JavaScript is disabled in your browser. Please enable JavaScript to view this website.
AB181396

Anti-TMEM107 antibody - N-terminal

4

(1 Review)

|

(2 Publications)

Rabbit Polyclonal TMEM107 antibody. N-terminal. Suitable for WB, IHC-P and reacts with Human samples. Cited in 2 publications. Immunogen corresponding to Synthetic Peptide within Human TMEM107.

View Alternative Names

DC20, UNQ638/PRO1268, TMEM107, Transmembrane protein 107

3 Images
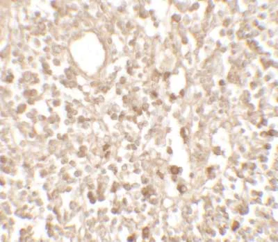
Immunohistochemistry (Formalin/PFA-fixed paraffin-embedded sections) - Anti-TMEM107 antibody - N-terminal (AB181396)
  • IHC-P

Supplier Data

Immunohistochemistry (Formalin/PFA-fixed paraffin-embedded sections) - Anti-TMEM107 antibody - N-terminal (AB181396)

Immunohistochemical analysis of paraffin-embedded Human lymph node tissue labeling TMEM107 with ab181396 at 20 μg/ml.

Immunohistochemistry (Formalin/PFA-fixed paraffin-embedded sections) - Anti-TMEM107 antibody - N-terminal (AB181396)
  • IHC-P

Supplier Data

Immunohistochemistry (Formalin/PFA-fixed paraffin-embedded sections) - Anti-TMEM107 antibody - N-terminal (AB181396)

Immunohistochemical analysis of paraffin-embedded Human lymph node tissue labeling TMEM107 with ab181396 at 5 μg/ml.

Western blot - Anti-TMEM107 antibody - N-terminal (AB181396)
  • WB

Supplier Data

Western blot - Anti-TMEM107 antibody - N-terminal (AB181396)

All lanes:

Western blot - Anti-TMEM107 antibody - N-terminal (ab181396) at 1 µg/mL

Lane 1:

THP-1 cell lysate at 15 µg

Lane 2:

THP-1 cell lysate at 15 µg with immunizing peptide

Predicted band size: 16 kDa

Observed band size: 19 kDa

false

Key facts

Host species

Rabbit

Clonality

Polyclonal

Isotype

IgG

Carrier free

No

Reacts with

Human

Applications

IHC-P, WB

applications

Immunogen

Synthetic Peptide within Human TMEM107. The exact immunogen used to generate this antibody is proprietary information.

Q6UX40

Reactivity data

{ "title": "Reactivity Data", "filters": { "stats": ["", "Species", "Dilution Info", "Notes"], "tabs": { "all-applications": {"fullname" : "All Applications", "shortname": "All Applications"}, "WB" : {"fullname" : "Western blot", "shortname":"WB"}, "IHCP" : {"fullname" : "Immunohistochemistry (Formalin/PFA-fixed paraffin-embedded sections)", "shortname":"IHC-P"} }, "product-promise": { "all": "all", "testedAndGuaranteed": "tested", "guaranteed": "expected", "predicted": "predicted", "notRecommended": "not-recommended" } }, "values": { "Human": { "WB-species-checked": "testedAndGuaranteed", "WB-species-dilution-info": "1 µg/mL", "WB-species-notes": "<p></p>", "IHCP-species-checked": "testedAndGuaranteed", "IHCP-species-dilution-info": "5-20 µg/mL", "IHCP-species-notes": "<p></p>" } } }

Properties and storage information

Form
Liquid
Purification technique
Affinity purification Immunogen
Storage buffer
pH: 7.2 Preservative: 0.02% Sodium azide Constituents: PBS
Shipped at conditions
Blue Ice
Appropriate short-term storage duration
1-2 weeks
Appropriate short-term storage conditions
+4°C
Appropriate long-term storage conditions
-20°C
Aliquoting information
Upon delivery aliquot
Storage information
Avoid freeze / thaw cycle

Supplementary information

This supplementary information is collated from multiple sources and compiled automatically.

TMEM107 also known as Transmembrane Protein 107 is a cell membrane protein involved in ciliary function and development. It weighs approximately 15 kDa. TMEM107 localizes to the ciliary transition zone a critical region within cilia. Expressed in many tissues including the brain heart and kidneys TMEM107 plays a mechanical role in regulating ciliary structure and signaling by acting as a scaffold or anchor for other proteins in the cilia.
Biological function summary

TMEM107 contributes significant roles in cilium-related processes essential for cellular signaling and development. It forms part of a protein complex within the ciliary transition zone which regulates the entry and exit of molecular components in the cilia. By participating in this complex TMEM107 ensures the proper functioning of cilia which is necessary for maintaining cellular signaling pathways critical for organ development.

Pathways

TMEM107 links to ciliogenesis and Sonic Hedgehog (SHH) signaling pathways. These pathways play important roles in embryogenesis and the development of various organs. TMEM107 function related to the Sonic Hedgehog signaling involves its interaction with proteins such as Gli2 and RPGRIP1L which are important for the signal transduction and regulation of gene expression during cell differentiation and tissue patterning.

Disruptions in TMEM107 are associated with ciliopathies like Meckel-Gruber syndrome and Joubert syndrome which are congenital disorders affecting organs development and function. TMEM107 mutations lead to impaired cilia function and contribute to these disorders. The connection between TMEM107 and proteins like MKS1 and CEP290 emphasizes its relevance in understanding the molecular pathways of these diseases and provides possible targets for therapeutic intervention.

Product protocols

For this product, it's our understanding that no specific protocols are required. You can visit:

Target data

Plays a role in cilia formation and embryonic patterning. Requires for normal Sonic hedgehog (Shh) signaling in the neural tube and acts in combination with GLI2 and GLI3 to pattern ventral and intermediate neuronal cell types (By similarity). During ciliogenesis regulates the ciliary transition zone localization of some MKS complex proteins (PubMed : 26518474).
See full target information TMEM107

Publications (2)

Recent publications for all applications. Explore the full list and refine your search

Thoracic cancer 12:79-89 PubMed33124203

2020

TMEM107 inhibits EMT and invasion of NSCLC through regulating the Hedgehog pathway.

Applications

Unspecified application

Species

Unspecified reactive species

Huihui Xu,Song Dun,Ying Gao,Jian Ming,Linping Hui,Xueshan Qiu

Nature genetics 48:1185-92 PubMed27571260

2016

Mutations in SNORD118 cause the cerebral microangiopathy leukoencephalopathy with calcifications and cysts.

Applications

Unspecified application

Species

Unspecified reactive species

Emma M Jenkinson,Mathieu P Rodero,Paul R Kasher,Carolina Uggenti,Anthony Oojageer,Laurence C Goosey,Yoann Rose,Christopher J Kershaw,Jill E Urquhart,Simon G Williams,Sanjeev S Bhaskar,James O'Sullivan,Gabriela M Baerlocher,Monika Haubitz,Geraldine Aubert,Kristin W Barañano,Angela J Barnicoat,Roberta Battini,Andrea Berger,Edward M Blair,Janice E Brunstrom-Hernandez,Johannes A Buckard,David M Cassiman,Rosaline Caumes,Duccio M Cordelli,Liesbeth M De Waele,Alexander J Fay,Patrick Ferreira,Nicholas A Fletcher,Alan E Fryer,Himanshu Goel,Cheryl A Hemingway,Marco Henneke,Imelda Hughes,Rosalind J Jefferson,Ram Kumar,Lieven Lagae,Pierre G Landrieu,Charles M Lourenço,Timothy J Malpas,Sarju G Mehta,Imke Metz,Sakkubai Naidu,Katrin Õunap,Axel Panzer,Prab Prabhakar,Gerardine Quaghebeur,Raphael Schiffmann,Elliott H Sherr,Kanaga R Sinnathuray,Calvin Soh,Helen S Stewart,John Stone,Hilde Van Esch,Christine E G Van Mol,Adeline Vanderver,Emma L Wakeling,Andrea Whitney,Graham D Pavitt,Sam Griffiths-Jones,Gillian I Rice,Patrick Revy,Marjo S van der Knaap,John H Livingston,Raymond T O'Keefe,Yanick J Crow
View all publications

Product promise

We are committed to supporting your work with high-quality reagents, and we're here for you every step of the way. In the unlikely event that one of our products does not perform as expected, you're protected by our Product Promise.
For full details, please see our Terms & Conditions

Please note: All products are 'FOR RESEARCH USE ONLY. NOT FOR USE IN DIAGNOSTIC OR THERAPEUTIC PROCEDURES'.

For licensing inquiries, please contact partnerships@abcam.com