JavaScript is disabled in your browser. Please enable JavaScript to view this website.
AB62460

Anti-TLR5 antibody

4

(4 Reviews)

|

(12 Publications)

Rabbit Polyclonal TLR5 antibody. Suitable for WB, IHC-P and reacts with Rat samples. Cited in 12 publications. Immunogen corresponding to Synthetic Peptide within Human TLR5.

View Alternative Names

TIL3, TLR5, Toll-like receptor 5, Toll/interleukin-1 receptor-like protein 3

3 Images
Immunohistochemistry (Formalin/PFA-fixed paraffin-embedded sections) - Anti-TLR5 antibody (AB62460)
  • IHC-P

AbReview21105****

Immunohistochemistry (Formalin/PFA-fixed paraffin-embedded sections) - Anti-TLR5 antibody (AB62460)

ab62460 staining TLR5 in human pancreatic tissue by Immunohistochemistry (Formalin/PFA-fixed paraffin-embedded sections). Tissue was fixed with formaldehyde and a heat mediated antigen retrieval step was performed. Samples were then incubated with the primary antibody at a 1/50 dilution for 14 hours at 4°C. An undiluted HRP-conjugated goat polyclonal was used as secondary antibody.

Image courtesy of Dr Ilka Werner-Martini by Abreview

Immunohistochemistry (Formalin/PFA-fixed paraffin-embedded sections) - Anti-TLR5 antibody (AB62460)
  • IHC-P

Unknown

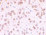
Immunohistochemistry (Formalin/PFA-fixed paraffin-embedded sections) - Anti-TLR5 antibody (AB62460)

Immunohistochemistry of TLR5 on paraffin embedded rat brain tissue section with ab62460 at 10 µg/ml.

Western blot - Anti-TLR5 antibody (AB62460)
  • WB

Unknown

Western blot - Anti-TLR5 antibody (AB62460)

Lane 1:

Western blot - Anti-TLR5 antibody (ab62460) at 0.5 µg/mL

Lane 2:

Western blot - Anti-TLR5 antibody (ab62460) at 1 µg/mL

Lane 3:

Western blot - Anti-TLR5 antibody (ab62460) at 2 µg/mL

All lanes:

Rat brain cell lysate at 15 µg

Predicted band size: 97 kDa

Observed band size: 97 kDa

false

Key facts

Host species

Rabbit

Clonality

Polyclonal

Isotype

IgG

Carrier free

No

Reacts with

Rat

Applications

WB, IHC-P

applications

Immunogen

Synthetic Peptide within Human TLR5. The exact immunogen used to generate this antibody is proprietary information.

O60602

Reactivity data

{ "title": "Reactivity Data", "filters": { "stats": ["", "Species", "Dilution Info", "Notes"], "tabs": { "all-applications": {"fullname" : "All Applications", "shortname": "All Applications"}, "WB" : {"fullname" : "Western blot", "shortname":"WB"}, "IHCP" : {"fullname" : "Immunohistochemistry (Formalin/PFA-fixed paraffin-embedded sections)", "shortname":"IHC-P"} }, "product-promise": { "all": "all", "testedAndGuaranteed": "tested", "guaranteed": "expected", "predicted": "predicted", "notRecommended": "not-recommended" } }, "values": { "Rat": { "WB-species-checked": "testedAndGuaranteed", "WB-species-dilution-info": "0.5-2 µg/mL", "WB-species-notes": "<p></p>", "IHCP-species-checked": "testedAndGuaranteed", "IHCP-species-dilution-info": "10 µg/mL", "IHCP-species-notes": "<p></p>" } } }

Properties and storage information

Form
Liquid
Purification technique
Affinity purification Immunogen
Storage buffer
pH: 7.2 Preservative: 0.02% Sodium azide Constituents: PBS
Shipped at conditions
Blue Ice
Appropriate short-term storage conditions
+4°C
Appropriate long-term storage conditions
+4°C

Supplementary information

This supplementary information is collated from multiple sources and compiled automatically.

Toll-like receptor 5 (TLR5) also known as CD285 is a protein that functions mechanically as a pattern recognition receptor. It has a mass of about 98 kDa and is expressed mainly in the tissues of the lung intestine and urogenital tract. TLR5 recognizes pathogen-associated molecular patterns specifically identifying and binding to flagellin a protein component of bacterial flagella. This engagement initiates a signaling cascade that results in an immune response.
Biological function summary

This receptor plays a central role in the innate immune system. TLR5 is part of a complex network of receptors that detect microbial infections and activate immune defense. When TLR5 binds to flagellin it triggers the production of inflammatory cytokines and activation of adaptive immune responses. This interaction helps in mobilizing immune cells to the site of infection providing the body with a robust defense mechanism against bacterial pathogens.

Pathways

TLR5 activation is an important component of the NF-kB signaling and MAPK pathways. These pathways lead to the transcription of genes involved in inflammation and immune response. TLR5 interacts with MyD88 an adaptor protein to facilitate the downstream signaling cascade. This involvement links TLR5 to not only NF-kB pathway but also connects it to other Toll-like receptors further integrating the immune signaling network.

TLR5 has been connected to inflammatory bowel disease and chronic obstructive pulmonary disease (COPD). Abnormal TLR5 signaling can lead to excessive inflammation contributing to these conditions. In COPD TLR5 and its associated cytokines can exacerbate lung inflammation while in inflammatory bowel disease dysregulation may trigger improper intestinal immune responses. Research into TLR5's role in these diseases can illuminate potential therapeutic targets.

Product protocols

For this product, it's our understanding that no specific protocols are required. You can visit:

Target data

Pattern recognition receptor (PRR) located on the cell surface that participates in the activation of innate immunity and inflammatory response (PubMed : 11323673, PubMed : 18490781). Recognizes small molecular motifs named pathogen-associated molecular pattern (PAMPs) expressed by pathogens and microbe-associated molecular patterns (MAMPs) usually expressed by resident microbiota (PubMed : 29934223). Upon ligand binding such as bacterial flagellins, recruits intracellular adapter proteins MYD88 and TRIF leading to NF-kappa-B activation, cytokine secretion and induction of the inflammatory response (PubMed : 11489966, PubMed : 20855887). Plays thereby an important role in the relationship between the intestinal epithelium and enteric microbes and contributes to the gut microbiota composition throughout life (By similarity).
See full target information TLR5

Publications (12)

Recent publications for all applications. Explore the full list and refine your search

International journal of immunopathology and pharmacology 36:3946320221090007 PubMed35585682

2022

Relationship between toll-like receptor expression in the distal facial nerve and facial nerve recovery after injury.

Applications

Unspecified application

Species

Unspecified reactive species

Hye Kyu Min,In Hyeok Kim,Jae Min Lee,Junyang Jung,Hwa Sung Rim,Dae Woong Kang,Sang Hoon Kim,Seung Geun Yeo

Frontiers in pharmacology 13:883918 PubMed35571126

2022

Shenling Baizhu Powder Alleviates TNBS-Induced Colitis in Rats by Improving Intestinal Epithelial Permeability and Inhibiting Inflammation Through the TLR5/MyD88/NF-κB Pathway.

Applications

Unspecified application

Species

Unspecified reactive species

Kehan Rao,Shumin Qin,Yuanming Yang,Kai Zhan,Haomeng Wu,Huan Zheng,Shaogang Huang

Journal of microbiology and biotechnology 32:709-717 PubMed35484967

2022

Pneumococcal Δ Immunization Attenuates TLRs and NLRP3 Expression and Relieves Murine Ovalbumin-Induced Allergic Rhinitis.

Applications

Unspecified application

Species

Unspecified reactive species

Jae Ik Yu,Ji-Hoon Kim,Ki-El Nam,Wonsik Lee,Dong-Kwon Rhee

Molecular medicine reports 20:3565-3572 PubMed31485664

2019

Expression and function of Toll‑like receptors in peripheral blood mononuclear cells in patients with ankylosing spondylitis.

Applications

Unspecified application

Species

Unspecified reactive species

Jun Zhang,Rongming Xu,Lei Wu,Jihong Jiang

Archives of medical science : AMS 18:237-250 PubMed35154543

2019

Expression of TLR2 and TLR5 in distal ileum of mice with obstructive jaundice and their role in intestinal mucosal injury.

Applications

Unspecified application

Species

Unspecified reactive species

Xiaopeng Tian,Zixuan Zhang,Wen Li

Journal of clinical biochemistry and nutrition 62:63-67 PubMed29371755

2018

The expression of Toll-like receptor 5 in preterm histologic chorioamnionitis.

Applications

Unspecified application

Species

Unspecified reactive species

Hiroaki Moroi,Tomomi Kotani,Rika Miki,Hiroyuki Tsuda,Masako Mizuno,Yumiko Ito,Takafumi Ushida,Kenji Imai,Tomoko Nakano,Hua Li,Seiji Sumigama,Eiko Yamamoto,Akira Iwase,Fumitaka Kikkawa

Scientific reports 7:7365 PubMed28779087

2017

The Expression of Toll-like receptors in eutopic and ectopic endometrium and its implication in the inflammatory pathogenesis of adenomyosis.

Applications

Unspecified application

Species

Unspecified reactive species

Caixia Jiang,Chao Liu,Jing Guo,Li Chen,Ning Luo,Xiaoyan Qu,Weihong Yang,Qing Ren,Zhongping Cheng

Supportive care in cancer : official journal of the Multinational Association of Supportive Care in Cancer 24:2251-2258 PubMed26581898

2015

Chemotherapy-induced gut toxicity and pain: involvement of TLRs.

Applications

Unspecified application

Species

Unspecified reactive species

Rachel J Gibson,Janet K Coller,Hannah R Wardill,Mark R Hutchinson,Scott Smid,Joanne M Bowen

Science advances 1:e1400183 PubMed26601192

2015

Role of Toll-like receptors in diabetic renal lesions in a miniature pig model.

Applications

Unspecified application

Species

Unspecified reactive species

Yuanyuan Feng,Shulin Yang,Yuxiang Ma,Xue-Yuan Bai,Xiangmei Chen

Biochimica et biophysica acta 1832:2162-72 PubMed23851050

2013

Transcriptional modulation of pattern recognition receptors in acute colitis in mice.

Applications

IHC-P

Species

Mouse

Bin Zheng,Mary E Morgan,Hendrik J G van de Kant,Johan Garssen,Gert Folkerts,Aletta D Kraneveld
View all publications

Product promise

We are committed to supporting your work with high-quality reagents, and we're here for you every step of the way. In the unlikely event that one of our products does not perform as expected, you're protected by our Product Promise.
For full details, please see our Terms & Conditions

Please note: All products are 'FOR RESEARCH USE ONLY. NOT FOR USE IN DIAGNOSTIC OR THERAPEUTIC PROCEDURES'.

For licensing inquiries, please contact partnerships@abcam.com