JavaScript is disabled in your browser. Please enable JavaScript to view this website.
AB84078

Anti-TLS/FUS antibody

5

(2 Reviews)

|

(19 Publications)

Rabbit Polyclonal TLS/FUS antibody. Suitable for IHC-P, WB, ICC/IF and reacts with Mouse, Human samples. Cited in 19 publications. Immunogen corresponding to Synthetic Peptide within Human FUS aa 1-50.

View Alternative Names

TLS, FUS, RNA-binding protein FUS, 75 kDa DNA-pairing protein, Oncogene FUS, Oncogene TLS, POMp75, Translocated in liposarcoma protein

2 Images
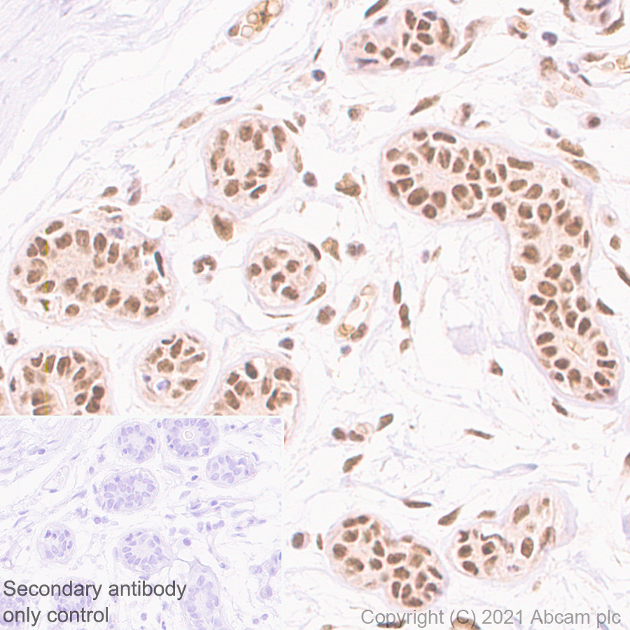
Immunohistochemistry (Formalin/PFA-fixed paraffin-embedded sections) - Anti-TLS/FUS antibody (AB84078)
  • IHC-P

Supplier Data

Immunohistochemistry (Formalin/PFA-fixed paraffin-embedded sections) - Anti-TLS/FUS antibody (AB84078)

Immunohistochemistry (Formalin/PFA-fixed paraffin-embedded sections) analysis of human ovarian carcinoma tissue labelling TLS/FUS with ab84078 at 1/500 dilution. Heat mediated antigen retrieval performed with citrate buffer pH 6 before commencing with IHC staining protocol.

Immunohistochemistry (Formalin/PFA-fixed paraffin-embedded sections) - Anti-TLS/FUS antibody (AB84078)
  • IHC-P

Supplier Data

Immunohistochemistry (Formalin/PFA-fixed paraffin-embedded sections) - Anti-TLS/FUS antibody (AB84078)

Immunohistochemistry (Formalin/PFA-fixed paraffin-embedded sections) analysis of mouse renal cell carcinoma tissue labelling TLS/FUS with ab84078 at 1/100 dilution. Heat mediated antigen retrieval performed with citrate buffer pH 6 before commencing with IHC staining protocol.

Key facts

Host species

Rabbit

Clonality

Polyclonal

Isotype

IgG

Carrier free

No

Reacts with

Mouse, Human

Applications

ICC/IF, WB, IHC-P

applications

Immunogen

Synthetic Peptide within Human FUS aa 1-50. The exact immunogen used to generate this antibody is proprietary information.

P35637

Reactivity data

{ "title": "Reactivity Data", "filters": { "stats": ["", "Species", "Dilution Info", "Notes"], "tabs": { "all-applications": {"fullname" : "All Applications", "shortname": "All Applications"}, "IHCP" : {"fullname" : "Immunohistochemistry (Formalin/PFA-fixed paraffin-embedded sections)", "shortname":"IHC-P"}, "WB" : {"fullname" : "Western blot", "shortname":"WB"}, "ICCIF" : {"fullname" : "Immunocytochemistry/ Immunofluorescence", "shortname":"ICC/IF"} }, "product-promise": { "all": "all", "testedAndGuaranteed": "tested", "guaranteed": "expected", "predicted": "predicted", "notRecommended": "not-recommended" } }, "values": { "Human": { "IHCP-species-checked": "testedAndGuaranteed", "IHCP-species-dilution-info": "1/100 - 1/500", "IHCP-species-notes": "<p></p> Perform heat-mediated antigen retrieval with citrate buffer pH 6 before commencing with IHC staining protocol.", "WB-species-checked": "guaranteed", "WB-species-dilution-info": "", "WB-species-notes": "<p></p>", "ICCIF-species-checked": "guaranteed", "ICCIF-species-dilution-info": "", "ICCIF-species-notes": "<p>See abreview.</p>" }, "Mouse": { "IHCP-species-checked": "testedAndGuaranteed", "IHCP-species-dilution-info": "1/100 - 1/500", "IHCP-species-notes": "<p></p> Perform heat-mediated antigen retrieval with citrate buffer pH 6 before commencing with IHC staining protocol.", "WB-species-checked": "guaranteed", "WB-species-dilution-info": "", "WB-species-notes": "<p></p>", "ICCIF-species-checked": "guaranteed", "ICCIF-species-dilution-info": "", "ICCIF-species-notes": "<p>See abreview.</p>" }, "Rat": { "IHCP-species-checked": "predicted", "IHCP-species-dilution-info": "", "IHCP-species-notes": "", "WB-species-checked": "predicted", "WB-species-dilution-info": "", "WB-species-notes": "", "ICCIF-species-checked": "predicted", "ICCIF-species-dilution-info": "", "ICCIF-species-notes": "" }, "Bat": { "IHCP-species-checked": "predicted", "IHCP-species-dilution-info": "", "IHCP-species-notes": "", "WB-species-checked": "predicted", "WB-species-dilution-info": "", "WB-species-notes": "", "ICCIF-species-checked": "predicted", "ICCIF-species-dilution-info": "", "ICCIF-species-notes": "" }, "Chimpanzee": { "IHCP-species-checked": "predicted", "IHCP-species-dilution-info": "", "IHCP-species-notes": "", "WB-species-checked": "predicted", "WB-species-dilution-info": "", "WB-species-notes": "", "ICCIF-species-checked": "predicted", "ICCIF-species-dilution-info": "", "ICCIF-species-notes": "" }, "Cow": { "IHCP-species-checked": "predicted", "IHCP-species-dilution-info": "", "IHCP-species-notes": "", "WB-species-checked": "predicted", "WB-species-dilution-info": "", "WB-species-notes": "", "ICCIF-species-checked": "predicted", "ICCIF-species-dilution-info": "", "ICCIF-species-notes": "" }, "Dog": { "IHCP-species-checked": "predicted", "IHCP-species-dilution-info": "", "IHCP-species-notes": "", "WB-species-checked": "predicted", "WB-species-dilution-info": "", "WB-species-notes": "", "ICCIF-species-checked": "predicted", "ICCIF-species-dilution-info": "", "ICCIF-species-notes": "" }, "Elephant": { "IHCP-species-checked": "predicted", "IHCP-species-dilution-info": "", "IHCP-species-notes": "", "WB-species-checked": "predicted", "WB-species-dilution-info": "", "WB-species-notes": "", "ICCIF-species-checked": "predicted", "ICCIF-species-dilution-info": "", "ICCIF-species-notes": "" }, "Gorilla": { "IHCP-species-checked": "predicted", "IHCP-species-dilution-info": "", "IHCP-species-notes": "", "WB-species-checked": "predicted", "WB-species-dilution-info": "", "WB-species-notes": "", "ICCIF-species-checked": "predicted", "ICCIF-species-dilution-info": "", "ICCIF-species-notes": "" }, "Orangutan": { "IHCP-species-checked": "predicted", "IHCP-species-dilution-info": "", "IHCP-species-notes": "", "WB-species-checked": "predicted", "WB-species-dilution-info": "", "WB-species-notes": "", "ICCIF-species-checked": "predicted", "ICCIF-species-dilution-info": "", "ICCIF-species-notes": "" }, "Pig": { "IHCP-species-checked": "predicted", "IHCP-species-dilution-info": "", "IHCP-species-notes": "", "WB-species-checked": "predicted", "WB-species-dilution-info": "", "WB-species-notes": "", "ICCIF-species-checked": "predicted", "ICCIF-species-dilution-info": "", "ICCIF-species-notes": "" }, "Rabbit": { "IHCP-species-checked": "predicted", "IHCP-species-dilution-info": "", "IHCP-species-notes": "", "WB-species-checked": "predicted", "WB-species-dilution-info": "", "WB-species-notes": "", "ICCIF-species-checked": "predicted", "ICCIF-species-dilution-info": "", "ICCIF-species-notes": "" }, "Rhesus monkey": { "IHCP-species-checked": "predicted", "IHCP-species-dilution-info": "", "IHCP-species-notes": "", "WB-species-checked": "predicted", "WB-species-dilution-info": "", "WB-species-notes": "", "ICCIF-species-checked": "predicted", "ICCIF-species-dilution-info": "", "ICCIF-species-notes": "" } } }

Properties and storage information

Form
Liquid
Purification technique
Affinity purification Immunogen
Storage buffer
pH: 6.8 - 7.4 Preservative: 0.09% Sodium azide Constituents: Tris buffered saline, 0.1% BSA
Shipped at conditions
Blue Ice
Appropriate short-term storage conditions
+4°C
Appropriate long-term storage conditions
-20°C
Aliquoting information
Upon delivery aliquot
Storage information
Avoid freeze / thaw cycle

Supplementary information

This supplementary information is collated from multiple sources and compiled automatically.

TLS/FUS also known as FUS and the FUS protein is an RNA-binding protein involved in various cellular processes. It has a molecular weight of approximately 53 kDa. Expressed extensively in the nucleus FUS/TLS relocates to the cytoplasm under stress conditions. It plays mechanical roles in transcription regulation RNA splicing and mRNA transport. Scientists sometimes refer to FUS as the 'fused in sarcoma' protein because of its involvement in gene fusion events.
Biological function summary

The FUS protein aids in the maintenance and stabilization of mRNA molecules and participates in the formation of stress granules distinct cytoplasmic aggregates of proteins and RNAs. It forms part of a large protein complex alongside other RNA-binding proteins. FUS stabilizes pre-mRNA structures which affects protein expression patterns essential for cell survival and differentiation. Its ability to bind to RNA and DNA indicates its fundamental role in genomic stability.

Pathways

The functions of FUS help regulate RNA metabolism-related pathways and cellular stress response pathways. FUS interacts with proteins like TAF15 and EWSR1 within these pathways showing a complex network of interactions that contribute to RNA maturation and stress granule dynamic formation. The activity of FUS in these pathways ultimately affects cellular homeostasis gene expression modulation and response to cellular stress.

FUS protein mutations or mislocalizations relate to neurodegenerative diseases such as amyotrophic lateral sclerosis (ALS) and frontotemporal lobar degeneration (FTLD). These conditions are characterized by the accumulation of FUS or FUS-related aggregates in the cytoplasm leading to neuronal cell death. FUS is also connected to other RNA-binding proteins like TDP-43 which also mislocalizes and forms aggregates in these disorders highlighting the importance of protein homeostasis and normal RNA metabolism in the prevention of these diseases.

Product protocols

For this product, it's our understanding that no specific protocols are required. You can visit:

Target data

DNA/RNA-binding protein that plays a role in various cellular processes such as transcription regulation, RNA splicing, RNA transport, DNA repair and damage response (PubMed : 27731383). Binds to nascent pre-mRNAs and acts as a molecular mediator between RNA polymerase II and U1 small nuclear ribonucleoprotein thereby coupling transcription and splicing (PubMed : 26124092). Binds also its own pre-mRNA and autoregulates its expression; this autoregulation mechanism is mediated by non-sense-mediated decay (PubMed : 24204307). Plays a role in DNA repair mechanisms by promoting D-loop formation and homologous recombination during DNA double-strand break repair (PubMed : 10567410). In neuronal cells, plays crucial roles in dendritic spine formation and stability, RNA transport, mRNA stability and synaptic homeostasis (By similarity).
See full target information FUS

Publications (19)

Recent publications for all applications. Explore the full list and refine your search

Cell death discovery 9:248 PubMed37454169

2023

Loss of PML nuclear bodies in familial amyotrophic lateral sclerosis-frontotemporal dementia.

Applications

Unspecified application

Species

Unspecified reactive species

Francesco Antoniani,Marco Cimino,Laura Mediani,Jonathan Vinet,Enza M Verde,Valentina Secco,Alfred Yamoah,Priyanka Tripathi,Eleonora Aronica,Maria E Cicardi,Davide Trotti,Jared Sterneckert,Anand Goswami,Serena Carra

iScience 24:103504 PubMed34934923

2021

Circ-Hdgfrp3 shuttles along neurites and is trapped in aggregates formed by ALS-associated mutant FUS.

Applications

Unspecified application

Species

Unspecified reactive species

Eleonora D'Ambra,Tiziana Santini,Erika Vitiello,Sara D'Uva,Valentina Silenzi,Mariangela Morlando,Irene Bozzoni

Life science alliance 4: PubMed34130995

2021

DNA damage in embryonic neural stem cell determines FTLDs' fate via early-stage neuronal necrosis.

Applications

Unspecified application

Species

Unspecified reactive species

Hidenori Homma,Hikari Tanaka,Meihua Jin,Xiaocen Jin,Yong Huang,Yuki Yoshioka,Christian Jf Bertens,Kohei Tsumaki,Kanoh Kondo,Hiroki Shiwaku,Kazuhiko Tagawa,Hiroyasu Akatsu,Naoki Atsuta,Masahisa Katsuno,Katsutoshi Furukawa,Aiko Ishiki,Masaaki Waragai,Gaku Ohtomo,Atsushi Iwata,Takanori Yokota,Haruhisa Inoue,Hiroyuki Arai,Gen Sobue,Masaki Sone,Kyota Fujita,Hitoshi Okazawa

Journal of neuropathology and experimental neurolo : PubMed33448295

2021

FUS Is Not Mislocalized in Spinal Motor Neurons Derived From Human Induced Pluripotent Stem Cells of Main Non-FUS ALS Subtypes.

Applications

Unspecified application

Species

Unspecified reactive species

Barbara Szewczyk,René Günther,Jared Sterneckert,Susanne Petri,Florian Wegner,Andreas Hermann

EMBO reports 22:e50640 PubMed33226175

2020

The FUS gene is dual-coding with both proteins contributing to FUS-mediated toxicity.

Applications

Unspecified application

Species

Unspecified reactive species

Marie A Brunet,Jean-Francois Jacques,Sonya Nassari,Giulia E Tyzack,Philip McGoldrick,Lorne Zinman,Steve Jean,Janice Robertson,Rickie Patani,Xavier Roucou

mBio 10: PubMed31551335

2019

The Long Noncoding RNA Regulates HIV-1 Replication through Epigenetic Regulation of the HIV-1 Promoter.

Applications

Unspecified application

Species

Unspecified reactive species

Ti-Chun Chao,Qiong Zhang,Zhonghan Li,Shashi Kant Tiwari,Yue Qin,Edwin Yau,Ana Sanchez,Gatikrushna Singh,Kungyen Chang,Marcus Kaul,Maile Ann Young Karris,Tariq M Rana

Brain : a journal of neurology 142:2572-2580 PubMed31368485

2019

Widespread FUS mislocalization is a molecular hallmark of amyotrophic lateral sclerosis.

Applications

Unspecified application

Species

Unspecified reactive species

Giulia E Tyzack,Raphaelle Luisier,Doaa M Taha,Jacob Neeves,Miha Modic,Jamie S Mitchell,Ione Meyer,Linda Greensmith,Jia Newcombe,Jernej Ule,Nicholas M Luscombe,Rickie Patani

Sarcoma 2019:1340261 PubMed31427882

2019

The Fusion Oncogene FUS-CHOP Drives Sarcomagenesis of High-Grade Spindle Cell Sarcomas in Mice.

Applications

Unspecified application

Species

Unspecified reactive species

Mark Chen,Eric S Xu,Nathan H Leisenring,Diana M Cardona,Lixia Luo,Yan Ma,Andrea Ventura,David G Kirsch

Cell reports 27:3818-3831.e5 PubMed31242416

2019

Mutant FUS and ELAVL4 (HuD) Aberrant Crosstalk in Amyotrophic Lateral Sclerosis.

Applications

Unspecified application

Species

Unspecified reactive species

Riccardo De Santis,Vincenzo Alfano,Valeria de Turris,Alessio Colantoni,Laura Santini,Maria Giovanna Garone,Giuseppe Antonacci,Giovanna Peruzzi,Emma Sudria-Lopez,Emanuel Wyler,Jasper J Anink,Eleonora Aronica,Markus Landthaler,R Jeroen Pasterkamp,Irene Bozzoni,Alessandro Rosa

Acta neuropathologica communications 7:7 PubMed30642400

2019

ALS-linked FUS mutations confer loss and gain of function in the nucleus by promoting excessive formation of dysfunctional paraspeckles.

Applications

Unspecified application

Species

Unspecified reactive species

Haiyan An,Lucy Skelt,Antonietta Notaro,J Robin Highley,Archa H Fox,Vincenzo La Bella,Vladimir L Buchman,Tatyana A Shelkovnikova
View all publications

Product promise

We are committed to supporting your work with high-quality reagents, and we're here for you every step of the way. In the unlikely event that one of our products does not perform as expected, you're protected by our Product Promise.
For full details, please see our Terms & Conditions

Please note: All products are 'FOR RESEARCH USE ONLY. NOT FOR USE IN DIAGNOSTIC OR THERAPEUTIC PROCEDURES'.

For licensing inquiries, please contact partnerships@abcam.com