JavaScript is disabled in your browser. Please enable JavaScript to view this website.
AB190803

Anti-TMEM16A antibody [EPR10643(2)]

Be the first to review this product! Submit a review

|

(3 Publications)

Rabbit Recombinant Monoclonal TMEM16A antibody. Suitable for Flow Cyt (Intra), IHC-P and reacts with Human samples. Cited in 3 publications.

View Alternative Names

DOG1, ORAOV2, TAOS2, TMEM16A, ANO1, Anoctamin-1, Discovered on gastrointestinal stromal tumors protein 1, Oral cancer overexpressed protein 2, Transmembrane protein 16A, Tumor-amplified and overexpressed sequence 2

2 Images
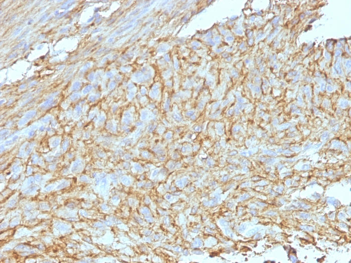
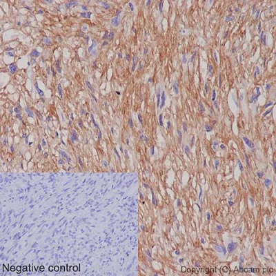
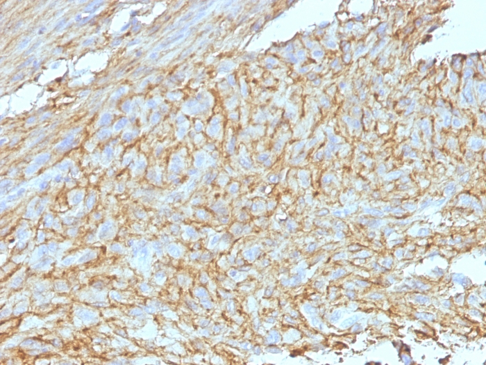
Immunohistochemistry (Formalin/PFA-fixed paraffin-embedded sections) - Anti-TMEM16A antibody [EPR10643(2)] (AB190803)
  • IHC-P

Supplier Data

Immunohistochemistry (Formalin/PFA-fixed paraffin-embedded sections) - Anti-TMEM16A antibody [EPR10643(2)] (AB190803)

Immunohistochemical analysis of paraffin embedded Human gastrointestinal stromal tumor tissue sections labeling TMEM16A using ab190803 at a 1/500 dilution. A ready to use HRP Polymer for Rabbit IgG was used as the secondary antibody. Hematoxylin counterstain.

Perform heat mediated antigen retrieval with Tris/EDTA buffer pH 9.0 before commencing with IHC staining protocol.

Flow Cytometry (Intracellular) - Anti-TMEM16A antibody [EPR10643(2)] (AB190803)
  • Flow Cyt (Intra)

Supplier Data

Flow Cytometry (Intracellular) - Anti-TMEM16A antibody [EPR10643(2)] (AB190803)

Intracellular flow cytometric analysis of K562 cells labeling TMEM16A using ab190803 at a 1/70 dilution (pink). Goat anti rabbit IgG (FITC) was used as the secondary antibody at a 1/150 dilution. Isotype control : Rabbit monoclonal IgG (green). Cells were fixed in 2% paraformaldehyde.

  • Carrier free

    Anti-TMEM16A antibody [EPR10643(2)] - BSA and Azide free

Key facts

Host species

Rabbit

Clonality

Monoclonal

Clone number

EPR10643(2)

Isotype

IgG

Carrier free

No

Reacts with

Human

Applications

Flow Cyt (Intra), IHC-P

applications

Immunogen

The exact immunogen used to generate this antibody is proprietary information.

Reactivity data

{ "title": "Reactivity Data", "filters": { "stats": ["", "Species", "Dilution Info", "Notes"], "tabs": { "all-applications": {"fullname" : "All Applications", "shortname": "All Applications"}, "FlowCytIntra" : {"fullname" : "Flow Cytometry (Intracellular)", "shortname":"Flow Cyt (Intra)"}, "IHCP" : {"fullname" : "Immunohistochemistry (Formalin/PFA-fixed paraffin-embedded sections)", "shortname":"IHC-P"} }, "product-promise": { "all": "all", "testedAndGuaranteed": "tested", "guaranteed": "expected", "predicted": "predicted", "notRecommended": "not-recommended" } }, "values": { "Human": { "FlowCytIntra-species-checked": "testedAndGuaranteed", "FlowCytIntra-species-dilution-info": "1/70", "FlowCytIntra-species-notes": "<p><a href='/en-us/products/primary-antibodies/rabbit-igg-monoclonal-epr25a-isotype-control-ab172730'>ab172730</a> - Rabbit monoclonal IgG, is suitable for use as an isotype control with this antibody.</p>", "IHCP-species-checked": "testedAndGuaranteed", "IHCP-species-dilution-info": "1/500", "IHCP-species-notes": "<p></p>" } } }

Product details

Patented technology
Our RabMAb® technology is a patented hybridoma-based technology for making rabbit monoclonal antibodies. For details on our patents, please refer to RabMAb® patents.

What are the advantages of a recombinant monoclonal antibody?
This product is a recombinant monoclonal antibody, which offers several advantages including:

  • - High batch-to-batch consistency and reproducibility
  • - Improved sensitivity and specificity
  • - Long-term security of supply
  • - Animal-free batch production

For more information, read more on recombinant antibodies.

Properties and storage information

Form
Liquid
Purification technique
Affinity purification Protein A
Storage buffer
pH: 7.2 - 7.4 Preservative: 0.01% Sodium azide Constituents: PBS, 40% Glycerol (glycerin, glycerine), 0.05% BSA
Shipped at conditions
Blue Ice
Appropriate short-term storage duration
1-2 weeks
Appropriate short-term storage conditions
+4°C
Appropriate long-term storage conditions
-20°C
Aliquoting information
Upon delivery aliquot
Storage information
Avoid freeze / thaw cycle

Supplementary information

This supplementary information is collated from multiple sources and compiled automatically.

TMEM16A also known as ANO1 is a transmembrane protein functioning as a calcium-activated chloride channel. It plays a significant role in the regulation of membrane potential and fluid secretion. TMEM16A has a molecular mass of approximately 114 kDa. This protein is expressed in various tissues including airway epithelial cells intestinal epithelium and smooth muscle cells. Its expression is also noticeable in parts of the nervous system indicating its widespread physiological importance.
Biological function summary

TMEM16A contributes to processes such as epithelial fluid transport and smooth muscle contraction. It is an integral component of a calcium-sensitive chloride conductance. This channel regulates ion transport across epithelial cell membranes influencing fluid secretion in airways and gastrointestinal tracts. In blood vessels TMEM16A helps control vascular tone by mediating smooth muscle cell contraction which is dependent on intracellular calcium levels.

Pathways

TMEM16A interacts with key cellular signaling cascades especially the calcium signaling pathway. This interaction has critical implications for chloride conductance in epithelial cells and smooth muscle function. TMEM16A is linked with proteins like calcium/calmodulin-dependent protein kinase II (CaMKII) which further modulates its activity. Additionally TMEM16A is implicated in pathways regulating mucin secretion which involves other proteins like cystic fibrosis transmembrane conductance regulator (CFTR).

TMEM16A plays a role in respiratory diseases like asthma and cystic fibrosis where dysregulation in chloride channels leads to abnormal mucus secretion and airway obstruction. It also relates to hypertension due to its role in vascular tone modulation. Research shows TMEM16A interacts with proteins like CFTR in cystic fibrosis affecting chloride transport and fluid balance. In hypertension its interaction with calcium-sensing proteins further complicates vascular responsiveness and pressure regulation.

Product protocols

For this product, it's our understanding that no specific protocols are required. You can visit:

Target data

Calcium-activated chloride channel (CaCC) (PubMed : 20056604, PubMed : 22178883, PubMed : 22946059, PubMed : 32487539). Plays a role in transepithelial anion transport and smooth muscle contraction. Required for the normal functioning of the interstitial cells of Cajal (ICCs) which generate electrical pacemaker activity in gastrointestinal smooth muscles. Acts as a major contributor to basal and stimulated chloride conductance in airway epithelial cells and plays an important role in tracheal cartilage development. Required for CFTR activation by enhancing endoplasmic reticulum Ca(2+) store release and is also required for CFTR membrane expression (PubMed : 28963502). Required for basal and ATP-dependent mucus secretion in airways and intestine, probably by controlling exocytosis of mucus-filled granules by providing Ca(2+) to an apical signaling compartment (By similarity). Contributes to airway mucus expression induced by interleukins IL3 and IL8 and by the asthma-associated protein CLCA1 and is required for expression of mucin MUC5AC (PubMed : 33026825). However, was shown in another study not to be required for MUC5AC expression (PubMed : 31732694). Plays a role in the propagation of Ca(2+) waves in Kolliker's organ in the cochlea and contributes to the refinement of auditory brainstem circuitries prior to hearing onset (By similarity). In vomeronasal sensory neurons, modulates spontaneous firing patterns in the absence of stimuli as well as the firing pattern of pheromone-evoked activity (By similarity). Responsible for calcium-activated chloride channel activity in type I taste cells of the vallate papillae (By similarity). Acts as a heat sensor in nociceptive neurons (By similarity). In dorsal root ganglion neurons, plays a role in mediating non-histaminergic Mas-related G-protein coupled receptor (MRGPR)-dependent itching, acting as a downstream effector of MRGPRs (By similarity). In the developing brain, required for the Ca(2+)-dependent process extension of radial glial cells (By similarity).. Isoform 4. Calcium-activated chloride channel (CaCC). Contributes to calcium-activated chloride secretion in human sweat gland epithelial cells. Shows increased basal chloride permeability and decreased Ca(2+)-induced chloride permeability.. Isoform 5. Calcium-activated chloride channel (CaCC). Shows increased sensitivity to intracellular Ca(2+).
See full target information ANO1

Publications (3)

Recent publications for all applications. Explore the full list and refine your search

Oncology research 32:1921-1934 PubMed39574472

2024

Using Multi-Omics Analysis to Explore Diagnostic Tool and Optimize Drug Therapy Selection for Patients with Glioma Based on Cross-Talk Gene Signature.

Applications

Unspecified application

Species

Unspecified reactive species

Yushi Yang,Chujiao Hu,Shan Lei,Xin Bao,Zhirui Zeng,Wenpeng Cao

Journal of translational medicine 22:1046 PubMed39563381

2024

Co-targeting TMEM16A with a novel monoclonal antibody and EGFR with Cetuximab inhibits the growth and metastasis of esophageal squamous cell carcinoma.

Applications

Unspecified application

Species

Unspecified reactive species

Yutian Zheng,Lin Meng,Like Qu,Chuanke Zhao,Lixin Wang,Jiayi Ma,Caiyun Liu,Chengchao Shou

Frontiers in cellular neuroscience 16:937060 PubMed35966201

2022

Reduced Expression of TMEM16A Impairs Nitric Oxide-Dependent Cl Transport in Retinal Amacrine Cells.

Applications

Unspecified application

Species

Unspecified reactive species

Tyler Christopher Rodriguez,Li Zhong,Hailey Simpson,Evanna Gleason
View all publications

Product promise

We are committed to supporting your work with high-quality reagents, and we're here for you every step of the way. In the unlikely event that one of our products does not perform as expected, you're protected by our Product Promise.
For full details, please see our Terms & Conditions

Please note: All products are 'FOR RESEARCH USE ONLY. NOT FOR USE IN DIAGNOSTIC OR THERAPEUTIC PROCEDURES'.

For licensing inquiries, please contact partnerships@abcam.com