JavaScript is disabled in your browser. Please enable JavaScript to view this website.
AB198412

Anti-TMEM16A antibody [SP31] - BSA and Azide free

Be the first to review this product! Submit a review

|

(1 Publication)

Rabbit Recombinant Monoclonal TMEM16A antibody. Carrier free. Suitable for ICC/IF, WB, IHC-P, Flow Cyt (Intra) and reacts with Human samples. Cited in 1 publication.

View Alternative Names

DOG1, ORAOV2, TAOS2, TMEM16A, ANO1, Anoctamin-1, Discovered on gastrointestinal stromal tumors protein 1, Oral cancer overexpressed protein 2, Transmembrane protein 16A, Tumor-amplified and overexpressed sequence 2

7 Images
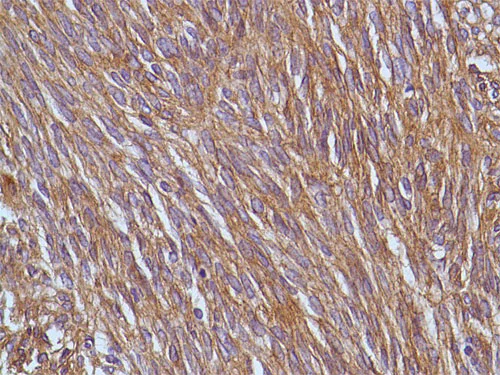
Immunohistochemistry - Anti-TMEM16A antibody [SP31] - BSA and Azide free (AB198412)
  • IHC

Lab

Immunohistochemistry - Anti-TMEM16A antibody [SP31] - BSA and Azide free (AB198412)

This data was developed using the same antibody clone in a different buffer formulation containing PBS, BSA, glycerol, and sodium azide (ab64085).

Immunohistochemical analysis of formalin fixed paraffin embedded human GIST labelling TMEM16A with ab64085 at a concentration of 1.14 µg/ml. The immunostaining was performed on a Ventana DISCOVERY ULTRA (Roche Tissue Diagnostics) instrument with a OptiView DAB IHC Detection Kit. Heat mediated antigen retrieval was performed with DISCOVERY cell conditioning solution (CC1) 100°C, pH 8.5 for 32 mins.

ab64085 anti-TMEM16A [SP31] was incubated for 16 mins at 37°C. Sections were counterstained with Hematoxylin II. Image inset shows absence of staining in secondary antibody only control.

Customers are encouraged to optimise antigen retrieval conditions, antibody concentration, incubation times and temperature for best results in their own IHC assay workflow (automated and manual).

Immunohistochemistry (Formalin/PFA-fixed paraffin-embedded sections) - Anti-TMEM16A antibody [SP31] - BSA and Azide free (AB198412)
  • IHC-P

PubMed

Immunohistochemistry (Formalin/PFA-fixed paraffin-embedded sections) - Anti-TMEM16A antibody [SP31] - BSA and Azide free (AB198412)

TMEM16A detected in paraffin-embedded sections of human submucosal glands from CF patients and control samples.

TMEM16A expression was modest in non-CF submucosal glands of non-CF samples (b) but markedly increased in tissues from CF patients (d), with a particularly strong signal (f) in histologically altered glands (e). Magnification : X630 in a, X400 in b-f. Images 4Aa and 4Ba,c,e show hematoxylin and eosin staining.

This data was developed using the same antibody clone in a different buffer formulation containing PBS, BSA, glycerol, and sodium azide (ab64085)

This image is taken from Upregulation of TMEM16A Protein in Bronchial Epithelial Cells by Bacterial Pyocyanin.

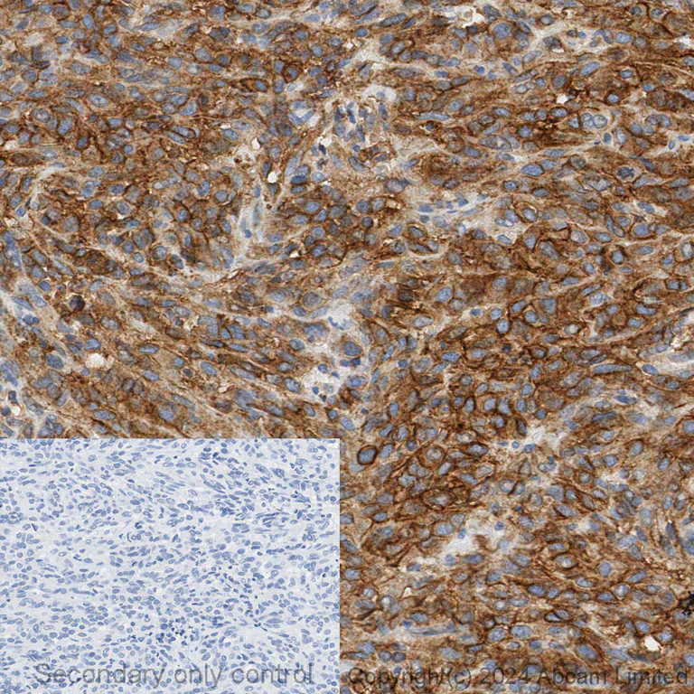
Immunohistochemistry (Formalin/PFA-fixed paraffin-embedded sections) - Anti-TMEM16A antibody [SP31] - BSA and Azide free (AB198412)
  • IHC-P

Unknown

Immunohistochemistry (Formalin/PFA-fixed paraffin-embedded sections) - Anti-TMEM16A antibody [SP31] - BSA and Azide free (AB198412)

Immunohistochemical analysis of Human Gastrointestinal Stromal Tumor tissue labelling TMEM16A with ab64085.

This data was developed using the same antibody clone in a different buffer formulation containing PBS, BSA, glycerol, and sodium azide (ab64085)

Flow Cytometry (Intracellular) - Anti-TMEM16A antibody [SP31] - BSA and Azide free (AB198412)
  • Flow Cyt (Intra)

Unknown

Flow Cytometry (Intracellular) - Anti-TMEM16A antibody [SP31] - BSA and Azide free (AB198412)

Intracellular Flow Cytometry analysis of PC-3 (Human prostate adenocarcinoma epithelial cell) cells labeling TMEM16A with purified ab64085 at 1/20 dilution (11.3μg/ml) (red). Cells were fixed with 4% paraformaldehyde and permeabilised with 90% methanol. A Goat anti rabbit IgG (Alexa Fluorr® 488, ab150077) secondary antibody was used at 1/2000 dilution. Isotype control - Rabbit monoclonal IgG (ab172730) / Black. Unlabeled control - Unlabelled cells / blue.

This data was developed using the same antibody clone in a different buffer formulation containing PBS, BSA, glycerol, and sodium azide (ab64085).

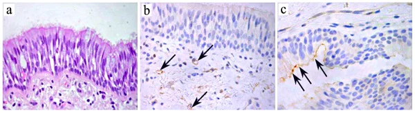
Immunohistochemistry (Formalin/PFA-fixed paraffin-embedded sections) - Anti-TMEM16A antibody [SP31] - BSA and Azide free (AB198412)
  • IHC-P

PubMed

Immunohistochemistry (Formalin/PFA-fixed paraffin-embedded sections) - Anti-TMEM16A antibody [SP31] - BSA and Azide free (AB198412)

ab64085 showing expression of TMEM16A in human surface epithelium tissue. TMEM16A staining was mostly absent (b), and sometimes scanty (c) in the respiratory epithelium lining bronchi or bronchioles from CF patients (c, arrows). A weak expression was also detectable in microvessels of peri-bronchial connective tissue (b, arrows). Magnification : X400.

This data was developed using the same antibody clone in a different buffer formulation containing PBS, BSA, glycerol, and sodium azide (ab64085)

This image is taken from Upregulation of TMEM16A Protein in Bronchial Epithelial Cells by Bacterial Pyocyanin.

Immunocytochemistry/ Immunofluorescence - Anti-TMEM16A antibody [SP31] - BSA and Azide free (AB198412)
  • ICC/IF

Supplier Data

Immunocytochemistry/ Immunofluorescence - Anti-TMEM16A antibody [SP31] - BSA and Azide free (AB198412)

This data was developed using ab64085, the same antibody clone in a different buffer formulation.

ab64085 staining TMEM16A in PC-3 (human prostate adenocarcinoma epithelial cell) cells. The cells were fixed with 4% formaldehyde, permeabilized in 100% methanol. The cells were then incubated with ab64085 at 1/20 dilution, followed by secondary antibody ab150077 AlexaFluor®488 Goat anti-Rabbit secondary at 1/1000 dilution (Green). ab195889, Anti-alpha Tubulin antibody [DM1A] - Microtubule Marker (Alexa Fluor® 594) was used for counterstain at 1/200 dilution (Red). Nuclear DNA was labelled in blue with DAPI.

Confocal image showing membranous and cytoplasmic staining in PC-3 cell line.

Low expression control : LnCaP(PMID : 29899325)

Image was taken with a confocal microscope (Leica-Microsystems, TCS SP8).

Western blot - Anti-TMEM16A antibody [SP31] - BSA and Azide free (AB198412)
  • WB

Lab

Western blot - Anti-TMEM16A antibody [SP31] - BSA and Azide free (AB198412)

Blocking and diluting buffer and concentration : 5% NFDM/TBST Exposure time : Lane 1 : 20 seconds Lane 2 : 10 seconds The observed molecular weights are consistent with PMID : 22685202. This data was developed using ab64085, the same antibody clone in a different buffer formulation.

All lanes:

Western blot - Anti-TMEM16A antibody [SP31] (<a href='/en-us/products/primary-antibodies/tmem16a-antibody-sp31-ab64085'>ab64085</a>) at 1/1000 dilution

Lane 1:

PC-3 (Human prostate adenocarcinoma epithelial cell) whole cell lysate at 20 µg

Lane 2:

Capan-1 (Human pancreas adenocarcinoma epithelial cell) whole cell lysate at 20 µg

Secondary

All lanes:

Western blot - Goat Anti-Rabbit IgG H&L (HRP) (<a href='/en-us/products/secondary-antibodies/goat-rabbit-igg-h-l-hrp-ab97051'>ab97051</a>) at 1/20000 dilution

Predicted band size: 114 kDa

Observed band size: 130 kDa,260 kDa

false

Key facts

Host species

Rabbit

Clonality

Monoclonal

Clone number

SP31

Isotype

IgG

Carrier free

Yes

Reacts with

Human

Applications

WB, Flow Cyt (Intra), ICC/IF, IHC-P

applications

Immunogen

The exact immunogen used to generate this antibody is proprietary information.

Reactivity data

{ "title": "Reactivity Data", "filters": { "stats": ["", "Species", "Dilution Info", "Notes"], "tabs": { "all-applications": {"fullname" : "All Applications", "shortname": "All Applications"}, "ICCIF" : {"fullname" : "Immunocytochemistry/ Immunofluorescence", "shortname":"ICC/IF"}, "WB" : {"fullname" : "Western blot", "shortname":"WB"}, "IHCP" : {"fullname" : "Immunohistochemistry (Formalin/PFA-fixed paraffin-embedded sections)", "shortname":"IHC-P"}, "FlowCytIntra" : {"fullname" : "Flow Cytometry (Intracellular)", "shortname":"Flow Cyt (Intra)"} }, "product-promise": { "all": "all", "testedAndGuaranteed": "tested", "guaranteed": "expected", "predicted": "predicted", "notRecommended": "not-recommended" } }, "values": { "Human": { "ICCIF-species-checked": "testedAndGuaranteed", "ICCIF-species-dilution-info": "", "ICCIF-species-notes": "<p></p>", "WB-species-checked": "testedAndGuaranteed", "WB-species-dilution-info": "1/1000", "WB-species-notes": "<p>PMID: 22685202.</p>", "IHCP-species-checked": "testedAndGuaranteed", "IHCP-species-dilution-info": "1/100", "IHCP-species-notes": "<p></p>", "FlowCytIntra-species-checked": "testedAndGuaranteed", "FlowCytIntra-species-dilution-info": "", "FlowCytIntra-species-notes": "<p></p>" }, "Mouse": { "ICCIF-species-checked": "notRecommended", "ICCIF-species-dilution-info": "", "ICCIF-species-notes": "", "WB-species-checked": "notRecommended", "WB-species-dilution-info": "1/1000", "WB-species-notes": "<p>PMID: 22685202.</p>", "IHCP-species-checked": "notRecommended", "IHCP-species-dilution-info": "", "IHCP-species-notes": "", "FlowCytIntra-species-checked": "notRecommended", "FlowCytIntra-species-dilution-info": "", "FlowCytIntra-species-notes": "" }, "Rat": { "ICCIF-species-checked": "notRecommended", "ICCIF-species-dilution-info": "", "ICCIF-species-notes": "", "WB-species-checked": "notRecommended", "WB-species-dilution-info": "1/1000", "WB-species-notes": "<p>PMID: 22685202.</p>", "IHCP-species-checked": "notRecommended", "IHCP-species-dilution-info": "", "IHCP-species-notes": "", "FlowCytIntra-species-checked": "notRecommended", "FlowCytIntra-species-dilution-info": "", "FlowCytIntra-species-notes": "" }, "Cynomolgus monkey": { "ICCIF-species-checked": "predicted", "ICCIF-species-dilution-info": "", "ICCIF-species-notes": "", "WB-species-checked": "notRecommended", "WB-species-dilution-info": "", "WB-species-notes": "", "IHCP-species-checked": "predicted", "IHCP-species-dilution-info": "", "IHCP-species-notes": "", "FlowCytIntra-species-checked": "predicted", "FlowCytIntra-species-dilution-info": "", "FlowCytIntra-species-notes": "" } } }

Product details

ab198412 is the carrier-free version of ab64085.

What are the advantages of a recombinant monoclonal antibody?
This product is a recombinant monoclonal antibody, which offers several advantages including:

  • - High batch-to-batch consistency and reproducibility
  • - Improved sensitivity and specificity
  • - Long-term security of supply
  • - Animal-free batch production

For more information, read more on recombinant antibodies.

Conjugation ready
Our carrier-free antibodies are typically supplied in a PBS-only formulation, purified and free of BSA, sodium azide and glycerol. This conjugation-ready format is designed for use with fluorochromes, metal isotopes, oligonucleotides, and enzymes, which makes them ideal for antibody labelling, functional and cell-based assays, flow-based assays (e.g. mass cytometry) and Multiplex Imaging applications.

Use our conjugation kits for antibody conjugates that are ready-to-use in as little as 20 minutes with 1 minute hands-on-time and 100% antibody recovery: available for fluorescent dyes, HRP, biotin and gold.

Compatibility
This product is compatible with the Maxpar® Antibody Labeling Kit from Fluidigm, without the need for antibody preparation. Maxpar® is a trademark of Fluidigm Canada Inc.

Properties and storage information

Form
Liquid
Purification technique
Affinity purification
Storage buffer
pH: 7.2 - 7.4 Constituents: PBS
Shipped at conditions
Blue Ice
Appropriate short-term storage conditions
+4°C
Appropriate long-term storage conditions
+4°C
Storage information
Do Not Freeze

Supplementary information

This supplementary information is collated from multiple sources and compiled automatically.

TMEM16A also known as ANO1 is a transmembrane protein functioning as a calcium-activated chloride channel. It plays a significant role in the regulation of membrane potential and fluid secretion. TMEM16A has a molecular mass of approximately 114 kDa. This protein is expressed in various tissues including airway epithelial cells intestinal epithelium and smooth muscle cells. Its expression is also noticeable in parts of the nervous system indicating its widespread physiological importance.
Biological function summary

TMEM16A contributes to processes such as epithelial fluid transport and smooth muscle contraction. It is an integral component of a calcium-sensitive chloride conductance. This channel regulates ion transport across epithelial cell membranes influencing fluid secretion in airways and gastrointestinal tracts. In blood vessels TMEM16A helps control vascular tone by mediating smooth muscle cell contraction which is dependent on intracellular calcium levels.

Pathways

TMEM16A interacts with key cellular signaling cascades especially the calcium signaling pathway. This interaction has critical implications for chloride conductance in epithelial cells and smooth muscle function. TMEM16A is linked with proteins like calcium/calmodulin-dependent protein kinase II (CaMKII) which further modulates its activity. Additionally TMEM16A is implicated in pathways regulating mucin secretion which involves other proteins like cystic fibrosis transmembrane conductance regulator (CFTR).

TMEM16A plays a role in respiratory diseases like asthma and cystic fibrosis where dysregulation in chloride channels leads to abnormal mucus secretion and airway obstruction. It also relates to hypertension due to its role in vascular tone modulation. Research shows TMEM16A interacts with proteins like CFTR in cystic fibrosis affecting chloride transport and fluid balance. In hypertension its interaction with calcium-sensing proteins further complicates vascular responsiveness and pressure regulation.

Product protocols

For this product, it's our understanding that no specific protocols are required. You can visit:

Target data

Calcium-activated chloride channel (CaCC) (PubMed : 20056604, PubMed : 22178883, PubMed : 22946059, PubMed : 32487539). Plays a role in transepithelial anion transport and smooth muscle contraction. Required for the normal functioning of the interstitial cells of Cajal (ICCs) which generate electrical pacemaker activity in gastrointestinal smooth muscles. Acts as a major contributor to basal and stimulated chloride conductance in airway epithelial cells and plays an important role in tracheal cartilage development. Required for CFTR activation by enhancing endoplasmic reticulum Ca(2+) store release and is also required for CFTR membrane expression (PubMed : 28963502). Required for basal and ATP-dependent mucus secretion in airways and intestine, probably by controlling exocytosis of mucus-filled granules by providing Ca(2+) to an apical signaling compartment (By similarity). Contributes to airway mucus expression induced by interleukins IL3 and IL8 and by the asthma-associated protein CLCA1 and is required for expression of mucin MUC5AC (PubMed : 33026825). However, was shown in another study not to be required for MUC5AC expression (PubMed : 31732694). Plays a role in the propagation of Ca(2+) waves in Kolliker's organ in the cochlea and contributes to the refinement of auditory brainstem circuitries prior to hearing onset (By similarity). In vomeronasal sensory neurons, modulates spontaneous firing patterns in the absence of stimuli as well as the firing pattern of pheromone-evoked activity (By similarity). Responsible for calcium-activated chloride channel activity in type I taste cells of the vallate papillae (By similarity). Acts as a heat sensor in nociceptive neurons (By similarity). In dorsal root ganglion neurons, plays a role in mediating non-histaminergic Mas-related G-protein coupled receptor (MRGPR)-dependent itching, acting as a downstream effector of MRGPRs (By similarity). In the developing brain, required for the Ca(2+)-dependent process extension of radial glial cells (By similarity).. Isoform 4. Calcium-activated chloride channel (CaCC). Contributes to calcium-activated chloride secretion in human sweat gland epithelial cells. Shows increased basal chloride permeability and decreased Ca(2+)-induced chloride permeability.. Isoform 5. Calcium-activated chloride channel (CaCC). Shows increased sensitivity to intracellular Ca(2+).
See full target information ANO1

Publications (1)

Recent publications for all applications. Explore the full list and refine your search

Medicine 103:e39296 PubMed39151507

2024

Pancreatic head carcinoma derived from the dorsal pancreas is more likely to metastasize early than from the ventral pancreas through microvascular invasion.

Applications

Unspecified application

Species

Unspecified reactive species

Yuan Gao,Yuhang Shen,Jun Dong,Yang Zhou,Chunfu Zhu,Qiang Yu,Xihu Qin
View all publications

Product promise

We are committed to supporting your work with high-quality reagents, and we're here for you every step of the way. In the unlikely event that one of our products does not perform as expected, you're protected by our Product Promise.
For full details, please see our Terms & Conditions

Please note: All products are 'FOR RESEARCH USE ONLY. NOT FOR USE IN DIAGNOSTIC OR THERAPEUTIC PROCEDURES'.

For licensing inquiries, please contact partnerships@abcam.com