JavaScript is disabled in your browser. Please enable JavaScript to view this website.
AB121358

Anti-TMBIM1 antibody

Be the first to review this product! Submit a review

|

(2 Publications)

Rabbit Polyclonal TMBIM1 antibody. Suitable for IHC-P, WB and reacts with Human samples. Cited in 2 publications. Immunogen corresponding to Recombinant Fragment Protein within Human TMBIM1 aa 1-100.

View Alternative Names

LFG3, RECS1, PP1201, PSEC0158, TMBIM1, Protein lifeguard 3, Protein RECS1 homolog, Transmembrane BAX inhibitor motif-containing protein 1

3 Images
Immunohistochemistry (Formalin/PFA-fixed paraffin-embedded sections) - Anti-TMBIM1 antibody (AB121358)
  • IHC-P

Unknown

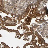
Immunohistochemistry (Formalin/PFA-fixed paraffin-embedded sections) - Anti-TMBIM1 antibody (AB121358)

ab121358, at 1/10, staining TMBIM1 in Paraffin-embedded Human Colon tissue by Immunohistochemistry.

Immunohistochemistry (Formalin/PFA-fixed paraffin-embedded sections) - Anti-TMBIM1 antibody (AB121358)
  • IHC-P

Unknown

Immunohistochemistry (Formalin/PFA-fixed paraffin-embedded sections) - Anti-TMBIM1 antibody (AB121358)

Immunohistochemical staining of Human colon shows strong cytoplasmic positivity using ab121358

Western blot - Anti-TMBIM1 antibody (AB121358)
  • WB

Supplier Data

Western blot - Anti-TMBIM1 antibody (AB121358)

Lane 1:

Western blot - Anti-TMBIM1 antibody (ab121358)

Lane 2:

Western blot - Anti-TMBIM1 antibody (ab121358) at 0.4 µg/mL

Lane 1:

Molecular weight ladder

Lane 2:

RT4 cells

Predicted band size: 35 kDa

false

Key facts

Host species

Rabbit

Clonality

Polyclonal

Isotype

IgG

Carrier free

No

Reacts with

Human

Applications

WB, IHC-P

applications

Immunogen

Recombinant Fragment Protein within Human TMBIM1 aa 1-100. The exact immunogen used to generate this antibody is proprietary information.

Q969X1

Reactivity data

{ "title": "Reactivity Data", "filters": { "stats": ["", "Species", "Dilution Info", "Notes"], "tabs": { "all-applications": {"fullname" : "All Applications", "shortname": "All Applications"}, "IHCP" : {"fullname" : "Immunohistochemistry (Formalin/PFA-fixed paraffin-embedded sections)", "shortname":"IHC-P"}, "WB" : {"fullname" : "Western blot", "shortname":"WB"} }, "product-promise": { "all": "all", "testedAndGuaranteed": "tested", "guaranteed": "expected", "predicted": "predicted", "notRecommended": "not-recommended" } }, "values": { "Human": { "IHCP-species-checked": "testedAndGuaranteed", "IHCP-species-dilution-info": "1/10 - 1/20", "IHCP-species-notes": "<p></p> Perform heat-mediated antigen retrieval with citrate buffer pH 6 before commencing with IHC staining protocol.", "WB-species-checked": "testedAndGuaranteed", "WB-species-dilution-info": "0.04-0.4 µg/mL", "WB-species-notes": "<p></p>" } } }

Properties and storage information

Form
Liquid
Purification technique
Affinity purification Immunogen
Storage buffer
pH: 7.2 Preservative: 0.02% Sodium azide Constituents: PBS, 40% Glycerol (glycerin, glycerine)
Shipped at conditions
Blue Ice
Appropriate short-term storage conditions
+4°C
Appropriate long-term storage conditions
-20°C
Aliquoting information
Upon delivery aliquot
Storage information
Avoid freeze / thaw cycle

Supplementary information

This supplementary information is collated from multiple sources and compiled automatically.

TMBIM1 also known as Transmembrane BAX Inhibitor Motif-containing Protein 1 or glioma-associated gene 3 (GLI3) is a protein involved in the regulation of apoptosis. It weighs approximately 31 kDa. TMBIM1 acts as an anti-apoptotic member of the TMBIM family helping to maintain cellular homeostasis by inhibiting programmed cell death. Researchers have observed its expression in various tissues including the liver kidney and brain. TMBIM1 integrates into cellular membranes suggesting its mechanical role in cellular stability and survival.
Biological function summary

TMBIM1 modulates the intrinsic apoptosis pathway and serves as a component of multi-protein complexes within the endoplasmic reticulum. This protein plays a significant part in the regulation of ion homeostasis and contributes to cell protection under stressful conditions. Research indicates its participation in maintaining Ca2+ homeostasis which is important for normal cellular function. By controlling calcium levels TMBIM1 affects various biological processes such as energy metabolism and response to oxidative stress.

Pathways

TMBIM1 is an active participant in the apoptosis and calcium signaling pathways. It interacts with proteins like BAX (BCL2-associated X protein) and influences the release of cytochrome c a central event in the apoptosis pathway. In the context of calcium signaling it may act alongside proteins like IP3 receptors to control intracellular calcium flow. Through these pathways TMBIM1 contributes to cellular adaptation and survival mechanisms.

TMBIM1 has associations with cancer and neurodegenerative diseases. Its overexpression or dysregulation can lead to altered apoptosis which plays a role in tumor development and progression. Researchers have found connections between TMBIM1 and proteins like Bcl-2 in cancer highlighting its role in cell survival and proliferation. Moreover aberrant expression in neurological tissues relates TMBIM1 to disorders such as Alzheimer's disease where dysfunctional apoptosis is a known factor. TMBIM1's relationship with these diseases reflects its potential as a therapeutic target for treating and understanding these complex conditions.

Product protocols

For this product, it's our understanding that no specific protocols are required. You can visit:

Target data

Negatively regulates aortic matrix metalloproteinase-9 (MMP9) production and may play a protective role in vascular remodeling.
See full target information TMBIM1

Publications (2)

Recent publications for all applications. Explore the full list and refine your search

World journal of surgical oncology 20:92 PubMed35321724

2022

Analysis of the expression and prognosis for leukocyte immunoglobulin-like receptor subfamily B in human liver cancer.

Applications

Unspecified application

Species

Unspecified reactive species

Jing Fan,Lili Wang,Miao Chen,Jiakang Zhang,Jiayan Li,Fangnan Song,Aidong Gu,Dandan Yin,Yongxiang Yi

Cell & bioscience 11:217 PubMed34924003

2021

Antioxidant supplements promote tumor formation and growth and confer drug resistance in hepatocellular carcinoma by reducing intracellular ROS and induction of TMBIM1.

Applications

Unspecified application

Species

Unspecified reactive species

Vanilla Xin Zhang,Karen Man-Fong Sze,Lo-Kong Chan,Daniel Wai-Hung Ho,Yu-Man Tsui,Yung-Tuen Chiu,Eva Lee,Abdullah Husain,Hongyang Huang,Lu Tian,Carmen Chak-Lui Wong,Irene Oi-Lin Ng
View all publications

Product promise

We are committed to supporting your work with high-quality reagents, and we're here for you every step of the way. In the unlikely event that one of our products does not perform as expected, you're protected by our Product Promise.
For full details, please see our Terms & Conditions

Please note: All products are 'FOR RESEARCH USE ONLY. NOT FOR USE IN DIAGNOSTIC OR THERAPEUTIC PROCEDURES'.

For licensing inquiries, please contact partnerships@abcam.com