JavaScript is disabled in your browser. Please enable JavaScript to view this website.
AB250911

Anti-TLR9 antibody [EPR14964-2] - BSA and Azide free

  • BOND RX™ Validated
  • RabMAb
  • KO Validated
  • Recombinant
  • What is this?

Be the first to review this product! Submit a review

|

(1 Publication)

Knockout Tested Rabbit Recombinant Monoclonal TLR9 antibody. Carrier free. Suitable for WB, IHC-P and reacts with Human samples. Cited in 1 publication.

View Alternative Names

CD289, UNQ5798/PRO19605, TLR9, Toll-like receptor 9

4 Images
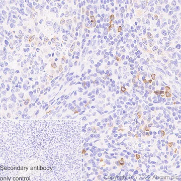
Immunohistochemistry (Formalin/PFA-fixed paraffin-embedded sections) - Anti-TLR9 antibody [EPR14964-2] - BSA and Azide free (AB250911)
  • IHC-P

Lab

Immunohistochemistry (Formalin/PFA-fixed paraffin-embedded sections) - Anti-TLR9 antibody [EPR14964-2] - BSA and Azide free (AB250911)

Immunohistochemistry analysis of paraffin-embedded Human breast carcinoma tissue sections labelling TLR9 with ab187148 at 1/1000 dilution. The section was incubated with ab187148 for 30 mins at room temperature. Ready to use LeicaDS9800 (Bond™ Polymer Refine Detection) was used as the secondary antibody. Sections were counterstained with Hematoxylin. Heat mediated antigen retrieval with Tris-EDTA buffer (pH 9.0, epitope retrieval solution 2) for 20 mins. Positive staining on some immune stroma cells in human breast carcinoma tissue. The immunostaining was performed on a Leica Biosystems BOND® RX instrument. This data was developed using ab187148, the same antibody clone in a different buffer formulation.

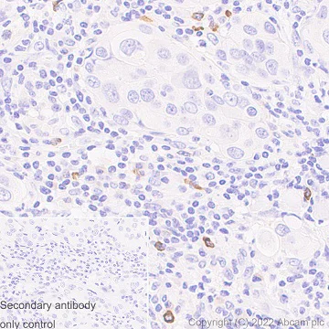
Immunohistochemistry (Formalin/PFA-fixed paraffin-embedded sections) - Anti-TLR9 antibody [EPR14964-2] - BSA and Azide free (AB250911)
  • IHC-P

Lab

Immunohistochemistry (Formalin/PFA-fixed paraffin-embedded sections) - Anti-TLR9 antibody [EPR14964-2] - BSA and Azide free (AB250911)

Immunohistochemistry analysis of paraffin-embedded Human tonsil tissue sections labelling TLR9 with ab187148 at 1/1000 dilution. The section was incubated with ab187148 for 30 mins at room temperature. Ready to use LeicaDS9800 (Bond™ Polymer Refine Detection) was used as the secondary antibody. Sections were counterstained with Hematoxylin. Heat mediated antigen retrieval with Tris-EDTA buffer (pH 9.0, epitope retrieval solution 2) for 20 mins. Positive staining on some immune cells in human tonsil tissue. The immunostaining was performed on a Leica Biosystems BOND® RX instrument. This data was developed using ab187148, the same antibody clone in a different buffer formulation.

Western blot - Anti-TLR9 antibody [EPR14964-2] - BSA and Azide free (AB250911)
  • WB

Supplier Data

Western blot - Anti-TLR9 antibody [EPR14964-2] - BSA and Azide free (AB250911)

This data was developed using ab187148, the same antibody clone in a different buffer formulation.

Blocking and dilution buffer : 5% NFDM/TBST.

All lanes:

Western blot - Anti-TLR9 antibody [EPR14964-2] (<a href='/en-us/products/primary-antibodies/tlr9-antibody-epr14964-2-ab187148'>ab187148</a>) at 1/5000 dilution

Lane 1:

Daudi cell lysate at 10 µg

Lane 2:

Raji cell lysate at 10 µg

Lane 3:

Ramos cell lysate at 10 µg

Secondary

All lanes:

Goat Anti-Rabbit IgG, (H+L), Peroxidase conjugated at 1/1000 dilution

Predicted band size: 115 kDa

false

Western blot - Anti-TLR9 antibody [EPR14964-2] - BSA and Azide free (AB250911)
  • WB

Lab

Western blot - Anti-TLR9 antibody [EPR14964-2] - BSA and Azide free (AB250911)

This data was developed using ab187148, the same antibody clone in a different buffer formulation. False colour image of Western blot : Anti-TLR9 antibody [EPR14964-2] staining at 1/1000 dilution, shown in green; Mouse anti-GAPDH antibody [6C5] (ab8245) loading control staining at 1/20000 dilution, shown in red. In Western blot, ab187148 was shown to bind specifically to TLR9. A band was observed at 140 kDa in wild-type Raji cell lysates with no signal observed at this size in TLR9 knockout cell line ab280879 (knockout cell lysate ab282939). To generate this image, wild-type and TLR9 knockout Raji cell lysates were analysed. First, samples were run on an SDS-PAGE gel then transferred onto a nitrocellulose membrane. Membranes were blocked in fluorescent western blot (TBS-based) blocking solution before incubation with primary antibodies overnight at 4 °C. Blots were washed four times in TBS-T, incubated with secondary antibodies for 1 h at room temperature, washed again four times then imaged. Secondary antibodies used were Goat anti-Rabbit IgG H&L 800CW and Goat anti-Mouse IgG H&L 680RD at 1/20000 dilution.

All lanes:

Western blot - Anti-TLR9 antibody [EPR14964-2] (<a href='/en-us/products/primary-antibodies/tlr9-antibody-epr14964-2-ab187148'>ab187148</a>) at 1/1000 dilution

Lane 1:

Wild-type Raji cell lysate at 20 µg

Lane 2:

TLR9 knockout Raji cell lysate at 20 µg

Predicted band size: 115 kDa

Observed band size: 140 kDa

false

Key facts

Host species

Rabbit

Clonality

Monoclonal

Clone number

EPR14964-2

Isotype

IgG

Carrier free

Yes

Reacts with

Human

Applications

WB, IHC-P

applications

Immunogen

The exact immunogen used to generate this antibody is proprietary information.

Reactivity data

{ "title": "Reactivity Data", "filters": { "stats": ["", "Species", "Dilution Info", "Notes"], "tabs": { "all-applications": {"fullname" : "All Applications", "shortname": "All Applications"}, "WB" : {"fullname" : "Western blot", "shortname":"WB"}, "IHCP" : {"fullname" : "Immunohistochemistry (Formalin/PFA-fixed paraffin-embedded sections)", "shortname":"IHC-P"}, "FlowCytIntra" : {"fullname" : "Flow Cytometry (Intracellular)", "shortname":"Flow Cyt (Intra)"}, "ICCIF" : {"fullname" : "Immunocytochemistry/ Immunofluorescence", "shortname":"ICC/IF"} }, "product-promise": { "all": "all", "testedAndGuaranteed": "tested", "guaranteed": "expected", "predicted": "predicted", "notRecommended": "not-recommended" } }, "values": { "Human": { "WB-species-checked": "testedAndGuaranteed", "WB-species-dilution-info": "", "WB-species-notes": "<p></p>", "IHCP-species-checked": "testedAndGuaranteed", "IHCP-species-dilution-info": "", "IHCP-species-notes": "<p></p>", "FlowCytIntra-species-checked": "notRecommended", "FlowCytIntra-species-dilution-info": "", "FlowCytIntra-species-notes": "<p></p>", "ICCIF-species-checked": "notRecommended", "ICCIF-species-dilution-info": "", "ICCIF-species-notes": "<p></p>" } } }

Product details

ab250911 is the carrier-free version of ab187148.

Patented technology
Our RabMAb® technology is a patented hybridoma-based technology for making rabbit monoclonal antibodies. For details on our patents, please refer to RabMAb® patents.

What are the advantages of a recombinant monoclonal antibody?
This product is a recombinant monoclonal antibody, which offers several advantages including:

  • - High batch-to-batch consistency and reproducibility
  • - Improved sensitivity and specificity
  • - Long-term security of supply
  • - Animal-free batch production

For more information, read more on recombinant antibodies.

Conjugation ready
Our carrier-free antibodies are typically supplied in a PBS-only formulation, purified and free of BSA, sodium azide and glycerol. This conjugation-ready format is designed for use with fluorochromes, metal isotopes, oligonucleotides, and enzymes, which makes them ideal for antibody labelling, functional and cell-based assays, flow-based assays (e.g. mass cytometry) and Multiplex Imaging applications.

Use our conjugation kits for antibody conjugates that are ready-to-use in as little as 20 minutes with 1 minute hands-on-time and 100% antibody recovery: available for fluorescent dyes, HRP, biotin and gold.

Compatibility
This product is compatible with the Maxpar® Antibody Labeling Kit from Fluidigm, without the need for antibody preparation. Maxpar® is a trademark of Fluidigm Canada Inc.

Properties and storage information

Form
Liquid
Storage buffer
pH: 7.2 - 7.4 Constituents: PBS
Shipped at conditions
Blue Ice
Appropriate short-term storage conditions
+4°C
Appropriate long-term storage conditions
+4°C
Storage information
Do Not Freeze

Supplementary information

This supplementary information is collated from multiple sources and compiled automatically.

TLR9 also known as Toll-like receptor 9 is a protein that detects unmethylated CpG motifs which are common in bacterial and viral DNA. This protein weighs about 116 kDa. It mainly expresses in plasmacytoid dendritic cells B cells and in epithelial cells of various tissues. TLR9 locates in the endoplasmic reticulum and translocates to endolysosomes upon activation which is essential for its detection function.
Biological function summary

TLR9 recognizes and binds to microbial DNA triggering an immune response. It is part of the Toll-like receptor family which plays an important role in the innate immune system. TLR9 engages in the formation of complexes with other molecules such as MyD88 an adaptor protein to propagate downstream signaling. This leads to the activation of transcription factors that stimulate cytokine production promoting inflammation and defense against infections.

Pathways

TLR9 participates significantly in the NF-kB activation pathway and the type I interferon signaling cascade. During these processes TLR9 interacts with proteins like IRAK4 and TRAF6. In the NF-kB pathway TLR9's role in the early immune response is coordinated with other Toll-like receptors to detect pathogen-related patterns and initiate adaptive immunity. Its influence on type I interferon signaling facilitates antiviral defense mechanisms.

TLR9's malfunction or altered expression associates with systemic lupus erythematosus (SLE) and cancer. In SLE overactivation of TLR9 leads to autoantibody production which worsens the disease. This can involve the protein BAFF which supports B cell proliferation. In cancer TLR9 can influence tumor growth and the tumor microenvironment affecting disease progression. Its modulation is being researched for therapeutic interventions in these conditions.

Product protocols

For this product, it's our understanding that no specific protocols are required. You can visit:

Target data

Key component of innate and adaptive immunity. TLRs (Toll-like receptors) control host immune response against pathogens through recognition of molecular patterns specific to microorganisms. TLR9 is a nucleotide-sensing TLR which is activated by unmethylated cytidine-phosphate-guanosine (CpG) dinucleotides (PubMed : 14716310). Acts via MYD88 and TRAF6, leading to NF-kappa-B activation, cytokine secretion and the inflammatory response (PubMed : 11564765, PubMed : 17932028). Controls lymphocyte response to Helicobacter infection (By similarity). Upon CpG stimulation, induces B-cell proliferation, activation, survival and antibody production (PubMed : 23857366).
See full target information TLR9

Publications (1)

Recent publications for all applications. Explore the full list and refine your search

Journal of radiation research 64:833-841 PubMed37439405

2023

Expression of TMEM59L associated with radiosensitive in glioblastoma.

Applications

Unspecified application

Species

Unspecified reactive species

Dezhi Gao,Peng Wang,Lin Zhi,Shibin Sun,Xiaoguang Qiu,Yanwei Liu
View all publications

Product promise

We are committed to supporting your work with high-quality reagents, and we're here for you every step of the way. In the unlikely event that one of our products does not perform as expected, you're protected by our Product Promise.
For full details, please see our Terms & Conditions

Please note: All products are 'FOR RESEARCH USE ONLY. NOT FOR USE IN DIAGNOSTIC OR THERAPEUTIC PROCEDURES'.

For licensing inquiries, please contact partnerships@abcam.com