JavaScript is disabled in your browser. Please enable JavaScript to view this website.
AB115603

Anti-TLR5 antibody

Be the first to review this product! Submit a review

|

(1 Publication)

Rabbit Polyclonal TLR5 antibody. Suitable for IHC-P and reacts with Human samples. Cited in 1 publication. Immunogen corresponding to Synthetic Peptide within Human TLR5 conjugated to Keyhole Limpet Haemocyanin.

View Alternative Names

TIL3, TLR5, Toll-like receptor 5, Toll/interleukin-1 receptor-like protein 3

1 Images
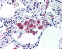
Immunohistochemistry (Formalin/PFA-fixed paraffin-embedded sections) - Anti-TLR5 antibody (AB115603)
  • IHC-P

Unknown

Immunohistochemistry (Formalin/PFA-fixed paraffin-embedded sections) - Anti-TLR5 antibody (AB115603)

ab115603, at 5µg/ml, staining TLR5 in Formalin-fixed, Paraffin-embedded Human Lung tissue by Immunohistochemistry followed by biotinylated secondary antibody, alkaline phosphatase-streptavidin and chromogen.

Key facts

Host species

Rabbit

Clonality

Polyclonal

Isotype

IgG

Carrier free

No

Reacts with

Human

Applications

IHC-P

applications

Immunogen

Synthetic Peptide within Human TLR5 conjugated to Keyhole Limpet Haemocyanin. The exact immunogen used to generate this antibody is proprietary information.

O60602

Reactivity data

{ "title": "Reactivity Data", "filters": { "stats": ["", "Species", "Dilution Info", "Notes"], "tabs": { "all-applications": {"fullname" : "All Applications", "shortname": "All Applications"}, "IHCP" : {"fullname" : "Immunohistochemistry (Formalin/PFA-fixed paraffin-embedded sections)", "shortname":"IHC-P"} }, "product-promise": { "all": "all", "testedAndGuaranteed": "tested", "guaranteed": "expected", "predicted": "predicted", "notRecommended": "not-recommended" } }, "values": { "Human": { "IHCP-species-checked": "testedAndGuaranteed", "IHCP-species-dilution-info": "5 µg/mL", "IHCP-species-notes": "<p></p> Perform heat-mediated antigen retrieval with citrate buffer pH 6 before commencing with IHC staining protocol." }, "Mouse": { "IHCP-species-checked": "predicted", "IHCP-species-dilution-info": "", "IHCP-species-notes": "" } } }

Properties and storage information

Form
Liquid
Purification technique
Affinity purification Protein A
Storage buffer
pH: 7.4 Preservative: 0.02% Sodium azide Constituents: 99% PBS
Shipped at conditions
Blue Ice
Appropriate short-term storage duration
1-2 weeks
Appropriate short-term storage conditions
+4°C
Appropriate long-term storage conditions
-20°C
Aliquoting information
Upon delivery aliquot

Supplementary information

This supplementary information is collated from multiple sources and compiled automatically.

Toll-like receptor 5 (TLR5) also known as CD285 is a protein that functions mechanically as a pattern recognition receptor. It has a mass of about 98 kDa and is expressed mainly in the tissues of the lung intestine and urogenital tract. TLR5 recognizes pathogen-associated molecular patterns specifically identifying and binding to flagellin a protein component of bacterial flagella. This engagement initiates a signaling cascade that results in an immune response.
Biological function summary

This receptor plays a central role in the innate immune system. TLR5 is part of a complex network of receptors that detect microbial infections and activate immune defense. When TLR5 binds to flagellin it triggers the production of inflammatory cytokines and activation of adaptive immune responses. This interaction helps in mobilizing immune cells to the site of infection providing the body with a robust defense mechanism against bacterial pathogens.

Pathways

TLR5 activation is an important component of the NF-kB signaling and MAPK pathways. These pathways lead to the transcription of genes involved in inflammation and immune response. TLR5 interacts with MyD88 an adaptor protein to facilitate the downstream signaling cascade. This involvement links TLR5 to not only NF-kB pathway but also connects it to other Toll-like receptors further integrating the immune signaling network.

TLR5 has been connected to inflammatory bowel disease and chronic obstructive pulmonary disease (COPD). Abnormal TLR5 signaling can lead to excessive inflammation contributing to these conditions. In COPD TLR5 and its associated cytokines can exacerbate lung inflammation while in inflammatory bowel disease dysregulation may trigger improper intestinal immune responses. Research into TLR5's role in these diseases can illuminate potential therapeutic targets.

Product protocols

For this product, it's our understanding that no specific protocols are required. You can visit:

Target data

Pattern recognition receptor (PRR) located on the cell surface that participates in the activation of innate immunity and inflammatory response (PubMed : 11323673, PubMed : 18490781). Recognizes small molecular motifs named pathogen-associated molecular pattern (PAMPs) expressed by pathogens and microbe-associated molecular patterns (MAMPs) usually expressed by resident microbiota (PubMed : 29934223). Upon ligand binding such as bacterial flagellins, recruits intracellular adapter proteins MYD88 and TRIF leading to NF-kappa-B activation, cytokine secretion and induction of the inflammatory response (PubMed : 11489966, PubMed : 20855887). Plays thereby an important role in the relationship between the intestinal epithelium and enteric microbes and contributes to the gut microbiota composition throughout life (By similarity).
See full target information TLR5

Publications (1)

Recent publications for all applications. Explore the full list and refine your search

Scientific reports 10:16364 PubMed33004937

2020

Elevated adipose tissue associated IL-2 expression in obesity correlates with metabolic inflammation and insulin resistance.

Applications

Unspecified application

Species

Unspecified reactive species

Shihab Kochumon,Ashraf Al Madhoun,Fatema Al-Rashed,Reeby Thomas,Sardar Sindhu,Ebaa Al-Ozairi,Fahd Al-Mulla,Rasheed Ahmad
View all publications

Product promise

We are committed to supporting your work with high-quality reagents, and we're here for you every step of the way. In the unlikely event that one of our products does not perform as expected, you're protected by our Product Promise.
For full details, please see our Terms & Conditions

Please note: All products are 'FOR RESEARCH USE ONLY. NOT FOR USE IN DIAGNOSTIC OR THERAPEUTIC PROCEDURES'.

For licensing inquiries, please contact partnerships@abcam.com