JavaScript is disabled in your browser. Please enable JavaScript to view this website.
AB283272

Anti-TLS/FUS antibody [Z-FUS-5] - Mouse IgG2a (Chimeric)

  • BOND RX™ Validated
  • 20ul selling size
  • Recombinant
  • KO Validated
  • What is this?

Be the first to review this product! Submit a review

|

(0 Publication)

Mouse Recombinant Monoclonal TLS/FUS antibody. Suitable for ICC/IF, WB, IHC-P and reacts with Mouse, Human, Rat samples.

View Alternative Names

TLS, FUS, RNA-binding protein FUS, 75 kDa DNA-pairing protein, Oncogene FUS, Oncogene TLS, POMp75, Translocated in liposarcoma protein

8 Images
Immunohistochemistry (Formalin/PFA-fixed paraffin-embedded sections) - Anti-TLS/FUS antibody [Z-FUS-5] - Mouse IgG2a (Chimeric) (AB283272)
  • IHC-P

Unknown

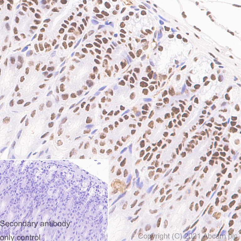
Immunohistochemistry (Formalin/PFA-fixed paraffin-embedded sections) - Anti-TLS/FUS antibody [Z-FUS-5] - Mouse IgG2a (Chimeric) (AB283272)

Immunohistochemistry (Formalin/PFA-fixed paraffin-embedded sections) analysis of Human lung carcinoma tissue labelling TLS/FUS with ab283272 at 1/100 dilution. Heat mediated antigen retrieval was performed using Tris/EDTA buffer pH 9. LeicaDS9800 (Bond™ Polymer Refine Detection) was used as the secondary antibody. Hematoxylin was used as a counterstain.

Nuclear staining on human lung carcinoma. The section was incubated with ab283272 for 30 mins at room temperature and followed mouse specific IgG antibody for 8 mins.
The immunostaining was performed on a Leica Biosystems BOND® RX instrument

Immunohistochemistry (Formalin/PFA-fixed paraffin-embedded sections) - Anti-TLS/FUS antibody [Z-FUS-5] - Mouse IgG2a (Chimeric) (AB283272)
  • IHC-P

Unknown

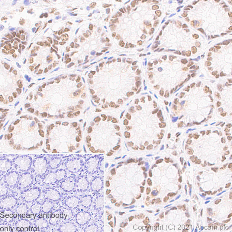
Immunohistochemistry (Formalin/PFA-fixed paraffin-embedded sections) - Anti-TLS/FUS antibody [Z-FUS-5] - Mouse IgG2a (Chimeric) (AB283272)

Immunohistochemistry (Formalin/PFA-fixed paraffin-embedded sections) analysis of Human colon tissue labelling TLS/FUS with ab283272 at 1/100 dilution. Heat mediated antigen retrieval was performed using Tris/EDTA buffer pH 9. LeicaDS9800 (Bond™ Polymer Refine Detection) was used as the secondary antibody. Hematoxylin was used as a counterstain. Nuclear staining on human colon. The section was incubated with ab283272 for 30 mins at room temperature and followed mouse specific IgG antibody for 8 mins.
The immunostaining was performed on a Leica Biosystems BOND® RX instrument

Immunocytochemistry/ Immunofluorescence - Anti-TLS/FUS antibody [Z-FUS-5] - Mouse IgG2a (Chimeric) (AB283272)
  • ICC/IF

Unknown

Immunocytochemistry/ Immunofluorescence - Anti-TLS/FUS antibody [Z-FUS-5] - Mouse IgG2a (Chimeric) (AB283272)

ab283272 staining TLS/FUS in HeLa cells. The cells were fixed with 4% paraformaldehyde (10 min), permeabilized with 0.1% Triton X-100 for 5 minutes. The cells were then incubated with ab283272 at 1/50 dilution and ab179513 (Rabbit monoclonal to beta Tubulin) at 1/20 dilution overnight at +4°C, followed by a further incubation at room temperature for 1h with a goat secondary antibody to mouse IgG (Alexa Fluor® 488) (ab150113 ) at 1/1000 dilution (shown in green) and a goat secondary antibody to rabbit IgG (Alexa Fluor® 594) (ab150080) at 1/500 dilution (shown in red). Nuclear DNA was labelled in blue with DAPI.

Confocal image showing nuclear staining in HeLa cell line.

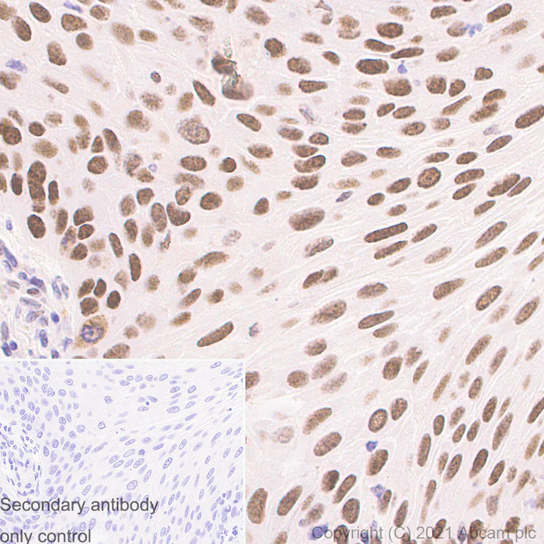
Immunohistochemistry (Formalin/PFA-fixed paraffin-embedded sections) - Anti-TLS/FUS antibody [Z-FUS-5] - Mouse IgG2a (Chimeric) (AB283272)
  • IHC-P

Unknown

Immunohistochemistry (Formalin/PFA-fixed paraffin-embedded sections) - Anti-TLS/FUS antibody [Z-FUS-5] - Mouse IgG2a (Chimeric) (AB283272)

Immunohistochemistry (Formalin/PFA-fixed paraffin-embedded sections) analysis of Rat colon tissue labelling TLS/FUS with ab283272 at 1/100 dilution. Heat mediated antigen retrieval was performed using Tris/EDTA buffer pH 9. LeicaDS9800 (Bond™ Polymer Refine Detection) was used as the secondary antibody. Hematoxylin was used as a counterstain.

Nuclear staining on rat colon. The section was incubated with ab283272 for 30 mins at room temperature and followed mouse specific IgG antibody for 8 mins.
The immunostaining was performed on a Leica Biosystems BOND® RX instrument

Immunohistochemistry (Formalin/PFA-fixed paraffin-embedded sections) - Anti-TLS/FUS antibody [Z-FUS-5] - Mouse IgG2a (Chimeric) (AB283272)
  • IHC-P

Unknown

Immunohistochemistry (Formalin/PFA-fixed paraffin-embedded sections) - Anti-TLS/FUS antibody [Z-FUS-5] - Mouse IgG2a (Chimeric) (AB283272)

Immunohistochemistry (Formalin/PFA-fixed paraffin-embedded sections) analysis of Mouse stomach tissue labelling TLS/FUS with ab283272 at 1/100 dilution. Heat mediated antigen retrieval was performed using Tris/EDTA buffer pH 9. LeicaDS9800 (Bond™ Polymer Refine Detection) was used as the secondary antibody. Hematoxylin was used as a counterstain.

Nuclear staining on mouse stomach. The section was incubated with ab283272 for 30 mins at room temperature and followed mouse specific IgG antibody for 8 mins.
The immunostaining was performed on a Leica Biosystems BOND® RX instrument

Immunocytochemistry/ Immunofluorescence - Anti-TLS/FUS antibody [Z-FUS-5] - Mouse IgG2a (Chimeric) (AB283272)
  • ICC/IF

Unknown

Immunocytochemistry/ Immunofluorescence - Anti-TLS/FUS antibody [Z-FUS-5] - Mouse IgG2a (Chimeric) (AB283272)

ab283272 staining TLS/FUS in NIH/3T3 cells. The cells were fixed with 4% paraformaldehyde (10 min), permeabilized with 0.1% Triton X-100 for 5 minutes. The cells were then incubated with ab283272 at 1/50 dilution and ab179513 (Rabbit monoclonal to beta Tubulin) at 1/20 dilution overnight at +4°C, followed by a further incubation at room temperature for 1h with a goat secondary antibody to mouse IgG (Alexa Fluor® 488) (ab150113 ) at 1/1000 dilution (shown in green) and a goat secondary antibody to rabbit IgG (Alexa Fluor® 594) (ab150080) at 1/500 dilution (shown in red). Nuclear DNA was labelled in blue with DAPI.

Confocal image showing nuclear staining in NIH/3T3 cell line.

Western blot - Anti-TLS/FUS antibody [Z-FUS-5] - Mouse IgG2a (Chimeric) (AB283272)
  • WB

Unknown

Western blot - Anti-TLS/FUS antibody [Z-FUS-5] - Mouse IgG2a (Chimeric) (AB283272)

The expression molecular weight observed is consistent with what has been described in the literature (PMID : 30344044).

Lanes 1-2 : Merged signal (red and green). Green - ab283272 observed at 60 kDa. Red - loading control ab181602 (Rabbit monoclonal [EPR16891] to GAPDH) observed at 36 kDa.

Lanes 1-2 : ab283272 Anti-FUS antibody was shown to react with FUS in HAP1 cells in Western blot. Loss of signal was observed when FUS knockout sample was used. Wild-type and FUS knockout samples were subjected to SDS-PAGE.

ab283272 and Anti-GAPDH antibody [EPR16891] - Loading Control (ab181602) were incubated at 4℃ overnight at 1 in 1000 dilution and 1 in 20000 dilution respectively. Blots were developed with Goat anti-Rabbit IgG H&L (IRDye® 680CW) preadsorbed (ab216777) and Goat anti-Mouse IgG H&L (IRDye® 800RD) preadsorbed (ab216772) secondary antibodies at 1 in 10000 dilution for 1 hour at room temperature before imaging.
70kDa band is the non-specific band according to KO validation.

All lanes:

Western blot - Anti-TLS/FUS antibody [Z-FUS-5] - Mouse IgG2a (Chimeric) (ab283272) at 1/1000 dilution

Lane 1:

Wild type HAP1(human chronic myelogenous leukemia near-haploid cell line), whole cell lysate at 20 µg

Lane 2:

FUS knockout HAP1(human chronic myelogenous leukemia near-haploid cell line), whole cell lysate at 20 µg

Lane 3:

HeLa (human cervix adenocarcinoma epithelial cell), whole cell lysate at 20 µg

Lane 4:

293T (human embryonic kidney epithelial cell) whole cell lysate at 20 µg

Secondary

All lanes:

Western blot - Goat Anti-Rabbit IgG H&L (IRDye® 680RD) preadsorbed (<a href='/en-us/products/secondary-antibodies/goat-rabbit-igg-h-l-irdye-680rd-preadsorbed-ab216777'>ab216777</a>) at 1/10000 dilution

Predicted band size: 53 kDa

Observed band size: 60 kDa

false

Western blot - Anti-TLS/FUS antibody [Z-FUS-5] - Mouse IgG2a (Chimeric) (AB283272)
  • WB

Unknown

Western blot - Anti-TLS/FUS antibody [Z-FUS-5] - Mouse IgG2a (Chimeric) (AB283272)

The expression molecular weight observed is consistent with what has been described in the literature (PMID : 30344044).
70kDa band is the non-specific band according to KO validation.

Lane 1 : 70 seconds
Lane 2 : 26 seconds

All lanes:

Western blot - Anti-TLS/FUS antibody [Z-FUS-5] - Mouse IgG2a (Chimeric) (ab283272) at 1/1000 dilution

Lane 1:

HeLa (human epithelial cell line from cervix adenocarcinoma), whole cell lysate at 20 µg

Lane 2:

NIH/3T3 (mouse embryonic fibroblast), whole cell lysate at 20 µg

Secondary

All lanes:

Peroxidase-Conjugated Goat anti-Mouse IgG (H+L) at 1/10000 dilution

Predicted band size: 53 kDa

false

  • Carrier free

    Anti-TLS/FUS antibody [Z-FUS-5] - Mouse IgG2a (Chimeric) - BSA and Azide free

Key facts

Host species

Mouse

Clonality

Monoclonal

Clone number

Z-FUS-5

Isotype

IgG2a

Carrier free

No

Reacts with

Mouse, Human, Rat

Applications

IHC-P, WB, ICC/IF

applications

Immunogen

The exact immunogen used to generate this antibody is proprietary information.

Reactivity data

{ "title": "Reactivity Data", "filters": { "stats": ["", "Species", "Dilution Info", "Notes"], "tabs": { "all-applications": {"fullname" : "All Applications", "shortname": "All Applications"}, "ICCIF" : {"fullname" : "Immunocytochemistry/ Immunofluorescence", "shortname":"ICC/IF"}, "WB" : {"fullname" : "Western blot", "shortname":"WB"}, "IHCP" : {"fullname" : "Immunohistochemistry (Formalin/PFA-fixed paraffin-embedded sections)", "shortname":"IHC-P"}, "IP" : {"fullname" : "Immunoprecipitation", "shortname":"IP"} }, "product-promise": { "all": "all", "testedAndGuaranteed": "tested", "guaranteed": "expected", "predicted": "predicted", "notRecommended": "not-recommended" } }, "values": { "Human": { "ICCIF-species-checked": "testedAndGuaranteed", "ICCIF-species-dilution-info": "1/50", "ICCIF-species-notes": "<p></p>", "WB-species-checked": "testedAndGuaranteed", "WB-species-dilution-info": "1/1000", "WB-species-notes": "<p></p>", "IHCP-species-checked": "testedAndGuaranteed", "IHCP-species-dilution-info": "1/100", "IHCP-species-notes": "<p></p>", "IP-species-checked": "notRecommended", "IP-species-dilution-info": "", "IP-species-notes": "<p></p>" }, "Mouse": { "ICCIF-species-checked": "testedAndGuaranteed", "ICCIF-species-dilution-info": "1/50", "ICCIF-species-notes": "<p></p>", "WB-species-checked": "testedAndGuaranteed", "WB-species-dilution-info": "1/1000", "WB-species-notes": "<p></p>", "IHCP-species-checked": "testedAndGuaranteed", "IHCP-species-dilution-info": "1/100", "IHCP-species-notes": "<p></p>", "IP-species-checked": "notRecommended", "IP-species-dilution-info": "", "IP-species-notes": "" }, "Rat": { "ICCIF-species-checked": "guaranteed", "ICCIF-species-dilution-info": "", "ICCIF-species-notes": "", "WB-species-checked": "guaranteed", "WB-species-dilution-info": "", "WB-species-notes": "", "IHCP-species-checked": "testedAndGuaranteed", "IHCP-species-dilution-info": "1/100", "IHCP-species-notes": "<p></p>", "IP-species-checked": "notRecommended", "IP-species-dilution-info": "", "IP-species-notes": "" } } }

Product details

ab283272 is a mouse monoclonal chimeric antibody.

What are the advantages of a recombinant monoclonal antibody?
This product is a recombinant monoclonal antibody, which offers several advantages including:

  • - High batch-to-batch consistency and reproducibility
  • - Improved sensitivity and specificity
  • - Long-term security of supply
  • - Animal-free batch production

For more information, read more on recombinant antibodies.

Collaborations
This antibody was developed by the Structural Genomics Consortium and manufactured by Abcam.

Properties and storage information

Form
Liquid
Purification technique
Affinity purification Protein A
Storage buffer
pH: 7.2 - 7.4 Preservative: 0.01% Sodium azide Constituents: PBS, 40% Glycerol (glycerin, glycerine), 0.05% BSA
Shipped at conditions
Blue Ice
Appropriate short-term storage duration
1-2 weeks
Appropriate short-term storage conditions
+4°C
Appropriate long-term storage conditions
-20°C
Aliquoting information
Upon delivery aliquot
Storage information
Avoid freeze / thaw cycle

Supplementary information

This supplementary information is collated from multiple sources and compiled automatically.

TLS/FUS also known as FUS and the FUS protein is an RNA-binding protein involved in various cellular processes. It has a molecular weight of approximately 53 kDa. Expressed extensively in the nucleus FUS/TLS relocates to the cytoplasm under stress conditions. It plays mechanical roles in transcription regulation RNA splicing and mRNA transport. Scientists sometimes refer to FUS as the 'fused in sarcoma' protein because of its involvement in gene fusion events.
Biological function summary

The FUS protein aids in the maintenance and stabilization of mRNA molecules and participates in the formation of stress granules distinct cytoplasmic aggregates of proteins and RNAs. It forms part of a large protein complex alongside other RNA-binding proteins. FUS stabilizes pre-mRNA structures which affects protein expression patterns essential for cell survival and differentiation. Its ability to bind to RNA and DNA indicates its fundamental role in genomic stability.

Pathways

The functions of FUS help regulate RNA metabolism-related pathways and cellular stress response pathways. FUS interacts with proteins like TAF15 and EWSR1 within these pathways showing a complex network of interactions that contribute to RNA maturation and stress granule dynamic formation. The activity of FUS in these pathways ultimately affects cellular homeostasis gene expression modulation and response to cellular stress.

FUS protein mutations or mislocalizations relate to neurodegenerative diseases such as amyotrophic lateral sclerosis (ALS) and frontotemporal lobar degeneration (FTLD). These conditions are characterized by the accumulation of FUS or FUS-related aggregates in the cytoplasm leading to neuronal cell death. FUS is also connected to other RNA-binding proteins like TDP-43 which also mislocalizes and forms aggregates in these disorders highlighting the importance of protein homeostasis and normal RNA metabolism in the prevention of these diseases.

Product protocols

For this product, it's our understanding that no specific protocols are required. You can visit:

Target data

DNA/RNA-binding protein that plays a role in various cellular processes such as transcription regulation, RNA splicing, RNA transport, DNA repair and damage response (PubMed : 27731383). Binds to nascent pre-mRNAs and acts as a molecular mediator between RNA polymerase II and U1 small nuclear ribonucleoprotein thereby coupling transcription and splicing (PubMed : 26124092). Binds also its own pre-mRNA and autoregulates its expression; this autoregulation mechanism is mediated by non-sense-mediated decay (PubMed : 24204307). Plays a role in DNA repair mechanisms by promoting D-loop formation and homologous recombination during DNA double-strand break repair (PubMed : 10567410). In neuronal cells, plays crucial roles in dendritic spine formation and stability, RNA transport, mRNA stability and synaptic homeostasis (By similarity).
See full target information FUS

Product promise

We are committed to supporting your work with high-quality reagents, and we're here for you every step of the way. In the unlikely event that one of our products does not perform as expected, you're protected by our Product Promise.
For full details, please see our Terms & Conditions

Please note: All products are 'FOR RESEARCH USE ONLY. NOT FOR USE IN DIAGNOSTIC OR THERAPEUTIC PROCEDURES'.

For licensing inquiries, please contact partnerships@abcam.com