JavaScript is disabled in your browser. Please enable JavaScript to view this website.
AB269799

Anti-TMEM16A antibody [DG1/447] - BSA and Azide free

Be the first to review this product! Submit a review

|

(0 Publication)

Mouse Monoclonal TMEM16A antibody. Carrier free. Suitable for IHC-P and reacts with Human samples. Immunogen corresponding to Recombinant Full Length Protein corresponding to Human ANO1.

View Alternative Names

DOG1, ORAOV2, TAOS2, TMEM16A, ANO1, Anoctamin-1, Discovered on gastrointestinal stromal tumors protein 1, Oral cancer overexpressed protein 2, Transmembrane protein 16A, Tumor-amplified and overexpressed sequence 2

1 Images
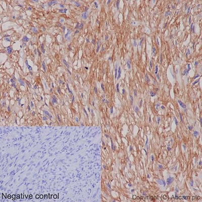
Immunohistochemistry (Formalin/PFA-fixed paraffin-embedded sections) - Anti-TMEM16A antibody [DG1/447] - BSA and Azide free (AB269799)
  • IHC-P

Supplier Data

Immunohistochemistry (Formalin/PFA-fixed paraffin-embedded sections) - Anti-TMEM16A antibody [DG1/447] - BSA and Azide free (AB269799)

Immunohistochemical analysis of formalin-fixed, paraffin-embedded Human gastrointestinal stromal tumor tissue labeling TMEM16A with ab190721 at 1 μg/ml.

This data was developed using the same antibody clone in a different buffer formulation containing PBS, BSA, glycerol, and sodium azide (ab190721)

Key facts

Host species

Mouse

Clonality

Monoclonal

Clone number

DG1/447

Isotype

IgG1

Light chain type

kappa

Carrier free

Yes

Reacts with

Human

Applications

IHC-P

applications

Immunogen

Recombinant Full Length Protein corresponding to Human ANO1.

Q5XXA6

Reactivity data

{ "title": "Reactivity Data", "filters": { "stats": ["", "Species", "Dilution Info", "Notes"], "tabs": { "all-applications": {"fullname" : "All Applications", "shortname": "All Applications"}, "IHCP" : {"fullname" : "Immunohistochemistry (Formalin/PFA-fixed paraffin-embedded sections)", "shortname":"IHC-P"} }, "product-promise": { "all": "all", "testedAndGuaranteed": "tested", "guaranteed": "expected", "predicted": "predicted", "notRecommended": "not-recommended" } }, "values": { "Human": { "IHCP-species-checked": "testedAndGuaranteed", "IHCP-species-dilution-info": "1-2 µg/mL", "IHCP-species-notes": "<p></p> Perform heat-mediated antigen retrieval with Tris/EDTA buffer pH 9.0 before commencing with IHC staining protocol." } } }

Product details

ab269799 is a carrier free version of ab190721.

Conjugation ready
Our carrier-free antibodies are typically supplied in a PBS-only formulation, purified and free of BSA, sodium azide and glycerol. This conjugation-ready format is designed for use with fluorochromes, metal isotopes, oligonucleotides, and enzymes, which makes them ideal for antibody labelling, functional and cell-based assays, flow-based assays (e.g. mass cytometry) and Multiplex Imaging applications.

Use our conjugation kits for antibody conjugates that are ready-to-use in as little as 20 minutes with 1 minute hands-on-time and 100% antibody recovery: available for fluorescent dyes, HRP, biotin and gold.

Compatibility
This product is compatible with the Maxpar® Antibody Labeling Kit from Fluidigm, without the need for antibody preparation. Maxpar® is a trademark of Fluidigm Canada Inc.

Properties and storage information

Form
Liquid
Purification technique
Affinity purification Protein G
Storage buffer
pH: 7.2 - 7.4 Constituents: PBS
Shipped at conditions
Blue Ice
Appropriate short-term storage duration
1-2 weeks
Appropriate short-term storage conditions
+4°C
Appropriate long-term storage conditions
-20°C
Aliquoting information
Upon delivery aliquot
Storage information
Avoid freeze / thaw cycle

Supplementary information

This supplementary information is collated from multiple sources and compiled automatically.

TMEM16A also known as ANO1 is a transmembrane protein functioning as a calcium-activated chloride channel. It plays a significant role in the regulation of membrane potential and fluid secretion. TMEM16A has a molecular mass of approximately 114 kDa. This protein is expressed in various tissues including airway epithelial cells intestinal epithelium and smooth muscle cells. Its expression is also noticeable in parts of the nervous system indicating its widespread physiological importance.
Biological function summary

TMEM16A contributes to processes such as epithelial fluid transport and smooth muscle contraction. It is an integral component of a calcium-sensitive chloride conductance. This channel regulates ion transport across epithelial cell membranes influencing fluid secretion in airways and gastrointestinal tracts. In blood vessels TMEM16A helps control vascular tone by mediating smooth muscle cell contraction which is dependent on intracellular calcium levels.

Pathways

TMEM16A interacts with key cellular signaling cascades especially the calcium signaling pathway. This interaction has critical implications for chloride conductance in epithelial cells and smooth muscle function. TMEM16A is linked with proteins like calcium/calmodulin-dependent protein kinase II (CaMKII) which further modulates its activity. Additionally TMEM16A is implicated in pathways regulating mucin secretion which involves other proteins like cystic fibrosis transmembrane conductance regulator (CFTR).

TMEM16A plays a role in respiratory diseases like asthma and cystic fibrosis where dysregulation in chloride channels leads to abnormal mucus secretion and airway obstruction. It also relates to hypertension due to its role in vascular tone modulation. Research shows TMEM16A interacts with proteins like CFTR in cystic fibrosis affecting chloride transport and fluid balance. In hypertension its interaction with calcium-sensing proteins further complicates vascular responsiveness and pressure regulation.

Product protocols

For this product, it's our understanding that no specific protocols are required. You can visit:

Target data

Calcium-activated chloride channel (CaCC) (PubMed : 20056604, PubMed : 22178883, PubMed : 22946059, PubMed : 32487539). Plays a role in transepithelial anion transport and smooth muscle contraction. Required for the normal functioning of the interstitial cells of Cajal (ICCs) which generate electrical pacemaker activity in gastrointestinal smooth muscles. Acts as a major contributor to basal and stimulated chloride conductance in airway epithelial cells and plays an important role in tracheal cartilage development. Required for CFTR activation by enhancing endoplasmic reticulum Ca(2+) store release and is also required for CFTR membrane expression (PubMed : 28963502). Required for basal and ATP-dependent mucus secretion in airways and intestine, probably by controlling exocytosis of mucus-filled granules by providing Ca(2+) to an apical signaling compartment (By similarity). Contributes to airway mucus expression induced by interleukins IL3 and IL8 and by the asthma-associated protein CLCA1 and is required for expression of mucin MUC5AC (PubMed : 33026825). However, was shown in another study not to be required for MUC5AC expression (PubMed : 31732694). Plays a role in the propagation of Ca(2+) waves in Kolliker's organ in the cochlea and contributes to the refinement of auditory brainstem circuitries prior to hearing onset (By similarity). In vomeronasal sensory neurons, modulates spontaneous firing patterns in the absence of stimuli as well as the firing pattern of pheromone-evoked activity (By similarity). Responsible for calcium-activated chloride channel activity in type I taste cells of the vallate papillae (By similarity). Acts as a heat sensor in nociceptive neurons (By similarity). In dorsal root ganglion neurons, plays a role in mediating non-histaminergic Mas-related G-protein coupled receptor (MRGPR)-dependent itching, acting as a downstream effector of MRGPRs (By similarity). In the developing brain, required for the Ca(2+)-dependent process extension of radial glial cells (By similarity).. Isoform 4. Calcium-activated chloride channel (CaCC). Contributes to calcium-activated chloride secretion in human sweat gland epithelial cells. Shows increased basal chloride permeability and decreased Ca(2+)-induced chloride permeability.. Isoform 5. Calcium-activated chloride channel (CaCC). Shows increased sensitivity to intracellular Ca(2+).
See full target information ANO1

Product promise

We are committed to supporting your work with high-quality reagents, and we're here for you every step of the way. In the unlikely event that one of our products does not perform as expected, you're protected by our Product Promise.
For full details, please see our Terms & Conditions

Please note: All products are 'FOR RESEARCH USE ONLY. NOT FOR USE IN DIAGNOSTIC OR THERAPEUTIC PROCEDURES'.

For licensing inquiries, please contact partnerships@abcam.com