JavaScript is disabled in your browser. Please enable JavaScript to view this website.
AB236521

Anti-TLR8 antibody [OTI4F3]

Be the first to review this product! Submit a review

|

(1 Publication)

Mouse Monoclonal TLR8 antibody. Suitable for WB, IHC-P and reacts with Human samples. Cited in 1 publication. Immunogen corresponding to Recombinant Fragment Protein within Human TLR8 aa 1-200.

View Alternative Names

CD288, UNQ249/PRO286, TLR8, Toll-like receptor 8

3 Images
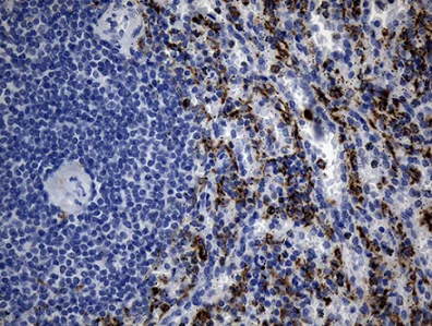
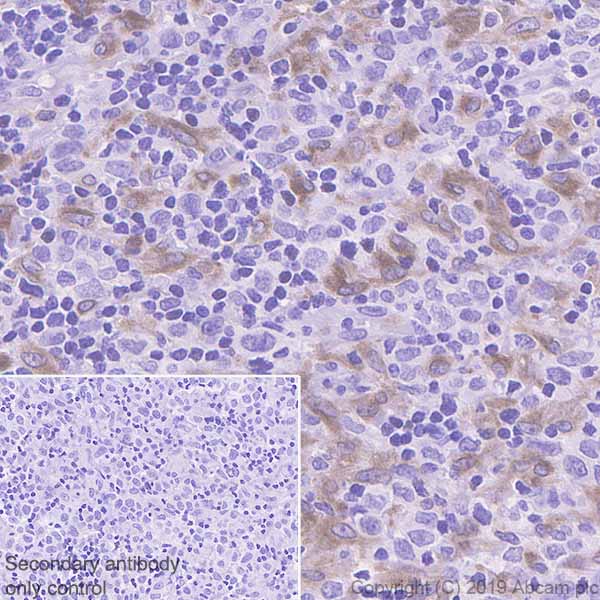
Immunohistochemistry (Formalin/PFA-fixed paraffin-embedded sections) - Anti-TLR8 antibody [OTI4F3] (AB236521)
  • IHC-P

Supplier Data

Immunohistochemistry (Formalin/PFA-fixed paraffin-embedded sections) - Anti-TLR8 antibody [OTI4F3] (AB236521)

Paraffin-embedded human spleen tissue stained for TLR8 using ab236521 at 1/2000 dilution in immunohistochemical analysis.

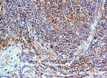
Immunohistochemistry (Formalin/PFA-fixed paraffin-embedded sections) - Anti-TLR8 antibody [OTI4F3] (AB236521)
  • IHC-P

Supplier Data

Immunohistochemistry (Formalin/PFA-fixed paraffin-embedded sections) - Anti-TLR8 antibody [OTI4F3] (AB236521)

Paraffin-embedded human spleen carcinoma tissue stained for TLR8 using ab236521 at 1/2000 dilution in immunohistochemical analysis.

Western blot - Anti-TLR8 antibody [OTI4F3] (AB236521)
  • WB

Supplier Data

Western blot - Anti-TLR8 antibody [OTI4F3] (AB236521)

All lanes:

Western blot - Anti-TLR8 antibody [OTI4F3] (ab236521) at 1/2000 dilution

Lane 1:

pCMV6-ENTRY control cDNA transfected HEK-293T (Human epithelial cell line from embryonic kidney transformed with large T antigen) cell lysate at 5 µg

Lane 2:

pCMV6-ENTRY TLR8 cDNA transfected HEK-293T (Human epithelial cell line from embryonic kidney transformed with large T antigen) cell lysate at 5 µg

Predicted band size: 120 kDa

false

Key facts

Host species

Mouse

Clonality

Monoclonal

Clone number

OTI4F3

Isotype

IgG2a

Carrier free

No

Reacts with

Human

Applications

WB, IHC-P

applications

Immunogen

Recombinant Fragment Protein within Human TLR8 aa 1-200. The exact immunogen used to generate this antibody is proprietary information.

Q9NR97

Reactivity data

{ "title": "Reactivity Data", "filters": { "stats": ["", "Species", "Dilution Info", "Notes"], "tabs": { "all-applications": {"fullname" : "All Applications", "shortname": "All Applications"}, "WB" : {"fullname" : "Western blot", "shortname":"WB"}, "IHCP" : {"fullname" : "Immunohistochemistry (Formalin/PFA-fixed paraffin-embedded sections)", "shortname":"IHC-P"} }, "product-promise": { "all": "all", "testedAndGuaranteed": "tested", "guaranteed": "expected", "predicted": "predicted", "notRecommended": "not-recommended" } }, "values": { "Human": { "WB-species-checked": "testedAndGuaranteed", "WB-species-dilution-info": "1/2000", "WB-species-notes": "<p></p>", "IHCP-species-checked": "testedAndGuaranteed", "IHCP-species-dilution-info": "1/2000", "IHCP-species-notes": "<p>Heat-induced epitope retrieval by 1 mM EDTA in 10 mM Tris buffer (pH 8.5) at 120°C for 3 minutes.</p>" } } }

Properties and storage information

Form
Liquid
Purification technique
Affinity purification
Purification notes
Purified from cell culture supernatant.
Storage buffer
pH: 7.3 Preservative: 0.02% Sodium azide Constituents: PBS, 50% Glycerol (glycerin, glycerine), 1% BSA
Shipped at conditions
Blue Ice
Appropriate short-term storage duration
1-2 weeks
Appropriate short-term storage conditions
+4°C
Appropriate long-term storage conditions
-20°C
Aliquoting information
Upon delivery aliquot
Storage information
Avoid freeze / thaw cycle

Supplementary information

This supplementary information is collated from multiple sources and compiled automatically.

TLR8 also known as Toll-like receptor 8 is a member of the Toll-like receptor family and has a molecular mass of approximately 120 kDa. This receptor is mainly expressed in immune cells such as monocytes macrophages and dendritic cells. The receptor is located within endosomes and is responsible for recognizing single-stranded RNA (ssRNA) from viruses which leads to an immune response. TLR8 plays a part in detecting pathogens and activating innate immunity.
Biological function summary

TLR8 contributes to the immune system by playing a role in the innate immune response specifically in sensing viral components. TLR8 forms part of a larger receptor complex that includes MyD88 (myeloid differentiation primary response 88) an adaptor protein important for signaling processes within innate immunity. Upon recognizing ssRNA TLR8 initiates signaling cascades to trigger the release of inflammatory cytokines and other mediators that contribute to an antiviral response.

Pathways

TLR8 engages in the innate immune signaling pathway and the NF-kB pathway. These pathways are significant for the activation of immune responses and inflammation. MyD88 bridges TLR8 and downstream signaling events leading to the production and release of pro-inflammatory cytokines. In addition to MyD88 connections to molecules like IRAK4 illustrate how TLR8 signaling maintains a robust immune response to pathogen detection.

TLR8 is linked to autoimmune conditions and viral infections. The receptor's activation by viral components can contribute to chronic inflammation seen in autoimmune diseases such as systemic lupus erythematosus. Additionally aberrant TLR8 signaling is associated with increased susceptibility to certain viral infections where its relationship with MyD88 influences both protective and pathological responses in diseases. Understanding TLR8's function may unveil new therapeutic approaches to manage immune-related disorders.

Product protocols

For this product, it's our understanding that no specific protocols are required. You can visit:

Target data

Endosomal receptor that plays a key role in innate and adaptive immunity (PubMed : 25297876, PubMed : 32433612). Controls host immune response against pathogens through recognition of RNA degradation products specific to microorganisms that are initially processed by RNASET2 (PubMed : 31778653). Recognizes GU-rich single-stranded RNA (GU-rich RNA) derived from SARS-CoV-2, SARS-CoV-1 and HIV-1 viruses (PubMed : 33718825). Upon binding to agonists, undergoes dimerization that brings TIR domains from the two molecules into direct contact, leading to the recruitment of TIR-containing downstream adapter MYD88 through homotypic interaction (PubMed : 23520111, PubMed : 25599397, PubMed : 26929371, PubMed : 33718825). In turn, the Myddosome signaling complex is formed involving IRAK4, IRAK1, TRAF6, TRAF3 leading to activation of downstream transcription factors NF-kappa-B and IRF7 to induce pro-inflammatory cytokines and interferons, respectively (PubMed : 16737960, PubMed : 17932028, PubMed : 29155428).
See full target information TLR8

Publications (1)

Recent publications for all applications. Explore the full list and refine your search

Haematologica 105:136-147 PubMed31018977

2019

The vascular bone marrow niche influences outcome in chronic myeloid leukemia the E-selectin - SCL/TAL1 - CD44 axis.

Applications

Unspecified application

Species

Unspecified reactive species

Parimala Sonika Godavarthy,Rahul Kumar,Stefanie C Herkt,Raquel S Pereira,Nina Hayduk,Eva S Weissenberger,Djamel Aggoune,Yosif Manavski,Tina Lucas,Kuan-Ting Pan,Jenna M Voutsinas,Qian Wu,Martin C Müller,Susanne Saussele,Thomas Oellerich,Vivian G Oehler,Joern Lausen,Daniela S Krause
View all publications

Product promise

We are committed to supporting your work with high-quality reagents, and we're here for you every step of the way. In the unlikely event that one of our products does not perform as expected, you're protected by our Product Promise.
For full details, please see our Terms & Conditions

Please note: All products are 'FOR RESEARCH USE ONLY. NOT FOR USE IN DIAGNOSTIC OR THERAPEUTIC PROCEDURES'.

For licensing inquiries, please contact partnerships@abcam.com