JavaScript is disabled in your browser. Please enable JavaScript to view this website.
AB234501

Anti-TMEM119 antibody [28-3] - Microglial marker - BSA and Azide free

  • BOND RX™ Validated
  • RabMAb
  • Recombinant
  • KO Validated
  • What is this?

2

(2 Reviews)

|

(1 Publication)

Rabbit Recombinant Monoclonal TMEM119 antibody. Carrier free. Suitable for IHC-FoFr, IHC-P, IHC-Fr and reacts with Mouse samples. Cited in 1 publication.

View Alternative Names

Transmembrane protein 119, Osteoblast induction factor, OBIF, Tmem119

13 Images
Immunohistochemistry (Frozen sections) - Anti-TMEM119 antibody [28-3] - Microglial marker - BSA and Azide free (AB234501)
  • IHC-Fr

AbReview59215****

Immunohistochemistry (Frozen sections) - Anti-TMEM119 antibody [28-3] - Microglial marker - BSA and Azide free (AB234501)

ab209064 staining TMEM119 in Mouse corpus callosum sections by Immunohistochemistry (IHC-Fr - frozen sections). Tissue was fixed with paraformaldehyde and blocked with 0.5% BSA for 1 hour at 23°C. Samples were incubated with primary antibody at 1.4µg/ml for 18 hours at 4°C. An Alexa Fluor® 488 -conjugated Donkey anti-rabbit IgG polyclonal was used as the secondary antibody.

TMEM119 (green), Iba1 (red) and DAPI (blue)

This data was developed using the same antibody clone in a different buffer formulation containing PBS, BSA, glycerol, and sodium azide (ab209064).

This image is courtesy of an anonymous Abreview

Immunohistochemistry (Formalin/PFA-fixed paraffin-embedded sections) - Anti-TMEM119 antibody [28-3] - Microglial marker - BSA and Azide free (AB234501)
  • IHC-P

Lab

Immunohistochemistry (Formalin/PFA-fixed paraffin-embedded sections) - Anti-TMEM119 antibody [28-3] - Microglial marker - BSA and Azide free (AB234501)

IHC image of TMEM119 and Iba1 co-staining in a section of formalin-fixed paraffin-embedded normal mouse brain. The section was pre-treated using heat mediated antigen retrieval with sodium citrate buffer (pH6) in a Dako Pascal pressure cooker using the standard factory-set regime. Non-specific protein-protein interactions were then blocked in PBS containing 0.5% (v/v) Triton X-100, 0.3 M (w/v) glycine and 1% (w/v) BSA for 1 h at room temperature. The section was then incubated overnight at +4°C in TBS containing 0.5% (v/v) Triton X-100 and 1% (w/v) BSA with ab209064 at 1 µg/ml and ab5076 at 5 µg/ml. The secondary antibodies were ab150087 (shown in red) and ab150133 (shown in green) used at 2 µg/ml for 1 hour at room temperature. Nuclear DNA was labelled with DAPI (shown in blue). The section was then mounted using Fluoromount®. Images were taken with a confocal microscope (Leica-Microsystems, TCS SP8).

For other IHC staining systems (automated and non-automated), customers should optimize variable parameters such as antigen retrieval conditions, antibody concentrations and incubation times.

This data was developed using the same antibody clone in a different buffer formulation containing PBS, BSA, glycerol, and sodium azide (ab209064).

Immunohistochemistry (Frozen sections) - Anti-TMEM119 antibody [28-3] - Microglial marker - BSA and Azide free (AB234501)
  • IHC-Fr

Collaborator

Immunohistochemistry (Frozen sections) - Anti-TMEM119 antibody [28-3] - Microglial marker - BSA and Azide free (AB234501)

Normal mouse choroid plexus, stained for TMEM119 (red), Iba1 (green) and DAPI (blue). Choroid plexus macrophages are positive for Iba1 and negative for TMEM119. Samples were baked onto slides for 10 minutes at 60oC, rehydrated with PBS and blocked with blocking buffer (10% serum in PBST). ab209064 at a concentration of 1 µg/mL was incubated with the sample overnight at 4oC. Slides were washed with PBS and a goat anti-rabbit Alexa Fluor 488® was used as the secondary antibody at a concentration of 4 µg/mL.

This data was developed using the same antibody clone in a different buffer formulation containing PBS, BSA, glycerol, and sodium azide (ab209064).

Immunohistochemistry (Formalin/PFA-fixed paraffin-embedded sections) - Anti-TMEM119 antibody [28-3] - Microglial marker - BSA and Azide free (AB234501)
  • IHC-P

Lab

Immunohistochemistry (Formalin/PFA-fixed paraffin-embedded sections) - Anti-TMEM119 antibody [28-3] - Microglial marker - BSA and Azide free (AB234501)

IHC image of TMEM119 staining in a section of formalin fixed, paraffin embedded normal mouse brain. The section was pre-treated using heat mediated antigen retrieval with sodium citrate buffer (pH6) in a Dako Pascal pressure cooker using the standard factory-set regime. Non-specific protein-protein interactions were then blocked in PBS containing 0.5% (v/v) Triton X-100, 0.3 M (w/v) glycine and 1% (w/v) BSA for 1 h at room temperature. The section was then incubated overnight at +4°C in PBS containing 0.5% (v/v) Triton X-100 and 1% (w/v) BSA with ab209064 at 0.1 µg/ml. The secondary antibody was ab150087 (shown in red) used at 2 µg/ml for 1 hour at room temperature. Nuclear DNA was labelled with DAPI (shown in blue). The section was then mounted using Fluoromount®. The image was taken with a confocal microscope (Leica-Microsystems, TCS SP8).

For other IHC staining systems (automated and non-automated), customers should optimize variable parameters such as antigen retrieval conditions, antibody concentrations and incubation times.

This data was developed using the same antibody clone in a different buffer formulation containing PBS, BSA, glycerol, and sodium azide (ab209064).

Immunohistochemistry (PFA perfusion fixed frozen sections) - Anti-TMEM119 antibody [28-3] - Microglial marker - BSA and Azide free (AB234501)
  • IHC-FoFr

Lab

Immunohistochemistry (PFA perfusion fixed frozen sections) - Anti-TMEM119 antibody [28-3] - Microglial marker - BSA and Azide free (AB234501)

This data was developed using the same antibody clone in a different buffer formulation containing PBS, BSA, glycerol, and sodium azide (ab209064).

IHC image of TMEM119 staining in a section of Mouse cerebrum using ab209064 at 1 : 50 dilution.The section was fixed with 4% PFA then permeabilized with 0.2% Triton X-100. The secondary antibody was ab150081, Goat Anti-Rabbit IgG H&L (Alexa Fluor® 488) preadsorbed used at 1 : 1000 dilution. Nuclear DNA was labelled with DAPI (shown in blue). Heat mediated antigen retrieval using sodium citrate buffer (10mM citrate pH 6.0 + 0.05% Tween-20). Secondary antibody only control : PBS instead of the primary antibody.

Positive staining on mouse cerebrum.

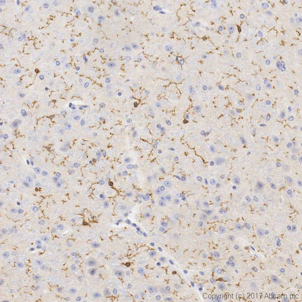
Immunohistochemistry (Formalin/PFA-fixed paraffin-embedded sections) - Anti-TMEM119 antibody [28-3] - Microglial marker - BSA and Azide free (AB234501)
  • IHC-P

Lab

Immunohistochemistry (Formalin/PFA-fixed paraffin-embedded sections) - Anti-TMEM119 antibody [28-3] - Microglial marker - BSA and Azide free (AB234501)

This IHC data was generated using the same anti-TMEM119 antibody clone, 28-3, in a different buffer formulation (cat# ab209064).

IHC image of TMEM119 staining in a section of formalin fixed, paraffin embedded normal mouse brain, performed on a Leica Bond™ system using the standard protocol B. The section was pre-treated using heat mediated antigen retrieval with sodium citrate buffer (pH6, epitope retrieval solution 1) for 20 mins. The section was then incubated with ab209064, 0.5 μg/ml, for 15 mins at room temperature. A goat anti-Rabbit biotinylated secondary antibody was used to detect the primary, and visualized using an HRP conjugated ABC system. DAB was used as the chromogen. The section was then counterstained with haematoxylin and mounted with DPX.

For other IHC staining systems (automated and non-automated) customers should optimize variable parameters such as antigen retrieval conditions, primary antibody concentration and antibody incubation times.

Immunohistochemistry (Frozen sections) - Anti-TMEM119 antibody [28-3] - Microglial marker - BSA and Azide free (AB234501)
  • IHC-Fr

PubMed

Immunohistochemistry (Frozen sections) - Anti-TMEM119 antibody [28-3] - Microglial marker - BSA and Azide free (AB234501)

Representative images of sham (d–g) and hypoperfusion (h–k) at 12 weeks post-surgery are shown to illustrate Iba-1 immunostaining in sham (d) and hypoperfused (h); TMEM119 immunostaining in sham (e) and hypoperfused (i) and then Iba-1/TMEM119 co-localisation in sham (f,g) and hypoperfused (j,k) white matter. All Iba-1+ cells in both sham and hypoperfused cohorts were also TMEM119+ indicating that the cells in the corpus callosum were resident microglia. Scale bars; d-f and h-j are 50µm, g and k 10 µm. The number of microglial cells significantly correlated with nodal gap length.

Free floating cryo-preserved sections cut at 30 μm thickness. Sections were incubated with the primary antibodies (anti-Iba-1 (1/100) and anti-TMEM119 (1/500, ab209064)) overnight at 4°C. Sections were stained at the outset with haematoxylin and eosin to determine the presence and absence of ischemic neuronal perikaryal damage as part of the inclusion/exclusion criteria.

This data was developed using the same antibody clone in a different buffer formulation containing PBS, BSA, glycerol, and sodium azide (ab209064).

Image from Manso Y et al., Glia. 2018;66(1):34-46. Fig 4.; doi: 10.1002/glia.23190 Reproduced under the Creative Commons license https://creativecommons.org/licenses/by/4.0/

Immunohistochemistry (Formalin/PFA-fixed paraffin-embedded sections) - Anti-TMEM119 antibody [28-3] - Microglial marker - BSA and Azide free (AB234501)
  • IHC-P

Lab

Immunohistochemistry (Formalin/PFA-fixed paraffin-embedded sections) - Anti-TMEM119 antibody [28-3] - Microglial marker - BSA and Azide free (AB234501)

This data was developed using the same antibody clone in a different buffer formulation containing PBS, BSA, glycerol, and sodium azide (ab209064).

Immunohistochemical analysis of formalin fixed paraffin embedded mouse cerebrum labelling TMEM119 with ab209064 at 1/1000 dilution. The secondary used was ab150081 Goat Anti-Rabbit IgG H&L (Alexa Fluor® 488) preadsorbed at 1/1000 dilution. Sections were counterstained with DAPI. Heat mediated antigen retrieval was performed using ab93684 (Tris/EDTA buffer, pH 9.0). Positive staining on microglial cells of mouse cerebrum. The section was incubated with ab209064 at 4°C overnight.

Immunohistochemistry (Frozen sections) - Anti-TMEM119 antibody [28-3] - Microglial marker - BSA and Azide free (AB234501)
  • IHC-Fr

PubMed

Immunohistochemistry (Frozen sections) - Anti-TMEM119 antibody [28-3] - Microglial marker - BSA and Azide free (AB234501)

Representative FISH analysis of GAS5 (green) co-stained with ab209064 (red) in spinal cord sections from EAE mice at 30 dpi. Arrows indicate GAS5+TMEM119+ cells. Scale bars = 25 μm.

Female C57BL/6 mice (6–8 weeks) were deeply anesthetized with 3% chloral hydrate and a laminectomy was performed. After fixing the spine, 1 μl of 1% lysolecithin in a 0.9% sodium chloride solution was injected into the dorsal funiculus at the level of the T11–T12 vertebrae. The day of lysolecithin injection was designated day 0 (0 dpi). The spinal cord around the injection point was isolated and cut into serial cryosections.

Tissue sections were fixed, permeabilized, and incubated with the primary antibody overnight at 4°C, followed by 2 h of incubation with TRITC- or FITC-conjugated secondary antibodies. Then, the samples were counterstained with Hoechst 33342.

This data was developed using the same antibody clone in a different buffer formulation containing PBS, BSA, glycerol, and sodium azide (ab209064).

Image from Sun D et al., EMBO Rep.. 2017;18(10):1801-1816. Fig EV3.; doi: 10.15252/embr.201643668. Reproduced under the Creative Commons license http://creativecommons.org/licenses/by/4.0/

Immunohistochemistry (Formalin/PFA-fixed paraffin-embedded sections) - Anti-TMEM119 antibody [28-3] - Microglial marker - BSA and Azide free (AB234501)
  • IHC-P

Lab

Immunohistochemistry (Formalin/PFA-fixed paraffin-embedded sections) - Anti-TMEM119 antibody [28-3] - Microglial marker - BSA and Azide free (AB234501)

ab209064 at 1 : 2000 staining TMEM119 antibody in mouse cerebrum tissue by immunohistochemistry (FFPE). Immunohistochemical analysis of paraffin-embedded mouse cerebrum tissue labeling TMEM119 with ab209064 at 1/2000 dilution followed by Goat Anti-Rabbit IgG H&L (HRP). Positive staining on glial cells in mouse cerebrum is observed. Perform heat mediated antigen retrieval using ab93684 (Tris/EDTA buffer, pH 9.0) before commencing with IHC staining protocol. Counter stained with hematoxylin.

This data was developed using the same antibody clone in a different buffer formulation containing PBS, BSA, glycerol, and sodium azide (ab209064).

Immunohistochemistry (Frozen sections) - Anti-TMEM119 antibody [28-3] - Microglial marker - BSA and Azide free (AB234501)
  • IHC-Fr

Collaborator

Immunohistochemistry (Frozen sections) - Anti-TMEM119 antibody [28-3] - Microglial marker - BSA and Azide free (AB234501)

This IHC data was generated using the same anti-TMEM119 antibody clone, 28-3, in a different buffer formulation (cat# ab209064).

Normal (WT) mouse brain, stained for TMEM119 (red), Iba1 (green) and DAPI (blue). Samples were baked onto slides for 10 minutes at 60oC, rehydrated with PBS and blocked with blocking buffer (10% serum in PBST). ab209064 at a concentration of 1 μg/mL was incubated with the sample overnight at 4oC. Slides were washed with PBS and a goat anti-rabbit Alexa Fluor 488® was used as the secondary antibody at a concentration of 4 μg/mL.

Immunohistochemistry (Frozen sections) - Anti-TMEM119 antibody [28-3] - Microglial marker - BSA and Azide free (AB234501)
  • IHC-Fr

Lab

Immunohistochemistry (Frozen sections) - Anti-TMEM119 antibody [28-3] - Microglial marker - BSA and Azide free (AB234501)

IHC image of TMEM119 staining in a section of frozen normal mouse brain. No antigen retrieval step was performed prior to staining. Non-specific protein-protein interactions were then blocked in PBS containing 0.5% (v/v) Triton X-100, 0.3 M (w/v) glycine and 1% (w/v) BSA for 1 h at room temperature. The section was then incubated overnight at +4°C in PBS containing 0.5% (v/v) Triton X-100 and 1% (w/v) BSA with ab209064 at 0.5 µg/ml. The secondary antibody was ab150087 (shown in red) used at 2 µg/ml for 1 hour at room temperature. Nuclear DNA was labelled with DAPI (shown in blue). The section was then mounted using Fluoromount®. The image was taken with a confocal microscope (Leica-Microsystems, TCS SP8).

For other IHC staining systems (automated and non-automated), customers should optimize variable parameters such as antigen retrieval conditions, antibody concentrations and incubation times.

This data was developed using the same antibody clone in a different buffer formulation containing PBS, BSA, glycerol, and sodium azide (ab209064).

Immunohistochemistry (Frozen sections) - Anti-TMEM119 antibody [28-3] - Microglial marker - BSA and Azide free (AB234501)
  • IHC-Fr

Lab

Immunohistochemistry (Frozen sections) - Anti-TMEM119 antibody [28-3] - Microglial marker - BSA and Azide free (AB234501)

This IHC data was generated using the same anti-TMEM119 antibody clone, 28-3, in a different buffer formulation (cat# ab209064).

IHC image of TMEM119 staining in a section of frozen normal mouse brain wild type (upper panel) and TMEM119 knockout (lower panel). No antigen retrieval step was performed prior to staining. Non-specific protein-protein interactions were then blocked in PBS containing 0.5% (v/v) Triton X-100, 0.3 M (w/v) glycine and 1% (w/v) BSA for 1 h at room temperature. The section was then incubated overnight at +4°C in PBS containing 0.5% (v/v) Triton X-100 and 1% (w/v) BSA with ab209064 at 0.5 μg/ml. The secondary antibody was ab150087 (shown in red) used at 2 μg/ml for 1 hour at room temperature. Nuclear DNA was labelled with DAPI (shown in blue). The section was then mounted using Fluoromount®. Images were taken with a confocal microscope (Leica-Microsystems, TCS SP8).

For other IHC staining systems (automated and non-automated), customers should optimize variable parameters such as antigen retrieval conditions, antibody concentrations and incubation times.

  • Unconjugated

    Anti-TMEM119 antibody [28-3] - Microglial marker

Key facts

Host species

Rabbit

Clonality

Monoclonal

Clone number

28-3

Isotype

IgG

Carrier free

Yes

Reacts with

Mouse

Applications

IHC-FoFr, IHC-P, IHC-Fr

applications

Immunogen

The exact immunogen used to generate this antibody is proprietary information.

Specificity

This antibody recognizes mouse Tmem119, a transmembrane protein that has been reported to be a highly specific microglia marker that is not expressed by macrophages or other immune or neural cell types (Bennett et al., 2016).

FURTHER INFORMATION ON SPECIFICITY (Chinese Version) available under the product protocols section. This file includes key technical notes of experience when using this product.

Reactivity data

{ "title": "Reactivity Data", "filters": { "stats": ["", "Species", "Dilution Info", "Notes"], "tabs": { "all-applications": {"fullname" : "All Applications", "shortname": "All Applications"}, "IHCFoFr" : {"fullname" : "Immunohistochemistry (PFA perfusion fixed frozen sections)", "shortname":"IHC-FoFr"}, "IHCP" : {"fullname" : "Immunohistochemistry (Formalin/PFA-fixed paraffin-embedded sections)", "shortname":"IHC-P"}, "IHCFr" : {"fullname" : "Immunohistochemistry (Frozen sections)", "shortname":"IHC-Fr"} }, "product-promise": { "all": "all", "testedAndGuaranteed": "tested", "guaranteed": "expected", "predicted": "predicted", "notRecommended": "not-recommended" } }, "values": { "Human": { "IHCFoFr-species-checked": "notRecommended", "IHCFoFr-species-dilution-info": "", "IHCFoFr-species-notes": "", "IHCP-species-checked": "notRecommended", "IHCP-species-dilution-info": "", "IHCP-species-notes": "<p>Tris-EDTA buffer preferred.</p> Perform heat-mediated antigen retrieval before commencing with IHC staining protocol.", "IHCFr-species-checked": "notRecommended", "IHCFr-species-dilution-info": "", "IHCFr-species-notes": "<p>We recommend using 0.3-0.5% Triton X-100. Perform heat mediated antigen retrieval before IHC-Fr staining protocol, if the signal is too weak.</p>" }, "Mouse": { "IHCFoFr-species-checked": "testedAndGuaranteed", "IHCFoFr-species-dilution-info": "", "IHCFoFr-species-notes": "<p>Perform heat mediated antigen retrieval with citrate buffer pH 6. Incubate the section with primary antibody at 4 ℃ overnight.</p> Perform heat-mediated antigen retrieval with citrate buffer pH 6 before commencing with IHC staining protocol.", "IHCP-species-checked": "testedAndGuaranteed", "IHCP-species-dilution-info": "", "IHCP-species-notes": "<p>Tris-EDTA buffer preferred.</p> Perform heat-mediated antigen retrieval before commencing with IHC staining protocol.", "IHCFr-species-checked": "testedAndGuaranteed", "IHCFr-species-dilution-info": "", "IHCFr-species-notes": "<p>We recommend using 0.3-0.5% Triton X-100. Perform heat mediated antigen retrieval before IHC-Fr staining protocol, if the signal is too weak.</p>" }, "Rat": { "IHCFoFr-species-checked": "notRecommended", "IHCFoFr-species-dilution-info": "", "IHCFoFr-species-notes": "", "IHCP-species-checked": "notRecommended", "IHCP-species-dilution-info": "", "IHCP-species-notes": "<p>Tris-EDTA buffer preferred.</p> Perform heat-mediated antigen retrieval before commencing with IHC staining protocol.", "IHCFr-species-checked": "notRecommended", "IHCFr-species-dilution-info": "", "IHCFr-species-notes": "<p>We recommend using 0.3-0.5% Triton X-100. Perform heat mediated antigen retrieval before IHC-Fr staining protocol, if the signal is too weak.</p>" } } }

Product details

ab234501 is the carrier-free version of ab209064.

This Tmem119 antibody has been knockout validated in IHC, meaning it demonstrated the expected staining in wild type mouse brain sections and no staining was observed in Tmem119 knockout mouse brain sections. The data are shown on this datasheet. To detect mouse Tmem119 by flow cytometry, we recommend using ab210405. To detect human TMEM119 by IHC, we recommend using ab185333.

The 28-3 clone to mouse Tmem119 is exclusively manufactured and sold by Abcam.

IHC-Frozen protocol advice:
For immunohistochemistry on frozen sections, it is recommended that a high concentration of Triton X-100 (0.5%) is used during permeabilization and antibody incubation steps. This may increase the proportion of microglia that stain positive for Tmem119.

If you require this antibody in a particular buffer formulation or a particular conjugate for your experiments, please contact orders@abcam.com or you can find further information here.

Conjugation ready
Our carrier-free antibodies are typically supplied in a PBS-only formulation, purified and free of BSA, sodium azide and glycerol. This conjugation-ready format is designed for use with fluorochromes, metal isotopes, oligonucleotides, and enzymes, which makes them ideal for antibody labelling, functional and cell-based assays, flow-based assays (e.g. mass cytometry) and Multiplex Imaging applications.

Use our conjugation kits for antibody conjugates that are ready-to-use in as little as 20 minutes with 1 minute hands-on-time and 100% antibody recovery: available for fluorescent dyes, HRP, biotin and gold.

Compatibility
This product is compatible with the Maxpar® Antibody Labeling Kit from Fluidigm, without the need for antibody preparation. Maxpar® is a trademark of Fluidigm Canada Inc.

Properties and storage information

Form
Liquid
Purification technique
Affinity purification Protein A
Storage buffer
pH: 7.2 - 7.4 Constituents: PBS
Shipped at conditions
Blue Ice
Appropriate short-term storage conditions
+4°C
Appropriate long-term storage conditions
+4°C
Storage information
Do Not Freeze

Supplementary information

This supplementary information is collated from multiple sources and compiled automatically.

TMEM119 also known as transmembrane protein 119 plays a role in cell membrane dynamics. It has a molecular mass of approximately 35 kDa. TMEM119 is specifically expressed in microglia in the central nervous system. Microglia serve essential functions in brain homeostasis and immune response. Given its expression profile TMEM119 serves as a marker to identify microglia especially in research focused on neurological tissues. Researchers often utilize techniques like microglial flow cytometry and microglial staining for identification and quantification of microglial populations often in frozen marker studies.
Biological function summary

TMEM119 regulates signaling pathways that maintain microglial identity and function but does not typically form part of larger complexes. It modulates microglial activation states and influences responses to central nervous system injury and inflammation. As a membrane protein it may interact with other surface molecules although specific binding partners are not well-characterized in current literature. Researchers value TMEM119 as a reliable marker in studies aiming to distinguish brain-resident microglia from infiltrating peripheral macrophages.

Pathways

TMEM119 functions as a modulator within inflammatory and neuroimmune pathways. It plays roles in the NF-kB signaling and the neuroinflammatory cascade. Its relationship with proteins like CD68 and Iba1 indicates it may influence pathways tied to immune responses and phagocytosis within nervous system contexts. Understanding the interactions and co-expression of TMEM119 with these proteins helps clarify its contribution to neuroimmune functions.

TMEM119 links with neurological conditions such as Alzheimer's disease and multiple sclerosis. Altered expression of TMEM119 appears in disease states potentially contributing to pathogenesis through disrupted inflammatory responses. Its association with proteins such as TREM2 in Alzheimer's suggests that TMEM119 may play indirect roles in the progression of neurodegeneration. Furthermore high TMEM119 levels in pathological samples provide insights into microglial involvement in disease progression and potential targets for therapeutic interventions.

Product protocols

For this product, it's our understanding that no specific protocols are required. You can visit:

Target data

Plays an important role in bone formation and normal bone mineralization (PubMed : 20025746, PubMed : 22416756, PubMed : 26207632). Promotes the differentiation of myoblasts into osteoblasts (PubMed : 20025746, PubMed : 22416756, PubMed : 22579779). May induce the commitment and differentiation of myoblasts into osteoblasts through an enhancement of BMP2 production and interaction with the BMP-RUNX2 pathway (PubMed : 21239498, PubMed : 22579779). Up-regulates the expression of ATF4 which plays a central role in osteoblast differentiation (PubMed : 24362451). Essential for normal spermatogenesis and late testicular differentiation (PubMed : 26207632).
See full target information Tmem119

Publications (1)

Recent publications for all applications. Explore the full list and refine your search

Frontiers in immunology 14:1159085 PubMed37234161

2023

Dynamic change in Siglec-15 expression in peritumoral macrophages confers an immunosuppressive microenvironment and poor outcome in glioma.

Applications

Unspecified application

Species

Unspecified reactive species

Quan Chen,Bingkun Chen,Chunhua Wang,Li Hu,Qiongwen Wu,Yanyang Zhu,Qiuyu Zhang
View all publications
websiteProtocolBooklet
zh

Product promise

We are committed to supporting your work with high-quality reagents, and we're here for you every step of the way. In the unlikely event that one of our products does not perform as expected, you're protected by our Product Promise.
For full details, please see our Terms & Conditions

Please note: All products are 'FOR RESEARCH USE ONLY. NOT FOR USE IN DIAGNOSTIC OR THERAPEUTIC PROCEDURES'.

For licensing inquiries, please contact partnerships@abcam.com