JavaScript is disabled in your browser. Please enable JavaScript to view this website.
AB53630

Anti-TLR8 antibody

Be the first to review this product! Submit a review

|

(4 Publications)

Goat Polyclonal TLR8 antibody. Suitable for IHC-P and reacts with Mouse, Human samples. Cited in 4 publications. Immunogen corresponding to Synthetic Peptide within Human TLR8 aa 50-150.

View Alternative Names

CD288, UNQ249/PRO286, TLR8, Toll-like receptor 8

2 Images
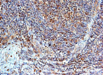
Immunohistochemistry (Formalin/PFA-fixed paraffin-embedded sections) - Anti-TLR8 antibody (AB53630)
  • IHC-P

Unknown

Immunohistochemistry (Formalin/PFA-fixed paraffin-embedded sections) - Anti-TLR8 antibody (AB53630)

ab53630 at 1/250 dilution staining TLR8 in human tonsil by Immunohistochemistry, Paraffin embedded tissue.

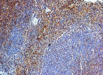
Immunohistochemistry (Formalin/PFA-fixed paraffin-embedded sections) - Anti-TLR8 antibody (AB53630)
  • IHC-P

Unknown

Immunohistochemistry (Formalin/PFA-fixed paraffin-embedded sections) - Anti-TLR8 antibody (AB53630)

ab53630 at 1/250 dilution staining TLR8 in mouse spleen by Immunohistochemistry, Paraffin embedded tissue.

Key facts

Host species

Goat

Clonality

Polyclonal

Isotype

IgG

Carrier free

No

Reacts with

Mouse, Human

Applications

IHC-P

applications

Immunogen

Synthetic Peptide within Human TLR8 aa 50-150. The exact immunogen used to generate this antibody is proprietary information.

Q9NR97

Reactivity data

{ "title": "Reactivity Data", "filters": { "stats": ["", "Species", "Dilution Info", "Notes"], "tabs": { "all-applications": {"fullname" : "All Applications", "shortname": "All Applications"}, "IHCP" : {"fullname" : "Immunohistochemistry (Formalin/PFA-fixed paraffin-embedded sections)", "shortname":"IHC-P"} }, "product-promise": { "all": "all", "testedAndGuaranteed": "tested", "guaranteed": "expected", "predicted": "predicted", "notRecommended": "not-recommended" } }, "values": { "Human": { "IHCP-species-checked": "testedAndGuaranteed", "IHCP-species-dilution-info": "", "IHCP-species-notes": "<p></p>" }, "Mouse": { "IHCP-species-checked": "testedAndGuaranteed", "IHCP-species-dilution-info": "", "IHCP-species-notes": "<p></p>" } } }

Properties and storage information

Form
Liquid
Purification technique
Affinity purification Immunogen
Storage buffer
pH: 7.2 Preservative: 0.1% Sodium azide Constituents: PBS, 0.812% Sodium chloride, 0.21% Tripotassium orthophosphate, 0.1% BSA
Shipped at conditions
Blue Ice
Appropriate short-term storage conditions
+4°C
Appropriate long-term storage conditions
-20°C
Aliquoting information
Upon delivery aliquot
Storage information
Avoid freeze / thaw cycle

Supplementary information

This supplementary information is collated from multiple sources and compiled automatically.

TLR8 also known as Toll-like receptor 8 is a member of the Toll-like receptor family and has a molecular mass of approximately 120 kDa. This receptor is mainly expressed in immune cells such as monocytes macrophages and dendritic cells. The receptor is located within endosomes and is responsible for recognizing single-stranded RNA (ssRNA) from viruses which leads to an immune response. TLR8 plays a part in detecting pathogens and activating innate immunity.
Biological function summary

TLR8 contributes to the immune system by playing a role in the innate immune response specifically in sensing viral components. TLR8 forms part of a larger receptor complex that includes MyD88 (myeloid differentiation primary response 88) an adaptor protein important for signaling processes within innate immunity. Upon recognizing ssRNA TLR8 initiates signaling cascades to trigger the release of inflammatory cytokines and other mediators that contribute to an antiviral response.

Pathways

TLR8 engages in the innate immune signaling pathway and the NF-kB pathway. These pathways are significant for the activation of immune responses and inflammation. MyD88 bridges TLR8 and downstream signaling events leading to the production and release of pro-inflammatory cytokines. In addition to MyD88 connections to molecules like IRAK4 illustrate how TLR8 signaling maintains a robust immune response to pathogen detection.

TLR8 is linked to autoimmune conditions and viral infections. The receptor's activation by viral components can contribute to chronic inflammation seen in autoimmune diseases such as systemic lupus erythematosus. Additionally aberrant TLR8 signaling is associated with increased susceptibility to certain viral infections where its relationship with MyD88 influences both protective and pathological responses in diseases. Understanding TLR8's function may unveil new therapeutic approaches to manage immune-related disorders.

Product protocols

For this product, it's our understanding that no specific protocols are required. You can visit:

Target data

Endosomal receptor that plays a key role in innate and adaptive immunity (PubMed : 25297876, PubMed : 32433612). Controls host immune response against pathogens through recognition of RNA degradation products specific to microorganisms that are initially processed by RNASET2 (PubMed : 31778653). Recognizes GU-rich single-stranded RNA (GU-rich RNA) derived from SARS-CoV-2, SARS-CoV-1 and HIV-1 viruses (PubMed : 33718825). Upon binding to agonists, undergoes dimerization that brings TIR domains from the two molecules into direct contact, leading to the recruitment of TIR-containing downstream adapter MYD88 through homotypic interaction (PubMed : 23520111, PubMed : 25599397, PubMed : 26929371, PubMed : 33718825). In turn, the Myddosome signaling complex is formed involving IRAK4, IRAK1, TRAF6, TRAF3 leading to activation of downstream transcription factors NF-kappa-B and IRF7 to induce pro-inflammatory cytokines and interferons, respectively (PubMed : 16737960, PubMed : 17932028, PubMed : 29155428).
See full target information TLR8

Publications (4)

Recent publications for all applications. Explore the full list and refine your search

Nature cancer 6:175-193 PubMed39849091

2025

Systemic IFN-I combined with topical TLR7/8 agonists promotes distant tumor suppression by c-Jun-dependent IL-12 expression in dendritic cells.

Applications

Unspecified application

Species

Unspecified reactive species

Martina Sanlorenzo,Philipp Novoszel,Igor Vujic,Tommaso Gastaldi,Martina Hammer,Ourania Fari,Cristiano De Sa Fernandes,Alina D Landau,Bilge V Göcen-Oguz,Martin Holcmann,Babak Monshi,Klemens Rappersberger,Agnes Csiszar,Maria Sibilia

Oral surgery, oral medicine, oral pathology and oral radiology 125:459-467.e2 PubMed29429903

2018

Increased infiltration of CD11 c/CD123 dendritic cell subsets and upregulation of TLR/IFN-α signaling participate in pathogenesis of oral lichen planus.

Applications

IHC-P

Species

Unspecified reactive species

Yufeng Wang,Shu Shang,Qianqian Sun,Junjun Chen,Guanhuan Du,Hong Nie,Xiaozhe Han,Guoyao Tang

Scientific reports 7:7365 PubMed28779087

2017

The Expression of Toll-like receptors in eutopic and ectopic endometrium and its implication in the inflammatory pathogenesis of adenomyosis.

Applications

Unspecified application

Species

Unspecified reactive species

Caixia Jiang,Chao Liu,Jing Guo,Li Chen,Ning Luo,Xiaoyan Qu,Weihong Yang,Qing Ren,Zhongping Cheng

PloS one 7:e34080 PubMed22479529

2012

Silencing of renal DNaseI in murine lupus nephritis imposes exposure of large chromatin fragments and activation of Toll like receptors and the Clec4e.

Applications

Unspecified application

Species

Unspecified reactive species

Dhivya Thiyagarajan,Silje Fismen,Natalya Seredkina,Søren Jacobsen,Thomas Elung-Jensen,Anne-Lise Kamper,Christopher Graham Fenton,Ole Petter Rekvig,Elin Synnøve Mortensen
View all publications

Product promise

We are committed to supporting your work with high-quality reagents, and we're here for you every step of the way. In the unlikely event that one of our products does not perform as expected, you're protected by our Product Promise.
For full details, please see our Terms & Conditions

Please note: All products are 'FOR RESEARCH USE ONLY. NOT FOR USE IN DIAGNOSTIC OR THERAPEUTIC PROCEDURES'.

For licensing inquiries, please contact partnerships@abcam.com