JavaScript is disabled in your browser. Please enable JavaScript to view this website.
AB227004

Anti-TLR9 antibody - N-terminal

Be the first to review this product! Submit a review

|

(1 Publication)

Rabbit Polyclonal TLR9 antibody. N-terminal. Suitable for WB, IHC-P and reacts with Human samples. Cited in 1 publication. Immunogen corresponding to Synthetic Peptide within Human TLR9.

View Alternative Names

CD289, UNQ5798/PRO19605, TLR9, Toll-like receptor 9

3 Images
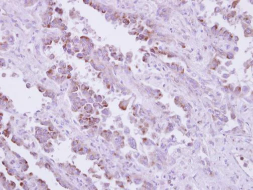
Immunohistochemistry (Formalin/PFA-fixed paraffin-embedded sections) - Anti-TLR9 antibody - N-terminal (AB227004)
  • IHC-P

Supplier Data

Immunohistochemistry (Formalin/PFA-fixed paraffin-embedded sections) - Anti-TLR9 antibody - N-terminal (AB227004)

Paraffin-embedded human lung cancer tissue stained for TLR9 using ab227004 at 1/250 dilution in immunohistochemical analysis.

Western blot - Anti-TLR9 antibody - N-terminal (AB227004)
  • WB

Supplier Data

Western blot - Anti-TLR9 antibody - N-terminal (AB227004)

7.5% SDS PAGE gel.

All lanes:

Western blot - Anti-TLR9 antibody - N-terminal (ab227004) at 1/1000 dilution

All lanes:

THP-1 (human monocytic leukemia cell line) whole cell lysate at 30 µg

Predicted band size: 115 kDa

false

Western blot - Anti-TLR9 antibody - N-terminal (AB227004)
  • WB

Supplier Data

Western blot - Anti-TLR9 antibody - N-terminal (AB227004)

7.5% SDS PAGE gel.

All lanes:

Western blot - Anti-TLR9 antibody - N-terminal (ab227004) at 1/2000 dilution

Lane 1:

Non-transfected HEK-293T (human epithelial cell line from embryonic kidney transformed with large T antigen) cell lysate at 30 µg

Lane 2:

TLR9 transfected HEK-293T (human epithelial cell line from embryonic kidney transformed with large T antigen) cell lysate at 30 µg

Predicted band size: 115 kDa

false

Key facts

Host species

Rabbit

Clonality

Polyclonal

Isotype

IgG

Carrier free

No

Reacts with

Human

Applications

IHC-P, WB

applications

Immunogen

Synthetic Peptide within Human TLR9. The exact immunogen used to generate this antibody is proprietary information.

Q9NR96

Reactivity data

{ "title": "Reactivity Data", "filters": { "stats": ["", "Species", "Dilution Info", "Notes"], "tabs": { "all-applications": {"fullname" : "All Applications", "shortname": "All Applications"}, "WB" : {"fullname" : "Western blot", "shortname":"WB"}, "IHCP" : {"fullname" : "Immunohistochemistry (Formalin/PFA-fixed paraffin-embedded sections)", "shortname":"IHC-P"} }, "product-promise": { "all": "all", "testedAndGuaranteed": "tested", "guaranteed": "expected", "predicted": "predicted", "notRecommended": "not-recommended" } }, "values": { "Human": { "WB-species-checked": "testedAndGuaranteed", "WB-species-dilution-info": "1/500 - 1/3000", "WB-species-notes": "<p></p>", "IHCP-species-checked": "testedAndGuaranteed", "IHCP-species-dilution-info": "1/100 - 1/1000", "IHCP-species-notes": "<p></p>" }, "Rhesus monkey": { "WB-species-checked": "predicted", "WB-species-dilution-info": "", "WB-species-notes": "", "IHCP-species-checked": "predicted", "IHCP-species-dilution-info": "", "IHCP-species-notes": "" } } }

Properties and storage information

Form
Liquid
Purification technique
Affinity purification Immunogen
Storage buffer
pH: 7 Preservative: 0.01% Thimerosal (merthiolate) Constituents: 10% Glycerol (glycerin, glycerine), 1.21% Tris, 0.75% Glycine
Shipped at conditions
Blue Ice
Appropriate short-term storage duration
1-2 weeks
Appropriate short-term storage conditions
+4°C
Appropriate long-term storage conditions
-20°C
Aliquoting information
Upon delivery aliquot
Storage information
Avoid freeze / thaw cycle

Supplementary information

This supplementary information is collated from multiple sources and compiled automatically.

TLR9 also known as Toll-like receptor 9 is a protein that detects unmethylated CpG motifs which are common in bacterial and viral DNA. This protein weighs about 116 kDa. It mainly expresses in plasmacytoid dendritic cells B cells and in epithelial cells of various tissues. TLR9 locates in the endoplasmic reticulum and translocates to endolysosomes upon activation which is essential for its detection function.
Biological function summary

TLR9 recognizes and binds to microbial DNA triggering an immune response. It is part of the Toll-like receptor family which plays an important role in the innate immune system. TLR9 engages in the formation of complexes with other molecules such as MyD88 an adaptor protein to propagate downstream signaling. This leads to the activation of transcription factors that stimulate cytokine production promoting inflammation and defense against infections.

Pathways

TLR9 participates significantly in the NF-kB activation pathway and the type I interferon signaling cascade. During these processes TLR9 interacts with proteins like IRAK4 and TRAF6. In the NF-kB pathway TLR9's role in the early immune response is coordinated with other Toll-like receptors to detect pathogen-related patterns and initiate adaptive immunity. Its influence on type I interferon signaling facilitates antiviral defense mechanisms.

TLR9's malfunction or altered expression associates with systemic lupus erythematosus (SLE) and cancer. In SLE overactivation of TLR9 leads to autoantibody production which worsens the disease. This can involve the protein BAFF which supports B cell proliferation. In cancer TLR9 can influence tumor growth and the tumor microenvironment affecting disease progression. Its modulation is being researched for therapeutic interventions in these conditions.

Product protocols

For this product, it's our understanding that no specific protocols are required. You can visit:

Target data

Key component of innate and adaptive immunity. TLRs (Toll-like receptors) control host immune response against pathogens through recognition of molecular patterns specific to microorganisms. TLR9 is a nucleotide-sensing TLR which is activated by unmethylated cytidine-phosphate-guanosine (CpG) dinucleotides (PubMed : 14716310). Acts via MYD88 and TRAF6, leading to NF-kappa-B activation, cytokine secretion and the inflammatory response (PubMed : 11564765, PubMed : 17932028). Controls lymphocyte response to Helicobacter infection (By similarity). Upon CpG stimulation, induces B-cell proliferation, activation, survival and antibody production (PubMed : 23857366).
See full target information TLR9

Publications (1)

Recent publications for all applications. Explore the full list and refine your search

iScience 28:112634 PubMed40502711

2025

Cytohesin-4/ARF6 facilitates the progression of acute myeloid leukemia through activating PIK3R5/PI3K/AKT pathway.

Applications

Unspecified application

Species

Unspecified reactive species

Xiao-Fen Qiu,Cheng-Ming He,Yan-Mei Zeng,Xiao-Ling Deng,Guo-Lin Liang,Ming-Xing Zhong,Min Zou,Xiu-Juan Xiong,Jing-Dong Zhang,Yan Ye,Qing Niu,Xiao-Li Chen
View all publications

Product promise

We are committed to supporting your work with high-quality reagents, and we're here for you every step of the way. In the unlikely event that one of our products does not perform as expected, you're protected by our Product Promise.
For full details, please see our Terms & Conditions

Please note: All products are 'FOR RESEARCH USE ONLY. NOT FOR USE IN DIAGNOSTIC OR THERAPEUTIC PROCEDURES'.

For licensing inquiries, please contact partnerships@abcam.com