JavaScript is disabled in your browser. Please enable JavaScript to view this website.
AB321971

Anti-TMEM106B antibody [EPR27525-70] - BSA and Azide free

Be the first to review this product! Submit a review

|

(0 Publication)

Rabbit Recombinant Monoclonal T106B antibody. Carrier free. Suitable for WB, ICC/IF and reacts with Recombinant fragment - Human, Human, Mouse samples.

View Alternative Names

Transmembrane protein 106B, TMEM106B

3 Images
Immunocytochemistry/ Immunofluorescence - Anti-TMEM106B antibody [EPR27525-70] - BSA and Azide free (AB321971)
  • ICC/IF

Supplier Data

Immunocytochemistry/ Immunofluorescence - Anti-TMEM106B antibody [EPR27525-70] - BSA and Azide free (AB321971)

This data was developed using ab321970, the same antibody clone in a different buffer formulation.

Immunofluorescent analysis of 4% Paraformaldehyde-fixed, 0.1% TritonX-100 permeabilized A549 (human lung carcinoma epithelial cell) cells labelling TMEM106B with ab321970 at 1/500 (1.034 ug/ml) dilution, followed by ab150081 Goat Anti-Rabbit IgG H&L (Alexa Fluor® 488) preadsorbed antibody at 1/1000 2 ug/ml dilution (Green).

Confocal image showing cytoplasmic staining in A549 cell line (shown in green) and no staining in TMEM106B KO A549 cell line. The counterstain was observed in magenta. Nuclear DNA was labelled with DAPI (shown in blue). Image was taken with a confocal microscope (Leica-Microsystems, TCS SP8).

ab195889 Anti-alpha Tubulin mouse monoclonal antibody - Microtubule Marker (Alexa Fluor® 594) was used to counterstain tubulin at 1/200 2.5ug/ml dilution (Magenta). The Nuclear counterstain was DAPI (Blue).

Secondary antibody only control : Secondary antibody is ab150081 Goat Anti-Rabbit IgG H&L (Alexa Fluor® 488) preadsorbed at 1/1000 2 ug/ml dilution.

Western blot - Anti-TMEM106B antibody [EPR27525-70] - BSA and Azide free (AB321971)
  • WB

Supplier Data

Western blot - Anti-TMEM106B antibody [EPR27525-70] - BSA and Azide free (AB321971)

This data was developed using ab321970, the same antibody clone in a different buffer formulation.

Blocking and diluting buffer and concentration : 5% NFDM/TBST.

This antibody cross-react with recombinant human TMEM106C by western blot.

All lanes:

Western blot - Anti-TMEM106B antibody [EPR27525-70] (<a href='/en-us/products/primary-antibodies/tmem106b-antibody-epr27525-70-ab321970'>ab321970</a>) at 1/1000 dilution

Lane 1:

His-tagged human TMEM106B recombinant fragment at 10 ng

Lane 2:

His-tagged human TMEM106C recombinant fragment at 10 ng

Secondary

All lanes:

Western blot - Goat Anti-Rabbit IgG H&L (HRP) (<a href='/en-us/products/secondary-antibodies/goat-rabbit-igg-h-l-hrp-ab97051'>ab97051</a>) at 1/20000 dilution

Observed band size: 14 kDa

false

Exposure time: 26s

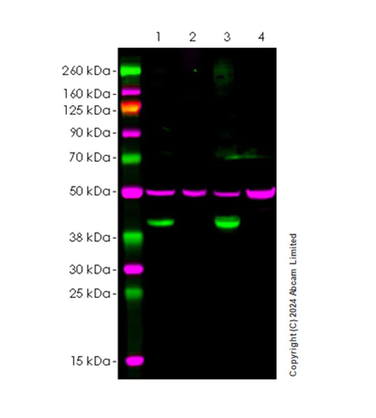
Western blot - Anti-TMEM106B antibody [EPR27525-70] - BSA and Azide free (AB321971)
  • WB

Supplier Data

Western blot - Anti-TMEM106B antibody [EPR27525-70] - BSA and Azide free (AB321971)

This data was developed using ab321970, the same antibody clone in a different buffer formulation.

Blocking and diluting buffer and concentration : Intercept® (TBS) Blocking Buffer diluted with an equal volume of TBS.

The samples were run on a Bis-Tris gel under reducing conditions.

Western blot : Anti-TMEM106B antibody (ab321970) staining at 1/1000 dilution, shown in green; Mouse anti-Tubulin antibody [DM1A] (ab7291) loading control staining at 1/20000 dilution, shown in magenta.

In Western blot, ab321970 was shown to bind specifically to TMEM106B. Target of interest was observed at 40 kDa in wild-type A549 cell lysates (lane 1) with no signal observed at this size in TMEM106B knockout cell line (lane 2, knockout cell line ab273711 / knockout cell lysate ab273769). To generate this image, samples were first run on an SDS-PAGE gel then transferred onto an immobilon-FL PVDF membrane. Membranes were blocked in a fluorescent western blot (TBS-based) blocking solution before incubation with primary antibodies overnight at 4 °C. Blots were washed in TBS-T, incubated with secondary antibodies Goat anti-Rabbit IgG H&L 800CW and Goat anti-Mouse IgG H&L 680RD at 1/20000 dilution for 1 h at room temperature, washed again then imaged.

Negative control : Raji.

Exposure time : N/A

All lanes:

Western blot - Anti-TMEM106B antibody [EPR27525-70] (<a href='/en-us/products/primary-antibodies/tmem106b-antibody-epr27525-70-ab321970'>ab321970</a>) at 1/1000 dilution

Lane 1:

Wild-type A549 (human lung carcinoma epithelial cell) whole cell lysate at 20 µg

Lane 2:

TMEM106B knockout A549 whole cell lysate at 20 µg

Lane 3:

PANC-1 (human pancreatic epithelioid carcinoma epithelial cell) whole cell lysate at 20 µg

Lane 4:

Raji (human burkitts lymphoma b lymphocyte) whole cell lysate at 20 µg

Secondary

All lanes:

Goat Anti-Rabbit IgG H&L (800CW) and Goat Anti-Mouse IgG H&L (680RD) at 1/20000 dilution

Observed band size: 40 kDa

false

Key facts

Host species

Rabbit

Clonality

Monoclonal

Clone number

EPR27525-70

Isotype

IgG

Carrier free

Yes

Reacts with

Human, Mouse

Applications

ICC/IF, WB

applications

Immunogen

The exact immunogen used to generate this antibody is proprietary information.

Specificity

Unsuitable for mouse ICC. This antibody cross-react with recombinant human TMEM106C by western blot.

Reactivity data

{ "title": "Reactivity Data", "filters": { "stats": ["", "Species", "Dilution Info", "Notes"], "tabs": { "all-applications": {"fullname" : "All Applications", "shortname": "All Applications"}, "WB" : {"fullname" : "Western blot", "shortname":"WB"}, "ICCIF" : {"fullname" : "Immunocytochemistry/ Immunofluorescence", "shortname":"ICC/IF"}, "IHCFr" : {"fullname" : "Immunohistochemistry (Frozen sections)", "shortname":"IHC-Fr"}, "IHCP" : {"fullname" : "Immunohistochemistry (Formalin/PFA-fixed paraffin-embedded sections)", "shortname":"IHC-P"} }, "product-promise": { "all": "all", "testedAndGuaranteed": "tested", "guaranteed": "expected", "predicted": "predicted", "notRecommended": "not-recommended" } }, "values": { "Human": { "WB-species-checked": "testedAndGuaranteed", "WB-species-dilution-info": "", "WB-species-notes": "<p></p>", "ICCIF-species-checked": "testedAndGuaranteed", "ICCIF-species-dilution-info": "", "ICCIF-species-notes": "<p></p>", "IHCFr-species-checked": "notRecommended", "IHCFr-species-dilution-info": "", "IHCFr-species-notes": "", "IHCP-species-checked": "notRecommended", "IHCP-species-dilution-info": "", "IHCP-species-notes": "<p></p>" }, "Mouse": { "WB-species-checked": "testedAndGuaranteed", "WB-species-dilution-info": "", "WB-species-notes": "<p></p>", "ICCIF-species-checked": "notRecommended", "ICCIF-species-dilution-info": "", "ICCIF-species-notes": "<p></p>", "IHCFr-species-checked": "notRecommended", "IHCFr-species-dilution-info": "", "IHCFr-species-notes": "<p></p>", "IHCP-species-checked": "notRecommended", "IHCP-species-dilution-info": "", "IHCP-species-notes": "<p></p>" }, "Recombinant fragment - Human": { "WB-species-checked": "testedAndGuaranteed", "WB-species-dilution-info": "", "WB-species-notes": "<p></p>", "ICCIF-species-checked": "notRecommended", "ICCIF-species-dilution-info": "", "ICCIF-species-notes": "", "IHCFr-species-checked": "notRecommended", "IHCFr-species-dilution-info": "", "IHCFr-species-notes": "", "IHCP-species-checked": "notRecommended", "IHCP-species-dilution-info": "", "IHCP-species-notes": "" } } }

Product details

ab321971 is the carrier-free version of ab321970.

Patented technology
Our RabMAb® technology is a patented hybridoma-based technology for making rabbit monoclonal antibodies. For details on our patents, please refer to RabMAb® patents.

What are the advantages of a recombinant monoclonal antibody?
This product is a recombinant monoclonal antibody, which offers several advantages including:

  • - High batch-to-batch consistency and reproducibility
  • - Improved sensitivity and specificity
  • - Long-term security of supply
  • - Animal-free batch production

For more information, read more on recombinant antibodies.

Conjugation ready
Our carrier-free antibodies are typically supplied in a PBS-only formulation, purified and free of BSA, sodium azide and glycerol. This conjugation-ready format is designed for use with fluorochromes, metal isotopes, oligonucleotides, and enzymes, which makes them ideal for antibody labelling, functional and cell-based assays, flow-based assays (e.g. mass cytometry) and Multiplex Imaging applications.

Use our conjugation kits for antibody conjugates that are ready-to-use in as little as 20 minutes with 1 minute hands-on-time and 100% antibody recovery: available for fluorescent dyes, HRP, biotin and gold.

Compatibility
This product is compatible with the Maxpar® Antibody Labeling Kit from Fluidigm, without the need for antibody preparation. Maxpar® is a trademark of Fluidigm Canada Inc.

Properties and storage information

Form
Liquid
Purification technique
Affinity purification Protein A
Storage buffer
pH: 7.2 - 7.4 Constituents: PBS
Shipped at conditions
Blue Ice
Appropriate short-term storage conditions
+4°C
Appropriate long-term storage conditions
+4°C

Supplementary information

This supplementary information is collated from multiple sources and compiled automatically.

TMEM106B also known as transmembrane protein 106B is a type II single-pass transmembrane protein with a molecular mass of approximately 33 kDa. It is expressed in specific regions of the brain as well as in other tissue types such as the lungs and immune system cells. Its expression levels are especially elevated in microglia and oligodendrocytes which are brain cells that play important roles in immune response and myelination respectively. Structurally TMEM106B contains a transmembrane domain and its precise biochemical function is still under investigation though it is thought to participate in lysosomal and vesicular trafficking.
Biological function summary

TMEM106B is involved in several cellular processes impacting lysosome function and trafficking. It may become part of a protein complex that manages lysosomal positioning and pathway regulation within the cell. TMEM106B also affects cellular homeostasis and protein degradation which suggests a role in maintaining the proper balance of proteins and lipids within lysosomes. Alteration in TMEM106B expression or function can cause changes in lysosomal size and distribution indicating its role in cellular logistics.

Pathways

The TMEM106B protein becomes involved in the endolysosomal pathway and the autophagy-lysosome pathway. These pathways are critical for processing and breakdown of cellular waste and recycling of cellular components. In these pathways TMEM106B interacts with other proteins such as SORT1 (sortilin 1) and GRN (progranulin) both of which have important roles in protein sorting and trafficking. By influencing these pathways TMEM106B helps maintain cellular health and function.

TMEM106B links to neurodegenerative conditions such as frontotemporal lobar degeneration and possibly Alzheimer's disease. Mutations or abnormal expression levels of TMEM106B have been implicated in the pathogenesis and progression of these diseases. In frontotemporal lobar degeneration TMEM106B interacts with proteins like GRN where changes can lead to neurodegeneration. In Alzheimer's disease abnormal lysosomal function tied to TMEM106B may contribute to the accumulation of pathogenic proteins.

Product protocols

For this product, it's our understanding that no specific protocols are required. You can visit:

Target data

In neurons, involved in the transport of late endosomes/lysosomes (PubMed : 25066864). May be involved in dendrite morphogenesis and maintenance by regulating lysosomal trafficking (PubMed : 25066864). May act as a molecular brake for retrograde transport of late endosomes/lysosomes, possibly via its interaction with MAP6 (By similarity). In motoneurons, may mediate the axonal transport of lysosomes and axonal sorting at the initial segment (By similarity). It remains unclear whether TMEM106B affects the transport of moving lysosomes in the anterograde or retrograde direction in neurites and whether it is important in the sorting of lysosomes in axons or in dendrites (By similarity). In neurons, may also play a role in the regulation of lysosomal size and responsiveness to stress (PubMed : 25066864). Required for proper lysosomal acidification (By similarity).. (Microbial infection) Plays a role in human coronavirus SARS-CoV-2 infection, but not in common cold coronaviruses HCoV-229E and HCoV-OC43 infections. Involved in ACE2-independent SARS-CoV-2 cell entry. Required for post-endocytic stage of virus entry, facilitates spike-mediated membrane fusion. Virus attachment and endocytosis can also be mediated by other cell surface receptors.
See full target information TMEM106B

Product promise

We are committed to supporting your work with high-quality reagents, and we're here for you every step of the way. In the unlikely event that one of our products does not perform as expected, you're protected by our Product Promise.
For full details, please see our Terms & Conditions

Please note: All products are 'FOR RESEARCH USE ONLY. NOT FOR USE IN DIAGNOSTIC OR THERAPEUTIC PROCEDURES'.

For licensing inquiries, please contact partnerships@abcam.com