JavaScript is disabled in your browser. Please enable JavaScript to view this website.
AB325553

Anti-TM6SF2 antibody [EPR30567-58]

Be the first to review this product! Submit a review

|

(0 Publication)

Rabbit Recombinant Monoclonal TM6SF2 antibody. Suitable for IHC-P, WB and reacts with Transfected cell line - Human, Human samples.

View Alternative Names

Transmembrane 6 superfamily member 2, TM6SF2

7 Images
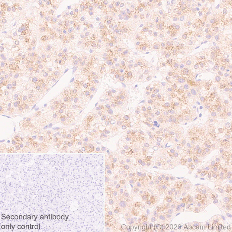
Immunohistochemistry (Formalin/PFA-fixed paraffin-embedded sections) - Anti-TM6SF2 antibody [EPR30567-58] (AB325553)
  • IHC-P

Lab

Immunohistochemistry (Formalin/PFA-fixed paraffin-embedded sections) - Anti-TM6SF2 antibody [EPR30567-58] (AB325553)

Immunohistochemical analysis of paraffin-embedded Human liver tissue labeling TM6SF2 with ab325553 at 1/200 (2.47 µg/ml) dilution, followed by a ready to use Rabbit specific IHC polymer detection kit HRP/DAB (ab209101).

Positive staining on human liver. The primary antibody was incubated for 30 mins at room temperature.

The immunostaining was performed on a Leica Biosystems BOND® RX instrument

Counterstained with Hematoxylin.

Secondary antibody only control : Secondary antibody is a ready to use Rabbit specific IHC polymer detection kit HRP/DAB (ab209101).

Heat mediated antigen retrieval was performed with Tris-EDTA buffer (pH 9.0, Epitope Retrieval Solution2) for 20 mins

Immunohistochemistry (Formalin/PFA-fixed paraffin-embedded sections) - Anti-TM6SF2 antibody [EPR30567-58] (AB325553)
  • IHC-P

Lab

Immunohistochemistry (Formalin/PFA-fixed paraffin-embedded sections) - Anti-TM6SF2 antibody [EPR30567-58] (AB325553)

Immunohistochemical analysis of paraffin-embedded Human testis tissue labeling TM6SF2 with ab325553 at 1/200 (2.47 µg/ml) dilution, followed by a ready to use Rabbit specific IHC polymer detection kit HRP/DAB (ab209101).

Low expression tissue : no staining on human testis (PMID : 24531328). The primary antibody was incubated for 30 mins at room temperature.

The immunostaining was performed on a Leica Biosystems BOND® RX instrument

Counterstained with Hematoxylin.

Secondary antibody only control : Secondary antibody is a ready to use Rabbit specific IHC polymer detection kit HRP/DAB (ab209101).

Heat mediated antigen retrieval was performed with Tris-EDTA buffer (pH 9.0, Epitope Retrieval Solution2) for 20 mins

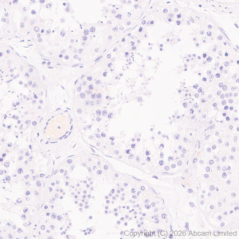
Immunohistochemistry (Formalin/PFA-fixed paraffin-embedded sections) - Anti-TM6SF2 antibody [EPR30567-58] (AB325553)
  • IHC-P

Lab

Immunohistochemistry (Formalin/PFA-fixed paraffin-embedded sections) - Anti-TM6SF2 antibody [EPR30567-58] (AB325553)

Immunohistochemical analysis of paraffin-embedded (A) HEK-293T (human embryonic kidney epithelial cell) transfected with a human TM6SF2 expression vector containing a Myc-His tag (B) HEK-293T transfected with empty vector containing a Myc-His tag tissue labeling TM6SF2 with ab325553 at 1/500 (0.988 µg/ml) dilution, followed by a ready to use LeicaDS9800 (Bond™ Polymer Refine Detection).

Positive staining on HEK-293T transfected with a Myc-His-tagged human TM6SF2 construct, no staining on (B) HEK-293T transfected with empty vector containing a Myc-His tag. The primary antibody was incubated for 30 mins at room temperature.

The immunostaining was performed on a Leica Biosystems BOND® RX instrument

Counterstained with Hematoxylin.

Secondary antibody only control : Secondary antibody is a ready to use LeicaDS9800 (Bond™ Polymer Refine Detection).

Heat mediated antigen retrieval was performed with Tris-EDTA buffer (pH 9.0, Epitope Retrieval Solution2) for 20 mins

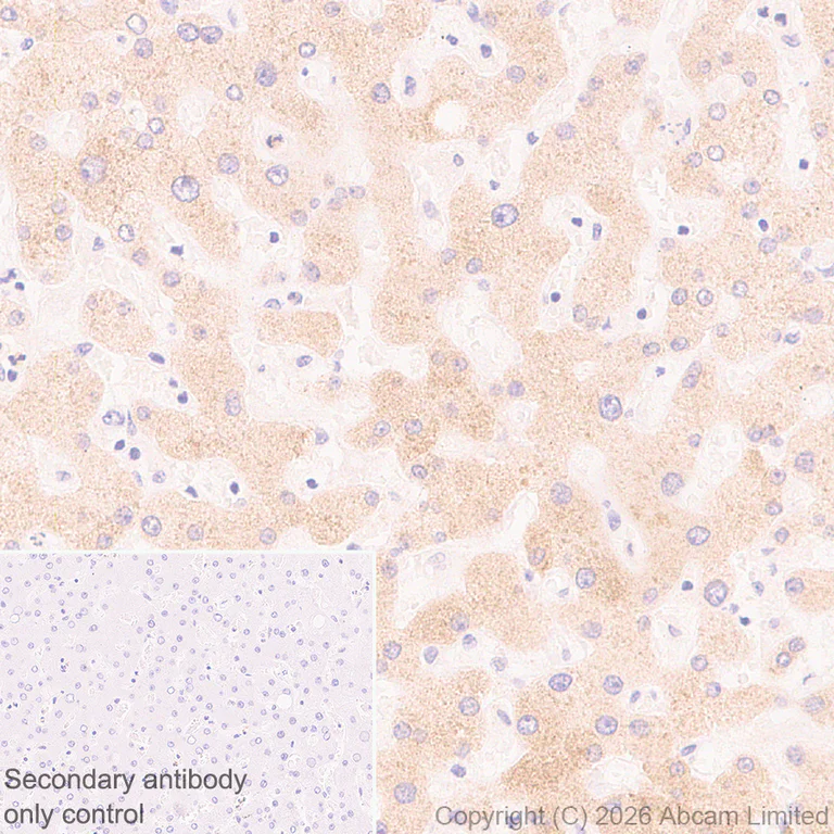
Immunohistochemistry (Formalin/PFA-fixed paraffin-embedded sections) - Anti-TM6SF2 antibody [EPR30567-58] (AB325553)
  • IHC-P

Lab

Immunohistochemistry (Formalin/PFA-fixed paraffin-embedded sections) - Anti-TM6SF2 antibody [EPR30567-58] (AB325553)

Immunohistochemical analysis of paraffin-embedded Human liver carcinoma tissue labeling TM6SF2 with ab325553 at 1/200 (2.47 µg/ml) dilution, followed by a ready to use Rabbit specific IHC polymer detection kit HRP/DAB (ab209101).

Positive staining on human liver carcinoma. The primary antibody was incubated for 30 mins at room temperature.

The immunostaining was performed on a Leica Biosystems BOND® RX instrument

Counterstained with Hematoxylin.

Secondary antibody only control : Secondary antibody is a ready to use Rabbit specific IHC polymer detection kit HRP/DAB (ab209101).

Heat mediated antigen retrieval was performed with Tris-EDTA buffer (pH 9.0, Epitope Retrieval Solution2) for 20 mins

Immunohistochemistry (Formalin/PFA-fixed paraffin-embedded sections) - Anti-TM6SF2 antibody [EPR30567-58] (AB325553)
  • IHC-P

Lab

Immunohistochemistry (Formalin/PFA-fixed paraffin-embedded sections) - Anti-TM6SF2 antibody [EPR30567-58] (AB325553)

Immunohistochemical analysis of paraffin-embedded (A) SK-OV-3 (human ovarian cancer epithelial cell) cell pellet (B) HEK-293T (human embryonic kidney epithelial cell) cell pellet tissue labeling TM6SF2 with ab325553 at 1/200 (2.47 µg/ml) dilution, followed by a ready to use Rabbit specific IHC polymer detection kit HRP/DAB (ab209101).

Positive staining on SK-OV-3 (image A), no staining on HEK293T (image B). The primary antibody was incubated for 30 mins at room temperature.

The immunostaining was performed on a Leica Biosystems BOND® RX instrument

Counterstained with Hematoxylin.

Secondary antibody only control : Secondary antibody is a ready to use Rabbit specific IHC polymer detection kit HRP/DAB (ab209101).

Heat mediated antigen retrieval was performed with Tris-EDTA buffer (pH 9.0, Epitope Retrieval Solution2) for 20 mins

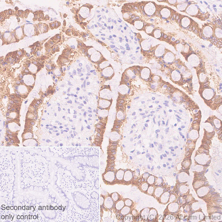
Immunohistochemistry (Formalin/PFA-fixed paraffin-embedded sections) - Anti-TM6SF2 antibody [EPR30567-58] (AB325553)
  • IHC-P

Lab

Immunohistochemistry (Formalin/PFA-fixed paraffin-embedded sections) - Anti-TM6SF2 antibody [EPR30567-58] (AB325553)

Immunohistochemical analysis of paraffin-embedded Human ileum tissue labeling TM6SF2 with ab325553 at 1/200 (2.47 µg/ml) dilution, followed by a ready to use Rabbit specific IHC polymer detection kit HRP/DAB (ab209101).

Positive staining on human ileum. The primary antibody was incubated for 30 mins at room temperature.

The immunostaining was performed on a Leica Biosystems BOND® RX instrument

Counterstained with Hematoxylin.

Secondary antibody only control : Secondary antibody is a ready to use Rabbit specific IHC polymer detection kit HRP/DAB (ab209101).

Heat mediated antigen retrieval was performed with Tris-EDTA buffer (pH 9.0, Epitope Retrieval Solution2) for 20 mins

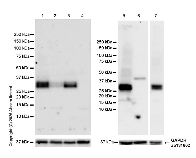
Western blot - Anti-TM6SF2 antibody [EPR30567-58] (AB325553)
  • WB

Lab

Western blot - Anti-TM6SF2 antibody [EPR30567-58] (AB325553)

Blocking and diluting buffer and concentration : 5% NFDM/TBST.

Low expression : HEK-293, testis(PMID : 24531328)

Samples are non-boiled as boiling may cause protein aggregation.

Lanes 1-4 are incubated with Goat Anti-Rabbit IgG, (H+L), Peroxidase conjugated (ab97051) at 1/20000 and lanes 5-7 are incubated with Goat Anti-Rabbit IgG (HRP) with minimal cross-reactivity with human IgG at 1/2000.

The identity of the band higher than 37 kDa is unknown.

In Western blot, Anti-GAPDH antibody [EPR16891] - Loading Control (ab181602) (1 : 200000) (36KDa).

Exposure time : Lanes 1-4 : 158 seconds, lanes 5-7 : 37 seconds

All lanes:

Western blot - Anti-TM6SF2 antibody [EPR30567-58] (ab325553) at 1/1000 dilution

Lane 1:

SK-OV-3 (human ovarian cancer epithelial cell) transfected with scrambled siRNA control whole cell lysate at 40 µg

Lane 2:

SK-OV-3 transfected with siRNA specifically targeting TM6SF2 whole cell lysate at 40 µg

Lane 3:

SK-OV-3 whole cell lysate at 40 µg

Lane 4:

HEK-293 (human embryonic kidney epithelial cell) whole cell lysate at 40 µg

Lane 5:

Human small intestine tissue lysate at 40 µg

Lane 6:

Human testis tissue lysate at 40 µg

Lane 7:

Human liver cancer tissue lysate at 40 µg

Secondary

Lanes 1 - 4:

Western blot - Goat Anti-Rabbit IgG H&L (HRP) (<a href='/en-us/products/secondary-antibodies/goat-rabbit-igg-h-l-hrp-ab97051'>ab97051</a>) at 1/20000 dilution

Lanes 5 - 7:

Goat Anti-Rabbit IgG (HRP) with minimal cross-reactivity with human IgG at 1/2000 dilution

Observed band size: 30-31 kDa,36 kDa

false

Key facts

Host species

Rabbit

Clonality

Monoclonal

Clone number

EPR30567-58

Isotype

IgG

Carrier free

No

Reacts with

Human

Applications

WB, IHC-P

applications

Immunogen

The exact immunogen used to generate this antibody is proprietary information.

Reactivity data

{ "title": "Reactivity Data", "filters": { "stats": ["", "Species", "Dilution Info", "Notes"], "tabs": { "all-applications": {"fullname" : "All Applications", "shortname": "All Applications"}, "IHCP" : {"fullname" : "Immunohistochemistry (Formalin/PFA-fixed paraffin-embedded sections)", "shortname":"IHC-P"}, "WB" : {"fullname" : "Western blot", "shortname":"WB"} }, "product-promise": { "all": "all", "testedAndGuaranteed": "tested", "guaranteed": "expected", "predicted": "predicted", "notRecommended": "not-recommended" } }, "values": { "Human": { "IHCP-species-checked": "testedAndGuaranteed", "IHCP-species-dilution-info": "1/200", "IHCP-species-notes": "<p></p> Perform heat-mediated antigen retrieval with Tris/EDTA buffer pH 9.0 before commencing with IHC staining protocol.", "WB-species-checked": "testedAndGuaranteed", "WB-species-dilution-info": "1/1000", "WB-species-notes": "<p></p>" }, "Transfected cell line - Human": { "IHCP-species-checked": "testedAndGuaranteed", "IHCP-species-dilution-info": "1/500", "IHCP-species-notes": "<p></p>", "WB-species-checked": "notRecommended", "WB-species-dilution-info": "", "WB-species-notes": "" } } }

Product details

Patented technology
Our RabMAb® technology is a patented hybridoma-based technology for making rabbit monoclonal antibodies. For details on our patents, please refer to RabMAb® patents.

What are the advantages of a recombinant monoclonal antibody?
This product is a recombinant monoclonal antibody, which offers several advantages including:

  • - High batch-to-batch consistency and reproducibility
  • - Improved sensitivity and specificity
  • - Long-term security of supply
  • - Animal-free batch production

For more information, read more on recombinant antibodies.

Properties and storage information

Form
Liquid
Purification technique
Affinity purification Protein A
Storage buffer
pH: 7.2 - 7.4 Preservative: 0.01% Sodium azide Constituents: PBS, 40% Glycerol (glycerin, glycerine), 0.05% BSA
Shipped at conditions
Blue Ice
Appropriate short-term storage duration
1-2 weeks
Appropriate short-term storage conditions
+4°C
Appropriate long-term storage conditions
-20°C
Aliquoting information
Upon delivery aliquot
Storage information
Avoid freeze / thaw cycle

Product protocols

For this product, it's our understanding that no specific protocols are required. You can visit:

Target data

Regulator of liver fat metabolism influencing triglyceride secretion and hepatic lipid droplet content (PubMed : 24531328, PubMed : 24927523). May function as sterol isomerase (PubMed : 25566323).
See full target information Transmembrane 6 superfamily member 2

Product promise

We are committed to supporting your work with high-quality reagents, and we're here for you every step of the way. In the unlikely event that one of our products does not perform as expected, you're protected by our Product Promise.
For full details, please see our Terms & Conditions

Please note: All products are 'FOR RESEARCH USE ONLY. NOT FOR USE IN DIAGNOSTIC OR THERAPEUTIC PROCEDURES'.

For licensing inquiries, please contact partnerships@abcam.com