JavaScript is disabled in your browser. Please enable JavaScript to view this website.
AB22048

Anti-TLR4 antibody [76B357.1]

4

(29 Reviews)

|

(375 Publications)

Anti-TLR4 antibody [76B357.1] (ab22048) is a mouse monoclonal antibody detecting TLR4 in Flow Cytometry (Intra), Flow Cytometry, IHC-P, IHC-Fr, ICC/IF, ELISA. Suitable for Human, Mouse, Pig, Rat.

- Over 290 publications
- Trusted since 2006

View Alternative Names

CD284, Toll-like receptor 4, hToll, TLR4

7 Images
Immunohistochemistry (Formalin/PFA-fixed paraffin-embedded sections) - Anti-TLR4 antibody [76B357.1] (AB22048)
  • IHC-P

AbReview19237****

Immunohistochemistry (Formalin/PFA-fixed paraffin-embedded sections) - Anti-TLR4 antibody [76B357.1] (AB22048)

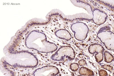
ab22048 staining TLR4 in Human stomach tissue sections by Immunohistochemistry (IHC-P - formaldehyde-fixed, paraffin-embedded sections). Tissue was fixed with formaldehyde and blocked with 5% serum for 1 hour; antigen retrieval was by heat mediation in citrate buffer (10mM, pH 6) (ab64236). Samples were incubated with primary antibody (1/100) for 1 hour at 23°C. An undiluted HRP-conjugated goat anti-mouse IgG polyclonal was used as the secondary antibody.

This image is courtesy of an anonymous Abreview

Immunohistochemistry (Formalin/PFA-fixed paraffin-embedded sections) - Anti-TLR4 antibody [76B357.1] (AB22048)
  • IHC-P

Supplier Data

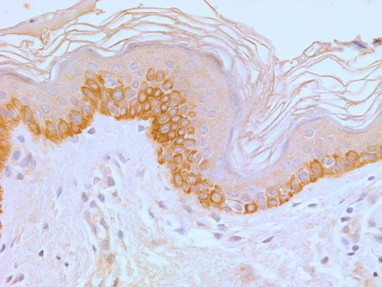
Immunohistochemistry (Formalin/PFA-fixed paraffin-embedded sections) - Anti-TLR4 antibody [76B357.1] (AB22048)

ab22048 (5 ug/ml) staining TLR4 in Human skin tissue sections by Immunohistochemistry (IHC-P - paraformaldehyde-fixed, paraffin-embedded sections). Membrane-cytoplasmic immunopositivity of TLR4 was primarily observed in the pigmented basel cells and the adjacent keratinocytes in the epidermal layer.

Immunohistochemistry (Formalin/PFA-fixed paraffin-embedded sections) - Anti-TLR4 antibody [76B357.1] (AB22048)
  • IHC-P

Unknown

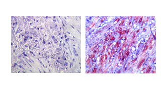
Immunohistochemistry (Formalin/PFA-fixed paraffin-embedded sections) - Anti-TLR4 antibody [76B357.1] (AB22048)

ab22048 at 5 μg/ml staining TLR4 in Human colon tissue sections by Immunohistochemistry (Formalin/ PFA-fixed paraffin-embedded tissue sections). Left hand image shows staining with an isotype control antibody whilst right one shows staining with ab22048.

Flow Cytometry (Intracellular) - Anti-TLR4 antibody [76B357.1] (AB22048)
  • Flow Cyt (Intra)

Unknown

Flow Cytometry (Intracellular) - Anti-TLR4 antibody [76B357.1] (AB22048)

Overlay histogram showing Jurkat cells (ab7899) stained with ab22048 (red line). The cells were fixed with methanol (5 min) and incubated in 1x PBS / 10% normal goat serum (ab7481) / 0.3M glycine to block non-specific protein-protein interactions. The cells were then incubated with the antibody (ab22048, 1μg/1x106 cells) for 30 min at 22°C. The secondary antibody used was DyLight® 488 goat anti-mouse IgG (H+L) (ab96879) at 1/500 dilution for 30 min at 22°C. Isotype control antibody (black line) was mouse IgG2b [PLPV219] (ab91366, 2μg/1x106 cells) used under the same conditions. Acquisition of >5,000 events was performed. This antibody gave a positive signal in Jurkat cells fixed with 4% paraformaldehyde (10 min) used under the same conditions.

Please note that Abcam do not have data for use of this antibody on non-fixed cells. We welcome any customer feedback.

Immunohistochemistry (Formalin/PFA-fixed paraffin-embedded sections) - Anti-TLR4 antibody [76B357.1] (AB22048)
  • IHC-P

Supplier Data

Immunohistochemistry (Formalin/PFA-fixed paraffin-embedded sections) - Anti-TLR4 antibody [76B357.1] (AB22048)

Immunohistochemical analysis of paraffin-embedded Human skin tissue labeling TLR4 with ab22048 at 5 ug/ml. The section was blocked using blocking solution (1% BSA in PBS) for 1 hour at room temperature and incubated with ab22048 overnight at 4°C after removing blocking solution.

Antigen retrieval : Bring slides to a boil in 10 mM sodium citrate buffer (pH 6.0) then maintain at a sub-boiling temperature for 10 minutes. Cool slides on bench-top for 30 minutes (keep slides in the sodium citrate buffer all the time).

Immunohistochemistry (Formalin/PFA-fixed paraffin-embedded sections) - Anti-TLR4 antibody [76B357.1] (AB22048)
  • IHC-P

PubMed

Immunohistochemistry (Formalin/PFA-fixed paraffin-embedded sections) - Anti-TLR4 antibody [76B357.1] (AB22048)

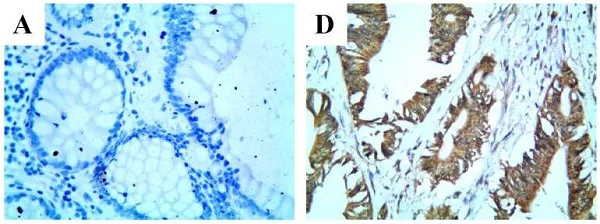
Representative examples of immunohistochemical staining of TLR4 in colorectal carcinoma tissues (original magnification 100×).

Paraffin-embedded human normal colorectal tissue (A) and colorectal carcinoma tissue (D) stained for TLR4 with ab22048 in immunohistochemical analysis. Counter stained with hematoxylin.

No staining is observed in normal colorectal tissue (A).

(From Figure 4A and 4D of Xu et al)

Xu H. et al PLoS One. 2011;6(12):e27399. doi: 10.1371/journal.pone.0027399. Epub 2011 Dec 13 Reproduced under the Creative Commons license http://creativecommons.org/licenses/by/4.0/

Immunohistochemistry (Formalin/PFA-fixed paraffin-embedded sections) - Anti-TLR4 antibody [76B357.1] (AB22048)
  • IHC-P

Supplier Data

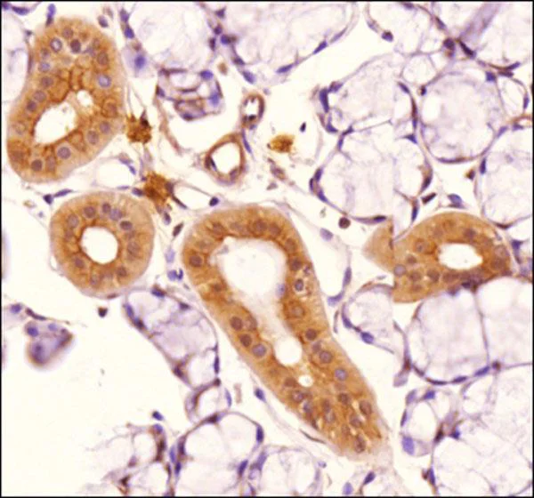
Immunohistochemistry (Formalin/PFA-fixed paraffin-embedded sections) - Anti-TLR4 antibody [76B357.1] (AB22048)

ab22048 staining TLR4 in Rat's salivary gland tissue sections by Immunohistochemistry (IHC-P - paraformaldehyde-fixed, paraffin-embedded sections). ab22048 at a dilution of 1 : 100 generated a membrane-cytoplasmic staining in the tissue with stronger signal in ductal epithelial cells.

Key facts

Host species

Mouse

Clonality

Monoclonal

Clone number

76B357.1

Isotype

IgG2b

Light chain type

kappa

Carrier free

No

Reacts with

Rat, Human, Mouse, Pig

Applications

IHC-Fr, ICC/IF, ICC, IHC-P, Flow Cyt (Intra), ELISA

applications

Immunogen

Synthetic Peptide within Human TLR4 aa 100-200 conjugated to Keyhole Limpet Haemocyanin. The exact immunogen used to generate this antibody is proprietary information.

O00206

Specificity

TLR4 expression levels and cleavage or degradation products can vary between different cell and tissue samples. Customers have observed this variability in WB band size and our laboratory has confirmed this variability as well observing lower molecular weight cleavage and degradation products and in some samples a lack of the full length TLR4 band. The TLR4 cleavage and degradation products and potential lack of full length TLR4 are well documented in the literature, including PMID 16885150 and 22927440. We recommend running a positive control human intestine tissue lysate.

Reactivity data

{ "title": "Reactivity Data", "filters": { "stats": ["", "Species", "Dilution Info", "Notes"], "tabs": { "all-applications": {"fullname" : "All Applications", "shortname": "All Applications"}, "ICC" : {"fullname" : "Immunocytochemistry", "shortname":"ICC"}, "ELISA" : {"fullname" : "ELISA", "shortname":"ELISA"}, "IHCP" : {"fullname" : "Immunohistochemistry (Formalin/PFA-fixed paraffin-embedded sections)", "shortname":"IHC-P"}, "ICCIF" : {"fullname" : "Immunocytochemistry/ Immunofluorescence", "shortname":"ICC/IF"}, "IHCFr" : {"fullname" : "Immunohistochemistry (Frozen sections)", "shortname":"IHC-Fr"}, "FlowCytIntra" : {"fullname" : "Flow Cytometry (Intracellular)", "shortname":"Flow Cyt (Intra)"} }, "product-promise": { "all": "all", "testedAndGuaranteed": "tested", "guaranteed": "expected", "predicted": "predicted", "notRecommended": "not-recommended" } }, "values": { "Human": { "ICC-species-checked": "guaranteed", "ICC-species-dilution-info": "", "ICC-species-notes": "<p></p>", "ELISA-species-checked": "guaranteed", "ELISA-species-dilution-info": "", "ELISA-species-notes": "<p></p>", "IHCP-species-checked": "testedAndGuaranteed", "IHCP-species-dilution-info": "", "IHCP-species-notes": "<p></p>", "ICCIF-species-checked": "guaranteed", "ICCIF-species-dilution-info": "", "ICCIF-species-notes": "<p></p>", "IHCFr-species-checked": "guaranteed", "IHCFr-species-dilution-info": "", "IHCFr-species-notes": "<p></p>", "FlowCytIntra-species-checked": "testedAndGuaranteed", "FlowCytIntra-species-dilution-info": "1 µg for 10^6 Cells", "FlowCytIntra-species-notes": "<p>Methanol or paraformaldehyde fixed cells.</p><p><a href='/en-us/products/primary-antibodies/mouse-igg2b-kappa-monoclonal-7e10g10-isotype-control-ab170192'>ab170192</a> - Mouse monoclonal IgG2b, is suitable for use as an isotype control with this antibody.</p>" }, "Mouse": { "ICC-species-checked": "guaranteed", "ICC-species-dilution-info": "", "ICC-species-notes": "<p></p>", "ELISA-species-checked": "guaranteed", "ELISA-species-dilution-info": "", "ELISA-species-notes": "<p></p>", "IHCP-species-checked": "predicted", "IHCP-species-dilution-info": "", "IHCP-species-notes": "", "ICCIF-species-checked": "guaranteed", "ICCIF-species-dilution-info": "", "ICCIF-species-notes": "<p></p>", "IHCFr-species-checked": "guaranteed", "IHCFr-species-dilution-info": "", "IHCFr-species-notes": "<p></p>", "FlowCytIntra-species-checked": "predicted", "FlowCytIntra-species-dilution-info": "", "FlowCytIntra-species-notes": "" }, "Rat": { "ICC-species-checked": "guaranteed", "ICC-species-dilution-info": "", "ICC-species-notes": "<p></p>", "ELISA-species-checked": "guaranteed", "ELISA-species-dilution-info": "", "ELISA-species-notes": "<p></p>", "IHCP-species-checked": "testedAndGuaranteed", "IHCP-species-dilution-info": "", "IHCP-species-notes": "<p></p>", "ICCIF-species-checked": "guaranteed", "ICCIF-species-dilution-info": "", "ICCIF-species-notes": "<p></p>", "IHCFr-species-checked": "guaranteed", "IHCFr-species-dilution-info": "", "IHCFr-species-notes": "<p></p>", "FlowCytIntra-species-checked": "guaranteed", "FlowCytIntra-species-dilution-info": "", "FlowCytIntra-species-notes": "" }, "Cat": { "ICC-species-checked": "predicted", "ICC-species-dilution-info": "", "ICC-species-notes": "", "ELISA-species-checked": "predicted", "ELISA-species-dilution-info": "", "ELISA-species-notes": "", "IHCP-species-checked": "predicted", "IHCP-species-dilution-info": "", "IHCP-species-notes": "", "ICCIF-species-checked": "predicted", "ICCIF-species-dilution-info": "", "ICCIF-species-notes": "", "IHCFr-species-checked": "predicted", "IHCFr-species-dilution-info": "", "IHCFr-species-notes": "", "FlowCytIntra-species-checked": "predicted", "FlowCytIntra-species-dilution-info": "", "FlowCytIntra-species-notes": "" }, "Chimpanzee": { "ICC-species-checked": "predicted", "ICC-species-dilution-info": "", "ICC-species-notes": "", "ELISA-species-checked": "predicted", "ELISA-species-dilution-info": "", "ELISA-species-notes": "", "IHCP-species-checked": "predicted", "IHCP-species-dilution-info": "", "IHCP-species-notes": "", "ICCIF-species-checked": "predicted", "ICCIF-species-dilution-info": "", "ICCIF-species-notes": "", "IHCFr-species-checked": "predicted", "IHCFr-species-dilution-info": "", "IHCFr-species-notes": "", "FlowCytIntra-species-checked": "predicted", "FlowCytIntra-species-dilution-info": "", "FlowCytIntra-species-notes": "" }, "Cow": { "ICC-species-checked": "predicted", "ICC-species-dilution-info": "", "ICC-species-notes": "", "ELISA-species-checked": "predicted", "ELISA-species-dilution-info": "", "ELISA-species-notes": "", "IHCP-species-checked": "predicted", "IHCP-species-dilution-info": "", "IHCP-species-notes": "", "ICCIF-species-checked": "predicted", "ICCIF-species-dilution-info": "", "ICCIF-species-notes": "", "IHCFr-species-checked": "predicted", "IHCFr-species-dilution-info": "", "IHCFr-species-notes": "", "FlowCytIntra-species-checked": "predicted", "FlowCytIntra-species-dilution-info": "", "FlowCytIntra-species-notes": "" }, "Horse": { "ICC-species-checked": "predicted", "ICC-species-dilution-info": "", "ICC-species-notes": "", "ELISA-species-checked": "predicted", "ELISA-species-dilution-info": "", "ELISA-species-notes": "", "IHCP-species-checked": "predicted", "IHCP-species-dilution-info": "", "IHCP-species-notes": "", "ICCIF-species-checked": "predicted", "ICCIF-species-dilution-info": "", "ICCIF-species-notes": "", "IHCFr-species-checked": "predicted", "IHCFr-species-dilution-info": "", "IHCFr-species-notes": "", "FlowCytIntra-species-checked": "predicted", "FlowCytIntra-species-dilution-info": "", "FlowCytIntra-species-notes": "" }, "Pig": { "ICC-species-checked": "guaranteed", "ICC-species-dilution-info": "", "ICC-species-notes": "<p></p>", "ELISA-species-checked": "guaranteed", "ELISA-species-dilution-info": "", "ELISA-species-notes": "<p></p>", "IHCP-species-checked": "predicted", "IHCP-species-dilution-info": "", "IHCP-species-notes": "", "ICCIF-species-checked": "guaranteed", "ICCIF-species-dilution-info": "", "ICCIF-species-notes": "<p></p>", "IHCFr-species-checked": "guaranteed", "IHCFr-species-dilution-info": "", "IHCFr-species-notes": "<p></p>", "FlowCytIntra-species-checked": "predicted", "FlowCytIntra-species-dilution-info": "", "FlowCytIntra-species-notes": "" }, "Sheep": { "ICC-species-checked": "predicted", "ICC-species-dilution-info": "", "ICC-species-notes": "", "ELISA-species-checked": "predicted", "ELISA-species-dilution-info": "", "ELISA-species-notes": "", "IHCP-species-checked": "predicted", "IHCP-species-dilution-info": "", "IHCP-species-notes": "", "ICCIF-species-checked": "predicted", "ICCIF-species-dilution-info": "", "ICCIF-species-notes": "", "IHCFr-species-checked": "predicted", "IHCFr-species-dilution-info": "", "IHCFr-species-notes": "", "FlowCytIntra-species-checked": "predicted", "FlowCytIntra-species-dilution-info": "", "FlowCytIntra-species-notes": "" } } }

Product details

Product Specifications
Anti-TLR4 antibody [76B357.1] (ab22048) is a mouse monoclonal antibody and is validated for use in ELISA, Flow Cyt (Intra), ICC, ICC/IF, IHC-Fr, IHC-P in human, mouse, pig, rat samples.
Anti-TLR4 antibody [76B357.1] (ab22048) specifically detects TLR4 (UniProt ID: O00206; Molecular weight: 93kDa) and is sold in 100 µg selling sizes.

Quality and Validation
Abcam's high quality validation processes ensure Anti-TLR4 antibody [76B357.1] (ab22048) has high sensitivity and specificity.
Anti-TLR4 antibody [76B357.1] (ab22048) has been cited over 297 times in peer reviewed journals and is trusted by the scientific community.
Anti-TLR4 antibody [76B357.1] (ab22048) has 26 independent reviews from customers.

Properties and storage information

Form
Liquid
Purification technique
Affinity purification Protein G
Storage buffer
pH: 7.4 Preservative: 0.05% Sodium azide Constituents: PBS, 0.05% BSA
Shipped at conditions
Blue Ice
Appropriate short-term storage duration
1-2 weeks
Appropriate short-term storage conditions
+4°C
Appropriate long-term storage conditions
-20°C
Aliquoting information
Upon delivery aliquot
Storage information
Avoid freeze / thaw cycle

Supplementary information

This supplementary information is collated from multiple sources and compiled automatically.

Toll-like receptor 4 (TLR4) is a membrane protein involved in the innate immune response. It serves as a receptor that recognizes pathogen-associated molecular patterns such as lipopolysaccharides from bacterial cell walls. Often referred to by its alternate names TLR-2 and CD284 this protein has a molecular weight of approximately 95 kDa. TLR4 is mainly expressed on the surface of immune cells like macrophages and dendritic cells enabling these cells to detect and respond to microbial invaders effectively.
Biological function summary

TLR4 plays an important role in activating the immune system. It forms a complex with myeloid differentiation factor 2 (MD-2) to facilitate binding to its ligands. Upon activation TLR4 triggers a signaling cascade that leads to the release of pro-inflammatory cytokines and interferons which are important for initiating the immune response. This early detection mechanism alerts the immune system to the presence of pathogens allowing the body to mount a defense.

Pathways

TLR4 participates in the nuclear factor kappa-light-chain-enhancer of activated B cells (NF-κB) and mitogen-activated protein kinase (MAPK) signaling pathways. These pathways are central to the inflammatory response with TLR4 acting as a sensor that activates downstream components like the MyD88 and TRIF proteins. These interactions result in the expression of genes that produce cytokines and enzymes involved in inflammation and immunity.

TLR4 has been implicated in the development of sepsis and atherosclerosis. In sepsis TLR4 recognizes lipopolysaccharides from bacterial infections which can cause excessive inflammation if uncontrolled. In atherosclerosis TLR4 receptors on vascular cells respond to endogenous ligands such as oxidized low-density lipoproteins contributing to plaque formation. The TLR4 interaction with proteins like CD14 and MD-2 is significant as it influences the inflammatory pathways that exacerbate these conditions.

Product protocols

For this product, it's our understanding that no specific protocols are required. You can visit:

Target data

Transmembrane receptor that functions as a pattern recognition receptor recognizing pathogen- and damage-associated molecular patterns (PAMPs and DAMPs) to induce innate immune responses via downstream signaling pathways (PubMed : 10835634, PubMed : 15809303, PubMed : 16622205, PubMed : 17292937, PubMed : 17478729, PubMed : 20037584, PubMed : 20711192, PubMed : 23880187, PubMed : 27022195, PubMed : 29038465). At the plasma membrane, cooperates with LY96 to mediate the innate immune response to bacterial lipopolysaccharide (LPS) (PubMed : 27022195). Also involved in LPS-independent inflammatory responses triggered by free fatty acids, such as palmitate, and Ni(2+) (PubMed : 20711192). Mechanistically, acts via MYD88, TIRAP and TRAF6, leading to NF-kappa-B activation, cytokine secretion and the inflammatory response (PubMed : 10835634, PubMed : 21393102, PubMed : 27022195, PubMed : 36945827, PubMed : 9237759). Alternatively, CD14-mediated TLR4 internalization via endocytosis is associated with the initiation of a MYD88-independent signaling via the TICAM1-TBK1-IRF3 axis leading to type I interferon production (PubMed : 14517278). In addition to the secretion of proinflammatory cytokines, initiates the activation of NLRP3 inflammasome and formation of a positive feedback loop between autophagy and NF-kappa-B signaling cascade (PubMed : 32894580). In complex with TLR6, promotes inflammation in monocytes/macrophages by associating with TLR6 and the receptor CD86 (PubMed : 23880187). Upon ligand binding, such as oxLDL or amyloid-beta 42, the TLR4 : TLR6 complex is internalized and triggers inflammatory response, leading to NF-kappa-B-dependent production of CXCL1, CXCL2 and CCL9 cytokines, via MYD88 signaling pathway, and CCL5 cytokine, via TICAM1 signaling pathway (PubMed : 23880187). In myeloid dendritic cells, vesicular stomatitis virus glycoprotein G but not LPS promotes the activation of IRF7, leading to type I IFN production in a CD14-dependent manner (PubMed : 15265881, PubMed : 23880187). Required for the migration-promoting effects of ZG16B/PAUF on pancreatic cancer cells.
See full target information TLR4

Publications (375)

Recent publications for all applications. Explore the full list and refine your search

Journal of translational medicine 23:762 PubMed40640887

2025

Gut microbiota dysbiosis exacerbates heart failure by the LPS-TLR4/NF-κB signalling axis: mechanistic insights and therapeutic potential of TLR4 inhibition.

Applications

Unspecified application

Species

Unspecified reactive species

Chunlei Zhang,Xiaodong Teng,Qiuhang Cao,Yanyan Deng,Mo Yang,Lei Wang,Daorong Rui,Xiu Ling,Cao Wei,Yue Chen,Dasheng Lu,Hongxiang Zhang

Biomolecules 15: PubMed40563502

2025

Long-Term Exercise Mitigates Energy Expenditure and Inflammatory Responses Induced by Sleep Deprivation in Mice.

Applications

Unspecified application

Species

Unspecified reactive species

Tian-Shu Zheng,Xin-Ran Gao,Chen Gu,Yu-Ning Ru,Rui-Ping Xu,Yu-Hang Yang,De-Hua Wang

Science progress 108:368504251338653 PubMed40501216

2025

HMGB1 mediates inflammation response of epileptogenicity in tuberous sclerosis complex-related epilepsy.

Applications

Unspecified application

Species

Unspecified reactive species

Suhui Kuang,Tinghong Liu,Liu Yuan,Jinshan Xu,Yangshuo Wang,Feng Chen,Shuli Liang

Cellular and molecular life sciences : CMLS 82:229 PubMed40490565

2025

CMTM7 inhibits TLR4 signaling pathway via promoting Rab5 activation and alleviates acute liver injury.

Applications

Unspecified application

Species

Unspecified reactive species

Yingzhe Sun,Zixia Guo,Yangbo Huo,Hanxiao Zhang,Ting Li,Pingzhang Wang,Wenling Han

Journal of translational medicine 23:627 PubMed40462165

2025

Fecal microbiota transplantation from Helicobacter pylori carriers following bismuth quadruple therapy exacerbates alcohol-related liver disease in mice via LPS-induced activation of hepatic TLR4/NF-κB/NLRP3 signaling.

Applications

Unspecified application

Species

Unspecified reactive species

Huihui Gao,Hangming Bai,Yanyan Su,Yuting Gao,Hui Fang,Donghang Li,Youren Yu,Xing Lu,Dasheng Xia,Daqing Mao,Yi Luo

Frontiers in pharmacology 16:1585290 PubMed40453654

2025

TLR4 as a therapeutic target: Antidepressant mechanism of saikosaponin A in regulating the NF-κB/BDNF axis and mitigating oxidative stress and inflammation and .

Applications

Unspecified application

Species

Unspecified reactive species

Lin Tan,Jiayue Li,Dingcheng Sun,Xinyi Tian,Xiaoli Zhong,Yiyi Shan

Foods (Basel, Switzerland) 14: PubMed40077496

2025

Effects of Dietary Pretreatment with All- Lycopene on Lipopolysaccharide-Induced Jejunal Inflammation: A Multi-Pathway Phenomenon.

Applications

Unspecified application

Species

Unspecified reactive species

Daolin Mou,Dajiang Ding,Junning Pu,Pan Zhou,Enming Cao,Xueyan Zhang,Junrong Lan,Lu Ye,Wanxue Wen

Nature communications 16:2329 PubMed40057496

2025

Salmonella exploits LRRK2-dependent plasma membrane dynamics to invade host cells.

Applications

Unspecified application

Species

Unspecified reactive species

Hongxian Zhu,Andrew M Sydor,Bing-Ru Yan,Ren Li,Michal T Boniecki,Carina Lyons,Miroslaw Cygler,Aleixo M Muise,Michelle E Maxson,Sergio Grinstein,Brian Raught,John H Brumell

Journal of microbiology and biotechnology 35:e2410040 PubMed39947675

2025

DS0384 Alleviates Necrotizing Enterocolitis: Secretes N-carbamyl glutamic Acid and Participates in Lipid Metabolism and Lipid Peroxidation Processes.

Applications

Unspecified application

Species

Unspecified reactive species

Xiaofan Wei,Xiao Feng

Cell biology and toxicology 41:36 PubMed39873845

2025

HSP27/IL-6 axis promotes OSCC chemoresistance, invasion and migration by orchestrating macrophages via a positive feedback loop.

Applications

Unspecified application

Species

Unspecified reactive species

Ying Qi,Juan Cao,Mingjing Jiang,Ying Lin,Weibo Li,Bo Li
View all publications

Product promise

We are committed to supporting your work with high-quality reagents, and we're here for you every step of the way. In the unlikely event that one of our products does not perform as expected, you're protected by our Product Promise.
For full details, please see our Terms & Conditions

Please note: All products are 'FOR RESEARCH USE ONLY. NOT FOR USE IN DIAGNOSTIC OR THERAPEUTIC PROCEDURES'.

For licensing inquiries, please contact partnerships@abcam.com