JavaScript is disabled in your browser. Please enable JavaScript to view this website.
AB271123

Anti-TM9SF2 antibody [EPR24416-17]

  • BOND RX™ Validated
  • 20ul selling size
  • RabMAb
  • Recombinant
  • What is this?

Be the first to review this product! Submit a review

|

(1 Publication)

Rabbit Recombinant Monoclonal TM9SF2 antibody. Suitable for WB, IHC-Fr, Flow Cyt (Intra), IHC-P and reacts with Mouse, Rat, Human samples. Cited in 1 publication.

View Alternative Names

Transmembrane 9 superfamily member 2, p76, TM9SF2

9 Images
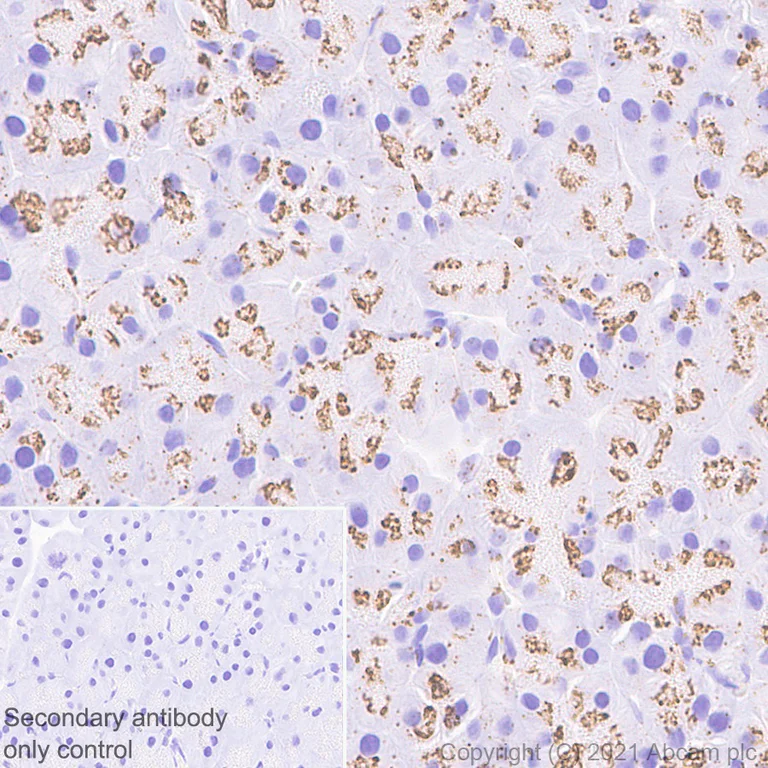
Immunohistochemistry (Formalin/PFA-fixed paraffin-embedded sections) - Anti-TM9SF2 antibody [EPR24416-17] (AB271123)
  • IHC-P

Supplier Data

Immunohistochemistry (Formalin/PFA-fixed paraffin-embedded sections) - Anti-TM9SF2 antibody [EPR24416-17] (AB271123)

Immunohistochemical analysis of paraffin-embedded Human kidney tissue labelling TM9SF2 with ab271123 at 1/2000 dilution followed by a ready to use Rabbit specific IHC polymer detection kit HRP/DAB (ab209101). Positive staining on human kidney. The section was incubated with ab271123 for 30 mins at room temperature. The immunostaining was performed on a Leica Biosystems BOND RX instrument. Counterstained with Hematoxylin.

Secondary antibody only control : Secondary antibody is a ready to use Rabbit specific IHC polymer detection kit HRP/DAB (ab209101).

Heat mediated antigen retrieval with Tris-EDTA buffer (pH 9.0, epitope retrieval solution2) for 20 mins

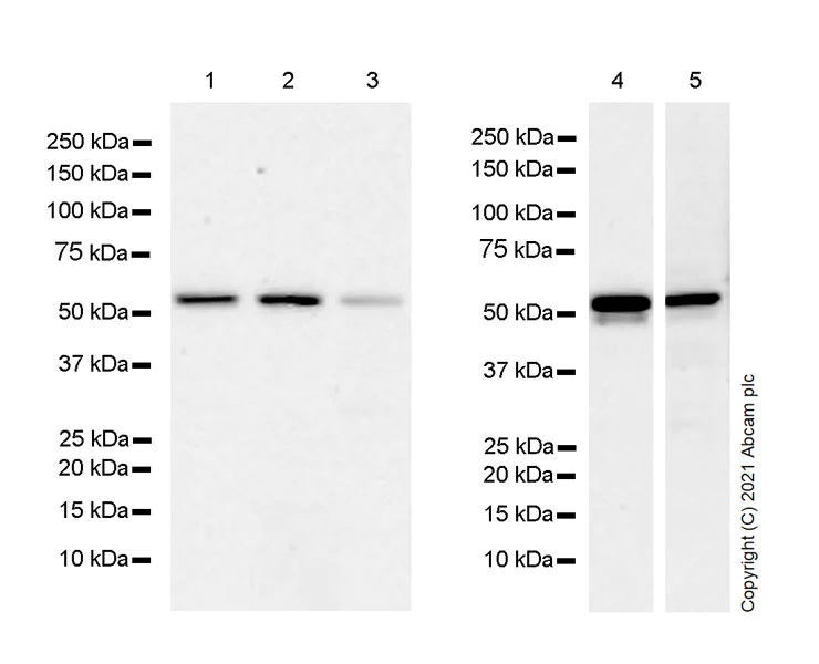
Western blot - Anti-TM9SF2 antibody [EPR24416-17] (AB271123)
  • WB

Supplier Data

Western blot - Anti-TM9SF2 antibody [EPR24416-17] (AB271123)

Blocking and diluting buffer and concentration : 5% NFDM/TBST

Samples are non-boiled as boiling may cause protein aggregates.

Exposure time 3 minutes

All lanes:

Western blot - Anti-TM9SF2 antibody [EPR24416-17] (ab271123) at 1/1000 dilution

Lane 1:

C6 (rat glial tumor glial cell), whole cell lysate at 20 µg

Lane 2:

PC-12 (rat adrenal gland pheochromocytoma), whole cell lysate at 20 µg

Lane 3:

Mouse kidney tissue lysate at 20 µg

Lane 4:

Mouse colon tissue lysate at 20 µg

Lane 5:

Rat colon tissue lysate at 20 µg

Secondary

All lanes:

Western blot - Goat Anti-Rabbit IgG H&L (HRP) (<a href='/en-us/products/secondary-antibodies/goat-rabbit-igg-h-l-hrp-ab97051'>ab97051</a>) at 1/50000 dilution

Predicted band size: 76 kDa

Observed band size: 55 kDa

false

Flow Cytometry (Intracellular) - Anti-TM9SF2 antibody [EPR24416-17] (AB271123)
  • Flow Cyt (Intra)

Supplier Data

Flow Cytometry (Intracellular) - Anti-TM9SF2 antibody [EPR24416-17] (AB271123)

Flow cytometric analysis of 4% paraformaldehyde fixed 90% methanol permeabilized U-87 MG (Human glioblastoma-astrocytoma epithelial cell) cells labelling with ab271123 at 1/50 (Red) compared with a Rabbit monoclonal IgG (ab172730) / Black isotype control and an unlabelled control (cells without incubation with primary antibody and secondary antibody) (Blue). A Goat anti rabbit IgG (Alexa Fluor® 488, ab150077) at 1/2000 was used as the secondary antibody.

Immunohistochemistry (Formalin/PFA-fixed paraffin-embedded sections) - Anti-TM9SF2 antibody [EPR24416-17] (AB271123)
  • IHC-P

Supplier Data

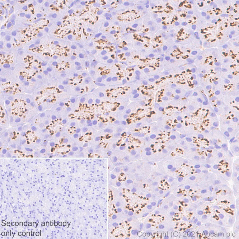
Immunohistochemistry (Formalin/PFA-fixed paraffin-embedded sections) - Anti-TM9SF2 antibody [EPR24416-17] (AB271123)

Immunohistochemical analysis of paraffin-embedded Rat pancreas tissue labelling TM9SF2 with ab271123 at 1/2000 dilution followed by a ready to use Rabbit specific IHC polymer detection kit HRP/DAB (ab209101). Positive staining on rat pancreas. The section was incubated with ab271123for 30 mins at room temperature. The immunostaining was performed on a Leica Biosystems BOND RX instrument. Counterstained with Hematoxylin.

Secondary antibody only control : Secondary antibody is a ready to use Rabbit specific IHC polymer detection kit HRP/DAB (ab209101).

Heat mediated antigen retrieval with Tris-EDTA buffer (pH 9.0, epitope retrieval solution2) for 20 mins

Immunohistochemistry (Frozen sections) - Anti-TM9SF2 antibody [EPR24416-17] (AB271123)
  • IHC-Fr

Supplier Data

Immunohistochemistry (Frozen sections) - Anti-TM9SF2 antibody [EPR24416-17] (AB271123)

Immunohistochemical analysis of 4% PFA-fixed, 0.2% Triton X-100 permeabilized frozen Mouse kidney tissue labelling TM9SF2 with ab271123 at 1100 (5.93 μg/ml) dilution followed by ab150077 Goat Anti-Rabbit IgG H&L (Alexa Fluor® 488) at 1/1000 dilution (Green). Cytoplasmic staining on mouse kidney is observed. The nuclear counterstain was DAPI (Blue).

Secondary antibody control : Secondary antibody is ab150077 Goat Anti-Rabbit IgG H&L (Alexa Fluor® 488) at 1/1000 dilution.

Heat mediated antigen retrieval using sodium citrate buffer (10mM citrate pH 6.0 + 0.05% Tween-20).

Immunohistochemistry (Formalin/PFA-fixed paraffin-embedded sections) - Anti-TM9SF2 antibody [EPR24416-17] (AB271123)
  • IHC-P

Supplier Data

Immunohistochemistry (Formalin/PFA-fixed paraffin-embedded sections) - Anti-TM9SF2 antibody [EPR24416-17] (AB271123)

Immunohistochemical analysis of paraffin-embedded Mouse pancreas tissue labelling TM9SF2 with ab271123 at 1/2000 dilution followed by a ready to use Rabbit specific IHC polymer detection kit HRP/DAB (ab209101). Positive staining on mouse pancreas. The section was incubated with ab271123 for 30 mins at room temperature. The immunostaining was performed on a Leica Biosystems BOND RX instrument. Counterstained with Hematoxylin.

Secondary antibody only control : Secondary antibody is a ready to use Rabbit specific IHC polymer detection kit HRP/DAB (ab209101).

Heat mediated antigen retrieval with Tris-EDTA buffer (pH 9.0, epitope retrieval solution2) for 20 mins

Immunohistochemistry (Frozen sections) - Anti-TM9SF2 antibody [EPR24416-17] (AB271123)
  • IHC-Fr

Supplier Data

Immunohistochemistry (Frozen sections) - Anti-TM9SF2 antibody [EPR24416-17] (AB271123)

Immunohistochemical analysis of 4% PFA-fixed, 0.2% Triton X-100 permeabilized frozen Rat kidney tissue labelling TM9SF2 with ab271123 at 1100 (5.93 μg/ml) dilution followed by ab150077 Goat Anti-Rabbit IgG H&L (Alexa Fluor® 488) at 1/1000 dilution (Green). Cytoplasmic staining on rat kidney is observed. The nuclear counterstain was DAPI (Blue).

Secondary antibody control : Secondary antibody is ab150077 Goat Anti-Rabbit IgG H&L (Alexa Fluor® 488) at 1/1000 dilution.

Heat mediated antigen retrieval using sodium citrate buffer (10mM citrate pH 6.0 + 0.05% Tween-20).

Western blot - Anti-TM9SF2 antibody [EPR24416-17] (AB271123)
  • WB

Supplier Data

Western blot - Anti-TM9SF2 antibody [EPR24416-17] (AB271123)

Blocking and diluting buffer and concentration : 5% NFDM/TBST

Band higher than 250 kDa should be TM9SF2 aggregates.

Exposure time : 10 seconds

All lanes:

Western blot - Anti-TM9SF2 antibody [EPR24416-17] (ab271123) at 1/1000 dilution

Lane 1:

HEK-293T (human embryonic kidney) transfected with an empty vector, containing a myc-His-tag®, whole cell lysate at 10 µg

Lane 2:

HEK-293T transfected with human TM9SF2 expression vector containing a myc-His-tag®, whole cell lysate at 10 µg

Secondary

All lanes:

Western blot - Goat Anti-Rabbit IgG H&L (HRP) (<a href='/en-us/products/secondary-antibodies/goat-rabbit-igg-h-l-hrp-ab97051'>ab97051</a>) at 1/50000 dilution

Predicted band size: 76 kDa

Observed band size: 55 kDa

false

Western blot - Anti-TM9SF2 antibody [EPR24416-17] (AB271123)
  • WB

Supplier Data

Western blot - Anti-TM9SF2 antibody [EPR24416-17] (AB271123)

Blocking and diluting buffer and concentration : 5% NFDM/TBST

Exposure time : 3 minutes

All lanes:

Western blot - Anti-TM9SF2 antibody [EPR24416-17] (ab271123) at 1/1000 dilution

Lane 1:

HeLa (human epithelial cell line from cervix adenocarcinoma), whole cell lysate at 40 µg

Lane 2:

HT-29 (human colorectal adenocarcinoma epithelial cell), whole cell lysate at 40 µg

Lane 3:

PANC-1 (human pancreatic epithelioid carcinoma epithelial cell), whole cell lysate at 40 µg

Lane 4:

U-87 MG (human glioblastoma-astrocytoma epithelial cell), whole cell lysate at 40 µg

Lane 5:

Human kidney tissue lysate at 40 µg

Secondary

All lanes:

Western blot - Goat Anti-Rabbit IgG H&L (HRP) (<a href='/en-us/products/secondary-antibodies/goat-rabbit-igg-h-l-hrp-ab97051'>ab97051</a>) at 1/2000 dilution

Predicted band size: 76 kDa

Observed band size: 55 kDa

false

  • Carrier free

    Anti-TM9SF2 antibody [EPR24416-17] - BSA and Azide free

Key facts

Host species

Rabbit

Clonality

Monoclonal

Clone number

EPR24416-17

Isotype

IgG

Carrier free

No

Reacts with

Mouse, Rat, Human

Applications

Flow Cyt (Intra), IHC-P, WB, IHC-Fr

applications

Immunogen

The exact immunogen used to generate this antibody is proprietary information.

Reactivity data

{ "title": "Reactivity Data", "filters": { "stats": ["", "Species", "Dilution Info", "Notes"], "tabs": { "all-applications": {"fullname" : "All Applications", "shortname": "All Applications"}, "ICCIF" : {"fullname" : "Immunocytochemistry/ Immunofluorescence", "shortname":"ICC/IF"}, "IP" : {"fullname" : "Immunoprecipitation", "shortname":"IP"}, "WB" : {"fullname" : "Western blot", "shortname":"WB"}, "IHCFr" : {"fullname" : "Immunohistochemistry (Frozen sections)", "shortname":"IHC-Fr"}, "FlowCytIntra" : {"fullname" : "Flow Cytometry (Intracellular)", "shortname":"Flow Cyt (Intra)"}, "IHCP" : {"fullname" : "Immunohistochemistry (Formalin/PFA-fixed paraffin-embedded sections)", "shortname":"IHC-P"} }, "product-promise": { "all": "all", "testedAndGuaranteed": "tested", "guaranteed": "expected", "predicted": "predicted", "notRecommended": "not-recommended" } }, "values": { "Human": { "ICCIF-species-checked": "notRecommended", "ICCIF-species-dilution-info": "", "ICCIF-species-notes": "<p></p> Perform heat-mediated antigen retrieval with Tris/EDTA buffer pH 9.0 before commencing with IHC staining protocol.", "IP-species-checked": "notRecommended", "IP-species-dilution-info": "", "IP-species-notes": "<p></p>", "WB-species-checked": "testedAndGuaranteed", "WB-species-dilution-info": "1/1000", "WB-species-notes": "<p></p>", "IHCFr-species-checked": "guaranteed", "IHCFr-species-dilution-info": "", "IHCFr-species-notes": "", "FlowCytIntra-species-checked": "testedAndGuaranteed", "FlowCytIntra-species-dilution-info": "1/50", "FlowCytIntra-species-notes": "<p></p>", "IHCP-species-checked": "testedAndGuaranteed", "IHCP-species-dilution-info": "1/2000", "IHCP-species-notes": "<p></p> Perform heat-mediated antigen retrieval with Tris/EDTA buffer pH 9.0 before commencing with IHC staining protocol." }, "Mouse": { "ICCIF-species-checked": "notRecommended", "ICCIF-species-dilution-info": "", "ICCIF-species-notes": "<p></p> Perform heat-mediated antigen retrieval with Tris/EDTA buffer pH 9.0 before commencing with IHC staining protocol.", "IP-species-checked": "notRecommended", "IP-species-dilution-info": "", "IP-species-notes": "<p></p>", "WB-species-checked": "testedAndGuaranteed", "WB-species-dilution-info": "1/1000", "WB-species-notes": "<p></p>", "IHCFr-species-checked": "testedAndGuaranteed", "IHCFr-species-dilution-info": "1/100", "IHCFr-species-notes": "<p>Heat mediated antigen retrieval using sodium citrate buffer (10mM citrate pH 6.0 + 0.05% Tween-20)</p>", "FlowCytIntra-species-checked": "notRecommended", "FlowCytIntra-species-dilution-info": "1/50", "FlowCytIntra-species-notes": "<p></p>", "IHCP-species-checked": "testedAndGuaranteed", "IHCP-species-dilution-info": "1/2000", "IHCP-species-notes": "<p></p> Perform heat-mediated antigen retrieval with Tris/EDTA buffer pH 9.0 before commencing with IHC staining protocol." }, "Rat": { "ICCIF-species-checked": "notRecommended", "ICCIF-species-dilution-info": "", "ICCIF-species-notes": "<p></p> Perform heat-mediated antigen retrieval with Tris/EDTA buffer pH 9.0 before commencing with IHC staining protocol.", "IP-species-checked": "notRecommended", "IP-species-dilution-info": "", "IP-species-notes": "", "WB-species-checked": "testedAndGuaranteed", "WB-species-dilution-info": "1/1000", "WB-species-notes": "<p></p>", "IHCFr-species-checked": "testedAndGuaranteed", "IHCFr-species-dilution-info": "1/100", "IHCFr-species-notes": "<p>Heat mediated antigen retrieval using sodium citrate buffer (10mM citrate pH 6.0 + 0.05% Tween-20)</p>", "FlowCytIntra-species-checked": "guaranteed", "FlowCytIntra-species-dilution-info": "1/50", "FlowCytIntra-species-notes": "<p></p>", "IHCP-species-checked": "testedAndGuaranteed", "IHCP-species-dilution-info": "1/2000", "IHCP-species-notes": "<p></p> Perform heat-mediated antigen retrieval with Tris/EDTA buffer pH 9.0 before commencing with IHC staining protocol." } } }

Product details

Patented technology
Our RabMAb® technology is a patented hybridoma-based technology for making rabbit monoclonal antibodies. For details on our patents, please refer to RabMAb® patents.

What are the advantages of a recombinant monoclonal antibody?
This product is a recombinant monoclonal antibody, which offers several advantages including:

  • - High batch-to-batch consistency and reproducibility
  • - Improved sensitivity and specificity
  • - Long-term security of supply
  • - Animal-free batch production

For more information, read more on recombinant antibodies.

Properties and storage information

Form
Liquid
Purification technique
Affinity purification Protein A
Storage buffer
pH: 7.2 - 7.4 Preservative: 0.01% Sodium azide Constituents: 59.94% PBS, 40% Glycerol (glycerin, glycerine), 0.05% BSA
Shipped at conditions
Blue Ice
Appropriate short-term storage duration
1-2 weeks
Appropriate short-term storage conditions
+4°C
Appropriate long-term storage conditions
-20°C
Aliquoting information
Upon delivery aliquot
Storage information
Avoid freeze / thaw cycle

Supplementary information

This supplementary information is collated from multiple sources and compiled automatically.

TM9SF2 also known as Transmembrane 9 Superfamily Member 2 is a membrane protein with a mass of approximately 80 kDa. It functions as a transmembrane transporter that may influence ion homeostasis. TM9SF2 is mainly expressed in the endoplasmic reticulum and Golgi apparatus of cells where it likely impacts protein processing and trafficking. Due to its nature as a membrane protein TM9SF2 may also have roles in cellular signaling. Alternate names for TM9SF2 include TMS9 and Nonaspanin.
Biological function summary

TM9SF2 influences cellular processes by contributing to membrane integrity and protein sorting. As a possible member of larger protein complexes within the cell TM9SF2 interacts with other transmembrane proteins to facilitate intracellular trafficking pathways. This protein may modify the sorting and secretion of enzymes or hormones through its action on vesicular transport mechanisms therefore affecting various metabolic and signaling processes within the cell.

Pathways

TM9SF2 is involved in membrane trafficking and protein secretion important for maintaining cellular homeostasis. It associates with important biological pathways such as vesicular transport pathways and intracellular sorting pathways. TM9SF2 acts together with proteins like SNAREs and Rab GTPases contributing to vesicle budding fusion and transport. This association helps coordinate how proteins are delivered to different cellular destinations integrating TM9SF2's function within the broader picture of cellular operations.

TM9SF2 has connections with metabolic diseases and neurological disorders. Alterations in TM9SF2 expression have been linked with abnormal lipid metabolism and could play a role in the pathogenesis of obesity and type 2 diabetes. Additionally irregularities in its function might influence neurodegenerative conditions by affecting protein trafficking and degradation pathways. TM9SF2 interacts with proteins such as APP (Amyloid precursor protein) suggesting potential involvement in Alzheimer's disease where protein misprocessing leads to amyloid plaque formation.

Product protocols

For this product, it's our understanding that no specific protocols are required. You can visit:

Target data

In the intracellular compartments, may function as a channel or small molecule transporter.
See full target information TM9SF2

Publications (1)

Recent publications for all applications. Explore the full list and refine your search

Nature communications 14:5252 PubMed37644046

2023

Deep and fast label-free Dynamic Organellar Mapping.

Applications

Unspecified application

Species

Unspecified reactive species

Julia P Schessner,Vincent Albrecht,Alexandra K Davies,Pavel Sinitcyn,Georg H H Borner
View all publications

Product promise

We are committed to supporting your work with high-quality reagents, and we're here for you every step of the way. In the unlikely event that one of our products does not perform as expected, you're protected by our Product Promise.
For full details, please see our Terms & Conditions

Please note: All products are 'FOR RESEARCH USE ONLY. NOT FOR USE IN DIAGNOSTIC OR THERAPEUTIC PROCEDURES'.

For licensing inquiries, please contact partnerships@abcam.com