JavaScript is disabled in your browser. Please enable JavaScript to view this website.
AB236850

Anti-TM41A antibody

Be the first to review this product! Submit a review

|

(1 Publication)

Rabbit Polyclonal TM41A antibody. Suitable for WB, IHC-P, ICC/IF and reacts with Mouse, Human samples. Cited in 1 publication. Immunogen corresponding to Recombinant Fragment Protein within Human TMEM41A aa 1-100.

View Alternative Names

UNQ168/PRO194, TMEM41A, Transmembrane protein 41A

4 Images
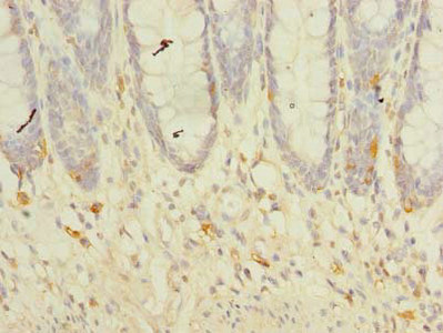
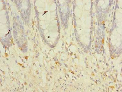
Immunohistochemistry (Formalin/PFA-fixed paraffin-embedded sections) - Anti-TM41A antibody (AB236850)
  • IHC-P

Supplier Data

Immunohistochemistry (Formalin/PFA-fixed paraffin-embedded sections) - Anti-TM41A antibody (AB236850)

Paraffin-embedded human rectum tissue stained for TM41A with ab236850 at a 1/100 dilution in immunohistochemical analysis.

Immunocytochemistry/ Immunofluorescence - Anti-TM41A antibody (AB236850)
  • ICC/IF

Supplier Data

Immunocytochemistry/ Immunofluorescence - Anti-TM41A antibody (AB236850)

HepG2 (Human liver hepatocellular carcinoma cell line) cells stained for TM41A using ab236850 at a dilution of 1/100 in ICC/IF, followed by Alexa-Fluor®488-conjugated Goat Anti-Rabbit IgG (H+L) secondary antibody.

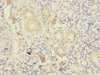
Immunohistochemistry (Formalin/PFA-fixed paraffin-embedded sections) - Anti-TM41A antibody (AB236850)
  • IHC-P

Supplier Data

Immunohistochemistry (Formalin/PFA-fixed paraffin-embedded sections) - Anti-TM41A antibody (AB236850)

Paraffin-embedded human pancreas tissue stained for TM41A with ab236850 at a 1/100 dilution in immunohistochemical analysis.

Western blot - Anti-TM41A antibody (AB236850)
  • WB

Supplier Data

Western blot - Anti-TM41A antibody (AB236850)

All lanes:

Western blot - Anti-TM41A antibody (ab236850) at 1/500 dilution

All lanes:

Mouse liver tissue lysate

Secondary

All lanes:

Goat polyclonal to rabbit IgG at 1/10000 dilution

Predicted band size: 30 kDa

false

Key facts

Host species

Rabbit

Clonality

Polyclonal

Isotype

IgG

Carrier free

No

Reacts with

Mouse, Human

Applications

ICC/IF, IHC-P, WB

applications

Immunogen

Recombinant Fragment Protein within Human TMEM41A aa 1-100. The exact immunogen used to generate this antibody is proprietary information.

Q96HV5

Reactivity data

{ "title": "Reactivity Data", "filters": { "stats": ["", "Species", "Dilution Info", "Notes"], "tabs": { "all-applications": {"fullname" : "All Applications", "shortname": "All Applications"}, "WB" : {"fullname" : "Western blot", "shortname":"WB"}, "IHCP" : {"fullname" : "Immunohistochemistry (Formalin/PFA-fixed paraffin-embedded sections)", "shortname":"IHC-P"}, "ICCIF" : {"fullname" : "Immunocytochemistry/ Immunofluorescence", "shortname":"ICC/IF"} }, "product-promise": { "all": "all", "testedAndGuaranteed": "tested", "guaranteed": "expected", "predicted": "predicted", "notRecommended": "not-recommended" } }, "values": { "Human": { "WB-species-checked": "guaranteed", "WB-species-dilution-info": "", "WB-species-notes": "", "IHCP-species-checked": "testedAndGuaranteed", "IHCP-species-dilution-info": "1/20 - 1/200", "IHCP-species-notes": "<p></p>", "ICCIF-species-checked": "testedAndGuaranteed", "ICCIF-species-dilution-info": "1/50 - 1/200", "ICCIF-species-notes": "<p></p>" }, "Mouse": { "WB-species-checked": "testedAndGuaranteed", "WB-species-dilution-info": "1/500 - 1/2000", "WB-species-notes": "<p></p>", "IHCP-species-checked": "guaranteed", "IHCP-species-dilution-info": "", "IHCP-species-notes": "", "ICCIF-species-checked": "guaranteed", "ICCIF-species-dilution-info": "", "ICCIF-species-notes": "" } } }

Properties and storage information

Form
Liquid
Purification technique
Affinity purification Protein G
Purification notes
Purity >95%
Storage buffer
pH: 7.4 Preservative: 0.03% Proclin 300 Constituents: PBS, 50% Glycerol (glycerin, glycerine)
Shipped at conditions
Blue Ice
Appropriate short-term storage duration
1-2 weeks
Appropriate short-term storage conditions
+4°C
Appropriate long-term storage conditions
-20°C
Aliquoting information
Upon delivery aliquot
Storage information
Avoid freeze / thaw cycle

Supplementary information

This supplementary information is collated from multiple sources and compiled automatically.

The TM41A protein also known as Transmembrane Protein 41A is a membrane protein with a predicted mass of approximately 33 kDa. It mainly exists in the endoplasmic reticulum and the Golgi apparatus. TM41A plays a mechanical role in the formation of cellular membranes influencing lipid movement and distribution across membranes. Its presence impacts how lipid bilayers reorganize a function essential for maintaining cellular membrane integrity.
Biological function summary

The role of TM41A extends to cellular communication and membrane trafficking. It is an integral part of the endoplasmic reticulum membrane complex which is responsible for proper lipid processing and secretion within the cell. TM41A interacts with other membrane-associated proteins to ensure the efficient trafficking of vesicles and proteins between organelles an important element in maintaining cellular homeostasis.

Pathways

TM41A is involved in endoplasmic reticulum-mediated lipid metabolism and intracellular transport pathways. In lipid metabolism TM41A works closely with other proteins such as SAR1B facilitating the movement of lipids to and from the endoplasmic reticulum. In intracellular transport it helps coordinate the secretory pathway which is critical for the proper distribution of newly synthesized proteins within the cell and ultimately their secretion.

TM41A has connections to lipid metabolism disorders and neurodegenerative diseases. Defects in TM41A function might contribute to conditions like adipose tissue dysfunction due to improper lipid handling within cells. Additionally there is a possible connection with proteins like Sec23A suggesting a broader impact on cellular transport disorders. Understanding TM41A's role can offer insights into targeting these conditions therapeutically.

Product protocols

For this product, it's our understanding that no specific protocols are required. You can visit:

Publications (1)

Recent publications for all applications. Explore the full list and refine your search

Frontiers in oncology 12:955510 PubMed36119517

2022

Expression and prognosis analysis of PAQR5 in kidney cancer.

Applications

Unspecified application

Species

Unspecified reactive species

Tao Lu,Hai-Rong Xu,Wei Dong,Hui Dong
View all publications

Product promise

We are committed to supporting your work with high-quality reagents, and we're here for you every step of the way. In the unlikely event that one of our products does not perform as expected, you're protected by our Product Promise.
For full details, please see our Terms & Conditions

Please note: All products are 'FOR RESEARCH USE ONLY. NOT FOR USE IN DIAGNOSTIC OR THERAPEUTIC PROCEDURES'.

For licensing inquiries, please contact partnerships@abcam.com