JavaScript is disabled in your browser. Please enable JavaScript to view this website.
AB245332

Anti-TLS/FUS antibody

Be the first to review this product! Submit a review

|

(2 Publications)

Rabbit Polyclonal TLS/FUS antibody. Suitable for IHC-P, IP, WB and reacts with Mouse, Human samples. Cited in 2 publications. Immunogen corresponding to Synthetic Peptide within Human FUS aa 1-50.

View Alternative Names

TLS, FUS, RNA-binding protein FUS, 75 kDa DNA-pairing protein, Oncogene FUS, Oncogene TLS, POMp75, Translocated in liposarcoma protein

4 Images
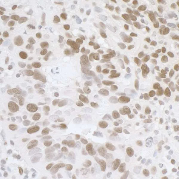
Immunohistochemistry (Formalin/PFA-fixed paraffin-embedded sections) - Anti-TLS/FUS antibody (AB245332)
  • IHC-P

Supplier Data

Immunohistochemistry (Formalin/PFA-fixed paraffin-embedded sections) - Anti-TLS/FUS antibody (AB245332)

Formalin-fixed, paraffin-embedded human ovarian carcinoma tissue stained for TLS/FUS using ab245332 at 1/1000 dilution in immunohistochemical analysis. Detection : DAB staining.

Immunoprecipitation - Anti-TLS/FUS antibody (AB245332)
  • IP

Supplier Data

Immunoprecipitation - Anti-TLS/FUS antibody (AB245332)

TLS/FUS was immunoprecipitated from HEK-293T (human epithelial cell line from embryonic kidney transformed with large T antigen) whole cell lysate (1 mg for IP, 20% of IP loaded) with ab245332 at 3 μg per reaction. Western blot was performed from the immunoprecipitate using a different Anti-TLS/FUS antibody at 1/1000 dilution.

Lane 1 : ab245332 IP in HEK-293T whole cell lysate.
Lane 2 : Control IgG IP in HEK-293T whole cell lysate.

Detection : Chemiluminescence with exposure time of 3 minutes.

All lanes:

Immunoprecipitation - Anti-TLS/FUS antibody (ab245332)

Predicted band size: 53 kDa

false

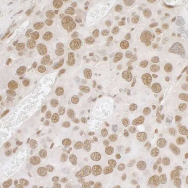
Immunohistochemistry (Formalin/PFA-fixed paraffin-embedded sections) - Anti-TLS/FUS antibody (AB245332)
  • IHC-P

Supplier Data

Immunohistochemistry (Formalin/PFA-fixed paraffin-embedded sections) - Anti-TLS/FUS antibody (AB245332)

Formalin-fixed, paraffin-embedded mouse renal cell carcinoma tissue stained for TLS/FUS using ab245332 at 1/1000 dilution in immunohistochemical analysis. Detection : DAB staining.

Western blot - Anti-TLS/FUS antibody (AB245332)
  • WB

Supplier Data

Western blot - Anti-TLS/FUS antibody (AB245332)

Lysates prepared using NETN lysis buffer.

All lanes:

Western blot - Anti-TLS/FUS antibody (ab245332) at 0.04 µg/mL

Lane 1:

HepG2 (human liver hepatocellular carcinoma cell line) whole cell lysate at 50 µg

Lane 2:

HeLa (human epithelial cell line from cervix adenocarcinoma) whole cell lysate at 50 µg

Lane 3:

HEK-293T (human epithelial cell line from embryonic kidney transformed with large T antigen) whole cell lysate at 50 µg

Lane 4:

NIH/3T3 (mouse embryo fibroblast cell line) whole cell lysate at 50 µg

Predicted band size: 53 kDa

false

Exposure time: 10s

Key facts

Host species

Rabbit

Clonality

Polyclonal

Isotype

IgG

Carrier free

No

Reacts with

Mouse, Human

Applications

IP, WB, IHC-P

applications

Immunogen

Synthetic Peptide within Human FUS aa 1-50. The exact immunogen used to generate this antibody is proprietary information.

P35637

Reactivity data

{ "title": "Reactivity Data", "filters": { "stats": ["", "Species", "Dilution Info", "Notes"], "tabs": { "all-applications": {"fullname" : "All Applications", "shortname": "All Applications"}, "IHCP" : {"fullname" : "Immunohistochemistry (Formalin/PFA-fixed paraffin-embedded sections)", "shortname":"IHC-P"}, "IP" : {"fullname" : "Immunoprecipitation", "shortname":"IP"}, "WB" : {"fullname" : "Western blot", "shortname":"WB"} }, "product-promise": { "all": "all", "testedAndGuaranteed": "tested", "guaranteed": "expected", "predicted": "predicted", "notRecommended": "not-recommended" } }, "values": { "Human": { "IHCP-species-checked": "testedAndGuaranteed", "IHCP-species-dilution-info": "1/500 - 1/2000", "IHCP-species-notes": "<p></p> Perform heat-mediated antigen retrieval with citrate buffer pH 6 before commencing with IHC staining protocol.", "IP-species-checked": "testedAndGuaranteed", "IP-species-dilution-info": "2-10 µg/mg of lysate", "IP-species-notes": "<p></p>", "WB-species-checked": "testedAndGuaranteed", "WB-species-dilution-info": "1/2000 - 1/10000", "WB-species-notes": "<p></p>" }, "Mouse": { "IHCP-species-checked": "testedAndGuaranteed", "IHCP-species-dilution-info": "1/500 - 1/2000", "IHCP-species-notes": "<p></p> Perform heat-mediated antigen retrieval with citrate buffer pH 6 before commencing with IHC staining protocol.", "IP-species-checked": "guaranteed", "IP-species-dilution-info": "", "IP-species-notes": "", "WB-species-checked": "testedAndGuaranteed", "WB-species-dilution-info": "1/2000 - 1/10000", "WB-species-notes": "<p></p>" }, "Cow": { "IHCP-species-checked": "predicted", "IHCP-species-dilution-info": "", "IHCP-species-notes": "", "IP-species-checked": "predicted", "IP-species-dilution-info": "", "IP-species-notes": "", "WB-species-checked": "predicted", "WB-species-dilution-info": "", "WB-species-notes": "" } } }

Properties and storage information

Form
Liquid
Purification technique
Affinity purification Immunogen
Purification notes
ab245332 was affinity purified using an epitope specific to TLS/FUS immobilized on solid support.
Storage buffer
pH: 7 - 8 Preservative: 0.09% Sodium azide Constituents: Tris citrate/phosphate
Shipped at conditions
Blue Ice
Appropriate short-term storage duration
1-2 weeks
Appropriate short-term storage conditions
+4°C
Appropriate long-term storage conditions
-20°C
Aliquoting information
Upon delivery aliquot
Storage information
Avoid freeze / thaw cycle

Supplementary information

This supplementary information is collated from multiple sources and compiled automatically.

TLS/FUS also known as FUS and the FUS protein is an RNA-binding protein involved in various cellular processes. It has a molecular weight of approximately 53 kDa. Expressed extensively in the nucleus FUS/TLS relocates to the cytoplasm under stress conditions. It plays mechanical roles in transcription regulation RNA splicing and mRNA transport. Scientists sometimes refer to FUS as the 'fused in sarcoma' protein because of its involvement in gene fusion events.
Biological function summary

The FUS protein aids in the maintenance and stabilization of mRNA molecules and participates in the formation of stress granules distinct cytoplasmic aggregates of proteins and RNAs. It forms part of a large protein complex alongside other RNA-binding proteins. FUS stabilizes pre-mRNA structures which affects protein expression patterns essential for cell survival and differentiation. Its ability to bind to RNA and DNA indicates its fundamental role in genomic stability.

Pathways

The functions of FUS help regulate RNA metabolism-related pathways and cellular stress response pathways. FUS interacts with proteins like TAF15 and EWSR1 within these pathways showing a complex network of interactions that contribute to RNA maturation and stress granule dynamic formation. The activity of FUS in these pathways ultimately affects cellular homeostasis gene expression modulation and response to cellular stress.

FUS protein mutations or mislocalizations relate to neurodegenerative diseases such as amyotrophic lateral sclerosis (ALS) and frontotemporal lobar degeneration (FTLD). These conditions are characterized by the accumulation of FUS or FUS-related aggregates in the cytoplasm leading to neuronal cell death. FUS is also connected to other RNA-binding proteins like TDP-43 which also mislocalizes and forms aggregates in these disorders highlighting the importance of protein homeostasis and normal RNA metabolism in the prevention of these diseases.

Product protocols

For this product, it's our understanding that no specific protocols are required. You can visit:

Target data

DNA/RNA-binding protein that plays a role in various cellular processes such as transcription regulation, RNA splicing, RNA transport, DNA repair and damage response (PubMed : 27731383). Binds to nascent pre-mRNAs and acts as a molecular mediator between RNA polymerase II and U1 small nuclear ribonucleoprotein thereby coupling transcription and splicing (PubMed : 26124092). Binds also its own pre-mRNA and autoregulates its expression; this autoregulation mechanism is mediated by non-sense-mediated decay (PubMed : 24204307). Plays a role in DNA repair mechanisms by promoting D-loop formation and homologous recombination during DNA double-strand break repair (PubMed : 10567410). In neuronal cells, plays crucial roles in dendritic spine formation and stability, RNA transport, mRNA stability and synaptic homeostasis (By similarity).
See full target information FUS

Publications (2)

Recent publications for all applications. Explore the full list and refine your search

Journal of translational medicine 23:376 PubMed40148953

2025

Circ-ITCH promotes the ubiquitination degradation of HOXC10 to facilitate osteogenic differentiation in disuse osteoporosis through stabilizing BRCA1 mRNA via IGF2BP2-mediated mA modification.

Applications

Unspecified application

Species

Unspecified reactive species

Da Zhong,Xi Li,Zhen Yin,Peng Chen,Yusheng Li,Jian Tian,Long Wang,Hua Liu,Ke Yin,Lemei Zhu,Lingyu Kong,Kunli Chen,Yaochun Li,Chungu Hong,Chenggong Wang

Cell death discovery 8:178 PubMed35396503

2022

HIF-1α-regulated lncRNA-TUG1 promotes mitochondrial dysfunction and pyroptosis by directly binding to FUS in myocardial infarction.

Applications

Unspecified application

Species

Unspecified reactive species

Yong-Wang Wang,Hong-Zhi Dong,Yong-Xing Tan,Xu Bao,Ying-Man Su,Xin Li,Fang Jiang,Jing Liang,Zhen-Cai Huang,Yan-Ling Ren,Yu-Li Xu,Qiang Su
View all publications

Product promise

We are committed to supporting your work with high-quality reagents, and we're here for you every step of the way. In the unlikely event that one of our products does not perform as expected, you're protected by our Product Promise.
For full details, please see our Terms & Conditions

Please note: All products are 'FOR RESEARCH USE ONLY. NOT FOR USE IN DIAGNOSTIC OR THERAPEUTIC PROCEDURES'.

For licensing inquiries, please contact partnerships@abcam.com