JavaScript is disabled in your browser. Please enable JavaScript to view this website.
AB124923

Anti-TLS/FUS antibody [EPR5812]

5

(4 Reviews)

|

(27 Publications)

Rabbit Recombinant Monoclonal TLS/FUS antibody. Suitable for IHC-P, WB, ICC/IF, Flow Cyt (Intra) and reacts with Human samples. Cited in 27 publications.

View Alternative Names

TLS, FUS, RNA-binding protein FUS, 75 kDa DNA-pairing protein, Oncogene FUS, Oncogene TLS, POMp75, Translocated in liposarcoma protein

11 Images
Flow Cytometry (Intracellular) - Anti-TLS/FUS antibody [EPR5812] (AB124923)
  • Flow Cyt (Intra)

Supplier Data

Flow Cytometry (Intracellular) - Anti-TLS/FUS antibody [EPR5812] (AB124923)

Flow Cytometry analysis of HepG2 (Human hepatocellular carcinoma epithelial cell) cells labelling TLS/FUS with Purified ab124923 at 1 : 100 dilution (10 µg/ml) (Red). Cells were fixed with 5% Paraformaldehyde and permeabilised with 91% Methanol. A Goat anti rabbit IgG (Alexa Fluor® 488, ab150077) secondary antibody was used at 1 : 2000. Isotype control - Rabbit monoclonal IgG (Black). Unlabelled control - Cell without incubation with primary antibody and secondary antibody (Blue).

Immunohistochemistry (Formalin/PFA-fixed paraffin-embedded sections) - Anti-TLS/FUS antibody [EPR5812] (AB124923)
  • IHC-P

Unknown

Immunohistochemistry (Formalin/PFA-fixed paraffin-embedded sections) - Anti-TLS/FUS antibody [EPR5812] (AB124923)

ab124923, at 1/50 dilution, staining TLS/FUS in formalin-fixed, paraffin-embedded Human kidney tissue, by Immunohistochemistry.

Perform heat mediated antigen retrieval before commencing with IHC staining protocol.

Immunocytochemistry/ Immunofluorescence - Anti-TLS/FUS antibody [EPR5812] (AB124923)
  • ICC/IF

Supplier Data

Immunocytochemistry/ Immunofluorescence - Anti-TLS/FUS antibody [EPR5812] (AB124923)

Immunocytochemistry analysis of HepG2 (Human hepatocellular carcinoma epithelial cell) cells labeling TLS/FUS with Purified ab124923 at 1 : 100 dilution (10 µg/ml). Cells were fixed in 4% Paraformaldehyde and permeabilized with 0.1% tritonX-100. Cells were counterstained with ab195889 Anti-alpha Tubulin antibody [DM1A] - Microtubule Marker (Alexa Fluor® 594) 1 : 200 (2.5 µg/ml). Goat anti rabbit IgG (Alexa Fluor® 488, ab150077) was used as the secondary antibody at 1 : 1000 (2 µg/ml) dilution. DAPI (blue) was used as nuclear counterstain. PBS instead of the primary antibody was used as the secondary antibody only control.

Immunohistochemistry (Formalin/PFA-fixed paraffin-embedded sections) - Anti-TLS/FUS antibody [EPR5812] (AB124923)
  • IHC-P

Supplier Data

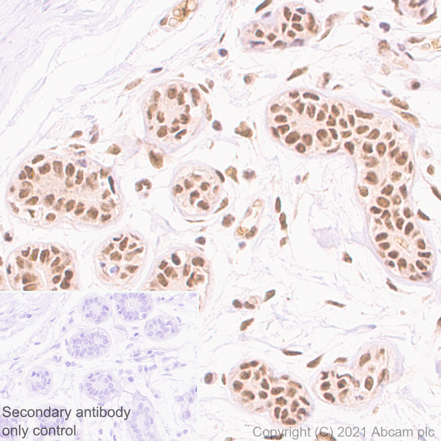
Immunohistochemistry (Formalin/PFA-fixed paraffin-embedded sections) - Anti-TLS/FUS antibody [EPR5812] (AB124923)

Immunohistochemistry (Formalin/PFA-fixed paraffin-embedded sections) analysis of human breast tissue sections labeling TLS/FUS with Purified ab124923 at 1 : 800 dilution (1.429 µg/mL). Heat mediated antigen retrieval was performed using Perform heat mediated antigen retrieval using ab93684 (Tris/EDTA buffer, pH 9.0). Tissue was counterstained with Hematoxylin. ImmunoHistoProbe one step HRP Polymer (ready to use) secondary antibody was used. PBS instead of the primary antibody was used as the negative control.

Immunocytochemistry/ Immunofluorescence - Anti-TLS/FUS antibody [EPR5812] (AB124923)
  • ICC/IF

Lab

Immunocytochemistry/ Immunofluorescence - Anti-TLS/FUS antibody [EPR5812] (AB124923)

Immunocytochemistry/ Immunofluorescence analysis of K-562 (human chronic myelogenous leukemia lymphoblast) cells labeling TLS/FUS with ab124923 at 1/250 (8.3 μg/mL). Cells were fixed with 4% Paraformaldehyde and permeabilised 0.1% TritonX-100. ab150077, AlexaFluor®488 Goat anti-Rabbit secondary at 1/1000 (2 μg/mL) was used as the secondary antibody. Nuclei were counterstained with DAPI and are shown in blue.

Confocal image showing nuclear staining in K-562 cells.

Western blot - Anti-TLS/FUS antibody [EPR5812] (AB124923)
  • WB

Lab

Western blot - Anti-TLS/FUS antibody [EPR5812] (AB124923)

Lanes 1- 2 : Merged signal (red and green). Green - ab124923 observed at 75 kDa. Red - Anti-GAPDH antibody [6C5] - Loading Control (ab8245) observed at 37 kDa.

ab124923 was shown to react with TLS/FUS in wild-type HEK-293T cells in western blot. Loss of signal was observed when knockout cell line ab266587 (knockout cell lysate ab257100) was used. Wild-type HEK-293T and FUS knockout HEK-293T cell lysates were subjected to SDS-PAGE. Membrane was blocked for 1 hour at room temperature in 0.1% TBST with 3% non-fat dried milk. ab124923 and Anti-GAPDH antibody [6C5] - Loading Control (ab8245) overnight at 4°C at a 1 in 1000 dilution and a 1 in 20000 dilution respectively. Blots were developed with Goat anti-Rabbit IgG H&L (IRDye®800CW) preadsorbed (ab216773) and Goat anti-Mouse IgG H&L (IRDye®680RD) preadsorbed (ab216776) secondary antibodies at 1 in 20000 dilution for 1 hour at room temperature before imaging.

All lanes:

Western blot - Anti-TLS/FUS antibody [EPR5812] (ab124923) at 1/1000 dilution

Lane 1:

Wild-type HEK-293T cell lysate at 20 µg

Lane 2:

Western blot - Human FUS (TLS) knockout HEK-293T cell lysate (<a href='/en-us/products/cell-lysates/human-fus-tls-knockout-hek-293t-cell-lysate-ab257100'>ab257100</a>) at 20 µg

Secondary

Lanes 1 - 2:

Western blot - Goat anti-Rabbit IgG H&L (IRDye® 800CW) preadsorbed (<a href='/en-us/products/secondary-antibodies/goat-rabbit-igg-h-l-irdye-800cw-preadsorbed-ab216773'>ab216773</a>) at 1/20000 dilution

Lanes 1 - 2:

Western blot - Goat anti-Mouse IgG H&L (IRDye® 680RD) preadsorbed (<a href='/en-us/products/secondary-antibodies/goat-mouse-igg-h-l-irdye-680rd-preadsorbed-ab216776'>ab216776</a>) at 1/20000 dilution

Predicted band size: 53 kDa

Observed band size: 75 kDa,37 kDa

false

Western blot - Anti-TLS/FUS antibody [EPR5812] (AB124923)
  • WB

Unknown

Western blot - Anti-TLS/FUS antibody [EPR5812] (AB124923)

We are unsure about the nature of the extra bands.

All lanes:

Western blot - Anti-TLS/FUS antibody [EPR5812] (ab124923) at 1/5000 dilution

Lane 1:

K-562 (Human chronic myelogenous leukemia lymphoblast) whole cell lysate at 20 µg

Lane 2:

Caco-2 (Human colorectal adenocarcinoma epithelial cell) whole cell lysate at 15 µg

Secondary

All lanes:

Goat Anti-Rabbit IgG (HRP) with minimal cross-reactivity with human IgG at 1/2000 dilution

Predicted band size: 53 kDa

Observed band size: 73 kDa

false

Western blot - Anti-TLS/FUS antibody [EPR5812] (AB124923)
  • WB

Collaborator

Western blot - Anti-TLS/FUS antibody [EPR5812] (AB124923)

ab124923 was shown to react with FUS in wild-type HeLa cells in Western blot with loss of signal observed in a FUS knockout cell line. Wild-type HeLa and FUS knockout cell lysates were subjected to SDS-PAGE. Membranes were blocked in 5% milk in TBST for 1 hr before incubation with ab124923 overnight at 4 °C at a 1/5000 dilution. Blots were incubated with secondary antibodies at 1/5000 before imaging. These data were provided by YCharOS Inc., an open science company with the mission of characterizing commercially available antibody reagents for all human proteins. Abcam and YCharOS are working together to help address the reproducibility crisis by enabling the life science community to better evaluate commercially available antibodies.

All lanes:

Western blot - Anti-TLS/FUS antibody [EPR5812] (ab124923)

Predicted band size: 53 kDa

false

Western blot - Anti-TLS/FUS antibody [EPR5812] (AB124923)
  • WB

Lab

Western blot - Anti-TLS/FUS antibody [EPR5812] (AB124923)

Lanes 1 to 4 : Merged signal (red and green). Green - ab124923 observed at 75 kDa. Red - loading control, ab8245, observed at 37 kDa.

ab124923 was shown to specifically react with TLS/FUS when TLS/FUS knockout samples were used. Wild-type and TLS/FUS knockout samples were subjected to SDS-PAGE. ab124923 and ab28245 (loading control to GAPDH) were both diluted at 1/1000 and 1/10 000 respectively and incubated overnight at 4°C. Blots were developed with Goat anti-Rabbit IgG H&L (IRDye® 800CW) preadsorbed (ab216773) and Goat anti-Mouse IgG H&L (IRDye® 680RD) preadsorbed (ab216776) secondary antibodies at 1/10 000 dilution for 1 h at room temperature before imaging.

All lanes:

Western blot - Anti-TLS/FUS antibody [EPR5812] (ab124923) at 1/1000 dilution

Lane 1:

Wild-type HAP1 cell lysate at 20 µg

Lane 2:

TLS/FUS knockout HAP1 cell lysate at 20 µg

Lane 3:

K562 cell lysate at 20 µg

Lane 4:

HepG2 cell lysate at 20 µg

Predicted band size: 53 kDa

false

Western blot - Anti-TLS/FUS antibody [EPR5812] (AB124923)
  • WB

Unknown

Western blot - Anti-TLS/FUS antibody [EPR5812] (AB124923)

All lanes:

Western blot - Anti-TLS/FUS antibody [EPR5812] (ab124923) at 1/1000 dilution

Lane 1:

K562 cell lysate at 10 µg

Lane 2:

Human fetal brain lysate at 10 µg

Lane 3:

Caco 2 cell lysate at 10 µg

Lane 4:

HepG2 cell lysate at 10 µg

Secondary

All lanes:

Goat anti-rabbit HRP at 1/2000 dilution

Predicted band size: 53 kDa

Observed band size: 73 kDa

false

OI-RD Scanning - Anti-TLS/FUS antibody [EPR5812] (AB124923)
  • OI-RD Scanning

Unknown

OI-RD Scanning - Anti-TLS/FUS antibody [EPR5812] (AB124923)

We have systematically measured KD (the equilibrium dissociation constant between the antibody and its antigen), of more than 840 recombinant antibodies to assess not only their individual KD values but also to see the average affinity of antibody. Based on the comparison with published literature values for mouse monoclonal antibodies, Recombinant antibodies appear to be on average 1-2 order of magnitude higher affinity.

  • 578 PE

    PE Anti-TLS/FUS antibody [EPR5812]

  • 660 APC

    APC Anti-TLS/FUS antibody [EPR5812]

  • 665 Alexa Fluor® 647

    Alexa Fluor® 647 Anti-TLS/FUS antibody [EPR5812]

  • 603 Alexa Fluor® 568

    Alexa Fluor® 568 Anti-TLS/FUS antibody [EPR5812]

  • 565 Alexa Fluor® 555

    Alexa Fluor® 555 Anti-TLS/FUS antibody [EPR5812]

  • Carrier free

    Anti-TLS/FUS antibody [EPR5812] - BSA and Azide free

  • HRP

    HRP Anti-TLS/FUS antibody [EPR5812]

  • 617 Alexa Fluor® 594

    Alexa Fluor® 594 Anti-TLS/FUS antibody [EPR5812]

  • 519 Alexa Fluor® 488

    Alexa Fluor® 488 Anti-TLS/FUS antibody [EPR5812]

  • 775 Alexa Fluor® 750

    Alexa Fluor® 750 Anti-TLS/FUS antibody [EPR5812]

Key facts

Host species

Rabbit

Clonality

Monoclonal

Clone number

EPR5812

Isotype

IgG

Carrier free

No

Reacts with

Human

Applications

ICC/IF, IHC-P, Flow Cyt (Intra), WB

applications

Immunogen

The exact immunogen used to generate this antibody is proprietary information.

Reactivity data

{ "title": "Reactivity Data", "filters": { "stats": ["", "Species", "Dilution Info", "Notes"], "tabs": { "all-applications": {"fullname" : "All Applications", "shortname": "All Applications"}, "IHCP" : {"fullname" : "Immunohistochemistry (Formalin/PFA-fixed paraffin-embedded sections)", "shortname":"IHC-P"}, "WB" : {"fullname" : "Western blot", "shortname":"WB"}, "ICCIF" : {"fullname" : "Immunocytochemistry/ Immunofluorescence", "shortname":"ICC/IF"}, "FlowCytIntra" : {"fullname" : "Flow Cytometry (Intracellular)", "shortname":"Flow Cyt (Intra)"} }, "product-promise": { "all": "all", "testedAndGuaranteed": "tested", "guaranteed": "expected", "predicted": "predicted", "notRecommended": "not-recommended" } }, "values": { "Human": { "IHCP-species-checked": "testedAndGuaranteed", "IHCP-species-dilution-info": "1/800", "IHCP-species-notes": "<p></p> Perform heat-mediated antigen retrieval before commencing with IHC staining protocol.", "WB-species-checked": "testedAndGuaranteed", "WB-species-dilution-info": "1/1000", "WB-species-notes": "<p></p>", "ICCIF-species-checked": "testedAndGuaranteed", "ICCIF-species-dilution-info": "1/100", "ICCIF-species-notes": "<p></p>", "FlowCytIntra-species-checked": "guaranteed", "FlowCytIntra-species-dilution-info": "1/100", "FlowCytIntra-species-notes": "<p></p>" }, "Mouse": { "IHCP-species-checked": "notRecommended", "IHCP-species-dilution-info": "1/800", "IHCP-species-notes": "<p></p> Perform heat-mediated antigen retrieval before commencing with IHC staining protocol.", "WB-species-checked": "notRecommended", "WB-species-dilution-info": "1/1000", "WB-species-notes": "<p></p>", "ICCIF-species-checked": "notRecommended", "ICCIF-species-dilution-info": "1/100", "ICCIF-species-notes": "<p></p>", "FlowCytIntra-species-checked": "notRecommended", "FlowCytIntra-species-dilution-info": "1/100", "FlowCytIntra-species-notes": "<p></p>" }, "Rat": { "IHCP-species-checked": "notRecommended", "IHCP-species-dilution-info": "1/800", "IHCP-species-notes": "<p></p> Perform heat-mediated antigen retrieval before commencing with IHC staining protocol.", "WB-species-checked": "notRecommended", "WB-species-dilution-info": "1/1000", "WB-species-notes": "<p></p>", "ICCIF-species-checked": "notRecommended", "ICCIF-species-dilution-info": "1/100", "ICCIF-species-notes": "<p></p>", "FlowCytIntra-species-checked": "notRecommended", "FlowCytIntra-species-dilution-info": "1/100", "FlowCytIntra-species-notes": "<p></p>" } } }

Product details

We are constantly working hard to ensure we provide our customers with best in class antibodies. As a result of this work we are pleased to now offer this antibody in purified format. We are in the process of updating our datasheets. The purified format is designated 'PUR' on our product labels. If you have any questions regarding this update, please contact our Scientific Support team.

Patented technology
Our RabMAb® technology is a patented hybridoma-based technology for making rabbit monoclonal antibodies. For details on our patents, please refer to RabMAb® patents.

What are the advantages of a recombinant monoclonal antibody?
This product is a recombinant monoclonal antibody, which offers several advantages including:

  • - High batch-to-batch consistency and reproducibility
  • - Improved sensitivity and specificity
  • - Long-term security of supply
  • - Animal-free batch production

For more information, read more on recombinant antibodies.

Properties and storage information

Form
Liquid
Purification technique
Affinity purification Protein A
Storage buffer
pH: 7.2 - 7.4 Preservative: 0.05% Sodium azide Constituents: 50% Tissue culture supernatant, 40% Glycerol (glycerin, glycerine), 9.85% Tris glycine
Shipped at conditions
Blue Ice
Appropriate short-term storage conditions
+4°C
Appropriate long-term storage conditions
-20°C
Storage information
Stable for 12 months at -20°C

Supplementary information

This supplementary information is collated from multiple sources and compiled automatically.

TLS/FUS also known as FUS and the FUS protein is an RNA-binding protein involved in various cellular processes. It has a molecular weight of approximately 53 kDa. Expressed extensively in the nucleus FUS/TLS relocates to the cytoplasm under stress conditions. It plays mechanical roles in transcription regulation RNA splicing and mRNA transport. Scientists sometimes refer to FUS as the 'fused in sarcoma' protein because of its involvement in gene fusion events.
Biological function summary

The FUS protein aids in the maintenance and stabilization of mRNA molecules and participates in the formation of stress granules distinct cytoplasmic aggregates of proteins and RNAs. It forms part of a large protein complex alongside other RNA-binding proteins. FUS stabilizes pre-mRNA structures which affects protein expression patterns essential for cell survival and differentiation. Its ability to bind to RNA and DNA indicates its fundamental role in genomic stability.

Pathways

The functions of FUS help regulate RNA metabolism-related pathways and cellular stress response pathways. FUS interacts with proteins like TAF15 and EWSR1 within these pathways showing a complex network of interactions that contribute to RNA maturation and stress granule dynamic formation. The activity of FUS in these pathways ultimately affects cellular homeostasis gene expression modulation and response to cellular stress.

FUS protein mutations or mislocalizations relate to neurodegenerative diseases such as amyotrophic lateral sclerosis (ALS) and frontotemporal lobar degeneration (FTLD). These conditions are characterized by the accumulation of FUS or FUS-related aggregates in the cytoplasm leading to neuronal cell death. FUS is also connected to other RNA-binding proteins like TDP-43 which also mislocalizes and forms aggregates in these disorders highlighting the importance of protein homeostasis and normal RNA metabolism in the prevention of these diseases.

Product protocols

For this product, it's our understanding that no specific protocols are required. You can visit:

Target data

DNA/RNA-binding protein that plays a role in various cellular processes such as transcription regulation, RNA splicing, RNA transport, DNA repair and damage response (PubMed : 27731383). Binds to nascent pre-mRNAs and acts as a molecular mediator between RNA polymerase II and U1 small nuclear ribonucleoprotein thereby coupling transcription and splicing (PubMed : 26124092). Binds also its own pre-mRNA and autoregulates its expression; this autoregulation mechanism is mediated by non-sense-mediated decay (PubMed : 24204307). Plays a role in DNA repair mechanisms by promoting D-loop formation and homologous recombination during DNA double-strand break repair (PubMed : 10567410). In neuronal cells, plays crucial roles in dendritic spine formation and stability, RNA transport, mRNA stability and synaptic homeostasis (By similarity).
See full target information FUS

Publications (27)

Recent publications for all applications. Explore the full list and refine your search

Oncogene 43:2199-2214 PubMed38802648

2024

MUC1-C regulates NEAT1 lncRNA expression and paraspeckle formation in cancer progression.

Applications

Unspecified application

Species

Unspecified reactive species

Atrayee Bhattacharya,Keyi Wang,Johany Penailillo,Chi Ngai Chan,Atsushi Fushimi,Nami Yamashita,Tatsuaki Daimon,Naoki Haratake,Hiroki Ozawa,Ayako Nakashoji,Keisuke Shigeta,Yoshihiro Morimoto,Masaaki Miyo,Donald W Kufe

Nature communications 15:3953 PubMed38729967

2024

Fused in sarcoma (FUS) inhibits milk production efficiency in mammals.

Applications

Unspecified application

Species

Unspecified reactive species

Haili Shao,Jipeng Huang,Hui Wang,Guolei Wang,Xu Yang,Mei Cheng,Changjie Sun,Li Zou,Qin Yang,Dandan Zhang,Zhen Liu,Xuelong Jiang,Lei Shi,Peng Shi,Baowei Han,Baowei Jiao

Kidney international reports 9:1473-1483 PubMed38707804

2024

Kidney Tissue Proteome Profiles in Short Versus Long Duration of Delayed Graft Function - A Pilot Study in Donation After Circulatory Death Donors.

Applications

Unspecified application

Species

Unspecified reactive species

M Letizia Lo Faro,Kaithlyn Rozenberg,Honglei Huang,Sergei Maslau,Sarah Bonham,Roman Fischer,Benedikt Kessler,Henri Leuvenink,Edward Sharples,Jan H Lindeman,Rutger Ploeg

International heart journal 64:1113-1124 PubMed37967992

2023

Circ-SUZ12 Protects Cardiomyocytes from Hypoxia-Induced Dysfunction Through Upregulating SUZ12 Expression to Activate Wnt/β-catenin Signaling Pathway.

Applications

Unspecified application

Species

Unspecified reactive species

Long Li,Chao Li,Shuai Cao,Gaoliang Zhou,Yongjin Jiang,Jun Feng

Molecular carcinogenesis 62:1846-1859 PubMed37589421

2023

N6-methyladenosine methylation regulatory pattern of pulmonary lymphoepithelioma-like carcinoma based on exosomal transcriptome analysis.

Applications

Unspecified application

Species

Unspecified reactive species

Mengge Yu,Yiyun Pan,Huahua Li,Xiaomei Liu,Zhengcong Chen,Hailong Chen,Shudong Ma,Wen Zeng

American journal of cancer research 13:3384-3400 PubMed37693143

2023

LMNTD2-AS1 regulates immune cell infiltration and promotes prostate cancer progression by targeting FUS to regulate NRF2 signal pathway.

Applications

Unspecified application

Species

Unspecified reactive species

Haoming Wu,Ning Liu,Aifeng He,Haiyang Li,Hui Liu,Jinke Qian,Weipu Mao,Guangbo Fu

F1000Research 12:376 PubMed37384305

2023

The identification of high-performing antibodies for RNA-binding protein FUS for use in Western Blot, immunoprecipitation, and immunofluorescence.

Applications

WB, ICC, IP

Species

Human, Human, Human

Walaa Alshalfie,Maryam Fotouhi,Riham Ayoubi,Zhipeng You,Kathleen Southern,Peter S McPherson,Carl Laflamme

BMC cardiovascular disorders 23:171 PubMed36991356

2023

HOTAIR regulates SIRT3-mediated cardiomyocyte survival after myocardial ischemia/reperfusion by interacting with FUS.

Applications

Unspecified application

Species

Unspecified reactive species

Jixuan Liu,Mingzhuang Sun,Jinda Wang,Zhijun Sun,Gang Wang

The journal of obstetrics and gynaecology research 48:1698-1709 PubMed35644449

2022

Circ-0002814 participates in proliferation and migration through miR-210 and FUS/VEGF pathway of preeclampsia.

Applications

Unspecified application

Species

Unspecified reactive species

Na Wei,Hongbi Song

Cell death discovery 8:178 PubMed35396503

2022

HIF-1α-regulated lncRNA-TUG1 promotes mitochondrial dysfunction and pyroptosis by directly binding to FUS in myocardial infarction.

Applications

Unspecified application

Species

Unspecified reactive species

Yong-Wang Wang,Hong-Zhi Dong,Yong-Xing Tan,Xu Bao,Ying-Man Su,Xin Li,Fang Jiang,Jing Liang,Zhen-Cai Huang,Yan-Ling Ren,Yu-Li Xu,Qiang Su
View all publications

Product promise

We are committed to supporting your work with high-quality reagents, and we're here for you every step of the way. In the unlikely event that one of our products does not perform as expected, you're protected by our Product Promise.
For full details, please see our Terms & Conditions

Please note: All products are 'FOR RESEARCH USE ONLY. NOT FOR USE IN DIAGNOSTIC OR THERAPEUTIC PROCEDURES'.

For licensing inquiries, please contact partnerships@abcam.com