JavaScript is disabled in your browser. Please enable JavaScript to view this website.
AB191270

Anti-TLX1 antibody

Be the first to review this product! Submit a review

|

(2 Publications)

Rabbit Polyclonal TLX1 antibody. Suitable for WB, IHC-P and reacts with Mouse, Human samples. Cited in 2 publications. Immunogen corresponding to Synthetic Peptide within Human TLX1 aa 150-200.

View Alternative Names

HOX11, TCL3, TLX1, T-cell leukemia homeobox protein 1, Homeobox protein Hox-11, Proto-oncogene TCL-3, T-cell leukemia/lymphoma protein 3

2 Images
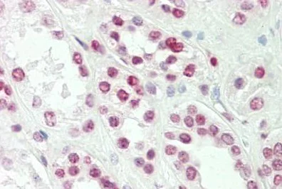
Immunohistochemistry (Formalin/PFA-fixed paraffin-embedded sections) - Anti-TLX1 antibody (AB191270)
  • IHC-P

Supplier Data

Immunohistochemistry (Formalin/PFA-fixed paraffin-embedded sections) - Anti-TLX1 antibody (AB191270)

Immunohistochemical analysis of paraffin-embedded, formalin-fixed Human kidney issue labeling TLX1 using ab191270 at 1/50 dilution.

Western blot - Anti-TLX1 antibody (AB191270)
  • WB

Supplier Data

Western blot - Anti-TLX1 antibody (AB191270)

All lanes:

Western blot - Anti-TLX1 antibody (ab191270) at 1/1000 dilution

All lanes:

mouse kidney tissue lysate at 35 µg

Predicted band size: 34 kDa

false

Key facts

Host species

Rabbit

Clonality

Polyclonal

Isotype

IgG

Carrier free

No

Reacts with

Mouse, Human

Applications

IHC-P, WB

applications

Immunogen

Synthetic Peptide within Human TLX1 aa 150-200. The exact immunogen used to generate this antibody is proprietary information.

P31314

Reactivity data

{ "title": "Reactivity Data", "filters": { "stats": ["", "Species", "Dilution Info", "Notes"], "tabs": { "all-applications": {"fullname" : "All Applications", "shortname": "All Applications"}, "WB" : {"fullname" : "Western blot", "shortname":"WB"}, "IHCP" : {"fullname" : "Immunohistochemistry (Formalin/PFA-fixed paraffin-embedded sections)", "shortname":"IHC-P"} }, "product-promise": { "all": "all", "testedAndGuaranteed": "tested", "guaranteed": "expected", "predicted": "predicted", "notRecommended": "not-recommended" } }, "values": { "Human": { "WB-species-checked": "guaranteed", "WB-species-dilution-info": "", "WB-species-notes": "", "IHCP-species-checked": "testedAndGuaranteed", "IHCP-species-dilution-info": "1/50", "IHCP-species-notes": "<p></p>" }, "Mouse": { "WB-species-checked": "testedAndGuaranteed", "WB-species-dilution-info": "1/1000", "WB-species-notes": "<p></p>", "IHCP-species-checked": "guaranteed", "IHCP-species-dilution-info": "", "IHCP-species-notes": "" } } }

Properties and storage information

Form
Liquid
Purification technique
Affinity purification Immunogen
Storage buffer
pH: 7.4 Preservative: 0.09% Sodium azide Constituents: PBS
Shipped at conditions
Blue Ice
Appropriate short-term storage duration
1-2 weeks
Appropriate short-term storage conditions
+4°C
Appropriate long-term storage conditions
-20°C
Aliquoting information
Upon delivery aliquot
Storage information
Avoid freeze / thaw cycle

Supplementary information

This supplementary information is collated from multiple sources and compiled automatically.

TLX1 also known as T-cell leukemia homeobox protein 1 or HOX11 serves as a transcription factor involved in the regulation of various developmental processes. It has an approximate molecular weight of 33 kDa and is primarily expressed in the developing nervous system and specific hematopoietic cells. TLX1 facilitates the binding to DNA at specific sequences to modulate target gene expression playing an essential role during certain developmental stages.
Biological function summary

The homeobox protein TLX1 contributes to the specification of cell identity and regulation of cell proliferation. It does not belong to a complex structure but functions independently to mediate transcriptional activation or repression. Its activity is essential during the development of the spleen and certain T-cell lineages indicating its relevance in embryogenesis and hematopoiesis.

Pathways

TLX1 plays a significant role in the Notch signaling pathway and the Wnt signaling pathway both of which control aspects of cell fate decisions and differentiation processes. TLX1 interacts with components of these pathways such as members of the Notch receptor family and beta-catenin to execute its function in maintaining cellular homeostasis and promoting lineage-specific differentiation.

TLX1 has known associations with T-cell acute lymphoblastic leukemia (T-ALL) and spleen developmental defects. Its aberrant expression interacts with other proteins like TAL1 and LMO1 contributing to leukemic transformation in T-ALL. The presence of TLX1 in these pathological conditions highlights its potential as a therapeutic target or biomarker for diagnosing and monitoring disease progression.

Product protocols

For this product, it's our understanding that no specific protocols are required. You can visit:

Target data

Controls the genesis of the spleen. Binds to the DNA sequence 5'-GGCGGTAAGTGG-3'.
See full target information TLX1

Publications (2)

Recent publications for all applications. Explore the full list and refine your search

Cellular & molecular biology letters 30:115 PubMed41053540

2025

LncRNA-like MMP14 RNA facilitates colorectal cancer metastasis by suppressing H3K27cr at the STARD13 promoter region.

Applications

Unspecified application

Species

Unspecified reactive species

Mengting Li,Ying Gao,Xiaolin Sun,Wendan Zheng,Mengzhen Zhang,Chenlong Wang,Weiwei Chu,Xuemei Yang,Lin Wang,Maojin Zheng,Wenzhi Xue,Fuxing Dong,Dongsheng Pei,Meijian Liao

Cell division 19:27 PubMed39261946

2024

Overexpression of ZFP69B promotes hepatocellular carcinoma growth by upregulating the expression of TLX1 and TRAPPC9.

Applications

Unspecified application

Species

Unspecified reactive species

Wei Xie,Zhongming Bao,Dan Yao,Yong Yang
View all publications

Product promise

We are committed to supporting your work with high-quality reagents, and we're here for you every step of the way. In the unlikely event that one of our products does not perform as expected, you're protected by our Product Promise.
For full details, please see our Terms & Conditions

Please note: All products are 'FOR RESEARCH USE ONLY. NOT FOR USE IN DIAGNOSTIC OR THERAPEUTIC PROCEDURES'.

For licensing inquiries, please contact partnerships@abcam.com