JavaScript is disabled in your browser. Please enable JavaScript to view this website.
AB237680

Anti-TMEM174 antibody

Be the first to review this product! Submit a review

|

(1 Publication)

Rabbit Polyclonal TMEM174 antibody. Suitable for WB, IHC-P, ICC/IF and reacts with Mouse, Human samples. Cited in 1 publication. Immunogen corresponding to Recombinant Fragment Protein within Human Transmembrane protein 174 aa 50 to C-terminus.

View Alternative Names

Transmembrane protein 174, TMEM174

3 Images
Immunocytochemistry/ Immunofluorescence - Anti-TMEM174 antibody (AB237680)
  • ICC/IF

Supplier Data

Immunocytochemistry/ Immunofluorescence - Anti-TMEM174 antibody (AB237680)

HEK-293T (human epithelial cell line from embryonic kidney transformed with large T antigen) cells stained for TMEM174 (green) using ab237680 at 1/100 dilution in ICC/IF. Secondary antibody is Alexa Fluor® 488-congugated Goat Anti-Rabbit IgG (H+L).

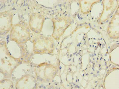
Immunohistochemistry (Formalin/PFA-fixed paraffin-embedded sections) - Anti-TMEM174 antibody (AB237680)
  • IHC-P

Supplier Data

Immunohistochemistry (Formalin/PFA-fixed paraffin-embedded sections) - Anti-TMEM174 antibody (AB237680)

Paraffin-embedded human kidney tissue stained for TMEM174 using ab237680 at 1/100 dilution in immunohistochemical analysis.

Western blot - Anti-TMEM174 antibody (AB237680)
  • WB

Supplier Data

Western blot - Anti-TMEM174 antibody (AB237680)

All lanes:

Western blot - Anti-TMEM174 antibody (ab237680) at 1/500 dilution

All lanes:

Mouse kidney lysate

Secondary

All lanes:

Goat polyclonal to rabbit IgG at 1/10000 dilution

Predicted band size: 26 kDa

false

Key facts

Host species

Rabbit

Clonality

Polyclonal

Isotype

IgG

Carrier free

No

Reacts with

Mouse, Human

Applications

ICC/IF, IHC-P, WB

applications

Immunogen

Recombinant Fragment Protein within Human Transmembrane protein 174 aa 50 to C-terminus. The exact immunogen used to generate this antibody is proprietary information.

Q8WUU8

Reactivity data

{ "title": "Reactivity Data", "filters": { "stats": ["", "Species", "Dilution Info", "Notes"], "tabs": { "all-applications": {"fullname" : "All Applications", "shortname": "All Applications"}, "WB" : {"fullname" : "Western blot", "shortname":"WB"}, "IHCP" : {"fullname" : "Immunohistochemistry (Formalin/PFA-fixed paraffin-embedded sections)", "shortname":"IHC-P"}, "ICCIF" : {"fullname" : "Immunocytochemistry/ Immunofluorescence", "shortname":"ICC/IF"} }, "product-promise": { "all": "all", "testedAndGuaranteed": "tested", "guaranteed": "expected", "predicted": "predicted", "notRecommended": "not-recommended" } }, "values": { "Human": { "WB-species-checked": "guaranteed", "WB-species-dilution-info": "", "WB-species-notes": "", "IHCP-species-checked": "testedAndGuaranteed", "IHCP-species-dilution-info": "1/20 - 1/200", "IHCP-species-notes": "<p></p>", "ICCIF-species-checked": "testedAndGuaranteed", "ICCIF-species-dilution-info": "1/50 - 1/200", "ICCIF-species-notes": "<p></p>" }, "Mouse": { "WB-species-checked": "testedAndGuaranteed", "WB-species-dilution-info": "1/500 - 1/2000", "WB-species-notes": "<p></p>", "IHCP-species-checked": "guaranteed", "IHCP-species-dilution-info": "", "IHCP-species-notes": "", "ICCIF-species-checked": "guaranteed", "ICCIF-species-dilution-info": "", "ICCIF-species-notes": "" }, "Orangutan": { "WB-species-checked": "predicted", "WB-species-dilution-info": "", "WB-species-notes": "", "IHCP-species-checked": "predicted", "IHCP-species-dilution-info": "", "IHCP-species-notes": "", "ICCIF-species-checked": "predicted", "ICCIF-species-dilution-info": "", "ICCIF-species-notes": "" } } }

Properties and storage information

Form
Liquid
Purification technique
Affinity purification Protein G
Purification notes
Purity greater than 95%.
Storage buffer
pH: 7.4 Preservative: 0.03% Proclin 300 Constituents: PBS, 50% Glycerol (glycerin, glycerine)
Shipped at conditions
Blue Ice
Appropriate short-term storage duration
1-2 weeks
Appropriate short-term storage conditions
+4°C
Appropriate long-term storage conditions
-20°C
Aliquoting information
Upon delivery aliquot
Storage information
Avoid freeze / thaw cycle

Supplementary information

This supplementary information is collated from multiple sources and compiled automatically.

TMEM174 also known as Transmembrane Protein 174 is an integral membrane protein with a mass of approximately 37 kDa. It exhibits expression in several tissues with higher levels observed in the bladder brain and kidney. Structurally TMEM174 is characterized by multiple transmembrane domains which suggests its potential role in cellular signaling or transport processes across the membrane.
Biological function summary

TMEM174 functions as part of cellular processes that involve ion transport and signal transduction. Although not a component of any well-characterized protein complex its positioning within the membrane and expression profile indicate a supportive role in maintaining cellular homeostasis and possibly in response to extracellular signals. Current studies continue to explore its comprehensive biological roles and interactions.

Pathways

Researchers have linked TMEM174 to regulation within the ion transport and cellular signaling pathways. There is evidence that TMEM174 may interact with proteins like SLC family transporters which suggests its participation in maintaining cellular ion balance. This positioning implicates TMEM174 in influencing cellular communication processes though more research is necessary to fully define its pathway roles.

Scientists are examining TMEM174's potential involvement in conditions like neurodegenerative disorders and kidney dysfunction. Correlations have been observed with proteins such as Tau in the context of neurodegeneration though the mechanisms remain not yet well understood. TMEM174's expression patterns and interactions indicate it could be a target for future therapeutic interventions highlighting the need for further study in various disease contexts.

Product protocols

For this product, it's our understanding that no specific protocols are required. You can visit:

Target data

Regulator of plasma phosphate homeostasis. Decreases serum inorganic phosphate (Pi) uptake by regulating the sodium-phosphate cotransporter SLC34A1 trafficking by PTH and FGF23 in the kidney.
See full target information Transmembrane protein 174

Publications (1)

Recent publications for all applications. Explore the full list and refine your search

Cancer biology & therapy 20:729-739 PubMed30915884

2019

The role of lncRNA MSC-AS1/miR-29b-3p axis-mediated CDK14 modulation in pancreatic cancer proliferation and Gemcitabine-induced apoptosis.

Applications

Unspecified application

Species

Unspecified reactive species

Yunpeng Sun,Pengfei Wang,Wenjun Yang,Yunfeng Shan,Qiyu Zhang,Huanhuan Wu
View all publications

Product promise

We are committed to supporting your work with high-quality reagents, and we're here for you every step of the way. In the unlikely event that one of our products does not perform as expected, you're protected by our Product Promise.
For full details, please see our Terms & Conditions

Please note: All products are 'FOR RESEARCH USE ONLY. NOT FOR USE IN DIAGNOSTIC OR THERAPEUTIC PROCEDURES'.

For licensing inquiries, please contact partnerships@abcam.com