JavaScript is disabled in your browser. Please enable JavaScript to view this website.
AB151077

Anti-TMEM121 antibody

Be the first to review this product! Submit a review

|

(2 Publications)

Rabbit Polyclonal TMEM121 antibody. Suitable for IHC-P, ICC/IF and reacts with Human samples. Cited in 2 publications. Immunogen corresponding to Recombinant Fragment Protein within Human TMEM121 aa 200-300.

View Alternative Names

HHOLE, TMEM121, Transmembrane protein 121

2 Images
Immunocytochemistry/ Immunofluorescence - Anti-TMEM121 antibody (AB151077)
  • ICC/IF

Unknown

Immunocytochemistry/ Immunofluorescence - Anti-TMEM121 antibody (AB151077)

Immunocytochemistry/immunofluorescence analysis of MCF7 cells labelling TMEM121 with ab151077 shows positive staining in the cytoplasm.

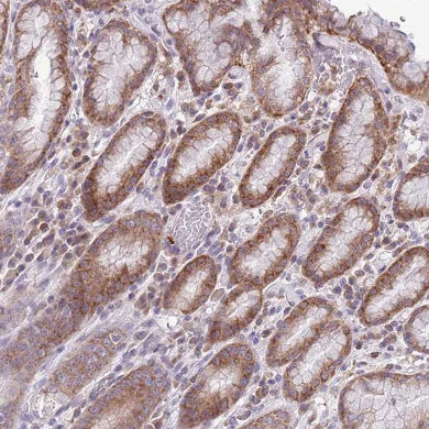
Immunohistochemistry (Formalin/PFA-fixed paraffin-embedded sections) - Anti-TMEM121 antibody (AB151077)
  • IHC-P

Unknown

Immunohistochemistry (Formalin/PFA-fixed paraffin-embedded sections) - Anti-TMEM121 antibody (AB151077)

Immunohistochemical analysis of paraffin embedded Human stomach tissue labeling TMEM121 with ab151077 at 1/50 dilution.

Key facts

Host species

Rabbit

Clonality

Polyclonal

Isotype

IgG

Carrier free

No

Reacts with

Human

Applications

IHC-P, ICC/IF

applications

Immunogen

Recombinant Fragment Protein within Human TMEM121 aa 200-300. The exact immunogen used to generate this antibody is proprietary information.

Q9BTD3

Reactivity data

{ "title": "Reactivity Data", "filters": { "stats": ["", "Species", "Dilution Info", "Notes"], "tabs": { "all-applications": {"fullname" : "All Applications", "shortname": "All Applications"}, "IHCP" : {"fullname" : "Immunohistochemistry (Formalin/PFA-fixed paraffin-embedded sections)", "shortname":"IHC-P"}, "ICCIF" : {"fullname" : "Immunocytochemistry/ Immunofluorescence", "shortname":"ICC/IF"} }, "product-promise": { "all": "all", "testedAndGuaranteed": "tested", "guaranteed": "expected", "predicted": "predicted", "notRecommended": "not-recommended" } }, "values": { "Human": { "IHCP-species-checked": "testedAndGuaranteed", "IHCP-species-dilution-info": "1/50 - 1/200", "IHCP-species-notes": "<p></p> Perform heat-mediated antigen retrieval with citrate buffer pH 6 before commencing with IHC staining protocol.", "ICCIF-species-checked": "testedAndGuaranteed", "ICCIF-species-dilution-info": "0.25-2 µg/mL", "ICCIF-species-notes": "<p></p>" }, "Mouse": { "IHCP-species-checked": "predicted", "IHCP-species-dilution-info": "", "IHCP-species-notes": "", "ICCIF-species-checked": "predicted", "ICCIF-species-dilution-info": "", "ICCIF-species-notes": "" }, "Rat": { "IHCP-species-checked": "predicted", "IHCP-species-dilution-info": "", "IHCP-species-notes": "", "ICCIF-species-checked": "predicted", "ICCIF-species-dilution-info": "", "ICCIF-species-notes": "" } } }

Properties and storage information

Form
Liquid
Purification technique
Affinity purification Immunogen
Storage buffer
pH: 7.2 Preservative: 0.02% Sodium azide Constituents: PBS, 40% Glycerol (glycerin, glycerine)
Shipped at conditions
Blue Ice
Appropriate short-term storage conditions
+4°C
Appropriate long-term storage conditions
-20°C
Aliquoting information
Upon delivery aliquot
Storage information
Avoid freeze / thaw cycle

Supplementary information

This supplementary information is collated from multiple sources and compiled automatically.

TMEM121 also known as Transmembrane Protein 121 is a protein that remains not fully characterized. It is estimated to have a molecular mass of approximately 18 kDa. This protein is expressed mainly in the brain according to available gene expression data. Although specific cellular functions of TMEM121 are yet to be clearly defined it is known to belong to the family of transmembrane proteins suggesting its role in cellular communication or transport across the cell membrane.
Biological function summary

TMEM121 may be involved in processes like signaling and maintaining cellular architecture given its nature as a transmembrane protein. While current research does not conclusively identify it as part of a particular complex its transmembrane characteristic points to potential interactions with other cytosolic or membrane proteins. These interactions could influence various intracellular pathways and contribute to cell function regulation.

Pathways

TMEM121 connects to neural signaling pathways and might play a role in the brain's neurodevelopmental processes. Researchers have proposed connections with proteins involved in synaptic function pointing towards its potential involvement in neurotransmission. The exact pathways remain under investigation but evidence suggests TMEM121's association with neural activity and possibly neurotransmitter regulation.

TMEM121 associates with neurological conditions such as epilepsy and neurodevelopmental disorders due to its expression pattern in the brain. Limited studies hint at connections with proteins like GABA receptors although this relationship requires further detailed exploration to fully comprehend TMEM121's clinical implications. Understanding TMEM121's role in these conditions may provide insights into their pathogenesis and potential therapeutic approaches.

Product protocols

For this product, it's our understanding that no specific protocols are required. You can visit:

Target data

May play a role in MAPK signaling.
See full target information TMEM121

Publications (2)

Recent publications for all applications. Explore the full list and refine your search

EMBO reports 24:e57228 PubMed37818824

2023

Tetracyclines activate mitoribosome quality control and reduce ER stress to promote cell survival.

Applications

Unspecified application

Species

Unspecified reactive species

Conor T Ronayne,Thomas D Jackson,Christopher F Bennett,Elizabeth A Perry,Noa Kantorovic,Pere Puigserver

Angiogenesis 18:361-71 PubMed26018928

2015

Genome-wide expression analysis of wounded skin reveals novel genes involved in angiogenesis.

Applications

Unspecified application

Species

Unspecified reactive species

Simone Brönneke,Bodo Brückner,Jörn Söhle,Ralf Siegner,Christoph Smuda,Franz Stäb,Horst Wenck,Ludger Kolbe,Elke Grönniger,Marc Winnefeld
View all publications

Product promise

We are committed to supporting your work with high-quality reagents, and we're here for you every step of the way. In the unlikely event that one of our products does not perform as expected, you're protected by our Product Promise.
For full details, please see our Terms & Conditions

Please note: All products are 'FOR RESEARCH USE ONLY. NOT FOR USE IN DIAGNOSTIC OR THERAPEUTIC PROCEDURES'.

For licensing inquiries, please contact partnerships@abcam.com