JavaScript is disabled in your browser. Please enable JavaScript to view this website.
AB306583

Anti-TMEM119 antibody [EPR25865-89] - Microglial marker

  • BOND RX™ Validated
  • 20ul selling size
  • Recombinant
  • Advanced Validation
  • RabMAb
  • What is this?

Be the first to review this product! Submit a review

|

(1 Publication)

Rabbit Recombinant Monoclonal TMEM119 antibody. Suitable for mIHC, IHC-P and reacts with Human, Transfected cell lysate - Human samples. Cited in 1 publication.

View Alternative Names

PSEC0199, UNQ731/PRO1415, TMEM119, Transmembrane protein 119, Osteoblast induction factor, OBIF

6 Images
Immunohistochemistry (Formalin/PFA-fixed paraffin-embedded sections) - Anti-TMEM119 antibody [EPR25865-89] - Microglial marker (AB306583)
  • IHC-P

Supplier Data

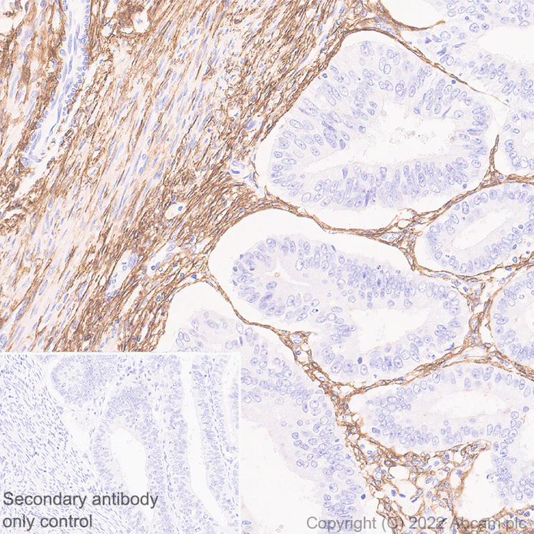
Immunohistochemistry (Formalin/PFA-fixed paraffin-embedded sections) - Anti-TMEM119 antibody [EPR25865-89] - Microglial marker (AB306583)

Immunohistochemical analysis of paraffin-embedded Human endometrial carcinoma tissue labeling TMEM119 with ab306583 at 1/2000 (0.255 µg/ml) followed by a LeicaDS9800 (Bond™ Polymer Refine Detection) was used at Ready to use dilution. Positive staining on stromal cells of human endometrial carcinoma. The section was incubated with ab306583 for 30 mins at room temperature. The immunostaining was performed on a Leica Biosystems BOND® RX instrument Counterstained with Hematoxylin. Secondary antibody only control : Secondary antibody is LeicaDS9800 (Bond™ Polymer Refine Detection) was used at Ready to use dilution. Heat mediated antigen retrieval was performed with Tris-EDTA buffer (pH 9.0, Epitope Retrieval Solution2) for 20 mins

Immunohistochemistry (Formalin/PFA-fixed paraffin-embedded sections) - Anti-TMEM119 antibody [EPR25865-89] - Microglial marker (AB306583)
  • IHC-P

Supplier Data

Immunohistochemistry (Formalin/PFA-fixed paraffin-embedded sections) - Anti-TMEM119 antibody [EPR25865-89] - Microglial marker (AB306583)

Immunohistochemical analysis of paraffin-embedded Human cerebrum tissue labeling TMEM119 with ab306583 at 1/2000 (0.255 µg/ml) followed by a LeicaDS9800 (Bond™ Polymer Refine Detection) was used at Ready to use dilution. Positive staining on microglial cells of human cerebrum. The section was incubated with ab306583 for 30 mins at room temperature. The immunostaining was performed on a Leica Biosystems BOND® RX instrument Counterstained with Hematoxylin. Secondary antibody only control : Secondary antibody is LeicaDS9800 (Bond™ Polymer Refine Detection) was used at Ready to use dilution. Heat mediated antigen retrieval was performed with Tris-EDTA buffer (pH 9.0, Epitope Retrieval Solution2) for 20 mins

Immunohistochemistry (Formalin/PFA-fixed paraffin-embedded sections) - Anti-TMEM119 antibody [EPR25865-89] - Microglial marker (AB306583)
  • IHC-P

Supplier Data

Immunohistochemistry (Formalin/PFA-fixed paraffin-embedded sections) - Anti-TMEM119 antibody [EPR25865-89] - Microglial marker (AB306583)

Immunohistochemical analysis of paraffin-embedded Human tonsil tissue labeling TMEM119 with ab306583 at 1/2000 (0.255 µg/ml) followed by a LeicaDS9800 (Bond™ Polymer Refine Detection) was used at Ready to use dilution. Positive staining on human tonsil. The section was incubated with ab306583 for 30 mins at room temperature. The immunostaining was performed on a Leica Biosystems BOND® RX instrument Counterstained with Hematoxylin. Secondary antibody only control : Secondary antibody is LeicaDS9800 (Bond™ Polymer Refine Detection) was used at Ready to use dilution. Heat mediated antigen retrieval was performed with Tris-EDTA buffer (pH 9.0, Epitope Retrieval Solution2) for 20 mins

Multiplex immunohistochemistry - Anti-TMEM119 antibody [EPR25865-89] - Microglial marker (AB306583)
  • mIHC

Lab

Multiplex immunohistochemistry - Anti-TMEM119 antibody [EPR25865-89] - Microglial marker (AB306583)

Fluorescence multiplex immunohistochemical analysis of formalin/PFA-fixed paraffin-embedded human cerebrum tissue sections.

Panel A : merged staining of anti-GPR17 (magenta; Opal™690), anti-TMEM119 (green; Opal™520) and anti-GFAP (red; Opal™570) on human cerebrum.

Panel B : anti-GPR17 staining oligodendrocytes in human cerebrum.

Panel C : anti-TMEM119 staining microglia in human cerebrum.

Panel D : anti-GFAP staining astrocytes in human cerebrum.

The section was incubated in three rounds of staining : in the order of ab316105 at a 1/500 dilution, ab306583 at a 1/2000 dilution, and ab218309 at a 1/1000 dilution for 30 mins at room temperature. Each round was followed by a separate fluorescent tyramide signal amplification system. Nuclear counterstaining with DAPI.

Heat mediated antigen retrieval with Tris-EDTA buffer (pH 9.0, epitope retrieval solution2) for 20 mins.

The immunostaining was performed on a Leica Biosystems BOND® RX instrument with an Opal™ 4-color kit. Image acquisition was performed with Leica SP8 confocal microscope.

Multiplex immunohistochemistry - Anti-TMEM119 antibody [EPR25865-89] - Microglial marker (AB306583)
  • mIHC

Supplier Data

Multiplex immunohistochemistry - Anti-TMEM119 antibody [EPR25865-89] - Microglial marker (AB306583)

Multiplex immunohistochemistry analysis of formalin/PFA-fixed paraffin-embedded human cerebrum tissue staining TREM2 with ab318262 at a 1 : 100 (5.29 ug/ml) dilution, ab306583 anti-TMEM119 used at 1 : 2000 (0.255 ug/ml) dilution and ab218309 anti-GFAP used at a 1 : 1000 (1.325 ug/ml) dilution.

Panel A : merged staining of anti-TREM2 (green; Opal™520), anti-TMEM119 (magenta; Opal™690) and anti-GFAP (yellow; Opal™570) on human cerebrum.
Panel B : anti-TREM2 staining microglia in human cerebrum.
Panel C : anti-TMEM119 staining microglia in human cerebrum.
Panel D : anti-GFAP staining astrocytes in human cerebrum.
Nuclear DNA was labeled with DAPI (shown in blue).

The section was incubated in three rounds of staining : in the order of ab318262, ab306583 and ab218309 for 30 mins at room temperature. Each round was followed by a separate fluorescent tyramide signal amplification system.

The immunostaining was performed on a Leica Biosystems BOND® RX instrument with an Opal™ 4-color kit. Image acquisition was performed with Leica SP8 confocal microscope.

Nuclear counter stain with DAPI.

Heat mediated antigen retrieval with Tris-EDTA buffer (pH 9.0, epitope retrieval solution2) for 20 mins.

Multiplex immunohistochemistry - Anti-TMEM119 antibody [EPR25865-89] - Microglial marker (AB306583)
  • mIHC

Supplier Data

Multiplex immunohistochemistry - Anti-TMEM119 antibody [EPR25865-89] - Microglial marker (AB306583)

Multiplex immunohistochemistry analysis of formalin/PFA-fixed paraffin-embedded human astrocytoma tissue staining TREM2 with ab318262 at a 1 : 100 (5.29 ug/ml) dilution, ab306583 anti-TMEM119 used at 1 : 2000 (0.255 ug/ml) dilution and ab218309 anti-GFAP used at a 1 : 1000 (1.325 ug/ml) dilution.

Panel A : merged staining of anti-TREM2 (green; Opal™520), anti-TMEM119 (magenta; Opal™690) and anti-GFAP (yellow; Opal™570) on human astrocytoma.
Panel B : anti-TREM2 staining microglia in human astrocytoma.
Panel C : anti-TMEM119 staining microglia in human astrocytoma.
Panel D : anti-GFAP staining astrocyte in human astrocytoma.
Nuclear DNA was labeled with DAPI (shown in blue).

The section was incubated in three rounds of staining : in the order of ab318262, ab306583 and ab218309 for 30 mins at room temperature. Each round was followed by a separate fluorescent tyramide signal amplification system.

The immunostaining was performed on a Leica Biosystems BOND® RX instrument with an Opal™ 4-color kit. Image acquisition was performed with Leica SP8 confocal microscope.

Nuclear counter stain with DAPI.

Heat mediated antigen retrieval with Tris-EDTA buffer (pH 9.0, epitope retrieval solution2) for 20 mins.

  • 665 Alexa Fluor® 647

    Alexa Fluor® 647 Anti-TMEM119 antibody [EPR25865-89] - Microglial marker

Key facts

Host species

Rabbit

Clonality

Monoclonal

Clone number

EPR25865-89

Isotype

IgG

Carrier free

No

Reacts with

Human

Applications

IHC-P, mIHC

applications

Immunogen

The exact immunogen used to generate this antibody is proprietary information.

Reactivity data

{ "title": "Reactivity Data", "filters": { "stats": ["", "Species", "Dilution Info", "Notes"], "tabs": { "all-applications": {"fullname" : "All Applications", "shortname": "All Applications"}, "mIHC" : {"fullname" : "Multiplex immunohistochemistry", "shortname":"mIHC"}, "IHCP" : {"fullname" : "Immunohistochemistry (Formalin/PFA-fixed paraffin-embedded sections)", "shortname":"IHC-P"}, "WB" : {"fullname" : "Western blot", "shortname":"WB"}, "IHCFr" : {"fullname" : "Immunohistochemistry (Frozen sections)", "shortname":"IHC-Fr"}, "ICCIF" : {"fullname" : "Immunocytochemistry/ Immunofluorescence", "shortname":"ICC/IF"}, "FlowCytIntra" : {"fullname" : "Flow Cytometry (Intracellular)", "shortname":"Flow Cyt (Intra)"}, "IP" : {"fullname" : "Immunoprecipitation", "shortname":"IP"} }, "product-promise": { "all": "all", "testedAndGuaranteed": "tested", "guaranteed": "expected", "predicted": "predicted", "notRecommended": "not-recommended" } }, "values": { "Human": { "mIHC-species-checked": "testedAndGuaranteed", "mIHC-species-dilution-info": "1/500", "mIHC-species-notes": "<p></p>", "IHCP-species-checked": "testedAndGuaranteed", "IHCP-species-dilution-info": "1/2000", "IHCP-species-notes": "<p></p> Perform heat-mediated antigen retrieval with Tris/EDTA buffer pH 9.0 before commencing with IHC staining protocol.", "WB-species-checked": "notRecommended", "WB-species-dilution-info": "", "WB-species-notes": "", "IHCFr-species-checked": "notRecommended", "IHCFr-species-dilution-info": "", "IHCFr-species-notes": "", "ICCIF-species-checked": "notRecommended", "ICCIF-species-dilution-info": "", "ICCIF-species-notes": "<p></p>", "FlowCytIntra-species-checked": "notRecommended", "FlowCytIntra-species-dilution-info": "", "FlowCytIntra-species-notes": "<p></p>", "IP-species-checked": "notRecommended", "IP-species-dilution-info": "", "IP-species-notes": "" }, "Mouse": { "mIHC-species-checked": "notRecommended", "mIHC-species-dilution-info": "", "mIHC-species-notes": "", "IHCP-species-checked": "notRecommended", "IHCP-species-dilution-info": "1/2000", "IHCP-species-notes": "<p></p> Perform heat-mediated antigen retrieval with Tris/EDTA buffer pH 9.0 before commencing with IHC staining protocol.", "WB-species-checked": "notRecommended", "WB-species-dilution-info": "", "WB-species-notes": "<p></p>", "IHCFr-species-checked": "notRecommended", "IHCFr-species-dilution-info": "", "IHCFr-species-notes": "<p></p>", "ICCIF-species-checked": "notRecommended", "ICCIF-species-dilution-info": "", "ICCIF-species-notes": "<p></p>", "FlowCytIntra-species-checked": "notRecommended", "FlowCytIntra-species-dilution-info": "", "FlowCytIntra-species-notes": "<p></p>", "IP-species-checked": "notRecommended", "IP-species-dilution-info": "", "IP-species-notes": "<p></p>" }, "Rat": { "mIHC-species-checked": "notRecommended", "mIHC-species-dilution-info": "", "mIHC-species-notes": "", "IHCP-species-checked": "notRecommended", "IHCP-species-dilution-info": "1/2000", "IHCP-species-notes": "<p></p> Perform heat-mediated antigen retrieval with Tris/EDTA buffer pH 9.0 before commencing with IHC staining protocol.", "WB-species-checked": "notRecommended", "WB-species-dilution-info": "", "WB-species-notes": "<p></p>", "IHCFr-species-checked": "notRecommended", "IHCFr-species-dilution-info": "", "IHCFr-species-notes": "<p></p>", "ICCIF-species-checked": "notRecommended", "ICCIF-species-dilution-info": "", "ICCIF-species-notes": "<p></p>", "FlowCytIntra-species-checked": "notRecommended", "FlowCytIntra-species-dilution-info": "", "FlowCytIntra-species-notes": "<p></p>", "IP-species-checked": "notRecommended", "IP-species-dilution-info": "", "IP-species-notes": "" }, "Transfected cell lysate - Human": { "mIHC-species-checked": "notRecommended", "mIHC-species-dilution-info": "", "mIHC-species-notes": "", "IHCP-species-checked": "testedAndGuaranteed", "IHCP-species-dilution-info": "1/2000", "IHCP-species-notes": "<p></p> Perform heat-mediated antigen retrieval with Tris/EDTA buffer pH 9.0 before commencing with IHC staining protocol.", "WB-species-checked": "notRecommended", "WB-species-dilution-info": "", "WB-species-notes": "", "IHCFr-species-checked": "notRecommended", "IHCFr-species-dilution-info": "", "IHCFr-species-notes": "", "ICCIF-species-checked": "notRecommended", "ICCIF-species-dilution-info": "", "ICCIF-species-notes": "", "FlowCytIntra-species-checked": "notRecommended", "FlowCytIntra-species-dilution-info": "", "FlowCytIntra-species-notes": "", "IP-species-checked": "notRecommended", "IP-species-dilution-info": "", "IP-species-notes": "" } } }

Product details

Patented technology
Our RabMAb® technology is a patented hybridoma-based technology for making rabbit monoclonal antibodies. For details on our patents, please refer to RabMAb® patents.

What are the advantages of a recombinant monoclonal antibody?
This product is a recombinant monoclonal antibody, which offers several advantages including:

  • - High batch-to-batch consistency and reproducibility
  • - Improved sensitivity and specificity
  • - Long-term security of supply
  • - Animal-free batch production

For more information, read more on recombinant antibodies.

Properties and storage information

Form
Liquid
Purification technique
Affinity purification Protein A
Storage buffer
pH: 7.2 - 7.4 Preservative: 0.01% Sodium azide Constituents: PBS, 40% Glycerol (glycerin, glycerine), 0.05% BSA
Shipped at conditions
Blue Ice
Appropriate short-term storage duration
1-2 weeks
Appropriate short-term storage conditions
+4°C
Appropriate long-term storage conditions
-20°C
Aliquoting information
Upon delivery aliquot
Storage information
Avoid freeze / thaw cycle

Supplementary information

This supplementary information is collated from multiple sources and compiled automatically.

TMEM119 also known as transmembrane protein 119 plays a role in cell membrane dynamics. It has a molecular mass of approximately 35 kDa. TMEM119 is specifically expressed in microglia in the central nervous system. Microglia serve essential functions in brain homeostasis and immune response. Given its expression profile TMEM119 serves as a marker to identify microglia especially in research focused on neurological tissues. Researchers often utilize techniques like microglial flow cytometry and microglial staining for identification and quantification of microglial populations often in frozen marker studies.
Biological function summary

TMEM119 regulates signaling pathways that maintain microglial identity and function but does not typically form part of larger complexes. It modulates microglial activation states and influences responses to central nervous system injury and inflammation. As a membrane protein it may interact with other surface molecules although specific binding partners are not well-characterized in current literature. Researchers value TMEM119 as a reliable marker in studies aiming to distinguish brain-resident microglia from infiltrating peripheral macrophages.

Pathways

TMEM119 functions as a modulator within inflammatory and neuroimmune pathways. It plays roles in the NF-kB signaling and the neuroinflammatory cascade. Its relationship with proteins like CD68 and Iba1 indicates it may influence pathways tied to immune responses and phagocytosis within nervous system contexts. Understanding the interactions and co-expression of TMEM119 with these proteins helps clarify its contribution to neuroimmune functions.

TMEM119 links with neurological conditions such as Alzheimer's disease and multiple sclerosis. Altered expression of TMEM119 appears in disease states potentially contributing to pathogenesis through disrupted inflammatory responses. Its association with proteins such as TREM2 in Alzheimer's suggests that TMEM119 may play indirect roles in the progression of neurodegeneration. Furthermore high TMEM119 levels in pathological samples provide insights into microglial involvement in disease progression and potential targets for therapeutic interventions.

Product protocols

For this product, it's our understanding that no specific protocols are required. You can visit:

Target data

Plays an important role in bone formation and normal bone mineralization. Promotes the differentiation of myoblasts into osteoblasts (PubMed : 20025746). May induce the commitment and differentiation of myoblasts into osteoblasts through an enhancement of BMP2 production and interaction with the BMP-RUNX2 pathway. Up-regulates the expression of ATF4, a transcription factor which plays a central role in osteoblast differentiation. Essential for normal spermatogenesis and late testicular differentiation (By similarity).
See full target information TMEM119

Publications (1)

Recent publications for all applications. Explore the full list and refine your search

Nature communications 15:10885 PubMed39738017

2024

Turning attention to tumor-host interface and focus on the peritumoral heterogeneity of glioblastoma.

Applications

Unspecified application

Species

Unspecified reactive species

Fang Wang,Jiawei Dong,Yuyun Xu,Jiaqi Jin,Yan Xu,Xiuwei Yan,Zhihui Liu,Hongtao Zhao,Jiheng Zhang,Nan Wang,Xueyan Hu,Xin Gao,Lei Xu,Chengyun Yang,Shuai Ma,Jianyang Du,Ying Hu,Hang Ji,Shaoshan Hu
View all publications

Product promise

We are committed to supporting your work with high-quality reagents, and we're here for you every step of the way. In the unlikely event that one of our products does not perform as expected, you're protected by our Product Promise.
For full details, please see our Terms & Conditions

Please note: All products are 'FOR RESEARCH USE ONLY. NOT FOR USE IN DIAGNOSTIC OR THERAPEUTIC PROCEDURES'.

For licensing inquiries, please contact partnerships@abcam.com