JavaScript is disabled in your browser. Please enable JavaScript to view this website.
AB121431

Anti-TMEM143 antibody

Be the first to review this product! Submit a review

|

(0 Publication)

Rabbit Polyclonal TMEM143 antibody. Suitable for IHC-P, WB, ICC/IF and reacts with Human samples. Immunogen corresponding to Recombinant Fragment Protein within Human TMEM143 aa 50-200.

View Alternative Names

UNQ5922/PRO19813, TMEM143, Transmembrane protein 143

3 Images
Immunocytochemistry/ Immunofluorescence - Anti-TMEM143 antibody (AB121431)
  • ICC/IF

Unknown

Immunocytochemistry/ Immunofluorescence - Anti-TMEM143 antibody (AB121431)

Immunofluorescent staining of human cell line U-251 MG shows positivity in nucleoli.

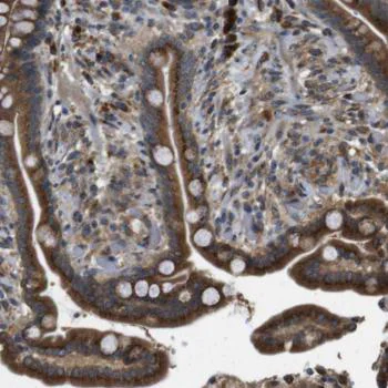
Immunohistochemistry (Formalin/PFA-fixed paraffin-embedded sections) - Anti-TMEM143 antibody (AB121431)
  • IHC-P

Unknown

Immunohistochemistry (Formalin/PFA-fixed paraffin-embedded sections) - Anti-TMEM143 antibody (AB121431)

ab121431 at a 1/250 dilution staining TMEM43 in paraffin-embedded Human colon tissue, by Immunohistochemistry.

Western blot - Anti-TMEM143 antibody (AB121431)
  • WB

Unknown

Western blot - Anti-TMEM143 antibody (AB121431)

All lanes:

Western blot - Anti-TMEM143 antibody (ab121431) at 1/250 dilution

Lane 1:

Vector only transfected HEK293T lysate

Lane 2:

TMEM143-transfected HEK293T over-expression Lysate (Co-expressed with a C-terminal myc-DDK tag ~3.1 kDa)

Predicted band size: 52 kDa

false

Key facts

Host species

Rabbit

Clonality

Polyclonal

Isotype

IgG

Carrier free

No

Reacts with

Human

Applications

WB, ICC/IF, IHC-P

applications

Immunogen

Recombinant Fragment Protein within Human TMEM143 aa 50-200. The exact immunogen used to generate this antibody is proprietary information.

Q96AN5

Reactivity data

{ "title": "Reactivity Data", "filters": { "stats": ["", "Species", "Dilution Info", "Notes"], "tabs": { "all-applications": {"fullname" : "All Applications", "shortname": "All Applications"}, "IHCP" : {"fullname" : "Immunohistochemistry (Formalin/PFA-fixed paraffin-embedded sections)", "shortname":"IHC-P"}, "WB" : {"fullname" : "Western blot", "shortname":"WB"}, "ICCIF" : {"fullname" : "Immunocytochemistry/ Immunofluorescence", "shortname":"ICC/IF"} }, "product-promise": { "all": "all", "testedAndGuaranteed": "tested", "guaranteed": "expected", "predicted": "predicted", "notRecommended": "not-recommended" } }, "values": { "Human": { "IHCP-species-checked": "testedAndGuaranteed", "IHCP-species-dilution-info": "1/200 - 1/500", "IHCP-species-notes": "<p></p> Perform heat-mediated antigen retrieval with citrate buffer pH 6 before commencing with IHC staining protocol.", "WB-species-checked": "testedAndGuaranteed", "WB-species-dilution-info": "0.04-0.4 µg/mL", "WB-species-notes": "<p></p>", "ICCIF-species-checked": "testedAndGuaranteed", "ICCIF-species-dilution-info": "0.25-2 µg/mL", "ICCIF-species-notes": "<p></p>" } } }

Properties and storage information

Form
Liquid
Purification technique
Affinity purification Immunogen
Storage buffer
pH: 7.2 Preservative: 0.02% Sodium azide Constituents: 59% PBS, 40% Glycerol (glycerin, glycerine)
Shipped at conditions
Blue Ice
Appropriate short-term storage conditions
+4°C
Appropriate long-term storage conditions
-20°C
Aliquoting information
Upon delivery aliquot
Storage information
Avoid freeze / thaw cycle

Supplementary information

This supplementary information is collated from multiple sources and compiled automatically.

TMEM143 also known as Transmembrane Protein 143 is a protein located within the membrane structures of cells. It has a molecular mass of approximately 24 kDa. Researchers have found TMEM143 expression in various tissues with high levels noted in the heart and skeletal muscles. This protein spans the membrane indicating its role in transporting ions or other molecules across cellular barriers.
Biological function summary

TMEM143 participates in the regulation of calcium ion homeostasis within muscle cells. Its function is essential for maintaining correct calcium levels which is necessary for proper muscle contraction and relaxation. TMEM143 does not currently appear to be part of any larger known protein complexes. Nonetheless it interacts with cellular components to influence muscle physiology significantly.

Pathways

TMEM143 plays a role in the calcium signaling pathway critical for muscle function and cellular signaling. This pathway collaborates with proteins such as the ryanodine receptor which controls the release of calcium ions from the sarcoplasmic reticulum. TMEM143's involvement ensures that muscle cells respond appropriately to signals demanding contraction and energy consumption.

Researchers associate TMEM143 with conditions such as cardiomyopathy and certain muscular dystrophies. These disorders affect muscle function and strength attributable to disrupted calcium homeostasis. TMEM143's interaction with ryanodine receptors suggests its role in the pathological progression of these conditions offering potential areas for therapeutic targeting to mitigate disease impacts.

Product protocols

For this product, it's our understanding that no specific protocols are required. You can visit:

Product promise

We are committed to supporting your work with high-quality reagents, and we're here for you every step of the way. In the unlikely event that one of our products does not perform as expected, you're protected by our Product Promise.
For full details, please see our Terms & Conditions

Please note: All products are 'FOR RESEARCH USE ONLY. NOT FOR USE IN DIAGNOSTIC OR THERAPEUTIC PROCEDURES'.

For licensing inquiries, please contact partnerships@abcam.com