JavaScript is disabled in your browser. Please enable JavaScript to view this website.
AB260002

Anti-TLR8 antibody [EPR22848-74] - BSA and Azide free

Be the first to review this product! Submit a review

|

(1 Publication)

Rabbit Recombinant Monoclonal TLR8 antibody. Carrier free. Suitable for WB, IHC-P and reacts with Human samples. Cited in 1 publication.

View Alternative Names

CD288, UNQ249/PRO286, TLR8, Toll-like receptor 8

2 Images
Immunohistochemistry (Formalin/PFA-fixed paraffin-embedded sections) - Anti-TLR8 antibody [EPR22848-74] - BSA and Azide free (AB260002)
  • IHC-P

Unknown

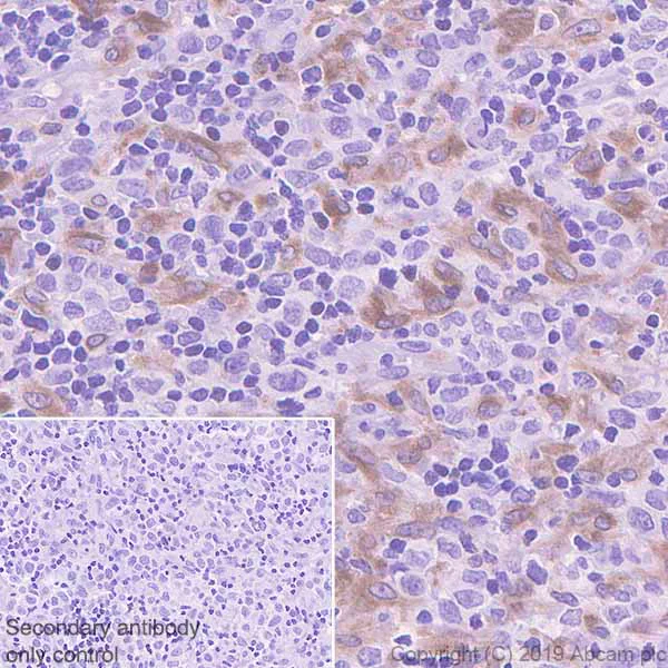
Immunohistochemistry (Formalin/PFA-fixed paraffin-embedded sections) - Anti-TLR8 antibody [EPR22848-74] - BSA and Azide free (AB260002)

Immunohistochemical analysis of paraffin-embedded human B-cell lymphoma tissue labeling TLR8 with ab228962 at 1/100 dilution followed by a ready to use Rabbit specific IHC polymer detection kit HRP/DAB (ab209101). Cytoplasmic staining on human B-cell lymphoma (PMID : 20800061) is observed. The section was incubated with ab228962 for 15 mins at RT. The immunostaining staining was performed on a Leica Biosystems BOND® RX instrument. Counterstained with hematoxylin.

Secondary antibody only control : Secondary antibody is a ready to use Rabbit specific IHC polymer detection kit HRP/DAB (ab209101).

Heat mediated antigen retrieval with Tris-EDTA buffer (pH 9.0, epitope retrieval solution 2) for 20 mins.

This data was developed using the same antibody clone in a different buffer formulation containing PBS, BSA, glycerol, and sodium azide (ab228962).

Immunohistochemistry (Formalin/PFA-fixed paraffin-embedded sections) - Anti-TLR8 antibody [EPR22848-74] - BSA and Azide free (AB260002)
  • IHC-P

Unknown

Immunohistochemistry (Formalin/PFA-fixed paraffin-embedded sections) - Anti-TLR8 antibody [EPR22848-74] - BSA and Azide free (AB260002)

Immunohistochemical analysis of paraffin-embedded human spleen tissue labeling TLR8 with ab228962 at 1/100 dilution followed by a ready to use Rabbit specific IHC polymer detection kit HRP/DAB (ab209101). Positive staining on human spleen (PMID : 20811154) is observed. The section was incubated with ab228962 for 15 mins at RT. The immunostaining staining was performed on a Leica Biosystems BOND® RX instrument. Counterstained with hematoxylin.

Secondary antibody only control : Secondary antibody is a ready to use Rabbit specific IHC polymer detection kit HRP/DAB (ab209101).

Heat mediated antigen retrieval with Tris-EDTA buffer (pH 9.0, epitope retrieval solution 2) for 20 mins.

This data was developed using the same antibody clone in a different buffer formulation containing PBS, BSA, glycerol, and sodium azide (ab228962).

Key facts

Host species

Rabbit

Clonality

Monoclonal

Clone number

EPR22848-74

Isotype

IgG

Carrier free

Yes

Reacts with

Human

Applications

WB, IHC-P

applications

Immunogen

The exact immunogen used to generate this antibody is proprietary information.

Reactivity data

{ "title": "Reactivity Data", "filters": { "stats": ["", "Species", "Dilution Info", "Notes"], "tabs": { "all-applications": {"fullname" : "All Applications", "shortname": "All Applications"}, "IP" : {"fullname" : "Immunoprecipitation", "shortname":"IP"}, "FlowCyt" : {"fullname" : "Flow Cytometry", "shortname":"Flow Cyt"}, "WB" : {"fullname" : "Western blot", "shortname":"WB"}, "ICCIF" : {"fullname" : "Immunocytochemistry/ Immunofluorescence", "shortname":"ICC/IF"}, "IHCP" : {"fullname" : "Immunohistochemistry (Formalin/PFA-fixed paraffin-embedded sections)", "shortname":"IHC-P"} }, "product-promise": { "all": "all", "testedAndGuaranteed": "tested", "guaranteed": "expected", "predicted": "predicted", "notRecommended": "not-recommended" } }, "values": { "Human": { "IP-species-checked": "notRecommended", "IP-species-dilution-info": "", "IP-species-notes": "<p></p>", "FlowCyt-species-checked": "notRecommended", "FlowCyt-species-dilution-info": "", "FlowCyt-species-notes": "<p></p>", "WB-species-checked": "guaranteed", "WB-species-dilution-info": "", "WB-species-notes": "<p></p>", "ICCIF-species-checked": "notRecommended", "ICCIF-species-dilution-info": "", "ICCIF-species-notes": "<p></p>", "IHCP-species-checked": "testedAndGuaranteed", "IHCP-species-dilution-info": "", "IHCP-species-notes": "<p></p>" } } }

Product details

ab260002 is the carrier-free version of ab228962.

Patented technology
Our RabMAb® technology is a patented hybridoma-based technology for making rabbit monoclonal antibodies. For details on our patents, please refer to RabMAb® patents.

What are the advantages of a recombinant monoclonal antibody?
This product is a recombinant monoclonal antibody, which offers several advantages including:

  • - High batch-to-batch consistency and reproducibility
  • - Improved sensitivity and specificity
  • - Long-term security of supply
  • - Animal-free batch production

For more information, read more on recombinant antibodies.

Conjugation ready
Our carrier-free antibodies are typically supplied in a PBS-only formulation, purified and free of BSA, sodium azide and glycerol. This conjugation-ready format is designed for use with fluorochromes, metal isotopes, oligonucleotides, and enzymes, which makes them ideal for antibody labelling, functional and cell-based assays, flow-based assays (e.g. mass cytometry) and Multiplex Imaging applications.

Use our conjugation kits for antibody conjugates that are ready-to-use in as little as 20 minutes with 1 minute hands-on-time and 100% antibody recovery: available for fluorescent dyes, HRP, biotin and gold.

Compatibility
This product is compatible with the Maxpar® Antibody Labeling Kit from Fluidigm, without the need for antibody preparation. Maxpar® is a trademark of Fluidigm Canada Inc.

Properties and storage information

Form
Liquid
Purification technique
Affinity purification Protein A
Storage buffer
pH: 7.2 - 7.4 Constituents: PBS
Shipped at conditions
Blue Ice
Appropriate short-term storage conditions
+4°C
Appropriate long-term storage conditions
+4°C
Storage information
Do Not Freeze

Supplementary information

This supplementary information is collated from multiple sources and compiled automatically.

TLR8 also known as Toll-like receptor 8 is a member of the Toll-like receptor family and has a molecular mass of approximately 120 kDa. This receptor is mainly expressed in immune cells such as monocytes macrophages and dendritic cells. The receptor is located within endosomes and is responsible for recognizing single-stranded RNA (ssRNA) from viruses which leads to an immune response. TLR8 plays a part in detecting pathogens and activating innate immunity.
Biological function summary

TLR8 contributes to the immune system by playing a role in the innate immune response specifically in sensing viral components. TLR8 forms part of a larger receptor complex that includes MyD88 (myeloid differentiation primary response 88) an adaptor protein important for signaling processes within innate immunity. Upon recognizing ssRNA TLR8 initiates signaling cascades to trigger the release of inflammatory cytokines and other mediators that contribute to an antiviral response.

Pathways

TLR8 engages in the innate immune signaling pathway and the NF-kB pathway. These pathways are significant for the activation of immune responses and inflammation. MyD88 bridges TLR8 and downstream signaling events leading to the production and release of pro-inflammatory cytokines. In addition to MyD88 connections to molecules like IRAK4 illustrate how TLR8 signaling maintains a robust immune response to pathogen detection.

TLR8 is linked to autoimmune conditions and viral infections. The receptor's activation by viral components can contribute to chronic inflammation seen in autoimmune diseases such as systemic lupus erythematosus. Additionally aberrant TLR8 signaling is associated with increased susceptibility to certain viral infections where its relationship with MyD88 influences both protective and pathological responses in diseases. Understanding TLR8's function may unveil new therapeutic approaches to manage immune-related disorders.

Product protocols

For this product, it's our understanding that no specific protocols are required. You can visit:

Target data

Endosomal receptor that plays a key role in innate and adaptive immunity (PubMed : 25297876, PubMed : 32433612). Controls host immune response against pathogens through recognition of RNA degradation products specific to microorganisms that are initially processed by RNASET2 (PubMed : 31778653). Recognizes GU-rich single-stranded RNA (GU-rich RNA) derived from SARS-CoV-2, SARS-CoV-1 and HIV-1 viruses (PubMed : 33718825). Upon binding to agonists, undergoes dimerization that brings TIR domains from the two molecules into direct contact, leading to the recruitment of TIR-containing downstream adapter MYD88 through homotypic interaction (PubMed : 23520111, PubMed : 25599397, PubMed : 26929371, PubMed : 33718825). In turn, the Myddosome signaling complex is formed involving IRAK4, IRAK1, TRAF6, TRAF3 leading to activation of downstream transcription factors NF-kappa-B and IRF7 to induce pro-inflammatory cytokines and interferons, respectively (PubMed : 16737960, PubMed : 17932028, PubMed : 29155428).
See full target information TLR8

Publications (1)

Recent publications for all applications. Explore the full list and refine your search

Cellular and molecular gastroenterology and hepatology 12:395-425 PubMed33676046

2021

Helicobacter pylori-Induced Rev-erbα Fosters Gastric Bacteria Colonization by Impairing Host Innate and Adaptive Defense.

Applications

Unspecified application

Species

Unspecified reactive species

Fang-Yuan Mao,Yi-Pin Lv,Chuan-Jie Hao,Yong-Sheng Teng,Yu-Gang Liu,Ping Cheng,Shi-Ming Yang,Weisan Chen,Tao Liu,Quan-Ming Zou,Rui Xie,Jing-Yu Xu,Yuan Zhuang
View all publications

Product promise

We are committed to supporting your work with high-quality reagents, and we're here for you every step of the way. In the unlikely event that one of our products does not perform as expected, you're protected by our Product Promise.
For full details, please see our Terms & Conditions

Please note: All products are 'FOR RESEARCH USE ONLY. NOT FOR USE IN DIAGNOSTIC OR THERAPEUTIC PROCEDURES'.

For licensing inquiries, please contact partnerships@abcam.com