JavaScript is disabled in your browser. Please enable JavaScript to view this website.
AB232065

Anti-TLS/FUS antibody [EPR5812] - BSA and Azide free

Be the first to review this product! Submit a review

|

(1 Publication)

Rabbit Recombinant Monoclonal TLS/FUS antibody. Carrier free. Suitable for IHC-P, WB, ICC/IF, Flow Cyt (Intra) and reacts with Human samples. Cited in 1 publication.

View Alternative Names

TLS, FUS, RNA-binding protein FUS, 75 kDa DNA-pairing protein, Oncogene FUS, Oncogene TLS, POMp75, Translocated in liposarcoma protein

9 Images
Flow Cytometry (Intracellular) - Anti-TLS/FUS antibody [EPR5812] - BSA and Azide free (AB232065)
  • Flow Cyt (Intra)

Supplier Data

Flow Cytometry (Intracellular) - Anti-TLS/FUS antibody [EPR5812] - BSA and Azide free (AB232065)

This data was developed using ab124923, the same antibody clone in a different buffer formulation.
Flow Cytometry analysis of HepG2 (Human hepatocellular carcinoma epithelial cell) cells labelling TLS/FUS with Purified ab124923 at 1 : 100 dilution (10 µg/ml) (Red). Cells were fixed with 5% Paraformaldehyde and permeabilised with 91% Methanol. A Goat anti rabbit IgG (Alexa Fluor® 488, ab150077) secondary antibody was used at 1 : 2000. Isotype control - Rabbit monoclonal IgG (Black). Unlabelled control - Cell without incubation with primary antibody and secondary antibody (Blue).

Immunocytochemistry/ Immunofluorescence - Anti-TLS/FUS antibody [EPR5812] - BSA and Azide free (AB232065)
  • ICC/IF

Supplier Data

Immunocytochemistry/ Immunofluorescence - Anti-TLS/FUS antibody [EPR5812] - BSA and Azide free (AB232065)

This data was developed using ab124923, the same antibody clone in a different buffer formulation.
Immunocytochemistry analysis of HepG2 (Human hepatocellular carcinoma epithelial cell) cells labeling TLS/FUS with Purified ab124923 at 1 : 100 dilution (10 µg/ml). Cells were fixed in 4% Paraformaldehyde and permeabilized with 0.1% tritonX-100. Cells were counterstained with ab195889 Anti-alpha Tubulin antibody [DM1A] - Microtubule Marker (Alexa Fluor® 594) 1 : 200 (2.5 µg/ml). Goat anti rabbit IgG (Alexa Fluor® 488, ab150077) was used as the secondary antibody at 1 : 1000 (2 µg/ml) dilution. DAPI (blue) was used as nuclear counterstain. PBS instead of the primary antibody was used as the secondary antibody only control.

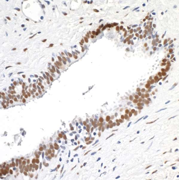
Immunohistochemistry (Formalin/PFA-fixed paraffin-embedded sections) - Anti-TLS/FUS antibody [EPR5812] - BSA and Azide free (AB232065)
  • IHC-P

Unknown

Immunohistochemistry (Formalin/PFA-fixed paraffin-embedded sections) - Anti-TLS/FUS antibody [EPR5812] - BSA and Azide free (AB232065)

ab124923, at 1/50 dilution, staining TLS/FUS in formalin-fixed, paraffin-embedded Human kidney tissue, by Immunohistochemistry.

This data was developed using ab124923, the same antibody clone in a different buffer formulation.

Perform heat mediated antigen retrieval before commencing with IHC staining protocol.

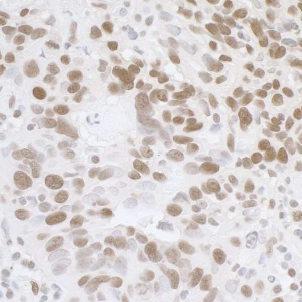
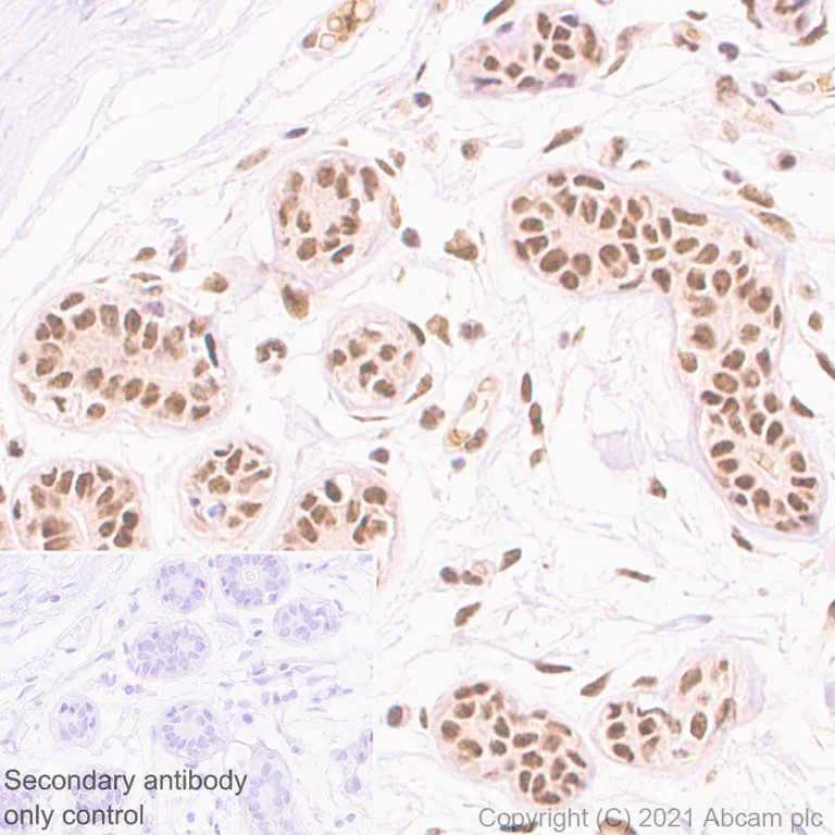
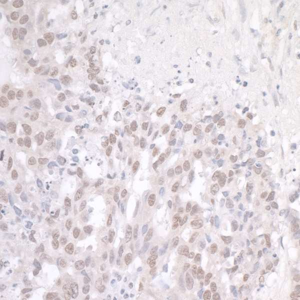
Immunohistochemistry (Formalin/PFA-fixed paraffin-embedded sections) - Anti-TLS/FUS antibody [EPR5812] - BSA and Azide free (AB232065)
  • IHC-P

Supplier Data

Immunohistochemistry (Formalin/PFA-fixed paraffin-embedded sections) - Anti-TLS/FUS antibody [EPR5812] - BSA and Azide free (AB232065)

This data was developed using ab124923, the same antibody clone in a different buffer formulation.
Immunohistochemistry (Formalin/PFA-fixed paraffin-embedded sections) analysis of human breast tissue sections labeling TLS/FUS with Purified ab124923 at 1 : 800 dilution (1.429 µg/mL). Heat mediated antigen retrieval was performed using Perform heat mediated antigen retrieval using ab93684 (Tris/EDTA buffer, pH 9.0). Tissue was counterstained with Hematoxylin. ImmunoHistoProbe one step HRP Polymer (ready to use) secondary antibody was used. PBS instead of the primary antibody was used as the negative control.

Immunocytochemistry/ Immunofluorescence - Anti-TLS/FUS antibody [EPR5812] - BSA and Azide free (AB232065)
  • ICC/IF

Lab

Immunocytochemistry/ Immunofluorescence - Anti-TLS/FUS antibody [EPR5812] - BSA and Azide free (AB232065)

Immunocytochemistry/ Immunofluorescence analysis of K-562 (human chronic myelogenous leukemia lymphoblast) cells labeling TLS/FUS with ab124923 at 1/250 (8.3 μg/mL). Cells were fixed with 4% Paraformaldehyde and permeabilised 0.1% TritonX-100. ab150077, AlexaFluor®488 Goat anti-Rabbit secondary at 1/1000 (2 μg/mL) was used as the secondary antibody. Nuclei were counterstained with DAPI and are shown in blue.

Confocal image showing nuclear staining in K-562 cells.

This data was developed using ab124923, the same antibody clone in a different buffer formulation. (ab124923).

Western blot - Anti-TLS/FUS antibody [EPR5812] - BSA and Azide free (AB232065)
  • WB

Unknown

Western blot - Anti-TLS/FUS antibody [EPR5812] - BSA and Azide free (AB232065)

This data was developed using ab124923, the same antibody clone in a different buffer formulation.

We are unsure about the nature of the extra bands.

All lanes:

Western blot - Anti-TLS/FUS antibody [EPR5812] (<a href='/en-us/products/primary-antibodies/tls-fus-antibody-epr5812-ab124923'>ab124923</a>) at 1/5000 dilution

Lane 1:

K-562 (Human chronic myelogenous leukemia lymphoblast) whole cell lysate at 20 µg

Lane 2:

Caco-2 (Human colorectal adenocarcinoma epithelial cell) whole cell lysate at 15 µg

Secondary

All lanes:

Goat Anti-Rabbit IgG (HRP) with minimal cross-reactivity with human IgG at 1/2000 dilution

Predicted band size: 53 kDa

Observed band size: 73 kDa

false

Western blot - Anti-TLS/FUS antibody [EPR5812] - BSA and Azide free (AB232065)
  • WB

Lab

Western blot - Anti-TLS/FUS antibody [EPR5812] - BSA and Azide free (AB232065)

This data was developed using ab124923, the same antibody clone in a different buffer formulation.

Lanes 1- 2 : Merged signal (red and green). Green - ab124923 observed at 75 kDa. Red - Anti-GAPDH antibody [6C5] - Loading Control (ab8245) observed at 37 kDa.

ab124923 was shown to react with TLS/FUS in wild-type HEK-293T cells in western blot. Loss of signal was observed when knockout cell line ab266587 (knockout cell lysate ab257100) was used. Wild-type HEK-293T and FUS knockout HEK-293T cell lysates were subjected to SDS-PAGE. Membrane was blocked for 1 hour at room temperature in 0.1% TBST with 3% non-fat dried milk. ab124923 and Anti-GAPDH antibody [6C5] - Loading Control (ab8245) overnight at 4°C at a 1 in 1000 dilution and a 1 in 20000 dilution respectively. Blots were developed with Goat anti-Rabbit IgG H&L (IRDye®800CW) preadsorbed (ab216773) and Goat anti-Mouse IgG H&L (IRDye®680RD) preadsorbed (ab216776) secondary antibodies at 1 in 20000 dilution for 1 hour at room temperature before imaging.

All lanes:

Western blot - Anti-TLS/FUS antibody [EPR5812] (<a href='/en-us/products/primary-antibodies/tls-fus-antibody-epr5812-ab124923'>ab124923</a>) at 1/1000 dilution

Lane 1:

Wild-type HEK-293T cell lysate at 20 µg

Lane 2:

FUS knockout HEK-293T cell lysate at 20 µg

Lane 2:

Western blot - Human FUS (TLS) knockout HEK-293T cell line (<a href='/en-us/products/cell-lines/human-fus-tls-knockout-hek-293t-cell-line-ab266587'>ab266587</a>)

Predicted band size: 53 kDa

Observed band size: 75 kDa

false

Western blot - Anti-TLS/FUS antibody [EPR5812] - BSA and Azide free (AB232065)
  • WB

Supplier Data

Western blot - Anti-TLS/FUS antibody [EPR5812] - BSA and Azide free (AB232065)

Lanes 1 to 4 : Merged signal (red and green). Green - ab124923 observed at 75 kDa. Red - loading control, ab8245, observed at 37 kDa.

ab124923 was shown to specifically react with TLS/FUS when TLS/FUS knockout samples were used. Wild-type and TLS/FUS knockout samples were subjected to SDS-PAGE. ab124923 and ab28245 (loading control to GAPDH) were both diluted at 1/1,000 and 1/10,000 respectively and incubated overnight at 4°C. Blots were developed with Goat anti-Rabbit IgG H&L (IRDye® 800CW) preadsorbed (ab216773) and Goat anti-Mouse IgG H&L (IRDye® 680RD) preadsorbed (ab216776) secondary antibodies at 1/10,000 dilution for 1 hour at room temperature before imaging.

This data was developed using ab124923, the same antibody clone in a different buffer formulation.

All lanes:

Western blot - Anti-TLS/FUS antibody [EPR5812] - BSA and Azide free (ab232065) at 1/1000 dilution

Lane 1:

Wild-type HAP1 cell lysate at 20 µg

Lane 2:

TLS/FUS knockout HAP1 cell lysate at 20 µg

Lane 3:

K562 cell lysate at 20 µg

Lane 4:

HepG2 cell lysate at 20 µg

Predicted band size: 53 kDa

false

OI-RD Scanning - Anti-TLS/FUS antibody [EPR5812] - BSA and Azide free (AB232065)
  • OI-RD Scanning

Unknown

OI-RD Scanning - Anti-TLS/FUS antibody [EPR5812] - BSA and Azide free (AB232065)

We have systematically measured KD (the equilibrium dissociation constant between the antibody and its antigen), of more than 840 recombinant antibodies to assess not only their individual KD values but also to see the average affinity of antibody. Based on the comparison with published literature values for mouse monoclonal antibodies, Recombinant antibodies appear to be on average 1-2 order of magnitude higher affinity.

Key facts

Host species

Rabbit

Clonality

Monoclonal

Clone number

EPR5812

Isotype

IgG

Carrier free

Yes

Reacts with

Human

Applications

ICC/IF, WB, IHC-P, Flow Cyt (Intra)

applications

Immunogen

The exact immunogen used to generate this antibody is proprietary information.

Reactivity data

{ "title": "Reactivity Data", "filters": { "stats": ["", "Species", "Dilution Info", "Notes"], "tabs": { "all-applications": {"fullname" : "All Applications", "shortname": "All Applications"}, "IHCP" : {"fullname" : "Immunohistochemistry (Formalin/PFA-fixed paraffin-embedded sections)", "shortname":"IHC-P"}, "WB" : {"fullname" : "Western blot", "shortname":"WB"}, "ICCIF" : {"fullname" : "Immunocytochemistry/ Immunofluorescence", "shortname":"ICC/IF"}, "FlowCytIntra" : {"fullname" : "Flow Cytometry (Intracellular)", "shortname":"Flow Cyt (Intra)"} }, "product-promise": { "all": "all", "testedAndGuaranteed": "tested", "guaranteed": "expected", "predicted": "predicted", "notRecommended": "not-recommended" } }, "values": { "Human": { "IHCP-species-checked": "testedAndGuaranteed", "IHCP-species-dilution-info": "", "IHCP-species-notes": "<p></p>", "WB-species-checked": "testedAndGuaranteed", "WB-species-dilution-info": "", "WB-species-notes": "<p></p>", "ICCIF-species-checked": "testedAndGuaranteed", "ICCIF-species-dilution-info": "", "ICCIF-species-notes": "<p></p>", "FlowCytIntra-species-checked": "guaranteed", "FlowCytIntra-species-dilution-info": "", "FlowCytIntra-species-notes": "<p></p>" }, "Mouse": { "IHCP-species-checked": "notRecommended", "IHCP-species-dilution-info": "", "IHCP-species-notes": "<p></p>", "WB-species-checked": "notRecommended", "WB-species-dilution-info": "", "WB-species-notes": "<p></p>", "ICCIF-species-checked": "notRecommended", "ICCIF-species-dilution-info": "", "ICCIF-species-notes": "<p></p>", "FlowCytIntra-species-checked": "notRecommended", "FlowCytIntra-species-dilution-info": "", "FlowCytIntra-species-notes": "<p></p>" }, "Rat": { "IHCP-species-checked": "notRecommended", "IHCP-species-dilution-info": "", "IHCP-species-notes": "<p></p>", "WB-species-checked": "notRecommended", "WB-species-dilution-info": "", "WB-species-notes": "<p></p>", "ICCIF-species-checked": "notRecommended", "ICCIF-species-dilution-info": "", "ICCIF-species-notes": "<p></p>", "FlowCytIntra-species-checked": "notRecommended", "FlowCytIntra-species-dilution-info": "", "FlowCytIntra-species-notes": "<p></p>" } } }

Product details

ab232065 is the carrier-free version of ab124923.

We are constantly working hard to ensure we provide our customers with best in class antibodies. As a result of this work we are pleased to now offer this antibody in purified format. We are in the process of updating our datasheets. The purified format is designated 'PUR' on our product labels. If you have any questions regarding this update, please contact our Scientific Support team.

Patented technology
Our RabMAb® technology is a patented hybridoma-based technology for making rabbit monoclonal antibodies. For details on our patents, please refer to RabMAb® patents.

What are the advantages of a recombinant monoclonal antibody?
This product is a recombinant monoclonal antibody, which offers several advantages including:

  • - High batch-to-batch consistency and reproducibility
  • - Improved sensitivity and specificity
  • - Long-term security of supply
  • - Animal-free batch production

For more information, read more on recombinant antibodies.

Conjugation ready
Our carrier-free antibodies are typically supplied in a PBS-only formulation, purified and free of BSA, sodium azide and glycerol. This conjugation-ready format is designed for use with fluorochromes, metal isotopes, oligonucleotides, and enzymes, which makes them ideal for antibody labelling, functional and cell-based assays, flow-based assays (e.g. mass cytometry) and Multiplex Imaging applications.

Use our conjugation kits for antibody conjugates that are ready-to-use in as little as 20 minutes with 1 minute hands-on-time and 100% antibody recovery: available for fluorescent dyes, HRP, biotin and gold.

Compatibility
This product is compatible with the Maxpar® Antibody Labeling Kit from Fluidigm, without the need for antibody preparation. Maxpar® is a trademark of Fluidigm Canada Inc.

Properties and storage information

Form
Liquid
Purification technique
Affinity purification Protein A
Storage buffer
pH: 7.2 - 7.4 Constituents: PBS
Shipped at conditions
Blue Ice
Appropriate short-term storage conditions
+4°C
Appropriate long-term storage conditions
+4°C
Storage information
Do Not Freeze

Supplementary information

This supplementary information is collated from multiple sources and compiled automatically.

TLS/FUS also known as FUS and the FUS protein is an RNA-binding protein involved in various cellular processes. It has a molecular weight of approximately 53 kDa. Expressed extensively in the nucleus FUS/TLS relocates to the cytoplasm under stress conditions. It plays mechanical roles in transcription regulation RNA splicing and mRNA transport. Scientists sometimes refer to FUS as the 'fused in sarcoma' protein because of its involvement in gene fusion events.
Biological function summary

The FUS protein aids in the maintenance and stabilization of mRNA molecules and participates in the formation of stress granules distinct cytoplasmic aggregates of proteins and RNAs. It forms part of a large protein complex alongside other RNA-binding proteins. FUS stabilizes pre-mRNA structures which affects protein expression patterns essential for cell survival and differentiation. Its ability to bind to RNA and DNA indicates its fundamental role in genomic stability.

Pathways

The functions of FUS help regulate RNA metabolism-related pathways and cellular stress response pathways. FUS interacts with proteins like TAF15 and EWSR1 within these pathways showing a complex network of interactions that contribute to RNA maturation and stress granule dynamic formation. The activity of FUS in these pathways ultimately affects cellular homeostasis gene expression modulation and response to cellular stress.

FUS protein mutations or mislocalizations relate to neurodegenerative diseases such as amyotrophic lateral sclerosis (ALS) and frontotemporal lobar degeneration (FTLD). These conditions are characterized by the accumulation of FUS or FUS-related aggregates in the cytoplasm leading to neuronal cell death. FUS is also connected to other RNA-binding proteins like TDP-43 which also mislocalizes and forms aggregates in these disorders highlighting the importance of protein homeostasis and normal RNA metabolism in the prevention of these diseases.

Product protocols

For this product, it's our understanding that no specific protocols are required. You can visit:

Target data

DNA/RNA-binding protein that plays a role in various cellular processes such as transcription regulation, RNA splicing, RNA transport, DNA repair and damage response (PubMed : 27731383). Binds to nascent pre-mRNAs and acts as a molecular mediator between RNA polymerase II and U1 small nuclear ribonucleoprotein thereby coupling transcription and splicing (PubMed : 26124092). Binds also its own pre-mRNA and autoregulates its expression; this autoregulation mechanism is mediated by non-sense-mediated decay (PubMed : 24204307). Plays a role in DNA repair mechanisms by promoting D-loop formation and homologous recombination during DNA double-strand break repair (PubMed : 10567410). In neuronal cells, plays crucial roles in dendritic spine formation and stability, RNA transport, mRNA stability and synaptic homeostasis (By similarity).
See full target information FUS

Publications (1)

Recent publications for all applications. Explore the full list and refine your search

Translational lung cancer research 10:2523-2538 PubMed34295659

2021

One carbon metabolism in human lung cancer.

Applications

Unspecified application

Species

Unspecified reactive species

Sha Yao,Luogen Peng,Omar Elakad,Stefan Küffer,Marc Hinterthaner,Bernhard C Danner,Alexander von Hammerstein-Equord,Philipp Ströbel,Hanibal Bohnenberger
View all publications

Product promise

We are committed to supporting your work with high-quality reagents, and we're here for you every step of the way. In the unlikely event that one of our products does not perform as expected, you're protected by our Product Promise.
For full details, please see our Terms & Conditions

Please note: All products are 'FOR RESEARCH USE ONLY. NOT FOR USE IN DIAGNOSTIC OR THERAPEUTIC PROCEDURES'.

For licensing inquiries, please contact partnerships@abcam.com