JavaScript is disabled in your browser. Please enable JavaScript to view this website.
AB325607

Anti-TMEM106B antibody [EPR30569-44] - C-terminal

  • RabMAb
  • Recombinant
  • 20ul selling size
  • KO Validated
  • Advanced Validation
  • What is this?

Be the first to review this product! Submit a review

|

(0 Publication)

Rabbit Recombinant Monoclonal T106B antibody. Suitable for WB, IHC-Fr, IHC-P, mIHC and reacts with Transfected cell lysate - Human, Human, Mouse samples.

View Alternative Names

Transmembrane protein 106B, TMEM106B

13 Images
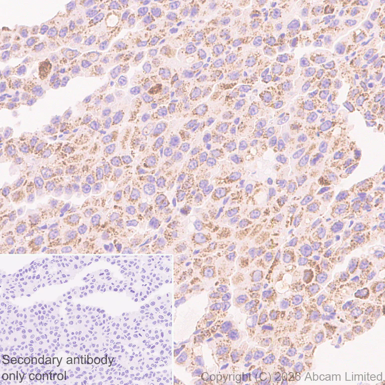
Immunohistochemistry (Formalin/PFA-fixed paraffin-embedded sections) - Anti-TMEM106B antibody [EPR30569-44] - C-terminal (AB325607)
  • IHC-P

Lab

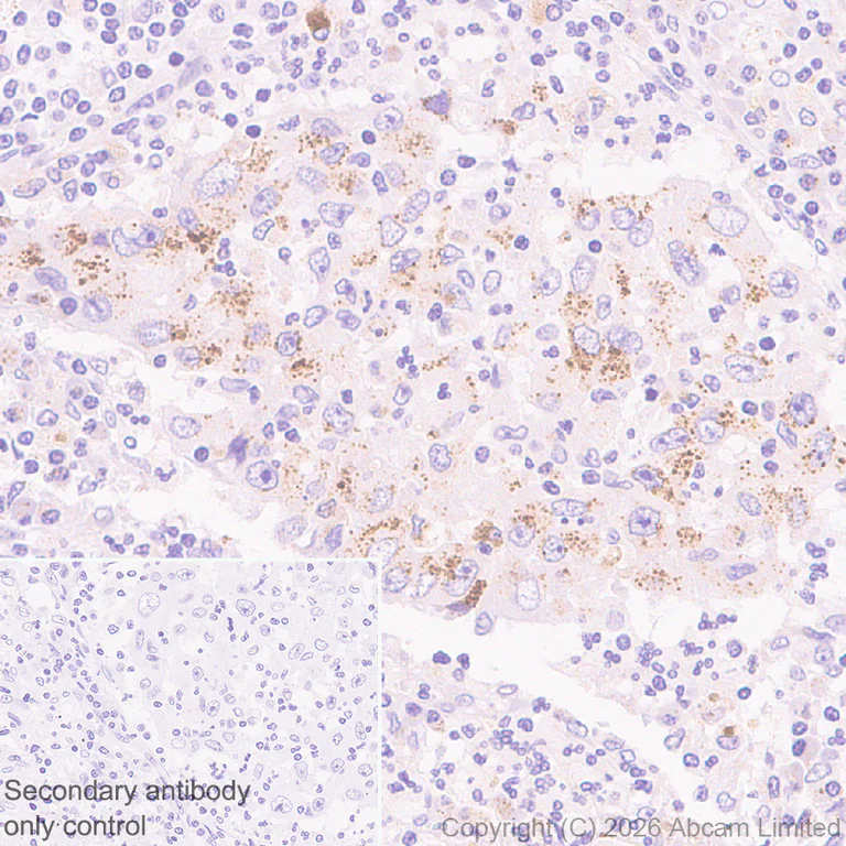
Immunohistochemistry (Formalin/PFA-fixed paraffin-embedded sections) - Anti-TMEM106B antibody [EPR30569-44] - C-terminal (AB325607)

Immunohistochemical analysis of paraffin-embedded Human lung carcinoma tissue labeling TMEM106B with ab325607 at 1/500 (1.04 µg/ml) dilution, followed by a ready to use LeicaDS9800 (Bond™ Polymer Refine Detection).

Positive staining on human lung carcinoma.

The primary antibody was incubated for 30 mins at room temperature.

The immunostaining was performed on a Leica Biosystems BOND® RX instrument

Counterstained with Hematoxylin.

Secondary antibody only control : Secondary antibody is a ready to use LeicaDS9800 (Bond™ Polymer Refine Detection).

Heat mediated antigen retrieval was performed with Tris-EDTA buffer (pH 9.0, Epitope Retrieval Solution2) for 20 mins

Immunohistochemistry (Formalin/PFA-fixed paraffin-embedded sections) - Anti-TMEM106B antibody [EPR30569-44] - C-terminal (AB325607)
  • IHC-P

Lab

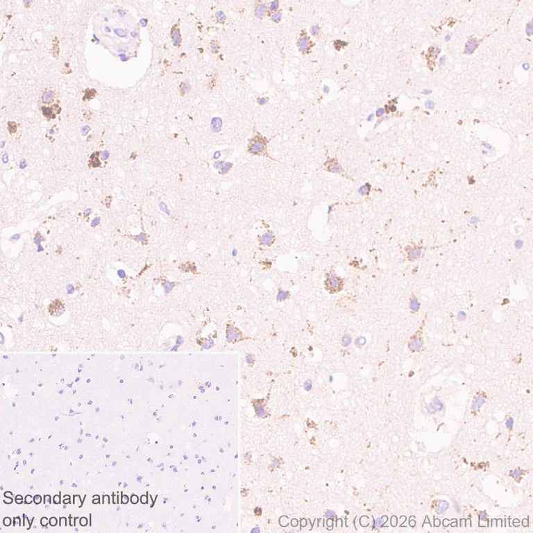
Immunohistochemistry (Formalin/PFA-fixed paraffin-embedded sections) - Anti-TMEM106B antibody [EPR30569-44] - C-terminal (AB325607)

Immunohistochemical analysis of paraffin-embedded Human Alzheimer's disease brain tissue labeling TMEM106B with ab325607 at 1/500 (1.04 µg/ml) dilution, followed by a ready to use LeicaDS9800 (Bond™ Polymer Refine Detection).

Positive staining on Human Alzheimer's disease brain.

The primary antibody was incubated for 30 mins at room temperature.

The immunostaining was performed on a Leica Biosystems BOND® RX instrument

Counterstained with Hematoxylin.

Secondary antibody only control : Secondary antibody is a ready to use LeicaDS9800 (Bond™ Polymer Refine Detection).

Heat mediated antigen retrieval was performed with Tris-EDTA buffer (pH 9.0, Epitope Retrieval Solution2) for 20 mins

Immunohistochemistry (Formalin/PFA-fixed paraffin-embedded sections) - Anti-TMEM106B antibody [EPR30569-44] - C-terminal (AB325607)
  • IHC-P

Lab

Immunohistochemistry (Formalin/PFA-fixed paraffin-embedded sections) - Anti-TMEM106B antibody [EPR30569-44] - C-terminal (AB325607)

Immunohistochemical analysis of paraffin-embedded (A) PANC-1 (human pancreatic epithelioid carcinoma epithelial cell) cell pellet and (B) Raji (human Burkitt's lymphoma B lymphocyte) cell pellet labeling TMEM106B with ab325607 at 1/1000 (0.52 µg/ml) dilution, followed by a ready to use LeicaDS9800 (Bond™ Polymer Refine Detection).

Positive staining on (A) PANC-1 cell pellet, no staining on (B) Raji cell pellet.

The primary antibody was incubated for 30 mins at room temperature.

The immunostaining was performed on a Leica Biosystems BOND® RX instrument

Counterstained with Hematoxylin.

Secondary antibody only control : Secondary antibody is a ready to use LeicaDS9800 (Bond™ Polymer Refine Detection).

Heat mediated antigen retrieval was performed with Tris-EDTA buffer (pH 9.0, Epitope Retrieval Solution2) for 20 mins

Immunohistochemistry (Formalin/PFA-fixed paraffin-embedded sections) - Anti-TMEM106B antibody [EPR30569-44] - C-terminal (AB325607)
  • IHC-P

Lab

Immunohistochemistry (Formalin/PFA-fixed paraffin-embedded sections) - Anti-TMEM106B antibody [EPR30569-44] - C-terminal (AB325607)

Immunohistochemical analysis of paraffin-embedded (A) Wild-type A549 (human lung carcinoma epithelial cell) cell pellet and (B) TMEM106B knockout A549 cell pellet labeling TMEM106B with ab325607 at 1/1000 (0.52 µg/ml) dilution, followed by a ready to use LeicaDS9800 (Bond™ Polymer Refine Detection).

Positive staining on (A) Wild-type A549 cell pellet, no staining on (B) TMEM106B knockout A549 cell pellet.

The primary antibody was incubated for 30 mins at room temperature.

The immunostaining was performed on a Leica Biosystems BOND® RX instrument

Counterstained with Hematoxylin.

Secondary antibody only control : Secondary antibody is a ready to use LeicaDS9800 (Bond™ Polymer Refine Detection).

Heat mediated antigen retrieval was performed with Tris-EDTA buffer (pH 9.0, Epitope Retrieval Solution2) for 20 mins

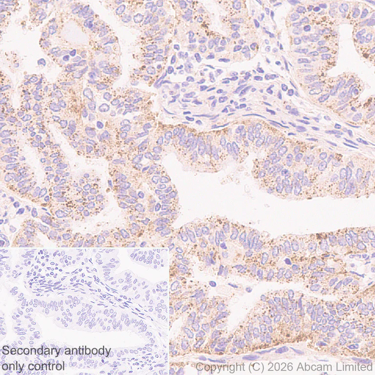
Immunohistochemistry (Formalin/PFA-fixed paraffin-embedded sections) - Anti-TMEM106B antibody [EPR30569-44] - C-terminal (AB325607)
  • IHC-P

Lab

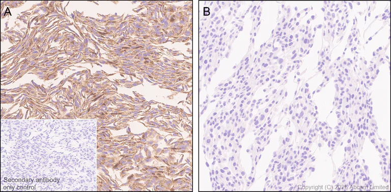
Immunohistochemistry (Formalin/PFA-fixed paraffin-embedded sections) - Anti-TMEM106B antibody [EPR30569-44] - C-terminal (AB325607)

Immunohistochemical analysis of paraffin-embedded Human endometrial carcinoma tissue labeling TMEM106B with ab325607 at 1/500 (1.04 µg/ml) dilution, followed by a ready to use LeicaDS9800 (Bond™ Polymer Refine Detection).

Positive staining on human endometrial carcinoma.

The primary antibody was incubated for 30 mins at room temperature.

The immunostaining was performed on a Leica Biosystems BOND® RX instrument

Counterstained with Hematoxylin.

Secondary antibody only control : Secondary antibody is a ready to use LeicaDS9800 (Bond™ Polymer Refine Detection).

Heat mediated antigen retrieval was performed with Tris-EDTA buffer (pH 9.0, Epitope Retrieval Solution2) for 20 mins

Immunohistochemistry (Formalin/PFA-fixed paraffin-embedded sections) - Anti-TMEM106B antibody [EPR30569-44] - C-terminal (AB325607)
  • IHC-P

Lab

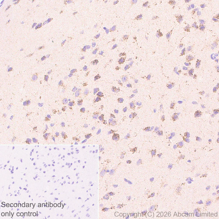
Immunohistochemistry (Formalin/PFA-fixed paraffin-embedded sections) - Anti-TMEM106B antibody [EPR30569-44] - C-terminal (AB325607)

Immunohistochemical analysis of paraffin-embedded Human cerebrum tissue labeling TMEM106B with ab325607 at 1/500 (1.04 µg/ml) dilution, followed by a ready to use LeicaDS9800 (Bond™ Polymer Refine Detection).

Positive staining on human cerebrum (PMID : 24252750).

The primary antibody was incubated for 30 mins at room temperature.

The immunostaining was performed on a Leica Biosystems BOND® RX instrument

Counterstained with Hematoxylin.

Secondary antibody only control : Secondary antibody is a ready to use LeicaDS9800 (Bond™ Polymer Refine Detection).

Heat mediated antigen retrieval was performed with Tris-EDTA buffer (pH 9.0, Epitope Retrieval Solution2) for 20 mins

Multiplex immunohistochemistry - Anti-TMEM106B antibody [EPR30569-44] - C-terminal (AB325607)
  • mIHC

Lab

Multiplex immunohistochemistry - Anti-TMEM106B antibody [EPR30569-44] - C-terminal (AB325607)

Multiplex immunohistochemistry analysis of formalin/PFA-fixed paraffin-embedded human cerebrum tissue staining TMEM106B with ab325607 at a 1 : 500 (1.04 µg/ml) dilution, ab108597 anti-LAMP1 used at 1 : 400 (0.37 µg/ml) dilution and ab300140 anti-P2Y12 used at a 1 : 40000 (0.013 µg/ml) dilution.

Panel A : merged staining of anti-TMEM106B (green; Opal™520), anti-LAMP1 (magenta; Opal™570) and anti-P2Y12 (yellow; Opal™690) on human cerebrum.
Panel B : anti-TMEM106B showed granular staining in human cerebrum.
Panel C : anti-LAMP1 staining lysosome in human cerebrum.
Panel D : anti-P2Y12 staining microglia in human cerebrum.
Nuclear DNA was labeled with DAPI (shown in blue).

The section was incubated in three rounds of staining : in the order of ab325607, ab108597 and ab300140 for 30 mins at room temperature. Each round was followed by a separate fluorescent tyramide signal amplification system.

The immunostaining was performed on a Leica Biosystems BOND® RX instrument with an Opal™ 4-color kit. Image acquisition was performed with Leica SP8 confocal microscope.

Nuclear counter stain with DAPI.

Heat mediated antigen retrieval with Tris-EDTA buffer (pH 9.0, epitope retrieval solution2) for 20 mins.

Immunohistochemistry (Formalin/PFA-fixed paraffin-embedded sections) - Anti-TMEM106B antibody [EPR30569-44] - C-terminal (AB325607)
  • IHC-P

Lab

Immunohistochemistry (Formalin/PFA-fixed paraffin-embedded sections) - Anti-TMEM106B antibody [EPR30569-44] - C-terminal (AB325607)

Immunohistochemical analysis of paraffin-embedded Mouse Alzheimer's disease brain tissue labeling TMEM106B with ab325607 at 1/2000 (0.26 µg/ml) dilution, followed by a ready to use LeicaDS9800 (Bond™ Polymer Refine Detection).

Positive staining on Mouse Alzheimer's disease brain.

The primary antibody was incubated for 30 mins at room temperature.

The immunostaining was performed on a Leica Biosystems BOND® RX instrument

Counterstained with Hematoxylin.

Secondary antibody only control : Secondary antibody is a ready to use LeicaDS9800 (Bond™ Polymer Refine Detection).

Heat mediated antigen retrieval was performed with Tris-EDTA buffer (pH 9.0, Epitope Retrieval Solution2) for 20 mins

Immunohistochemistry (Frozen sections) - Anti-TMEM106B antibody [EPR30569-44] - C-terminal (AB325607)
  • IHC-Fr

Lab

Immunohistochemistry (Frozen sections) - Anti-TMEM106B antibody [EPR30569-44] - C-terminal (AB325607)

Immunohistochemical analysis of 4% PFA-fixed, 0.2% Triton X-100 permeabilized frozen Mouse cerebrum (perfused fixed) tissue labeling TMEM106B with ab325607 at 1/50 (10.4 µg/ml) dilution followed by ab150081 Goat Anti-Rabbit IgG H&L (Alexa Fluor® 488) preadsorbed at 1/1000 2 µg/mL dilution (Green).

Panel A : merged staining of anti-TMEM106B (ab325607, green), anti-NeuN (ab190565, magenta) on mouse cerebrum. Panel B : anti-TMEM106B stained on mouse cerebrum. Panel C : anti-NeuN stained in neurons of mouse cerebrum. The section was incubated in two rounds of staining : in the order of ab325607 and ab190565, for 1 hr at room temperature. The nuclear counterstain was DAPI (Blue). The section was then mounted using Fluoromount®.The immunostaining was performed on a Leica Biosystems BOND® RX instrument. Image was taken with a confocal microscope (Leica-Microsystems, TCS SP8).

Secondary antibody control : Secondary antibody is ab150081 Goat Anti-Rabbit IgG H&L (Alexa Fluor® 488) preadsorbed at 1/1000 2 µg/mL dilution.

Heat mediated antigen retrieval using sodium citrate buffer (10mM citrate pH 6.0 + 0.05% Tween-20)

Immunohistochemistry (Formalin/PFA-fixed paraffin-embedded sections) - Anti-TMEM106B antibody [EPR30569-44] - C-terminal (AB325607)
  • IHC-P

Lab

Immunohistochemistry (Formalin/PFA-fixed paraffin-embedded sections) - Anti-TMEM106B antibody [EPR30569-44] - C-terminal (AB325607)

Immunohistochemical analysis of paraffin-embedded Mouse cerebrum tissue labeling TMEM106B with ab325607 at 1/2000 (0.26 µg/ml) dilution, followed by a ready to use LeicaDS9800 (Bond™ Polymer Refine Detection).

Positive staining on mouse cerebrum.

The primary antibody was incubated for 30 mins at room temperature.

The immunostaining was performed on a Leica Biosystems BOND® RX instrument

Counterstained with Hematoxylin.

Secondary antibody only control : Secondary antibody is a ready to use LeicaDS9800 (Bond™ Polymer Refine Detection).

Heat mediated antigen retrieval was performed with Tris-EDTA buffer (pH 9.0, Epitope Retrieval Solution2) for 20 mins

Immunohistochemistry (Formalin/PFA-fixed paraffin-embedded sections) - Anti-TMEM106B antibody [EPR30569-44] - C-terminal (AB325607)
  • IHC-P

Lab

Immunohistochemistry (Formalin/PFA-fixed paraffin-embedded sections) - Anti-TMEM106B antibody [EPR30569-44] - C-terminal (AB325607)

Immunohistochemical analysis of paraffin-embedded Mouse lung carcinoma tissue labeling TMEM106B with ab325607 at 1/2000 (0.26 µg/ml) dilution, followed by a ready to use LeicaDS9800 (Bond™ Polymer Refine Detection).

Positive staining on mouse lung carcinoma.

The primary antibody was incubated for 30 mins at room temperature.

The immunostaining was performed on a Leica Biosystems BOND® RX instrument

Counterstained with Hematoxylin.

Secondary antibody only control : Secondary antibody is a ready to use LeicaDS9800 (Bond™ Polymer Refine Detection).

Heat mediated antigen retrieval was performed with Tris-EDTA buffer (pH 9.0, Epitope Retrieval Solution2) for 20 mins

Western blot - Anti-TMEM106B antibody [EPR30569-44] - C-terminal (AB325607)
  • WB

Lab

Western blot - Anti-TMEM106B antibody [EPR30569-44] - C-terminal (AB325607)

Blocking and diluting buffer and concentration : 5% NFDM/TBST.

This antibody does not cross-react with human TMEM106C and human TMEM106A by western blot.

In Western blot, Anti-GAPDH antibody [EPR16891] - Loading Control (ab181602) (1 : 200000) (36KDa);Anti-Myc tag® antibody (1 : 5000) (40KDa);.

All lanes:

Western blot - Anti-TMEM106B antibody [EPR30569-44] - C-terminal (ab325607) at 1/1000 dilution

Lane 1:

293T (human embryonic kidney epithelial cell) transfected with an empty vector containing a myc-His-tag® whole cell lysate at 10 µg

Lane 2:

293T transfected with a human TMEM106B expression vector containing a myc-His-tag® whole cell lysate at 20 µg

Lane 3:

293T transfected with a human TMEM106C expression vector containing a myc-His-tag® whole cell lysate at 20 µg

Lane 4:

293T transfected with a human TMEM106A expression vector containing a myc-His-tag® whole cell lysate at 20 µg

Secondary

All lanes:

Western blot - Goat Anti-Rabbit IgG H&L (HRP) (<a href='/en-us/products/secondary-antibodies/goat-rabbit-igg-h-l-hrp-ab97051'>ab97051</a>) at 1/20000 dilution

Observed band size: 40 kDa,36 kDa

false

Exposure time: 8s

Western blot - Anti-TMEM106B antibody [EPR30569-44] - C-terminal (AB325607)
  • WB

Lab

Western blot - Anti-TMEM106B antibody [EPR30569-44] - C-terminal (AB325607)

Blocking and diluting buffer and concentration : 5% NFDM/TBST.

Negative control : Raji

Performed under reducing conditions.

In Western blot, ab325607 was shown to bind specifically to TMEM106B. Target of interest was observed at 40 and 30 kDa in wild-type A549 cell lysates (lane 1) with no signal observed at this size in TMEM106B knockout cell line (lane 2, knockout cell line ab273711 / knockout cell lysate ab273769).

The expression profile/ molecular weight observed is consistent with what has been described in the literature (PMID : 39709600).

This blot was developed using a high-sensitivity ECL substrate, allowing for the detection of proteins in the mid-femtogram range.

The identity of the bands higher than 150 kDa is unknown.

In Western blot, Anti-GAPDH antibody [EPR16891] - Loading Control (ab181602) (1 : 200000) (36KDa).

All lanes:

Western blot - Anti-TMEM106B antibody [EPR30569-44] - C-terminal (ab325607) at 1/1000 dilution

Lane 1:

Wild-type A549 (human lung carcinoma epithelial cell) whole cell lysate at 20 µg

Lane 2:

TMEM106B knockout A549 whole cell lysate at 20 µg

Lane 3:

AsPC-1 (human Pancreas epithelial cell) whole cell lysate at 20 µg

Lane 4:

PANC-1 (human pancreatic epithelioid carcinoma epithelial cell) whole cell lysate at 20 µg

Lane 5:

Raji (human Burkitt's lymphoma B lymphocyte) whole cell lysate at 20 µg

Lane 6:

3T3-L1 (mouse embryonic fibroblast) whole cell lysate at 20 µg

Secondary

All lanes:

Western blot - Goat Anti-Rabbit IgG H&L (HRP) (<a href='/en-us/products/secondary-antibodies/goat-rabbit-igg-h-l-hrp-ab97051'>ab97051</a>) at 1/20000 dilution

Observed band size: 30 kDa,40 kDa,36 kDa

true

Exposure time: 103s

Key facts

Host species

Rabbit

Clonality

Monoclonal

Clone number

EPR30569-44

Isotype

IgG

Carrier free

No

Reacts with

Mouse, Human

Applications

mIHC, IHC-Fr, WB, IHC-P

applications

Immunogen

The exact immunogen used to generate this antibody is proprietary information.

Reactivity data

{ "title": "Reactivity Data", "filters": { "stats": ["", "Species", "Dilution Info", "Notes"], "tabs": { "all-applications": {"fullname" : "All Applications", "shortname": "All Applications"}, "WB" : {"fullname" : "Western blot", "shortname":"WB"}, "IHCFr" : {"fullname" : "Immunohistochemistry (Frozen sections)", "shortname":"IHC-Fr"}, "IHCP" : {"fullname" : "Immunohistochemistry (Formalin/PFA-fixed paraffin-embedded sections)", "shortname":"IHC-P"}, "FlowCyt" : {"fullname" : "Flow Cytometry", "shortname":"Flow Cyt"}, "ICCIF" : {"fullname" : "Immunocytochemistry/ Immunofluorescence", "shortname":"ICC/IF"}, "mIHC" : {"fullname" : "Multiplex immunohistochemistry", "shortname":"mIHC"} }, "product-promise": { "all": "all", "testedAndGuaranteed": "tested", "guaranteed": "expected", "predicted": "predicted", "notRecommended": "not-recommended" } }, "values": { "Human": { "WB-species-checked": "testedAndGuaranteed", "WB-species-dilution-info": "1/1000", "WB-species-notes": "<p></p>", "IHCFr-species-checked": "guaranteed", "IHCFr-species-dilution-info": "", "IHCFr-species-notes": "", "IHCP-species-checked": "testedAndGuaranteed", "IHCP-species-dilution-info": "1/500 for 1/1000", "IHCP-species-notes": "<p></p> Perform heat-mediated antigen retrieval with Tris/EDTA buffer pH 9.0 before commencing with IHC staining protocol.", "FlowCyt-species-checked": "notRecommended", "FlowCyt-species-dilution-info": "", "FlowCyt-species-notes": "<p></p>", "ICCIF-species-checked": "notRecommended", "ICCIF-species-dilution-info": "", "ICCIF-species-notes": "<p></p>", "mIHC-species-checked": "testedAndGuaranteed", "mIHC-species-dilution-info": "1/500", "mIHC-species-notes": "<p></p> Perform heat-mediated antigen retrieval with Tris/EDTA buffer pH 9.0 before commencing with IHC staining protocol." }, "Mouse": { "WB-species-checked": "testedAndGuaranteed", "WB-species-dilution-info": "1/1000", "WB-species-notes": "<p></p>", "IHCFr-species-checked": "testedAndGuaranteed", "IHCFr-species-dilution-info": "1/50", "IHCFr-species-notes": "<p></p> Perform heat-mediated antigen retrieval with citrate buffer pH 6 before commencing with IHC staining protocol.", "IHCP-species-checked": "testedAndGuaranteed", "IHCP-species-dilution-info": "1/2000", "IHCP-species-notes": "<p></p> Perform heat-mediated antigen retrieval with Tris/EDTA buffer pH 9.0 before commencing with IHC staining protocol.", "FlowCyt-species-checked": "notRecommended", "FlowCyt-species-dilution-info": "", "FlowCyt-species-notes": "", "ICCIF-species-checked": "notRecommended", "ICCIF-species-dilution-info": "", "ICCIF-species-notes": "<p></p>", "mIHC-species-checked": "guaranteed", "mIHC-species-dilution-info": "", "mIHC-species-notes": "" }, "Transfected cell lysate - Human": { "WB-species-checked": "testedAndGuaranteed", "WB-species-dilution-info": "1/1000", "WB-species-notes": "<p></p>", "IHCFr-species-checked": "notRecommended", "IHCFr-species-dilution-info": "", "IHCFr-species-notes": "", "IHCP-species-checked": "notRecommended", "IHCP-species-dilution-info": "", "IHCP-species-notes": "", "FlowCyt-species-checked": "notRecommended", "FlowCyt-species-dilution-info": "", "FlowCyt-species-notes": "", "ICCIF-species-checked": "notRecommended", "ICCIF-species-dilution-info": "", "ICCIF-species-notes": "", "mIHC-species-checked": "notRecommended", "mIHC-species-dilution-info": "", "mIHC-species-notes": "" } } }

Product details

Patented technology
Our RabMAb® technology is a patented hybridoma-based technology for making rabbit monoclonal antibodies. For details on our patents, please refer to RabMAb® patents.

What are the advantages of a recombinant monoclonal antibody?
This product is a recombinant monoclonal antibody, which offers several advantages including:

  • - High batch-to-batch consistency and reproducibility
  • - Improved sensitivity and specificity
  • - Long-term security of supply
  • - Animal-free batch production

For more information, read more on recombinant antibodies.

Properties and storage information

Form
Liquid
Purification technique
Affinity purification Protein A
Storage buffer
pH: 7.2 - 7.4 Preservative: 0.01% Sodium azide Constituents: PBS, 40% Glycerol (glycerin, glycerine), 0.05% BSA
Shipped at conditions
Blue Ice
Appropriate short-term storage duration
1-2 weeks
Appropriate short-term storage conditions
+4°C
Appropriate long-term storage conditions
-20°C
Aliquoting information
Upon delivery aliquot
Storage information
Avoid freeze / thaw cycle

Product protocols

For this product, it's our understanding that no specific protocols are required. You can visit:

Target data

In neurons, involved in the transport of late endosomes/lysosomes (PubMed : 25066864). May be involved in dendrite morphogenesis and maintenance by regulating lysosomal trafficking (PubMed : 25066864). May act as a molecular brake for retrograde transport of late endosomes/lysosomes, possibly via its interaction with MAP6 (By similarity). In motoneurons, may mediate the axonal transport of lysosomes and axonal sorting at the initial segment (By similarity). It remains unclear whether TMEM106B affects the transport of moving lysosomes in the anterograde or retrograde direction in neurites and whether it is important in the sorting of lysosomes in axons or in dendrites (By similarity). In neurons, may also play a role in the regulation of lysosomal size and responsiveness to stress (PubMed : 25066864). Required for proper lysosomal acidification (By similarity).. (Microbial infection) Plays a role in human coronavirus SARS-CoV-2 infection, but not in common cold coronaviruses HCoV-229E and HCoV-OC43 infections. Involved in ACE2-independent SARS-CoV-2 cell entry. Required for post-endocytic stage of virus entry, facilitates spike-mediated membrane fusion. Virus attachment and endocytosis can also be mediated by other cell surface receptors.
See full target information TMEM106B

Product promise

We are committed to supporting your work with high-quality reagents, and we're here for you every step of the way. In the unlikely event that one of our products does not perform as expected, you're protected by our Product Promise.
For full details, please see our Terms & Conditions

Please note: All products are 'FOR RESEARCH USE ONLY. NOT FOR USE IN DIAGNOSTIC OR THERAPEUTIC PROCEDURES'.

For licensing inquiries, please contact partnerships@abcam.com