dilution.

VeriBlot for IP Detection Reagent (HRP) (ab131366), was used for detection at 1/1000 dilution.

Lane 1 : RAW 264.7 whole cell lysate treated with 1 μg/ml LPS for 6 hours, 10 μg (Input).
Lane 2 : ab209217 IP in RAW 264.7 whole cell lysate treated with 1 μg/ml LPS for 6 hours.
Lane 3 : Rabbit monoclonal IgG (ab172730) instead of ab209217 in RAW 264.7 whole cell lysate treated with 1 μg/ml LPS for 6 hours.

Blocking and dilution buffer and concentration : 5% NFDM/TBST.

All lanes:

Immunoprecipitation - Anti-TLR2 antibody [EPR20303] (ab209217)

Predicted band size: 89 kDa

Observed band size: 89 kDa

false

Exposure time: 1s

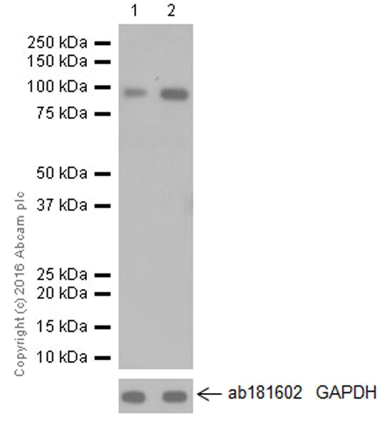
Western blot - Anti-TLR2 antibody [EPR20303] (AB209217)
  • WB

Supplier Data

Western blot - Anti-TLR2 antibody [EPR20303] (AB209217)

Blocking/Dilution buffer : 5% NFDM/TBST.

TLR2 is expressed in spleen but not in brain and heart according to the literature (PMID : 11777946).

All lanes:

Western blot - Anti-TLR2 antibody [EPR20303] (ab209217) at 1/1000 dilution

Lane 1:

Mouse spleen tissue lysate at 10 µg

Lane 2:

Mouse brain tissue lysate at 10 µg

Lane 3:

Mouse heart tissue lysate at 10 µg

Lane 4:

Rat spleen tissue lysate at 10 µg

Lane 5:

Rat brain tissue lysate at 10 µg

Lane 6:

Rat heart tissue lysate at 10 µg

Secondary

All lanes:

Western blot - Goat Anti-Rabbit IgG H&L (HRP) (<a href='/en-us/products/secondary-antibodies/goat-rabbit-igg-h-l-hrp-ab97051'>ab97051</a>) at 1/100000 dilution

Predicted band size: 89 kDa

Observed band size: 89 kDa

false

Exposure time: 3min

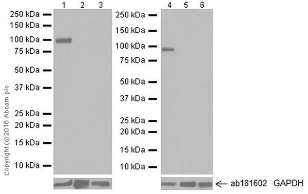
Western blot - Anti-TLR2 antibody [EPR20303] (AB209217)
  • WB

Supplier Data

Western blot - Anti-TLR2 antibody [EPR20303] (AB209217)

Blocking/Dilution buffer : 5% NFDM/TBST.

Expression of TLR2 in RAW 264.7 cells can be enhanced by LPS treatment according to the literature (PMID : 11067935).

All lanes:

Western blot - Anti-TLR2 antibody [EPR20303] (ab209217) at 1/10000 dilution

Lane 1:

RAW 264.7 (Mouse macrophage cell line transformed with Abelson murine leukemia virus) whole cell lysate at 10 µg

Lane 2:

RAW 264.7 whole cell lysate treated with 1 µg/ml lipopolysaccharides for 6 hours at 10 µg

Secondary

All lanes:

Western blot - Goat Anti-Rabbit IgG H&L (HRP) (<a href='/en-us/products/secondary-antibodies/goat-rabbit-igg-h-l-hrp-ab97051'>ab97051</a>) at 1/100000 dilution

Predicted band size: 89 kDa

Observed band size: 89 kDa

false

Exposure time: 3min

  • Carrier free

    Anti-TLR2 antibody [EPR20303] - BSA and Azide free

  • Carrier free

    Anti-TLR2 antibody [EPR20303] - Low endotoxin, Azide free

Key facts

Host species

Rabbit

Clonality

Monoclonal

Clone number

EPR20303

Isotype

IgG

Carrier free

No

Reacts with

Mouse, Rat

Applications

WB, IP

applications

Immunogen

The exact immunogen used to generate this antibody is proprietary information.

Reactivity data

{ "title": "Reactivity Data", "filters": { "stats": ["", "Species", "Dilution Info", "Notes"], "tabs": { "all-applications": {"fullname" : "All Applications", "shortname": "All Applications"}, "IP" : {"fullname" : "Immunoprecipitation", "shortname":"IP"}, "WB" : {"fullname" : "Western blot", "shortname":"WB"} }, "product-promise": { "all": "all", "testedAndGuaranteed": "tested", "guaranteed": "expected", "predicted": "predicted", "notRecommended": "not-recommended" } }, "values": { "Mouse": { "IP-species-checked": "testedAndGuaranteed", "IP-species-dilution-info": "1/30", "IP-species-notes": "<p></p>", "WB-species-checked": "testedAndGuaranteed", "WB-species-dilution-info": "1/1000", "WB-species-notes": "<p></p>" }, "Rat": { "IP-species-checked": "guaranteed", "IP-species-dilution-info": "", "IP-species-notes": "", "WB-species-checked": "testedAndGuaranteed", "WB-species-dilution-info": "1/1000", "WB-species-notes": "<p></p>" } } }

Product details

Patented technology
Our RabMAb® technology is a patented hybridoma-based technology for making rabbit monoclonal antibodies. For details on our patents, please refer to RabMAb® patents.

What are the advantages of a recombinant monoclonal antibody?
This product is a recombinant monoclonal antibody, which offers several advantages including:

  • - High batch-to-batch consistency and reproducibility
  • - Improved sensitivity and specificity
  • - Long-term security of supply
  • - Animal-free batch production

For more information, read more on recombinant antibodies.

Properties and storage information

Form
Liquid
Purification technique
Affinity purification Protein A
Storage buffer
pH: 7.2 - 7.4 Preservative: 0.01% Sodium azide Constituents: PBS, 40% Glycerol (glycerin, glycerine), 0.05% BSA
Shipped at conditions
Blue Ice
Appropriate short-term storage duration
1-2 weeks
Appropriate short-term storage conditions
+4°C
Appropriate long-term storage conditions
-20°C
Aliquoting information
Upon delivery aliquot
Storage information
Avoid freeze / thaw cycle

Supplementary information

This supplementary information is collated from multiple sources and compiled automatically.

Toll-like receptor 2 (TLR2) also called CD282 is a protein that detects molecules from bacteria and fungi. It has a mass of about 90 kDa. TLR2 is expressed on the surface of immune cells such as monocytes macrophages and neutrophils. This receptor recognizes pathogen-associated molecular patterns (PAMPs) and activates the immune response.
Biological function summary

TLR2 initiates signaling pathways that lead to the production of cytokines and chemokines helping to control infection. It forms dimers with other TLRs like TLR1 or TLR6 to expand its recognition range of microbial components. TLR2's activity is important for balancing pathogen recognition and avoiding overactive immune response. On macrophages TLR2 activation enhances their phagocytic ability.

Pathways

TLR2 plays roles in innate immune signaling pathways and inflammation pathways. It contributes significantly to the NF-kB and MAPK pathways which regulate inflammation and immune response. TLR2 often cooperates with proteins like MyD88 and TRAF6 in these pathways leading to downstream activation of transcription factors and production of pro-inflammatory molecules.

TLR2 is associated with inflammatory and infectious diseases including sepsis and tuberculosis. During tuberculosis interactions between TLR2 and its ligands trigger immune responses that are important for bacterial control. Additionally TLR2’s overactivation links to sepsis by causing excessive inflammation. Researchers study TLR2 for potential therapeutic targeting in these diseases assessing how modulation can improve outcomes or reduce detrimental inflammation.

Product protocols

For this product, it's our understanding that no specific protocols are required. You can visit:

Target data

Cooperates with LY96 to mediate the innate immune response to bacterial lipoproteins and other microbial cell wall components. Cooperates with TLR1 or TLR6 to mediate the innate immune response to bacterial lipoproteins or lipopeptides. Acts via MYD88 and TRAF6, leading to NF-kappa-B activation, cytokine secretion and the inflammatory response (By similarity) (PubMed : 15690042). May also promote apoptosis in response to lipoproteins (By similarity). Forms activation clusters composed of several receptors depending on the ligand, these clusters trigger signaling from the cell surface and subsequently are targeted to the Golgi in a lipid-raft dependent pathway. Forms the cluster TLR2 : TLR6 : CD14 : CD36 in response to diacylated lipopeptides and TLR2 : TLR1 : CD14 in response to triacylated lipopeptides (By similarity). Recognizes M.tuberculosis major T-antigen EsxA (ESAT-6) which inhibits downstream MYD88-dependent signaling (PubMed : 17486091). Acts as the major receptor for M.tuberculosis lipoproteins LprA, LprG, LpqH and PhoS1 (pstS1), in conjunction with TLR1 and for some but not all lipoproteins CD14 and/or CD36. The lipoproteins act as agonists to modulate antigen presenting cell functions in response to the pathogen (PubMed : 19362712). Recombinant MPT83 from M.tuberculosis stimulates secretion of cytokines (TNF-alpha, IL-6 and IL-12p40) by mouse macrophage cell lines in a TLR2-dependent fashion, which leads to increased host innate immunity responses against the bacterium (PubMed : 22174456). Lung macrophages which express low levels of TLR2 respond poorly to stimulation by M.tuberculosis LpqH (PubMed : 19362712). Required for normal uptake of M.tuberculosis, a process that is inhibited by M.tuberculosis LppM (PubMed : 27220037). Interacts with TICAM2 (By similarity).. (Microbial infection) Mediates activation of bone marrow-derived dendritic cells and macrophages, and production of pro-inflammatory cytokines, such as IL12 (IL12B/IL12A), triggered by Toxoplasma gondii micronemal protein 4 (MIC4) and micronemal protein 1 (MIC1).
See full target information Tlr2

Publications (41)

Recent publications for all applications. Explore the full list and refine your search

Journal of oral microbiology 17:2540823 PubMed40791819

2025

OMVs inhibit osteogenic differentiation of BMSCs via SAA3/TLR4/MyD88/NF-κB axis.

Applications

Unspecified application

Species

Unspecified reactive species

Yongyong Yan,Haiyan Wang,Huizhi Deng,Haokun He,Qing Ge,Jun Zha,Jun Chen,Qing Zhang,Haiyan Deng,Gang Wu,Richard T Jaspers,Janak L Pathak

Chinese medicine 20:102 PubMed40597229

2025

The immunomodulatory effects of sodium new houttuyfonate on different states of macrophage against Aspergillus fumigatus infection via distinct mechanism in invasive pulmonary aspergillosis.

Applications

Unspecified application

Species

Unspecified reactive species

Xue Zhou,Fujiao Huang,Jinping Zhang,Shu Gong,Liwen Wei,Fangyang Liu,Zhangyong Song

Mediators of inflammation 2025:6808184 PubMed40520774

2025

Temporal Effects of Disease Signature Genes and Core Mechanisms in the Hyperacute Phase of Acute Ischemic Stroke: A Bioinformatics Analysis and Experimental Validation.

Applications

Unspecified application

Species

Unspecified reactive species

Peng-Li Ding,Kai-Xin Zhang,Fang Yao,Wen-Qiang Cui,Zhen-Ling Liu,Yi-Ran Wang,Xiang-Ying Wang,Wei Liu,Heng-Ye Zhao,Hong-Yun Wu,Ya-Han Wang,Xiang-Qing Xu

The Journal of clinical investigation 135: PubMed40471688

2025

CXCL10 secreted by SPRY1-deficient epidermal keratinocytes fuels joint inflammation in psoriatic arthritis via CD14 signaling.

Applications

Unspecified application

Species

Unspecified reactive species

Fan Xu,Ying-Zhe Cui,Xing-Yu Yang,Yu-Xin Zheng,Xi-Bei Chen,Hao Zhou,Zhao-Yuan Wang,Yuan Zhou,Yi Lu,Ying-Ying Li,Li-Ran Ye,Ni-Chang Fu,Si-Qi Chen,Xue-Yan Chen,Min Zheng,Yong Yang,Xiao-Yong Man

Frontiers in pharmacology 16:1555079 PubMed40144659

2025

Vortioxetine alleviates motor, cognitive and emotional disorders in post-stroke rats by regulating the TLR-2/NF-B pathway.

Applications

Unspecified application

Species

Unspecified reactive species

Ziqiang Dong,Zhihui Dong,Lili Xu,Jinfeng Zhang,Lin Li,Rongjuan Wang,Xiaoyan Huang,Zhengqiang Zou

Scientific reports 15:2760 PubMed39843913

2025

Protective effect of low-dose lactulose in dextran sulfate sodium induced ulcerative colitis model of rats.

Applications

Unspecified application

Species

Unspecified reactive species

Min Cui,Wei-Ming Yang,Ping Yao

Journal of innate immunity 17:78-94 PubMed39773569

2025

5-Methoxytryptophan Protects against Toll-Like Receptor 2-Mediated Renal Tissue Inflammation and Fibrosis in a Murine Unilateral Ureteral Obstruction Model.

Applications

Unspecified application

Species

Unspecified reactive species

Jing-Yiing Wu,Guan-Lin Lee,Yu-Fan Chueh,Cheng-Chin Kuo,Yu-Juei Hsu,Kenneth K Wu

Nutrients 16: PubMed39458546

2024

Immunomodulatory Effects of a Prebiotic Formula with 2'-Fucosyllactose and Galacto- and Fructo-Oligosaccharides on Cyclophosphamide (CTX)-Induced Immunosuppressed BALB/c Mice via the Gut-Immune Axis.

Applications

Unspecified application

Species

Unspecified reactive species

Wanyun Ye,Hanxu Shi,Wentao Qian,Liping Meng,Meihua Wang,Yalin Zhou,Zhang Wen,Muke Han,Yile Peng,Hongliang Li,Yajun Xu

Epigenetics 19:2380145 PubMed39018487

2024

Circ-0006332 stimulates cardiomyocyte pyroptosis via the miR-143/TLR2 axis to promote doxorubicin-induced cardiac damage.

Applications

Unspecified application

Species

Unspecified reactive species

Ping Zhang,Yuanyuan Liu,Yuliang Zhan,Pengtao Zou,Xinyong Cai,Yanmei Chen,Liang Shao

The Journal of pharmacology and experimental therapeutics 391:289-300 PubMed38849143

2024

Proteomic Analysis of Signaling Pathways Modulated by Fatty Acid Binding Protein 5 (FABP5) in Macrophages.

Applications

Unspecified application

Species

Unspecified reactive species

Faniya Doswell,John D Haley,Martin Kaczocha
View all publications

Product promise

We are committed to supporting your work with high-quality reagents, and we're here for you every step of the way. In the unlikely event that one of our products does not perform as expected, you're protected by our Product Promise.
For full details, please see our Terms & Conditions

Please note: All products are 'FOR RESEARCH USE ONLY. NOT FOR USE IN DIAGNOSTIC OR THERAPEUTIC PROCEDURES'.

For licensing inquiries, please contact partnerships@abcam.com