JavaScript is disabled in your browser. Please enable JavaScript to view this website.
AB238768

Anti-TMCO1 antibody

Be the first to review this product! Submit a review

|

(2 Publications)

Rabbit Polyclonal TMCO1 antibody. Suitable for IHC-P, ICC/IF and reacts with Human samples. Cited in 2 publications. Immunogen corresponding to Recombinant Fragment Protein within Human TMCO1 aa 1-100.

View Alternative Names

TMCC4, PNAS-10, PNAS-136, UNQ151/PRO177, TMCO1, Calcium load-activated calcium channel, CLAC channel, GEL complex subunit TMCO1, Transmembrane and coiled-coil domain-containing protein 1, Transmembrane and coiled-coil domains protein 4, Xenogeneic cross-immune protein PCIA3

3 Images
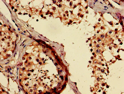
Immunohistochemistry (Formalin/PFA-fixed paraffin-embedded sections) - Anti-TMCO1 antibody (AB238768)
  • IHC-P

Supplier Data

Immunohistochemistry (Formalin/PFA-fixed paraffin-embedded sections) - Anti-TMCO1 antibody (AB238768)

Paraffin-embedded human testis tissue stained for TMCO1 using ab238768 at 1/500 dilution in immunohistochemical analysis.

After dewaxing and hydration, antigen retrieval was mediated by high pressure in a citrate buffer (pH 6.0). Section was blocked with 10% normal goat serum 30 minutes at RT. Then primary antibody (1% BSA) was incubated at 4°C overnight. The primary is detected by a biotinylated secondary antibody and visualized using an HRP conjugated SP system.

Immunocytochemistry/ Immunofluorescence - Anti-TMCO1 antibody (AB238768)
  • ICC/IF

Supplier Data

Immunocytochemistry/ Immunofluorescence - Anti-TMCO1 antibody (AB238768)

HepG2 (human liver hepatocellular carcinoma cell line) cells stained for TMCO1 (green) using ab238768 at 1/100 dilution in ICC/IF. Secondary antibody is Alexa Fluor® 488-congugated Goat Anti-Rabbit IgG (H+L).

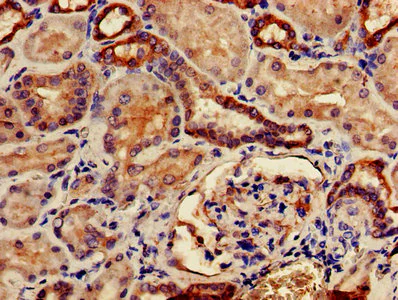
Immunohistochemistry (Formalin/PFA-fixed paraffin-embedded sections) - Anti-TMCO1 antibody (AB238768)
  • IHC-P

Supplier Data

Immunohistochemistry (Formalin/PFA-fixed paraffin-embedded sections) - Anti-TMCO1 antibody (AB238768)

Paraffin-embedded human kidney tissue stained for TMCO1 using ab238768 at 1/500 dilution in immunohistochemical analysis.

After dewaxing and hydration, antigen retrieval was mediated by high pressure in a citrate buffer (pH 6.0). Section was blocked with 10% normal goat serum 30 minutes at RT. Then primary antibody (1% BSA) was incubated at 4°C overnight. The primary is detected by a biotinylated secondary antibody and visualized using an HRP conjugated SP system.

Key facts

Host species

Rabbit

Clonality

Polyclonal

Isotype

IgG

Carrier free

No

Reacts with

Human

Applications

ICC/IF, IHC-P

applications

Immunogen

Recombinant Fragment Protein within Human TMCO1 aa 1-100. The exact immunogen used to generate this antibody is proprietary information.

Q9UM00

Reactivity data

{ "title": "Reactivity Data", "filters": { "stats": ["", "Species", "Dilution Info", "Notes"], "tabs": { "all-applications": {"fullname" : "All Applications", "shortname": "All Applications"}, "IHCP" : {"fullname" : "Immunohistochemistry (Formalin/PFA-fixed paraffin-embedded sections)", "shortname":"IHC-P"}, "ICCIF" : {"fullname" : "Immunocytochemistry/ Immunofluorescence", "shortname":"ICC/IF"} }, "product-promise": { "all": "all", "testedAndGuaranteed": "tested", "guaranteed": "expected", "predicted": "predicted", "notRecommended": "not-recommended" } }, "values": { "Human": { "IHCP-species-checked": "testedAndGuaranteed", "IHCP-species-dilution-info": "1/500 - 1/1000", "IHCP-species-notes": "<p></p> Perform heat-mediated antigen retrieval with citrate buffer pH 6 before commencing with IHC staining protocol.", "ICCIF-species-checked": "testedAndGuaranteed", "ICCIF-species-dilution-info": "1/50 - 1/200", "ICCIF-species-notes": "<p></p>" } } }

Properties and storage information

Form
Liquid
Purification technique
Affinity purification Protein G
Purification notes
Purity greater than 95%.
Storage buffer
pH: 7.4 Preservative: 0.03% Proclin 300 Constituents: PBS, 50% Glycerol (glycerin, glycerine)
Shipped at conditions
Blue Ice
Appropriate short-term storage duration
1-2 weeks
Appropriate short-term storage conditions
+4°C
Appropriate long-term storage conditions
-20°C
Aliquoting information
Upon delivery aliquot
Storage information
Avoid freeze / thaw cycle

Supplementary information

This supplementary information is collated from multiple sources and compiled automatically.

TMCO1 also known as Transmembrane and Coiled-Coil Domains 1 functions primarily as a calcium leak channel within the endoplasmic reticulum. It facilitates the regulation of calcium homeostasis by allowing the passive release of calcium ions with a molecular weight of approximately 28 kDa. TMCO1 is expressed in various tissues including the brain heart and skeletal muscles pointing towards its widespread role in cellular calcium management.
Biological function summary

TMCO1 plays an essential role in maintaining intracellular calcium balance which is important for various cellular processes such as muscle contraction neurotransmission and enzyme activity regulation. TMCO1 does not usually operate as an isolated entity but can interact with other components to form functional complexes that regulate calcium dynamics. This protein ensures that calcium concentrations within cells remain balanced preventing overload and allowing cells to function properly.

Pathways

TMCO1 integrates with calcium signaling and homeostasis pathways. It functions alongside calcium-binding proteins and transporters that maintain optimal calcium levels influencing processes from signal transduction to energy metabolism. TMCO1 works in coordination with proteins such as STIM1 and ORAI1 in these pathways which are pivotal in store-operated calcium entry (SOCE) mechanisms linking it to both calcium influx and release pathways.

TMCO1 mutations or dysregulation can contribute to conditions like dental enamel hypoplasia and eye defects often classified under TMCO1 deficiency disorders. This protein can also be related to neurodegenerative diseases through dysfunctional calcium homeostasis which might link it indirectly with proteins such as amyloid-beta precursor protein (APP) in Alzheimer's pathology. Understanding these interactions aids in deciphering how perturbations in TMCO1 activity can lead to disease states.

Product protocols

For this product, it's our understanding that no specific protocols are required. You can visit:

Target data

Endoplasmic reticulum (ER) calcium-selective channel preventing intracellular Ca2(+) stores from overfilling and maintaining calcium homeostasis in the ER (PubMed : 27212239). In response to endoplasmic reticulum (ER) Ca2(+) overloading, assembles into a homotetramer, forming a functional calcium-selective channel facilitating Ca2(+) release (PubMed : 27212239). Mediates ER Ca2(+) homeostasis in osteoblasts and plays a key role in bone formation, via the CaMKII-HDAC4-RUNX2 signaling axis (By similarity). Component of the multi-pass translocon (MPT) complex that mediates insertion of multi-pass membrane proteins into the lipid bilayer of membranes (PubMed : 32820719, PubMed : 36261522). The MPT complex takes over after the SEC61 complex : following membrane insertion of the first few transmembrane segments of proteins by the SEC61 complex, the MPT complex occludes the lateral gate of the SEC61 complex to promote insertion of subsequent transmembrane regions (PubMed : 36261522). Within the MPT complex, the GEL subcomplex may mediate insertion of transmembrane regions into the membrane (PubMed : 36261522).
See full target information TMCO1

Publications (2)

Recent publications for all applications. Explore the full list and refine your search

Open life sciences 19:20220972 PubMed39479348

2024

The relationship between TMCO1 and CALR in the pathological characteristics of prostate cancer and its effect on the metastasis of prostate cancer cells.

Applications

Unspecified application

Species

Unspecified reactive species

Jingting Dong,Shaosan Kang,Fenghong Cao,Xi Chen,Xiaofei Wang,Lei Wang,Qing Wang,Yupu Zhai

Middle East journal of digestive diseases 12:39-44 PubMed32082520

2020

Assessment of Immuno-Histochemical Expression of MBD1 in Colorectal Adenocarcinoma and Its Correlations with Prognostic Factors.

Applications

Unspecified application

Species

Unspecified reactive species

Sholeh Ghaedamini,Mehdi Nikbakht,Mitra Soleimani
View all publications

Product promise

We are committed to supporting your work with high-quality reagents, and we're here for you every step of the way. In the unlikely event that one of our products does not perform as expected, you're protected by our Product Promise.
For full details, please see our Terms & Conditions

Please note: All products are 'FOR RESEARCH USE ONLY. NOT FOR USE IN DIAGNOSTIC OR THERAPEUTIC PROCEDURES'.

For licensing inquiries, please contact partnerships@abcam.com